Skip to main content

Facial nerve palsy in posterior fossa arachnoid cysts: report of two cases

Abstract

Case report

Two patients with a posterior fossa arachnoid cyst responsible for isolated facial nerve palsy are reported.

Discussion

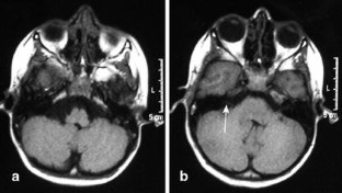
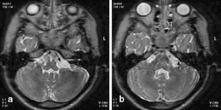
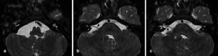
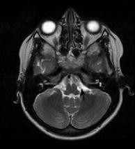
The relationships between the cyst and the facial nerve and between the facial nerve palsy and the size variation of the cyst are discussed and documented by pre- and postoperative magnetic resonance imaging.

This is a preview of subscription content, access via your institution.

Fig. 1
Fig. 2
Fig. 3
Fig. 4

References

  1. Altinors N, Kars Z, Cepoglu C (1991) Rare causes of hemifacial spasm. Report of two cases. Clin Neurol Neurosurg 93:155–158

    Article  CAS  PubMed  Google Scholar 

  2. Arunkumar MJ, Haran RP, Chandy MJ (1999) Spontaneous fluctuation in the size of a midline posterior fossa arachnoid cyst. Br J Neurosurg 13:326–328

    Article  CAS  PubMed  Google Scholar 

  3. Boltshauser E, Martin F, Altermatt S (2002) Outcome in children with space-occupying posterior fossa arachnoid cysts. Neuropediatrics 33:118–121

    Article  CAS  PubMed  Google Scholar 

  4. Choi JU, Kim DS (1998) Pathogenesis of arachnoid cyst: congenital or traumatic? Pediatr Neurosurg 29:260–266

    Article  CAS  PubMed  Google Scholar 

  5. Erdincler P, Kaynar MY, Bozkus H, Ciplak N (1999) Posterior fossa arachnoid cysts. Br J Neurosurg 13:10–17

    Article  CAS  PubMed  Google Scholar 

  6. O’Reilly RC, Hallinan EK (2003) Posterior fossa arachnoid cysts can mimic Meniere’s disease. Am J Otolaryngol 24:420–425

    Article  PubMed  Google Scholar 

  7. Ottaviani F, Neglia CB, Scotti A, Capaccio P (2002) Arachnoid cyst of the cranial posterior fossa causing sensorineural hearing loss and tinnitus: a case report. Eur Arch Otorhinolaryngol 259:306–308

    PubMed  Google Scholar 

  8. Pandey P, Tripathi M, Chandra PS, Singh VP, Mehta VS (2001) Spontaneous decompression of a posterior fossa arachnoid cyst: a case report. Pediatr Neurosurg 35:162–163

    Article  CAS  PubMed  Google Scholar 

  9. Pappas DG, Brackmann DE (1981) Arachnoid cysts of the posterior fossa. Otolaryngol Head Neck Surg 89:328–332

    CAS  PubMed  Google Scholar 

  10. Samii M, Carvalho GA, Schuhmann MU, Matthies C (1999) Arachnoid cysts of the posterior fossa. Surg Neurol 51:376–382

    Article  CAS  PubMed  Google Scholar 

  11. Sinha S, Brown JI (2004) Familial posterior fossa arachnoid cyst. Childs Nerv Syst 20:100–103

    Article  PubMed  Google Scholar 

  12. Yeh HS, Tew JM Jr, Ramirez RM (1981) Microsurgical treatment of intractable hemifacial spasm. Neurosurgery 9:383–386

    CAS  PubMed  Google Scholar 

Download references

Author information

Affiliations

Authors

Corresponding author

Correspondence to Benoit Pirotte.

Rights and permissions

Reprints and Permissions

About this article

Cite this article

Pirotte, B., Morelli, D., Alessi, G. et al. Facial nerve palsy in posterior fossa arachnoid cysts: report of two cases. Childs Nerv Syst 21, 587–590 (2005). https://doi.org/10.1007/s00381-004-1073-5

Download citation

  • Received:

  • Published:

  • Issue Date:

  • DOI: https://doi.org/10.1007/s00381-004-1073-5

Keywords

  • Arachnoid cyst
  • Posterior fossa
  • Cerebellopontine angle
  • Facial nerve palsy