Skip to main content

Low-grade gliomas and leptomeningeal dissemination: a poorly understood phenomenon

Abstract

Discussion

The leptomeningeal dissemination (LMD) of low-grade gliomas (LGGs) is reported in clinical neuro-oncology practice more and more frequently. It is estimated that 5% of all childhood LGGs present LMD at diagnosis and 7–10% at the time of progression. LMD has been reported in association with almost all the known subtypes of LGGs. Furthermore, "unusual " LGGs can be encountered among slow-growing brain neoplasm capable of LMD, which cannot comfortably be included in the present WHO brain tumour classification. The biological, genetic and clinical characteristics that seem to favour LMD are far from being understood. Similarly, the clinical profile of those children with disseminated LGGs has not yet been firmly established. Young, non-neurofibromatosis type 1 boys with large hypothalamic-chiasmatic pilocytic astrocytomas seem to be at increased risk of LMD. The neuroradiological appearance of LMD in childhood LGGs is similar to that observed in malignant tumours, except for those cases characterised by multiple superficial non-enhancing cystic lesions, which seem to be almost exclusively associated with a type of slow-growing not yet fully identified brain stem or spinal tumour. No firm guidelines for the treatment of these diseases are yet available, mostly due to the rarity of this condition and the existing uncertainties regarding their natural clinical history.

Conclusion

The evidence of LMD in children with LGGs does not seem to have a negative impact on patients' long-term outcome.

This is a preview of subscription content, access via your institution.

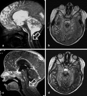
Fig. 1.
Fig. 2.
Fig. 3.

References

  1. Akar Z, Tanriover N, Kafadar AM, Gazioglu N, Oz B, Kuday C (2000) Chiasmatic low-grade glioma presenting with sacral intradural spinal metastases. Childs Nerv Syst 16:309–311

    Google Scholar 

  2. Bailey OT (1936) Relation of glioma of the leptomeninges to neuroglia nests; report of a case of astrocytoma of leptomeninges. Arch Pathol 21:584–600

    Google Scholar 

  3. Bamberg M, Hess CF, Kortmann RD (1998) Zentralnervensystem. In: Scherer E, Sack H (eds) Strahlentherapie/radiologische Onkologie 4. Springer, Berlin Heidelberg New York, pp 763–808

  4. Barnard RO, Geddes JF (1987) The incidence of multifocal cerebral gliomas. A histologic study of large hemisphere sections. Cancer 60:1519–1531

    CAS  PubMed  Google Scholar 

  5. Berger MS, Baumeister B, Geyer JR, Milstein J, Kanev PM, LeRoux PD (1991) The risk of metastases from shunting in children with primary central nervous system tumors. J Neurosurg 74:872–877

    CAS  PubMed  Google Scholar 

  6. Braun-Fischer A, Romeike BFM, Eymann R, Glas B, Riesinger P, Reiche W (1997) Pilozytisches Astrocytom mit subarachnoidaler Dissemination. Radiologe 37:899–904

    Article  CAS  PubMed  Google Scholar 

  7. Brown MT, Friedman HS, Oakes J, Boyko OB, Hockenberger B, Schold SC (1993) Chemotherapy for pilocytic astrocytoma. Cancer 71:3165–3172

    CAS  PubMed  Google Scholar 

  8. Cheng R, Chir B, MacDonald DR, et al (1995) Primary diffuse leptomeningeal oligodendroglioma. J Neurosurg 83:724–728

    PubMed  Google Scholar 

  9. Civitello LA, Packer RJ, Rorke LB, Siegel K, Sutton LN, Schut L (1988) Leptomeningeal dissemination of low grade gliomas in children. Neurology 38:562–566

    CAS  PubMed  Google Scholar 

  10. Cooper IS, Graig WM, Kernohan JW (1951) Tumors of the spinal cord. Primary extramedullary gliomas. Surg Gynecol Obstet 92:183–190

    Google Scholar 

  11. Eng DY, DeMonte F, Ginsberg L, Fuller GN, Jackle K (1997) Craniospinal dissemination of central neurocytoma. Report of two cases. J Neurosurg 86:547–552

    CAS  PubMed  Google Scholar 

  12. Gajjar A, Bhargava R, Jenkins JJ, Heideman R, Sanford RA, Langston JW, Walter AW, Kuttesch JF, Muhlbauer M, Kun LE (1995) Low-grade astrocytoma with neuroaxis dissemination at diagnosis. J Neurosurg 83:67–71

    CAS  PubMed  Google Scholar 

  13. Giannini C, Scheithauer BW, Burger PC, Christensen MR, Wollan PC, Sebo TJ, Forsyth PA, Hayostek CJ (1999) Cellular proliferation in pilocytic and diffuse astrocytoma. J Neuropathol Exp Neurol 58:46–53

    Google Scholar 

  14. Gnekow AK, Walker DA, Zanetti I, Soeliner S, Perilongo G (2002) Disseminated or multicentric low grade glioma: the role of vincristine/carboplatin; data from the SIP/GPOH low grade glioma study. Proceedings of the 10th International Symposium on Paediatric Neuro-oncology, London, 9–12 June

    Google Scholar 

  15. Harris BT, Horoupian DS (2000) Spinal cord glioneuronal tumor with rosetted; neuropil islands and meningeal dissemination: a case report. Acta Neuropathol 100:575–579

    Article  CAS  PubMed  Google Scholar 

  16. Huang T, Zimmerman RA, Perilongo G, Kaufman BA, Holden KR, Carollo C, "Kling" Chong WK (2001) An unusual cystic appearance of disseminated low-grade gliomas. Neuroradiology 43:868–874

    Google Scholar 

  17. Hukin J, Siffert J, Velasquez L, Zagag D, Alle J (2002) Leptomeningeal dissemination in children with progressive low-grade neuroepithelial tumors. Neurooncology 4:253–260

    Google Scholar 

  18. Kernohan JW, Woltman HW, Adson AW (1931) Intramedullary tumors of the spinal cord: a review of 51 cases with an attempt at histological classification. Arch Neurol Psychiatry 25:679–701

    Google Scholar 

  19. Kleihues P, Cavanee WK (1997) Pathology and genetics; tumours of the nervous system. International Agency for Research on Cancer, Lyon

  20. Kocks W, Kalff R, Reinhardt V, Grote W, Hilke J (1989) Spinal metastasis of pilocytic astrocytoma of the chiasma opticum. Childs Nerv Syst 5:118–120

    CAS  PubMed  Google Scholar 

  21. Leonard N, Alcutt DA, Farrel MA (1998) Fatal pleomorphic xanthoastrocytoma with meningeal gliomatosis. Histopathology 34:375–378

    Article  Google Scholar 

  22. Lesage F, Grill J, Cinalli G, Lellouch-Tubiana A, Cuanet, Kalifa C (1998) Metastatic low-grade glioma in 16 children: presentation, treatment and outcome. Childs Nerv Syst 14:483

    Google Scholar 

  23. MacDonald TJ, Brown KM, LaFleur B, Peterson K, Lawlor C, Chen Y, Packer RJ, Cogen P, Stephan DA (2001) Expression profiling of medulloblastoma: PDGFRA and the RAS/MAPK pathway as therapeutic targets for metastatic disease. Nat Genet 29:143–152

    Article  CAS  PubMed  Google Scholar 

  24. Mamelak AN, Prados MD, Obana WG, Cogen PH, Edwards SB (1994) Treatment options and prognosis for multicentric juvenile pilocytic astrocytoma. J Neurosurg 81:24–30

    CAS  PubMed  Google Scholar 

  25. McCowage G, Tien R, McLendon R, Felsberg G, Fuchs H, Graham ML, Kurtzberg J, Moghrabi A, Ferrell L, Kerby T, Duncan-Brown M, Stewart E, Robertson PL, Colvin OM, Golembe B, Bigner DD, Friedman HS (1996) Successful treatment of childhood pilocytic astrocytomas metastatic to the leptomeninges with high-dose cyclophosphamide. Med Pediatr Oncol 27:32–39

    Article  CAS  PubMed  Google Scholar 

  26. Mishima K, Nakamura M, Nakamura H, Nakamura O, Funata N, Shitara N (1992) Leptomeningeal dissemination of cerebellar pilocytic astrocytoma. J Neurosurg 77:788–791

    CAS  PubMed  Google Scholar 

  27. Obana WG, Cogen PH, Davis RL, Edwards MSB (1991) Metastatic juvenile pilocytic astrocytoma. J Neurosurg 75:972–975

    CAS  PubMed  Google Scholar 

  28. Perilongo G, Carollo C, Salviati L, Murgia A, Pillon M, Basso G, Gardiman M, Laverda AM (1997) Diencephalic syndrome and disseminated juvenile pilocytic astrocytomas of the hypothalamic-optic chiasm region. Cancer 80:142–146

    CAS  PubMed  Google Scholar 

  29. Perilongo G, Gardiman M, Bisaglia L, Rigobello L, Calderone M, Battistella AM, Burnelli R, Giangaspero F (2002) Spinal low grade glioma with extensive leptomeningeal dissemination in children; a critical re-appraisal. Childs Nerv Syst 18:505–512

    PubMed  Google Scholar 

  30. Pollack IF, Hurtt M, Pang D, Albright AL (1994) Dissemination of low grade intracranial astrocytoma in children. Cancer 73:2869–2878

    CAS  PubMed  Google Scholar 

  31. Prados M, Mamelak AN (1994) Metastasizing low grade gliomas in children. Redefining an old disease. Cancer 73:2671–2673

    CAS  PubMed  Google Scholar 

  32. Roda JM, Gutiérre-Molina M (1995) Multiple intraspinal low-grade astrocytoma mixed with lipoma (astrolipoma). J Neurosurg 82:891–894

    CAS  PubMed  Google Scholar 

  33. Rutka JT, George RE, Davidson G, Hoffmann HJ (1991) Low-grade astrocytoma of the tectal region as an unusual cause of knee pain: case report. Neurosurgery 29:608–612

    CAS  PubMed  Google Scholar 

  34. Tamura M, Zama A, Kurihara H, Fujimaki H, Imai H, Kano T, Saitoh F (1998) Management of recurrent pilocytic astrocytoma with leptomeningeal dissemination in childhood. Childs Nerv Syst 14:617–622

    Article  CAS  PubMed  Google Scholar 

  35. Tihan T, Fisher PG, Kepner JL, et al (1999) Pediatric astrocytoma with monomorphous pilomyxoid features and a less favorable outcome. J Neuropathol Exp Neurol 58:1061–1068

    CAS  PubMed  Google Scholar 

  36. Trigg M, Swanson JD, Letellier MA (1983) Metastasis of an optic glioma through a ventriculoperitoneal shunt. Cancer 52:599–601

    CAS  PubMed  Google Scholar 

Download references

Acknowledgement

This work was partially supported by a grant from the Foundation "Città della Speranza".

Author information

Affiliations

Authors

Corresponding author

Correspondence to Giorgio Perilongo.

Rights and permissions

Reprints and Permissions

About this article

Cite this article

Perilongo, G., Garrè, M.L. & Giangaspero, F. Low-grade gliomas and leptomeningeal dissemination: a poorly understood phenomenon. Childs Nerv Syst 19, 197–203 (2003). https://doi.org/10.1007/s00381-003-0733-1

Download citation

  • Received:

  • Published:

  • Issue Date:

  • DOI: https://doi.org/10.1007/s00381-003-0733-1

Keywords

  • Low-grade glioma
  • Leptomeningeal dissemination
  • Brain tumours
  • Childhood