Skip to main content

Makulaschichtforamen mit hyporeflektivem epiretinalem Gewebe

OCT-Diagnostik und klinischer Verlauf

Lamellar macular holes with hyporeflective epiretinal proliferation

OCT diagnostics and clinical course

Zusammenfassung

Hintergrund

Die hochauflösende Spektral-Domain-optische Kohärenztomographie (SD-OCT) ist die Standarduntersuchung zur Beurteilung nicht vollständig durchgreifender Makuladefekte. Anhand in der SD-OCT festgelegter Diagnosekriterien ist das Makulaschichtforamen (MSF) vom Pseudoforamen (PF) abzugrenzen und zeichnet sich durch eine irreguläre foveale Kontur, einen Defekt der inneren Fovea sowie eine innere Spaltbildung aus.

Fragestellung

Ziel der Arbeit ist ein Überblick über den aktuellen Kenntnisstand zur Diagnostik und zum klinischen Verlauf von MSF.

Material und Methoden

Die Auswertung basiert auf dem aktuellen Stand der Literatur und eigenen Datenauswertungen aus der Augenklinik der Universität München.

Ergebnisse

Bei der Mehrzahl der Augen mit MSF lassen sich neben konventionellen traktiven epiretinalen Membranen (ERM) homogene atypische epiretinale Proliferationen (LHEP) beschreiben. Diese zeigen sich in der SD-OCT als hyporeflektives dicht aufgelagertes Material und weisen im Gegensatz zur klassischen ERM keine kontraktilen Zellkomponenten auf. Das Vorkommen von LHEP korreliert im SD-OCT mit Defekten der Photorezeptorschicht, dünnerer fovealer Netzhautdicke und einer Zunahme der intraretinalen Spaltbildung mit Gewebeverlust sowie mit einer schlechteren Sehschärfe. Die Fundusautofluoreszenz (FAF) war bei allen Augen mit MSF positiv.

Schlussfolgerung

Die Korrelation von SD-OCT und En-face-OCT kann helfen, Subgruppen zu identifizieren und eine Progression frühzeitig zu erkennen. Die FAF erlaubt eine erste Detektion struktureller Veränderungen bereits im subklinischen Stadium ohne Visuseinschränkung. Die derzeit gültige Klassifikation sollte aufgrund von Übergangformen zu PF der Makula und hoher Variabilität der intraretinalen Spaltbildung sowie der epiretinalen Proliferation überdacht werden.

Abstract

Background

High-resolution spectral domain optical coherence tomography (SD-OCT) is the standard examination for assessment of lamellar macular holes (LMH). According to the current SD-OCT classification of LMHs, they are characterized by (1) an irregular foveal contour, (2) a defect in the inner fovea, and (3) a separation of inner retinal layers from outer retinal layers of the fovea leading to an intraretinal splitting with loss of retinal tissue.

Objective

The article aims to give an overview on the current knowledge of retinal imaging in LMH diagnostics and clinical course of disease.

Materials and methods

This review is based on current literature and analyses of data from different case series from the Department of Ophthalmology, Ludwig-Maximilian University Munich, Germany.

Results

In eyes with LMH, a homogenous atypical, hyporeflective epiretinal tissue has been described in addition to conventional tractional epiretinal membranes (ERM). By SD-OCT, this named lamellar hole-associated epiretinal proliferation (LHEP) does not show common signs of traction and is characterized as a thick homogenous layer of moderately reflective material. LHEP has been demonstrated to be related to the occurrence of photoreceptor layer defects, enlargement of LMH diameter and poor visual acuity.

Conclusion

The correlation of SD-OCT and en-face OCT can help to identify LMH subgroups and morphology progression early on. FAF enables detection of structural changes at a subclinical stage without visual deterioration. With regard to a high variability of intraretinal changes in LMHs and epimacular fibro-cellular proliferation, the current classification of LMH should be discussed and re-evaluated.

This is a preview of subscription content, access via your institution.

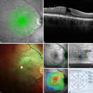
Abb. 1
Abb. 2
Abb. 3
Abb. 4

Literatur

  1. Haouchine B, Massin P, Tadayoni R, Erginay A, Gaudric A (2004) Diagnosis of macular pseudoholes and lamellar macular holes by optical coherence tomography. Am J Ophthalmol 138:732–739

    Article  PubMed  Google Scholar 

  2. Witkin AJ, Ko TH, Fujimoto JG et al (2006) Redefining lamellar holes and the vitreomacular interface: an ultrahigh-resolution optical coherence tomography study. Ophthalmology 113:388–397

    Article  PubMed  PubMed Central  Google Scholar 

  3. Duker JS, Kaiser PK, Binder S et al (2013) The International Vitreomacular Traction Study Group classification of vitreomacular adhesion, traction, and macular hole. Ophthalmology 120:2611–2619

    Article  PubMed  Google Scholar 

  4. Govetto A, Dacquay Y, Farajzadeh M et al (2016) Lamellar macular hole: Two distinct clinical entities? Am J Ophthalmol 164:99–109

    Article  PubMed  Google Scholar 

  5. Gaudric A, Aloulou Y, Tadayoni R, Massin P (2013) Macular pseudoholes with lamellar cleavage of their edge remain pseudoholes. Am J Ophthalmol 155:733–742

    Article  PubMed  Google Scholar 

  6. Delori FC, Dorey CK, Staurenghi G et al (1995) In vivo fluorescence of the ocular fundus exhibits retinal pigment epithelium lipofuscin characteristics. Invest Ophthalmol Vis Sci 36:718–729

    CAS  PubMed  Google Scholar 

  7. Staurenghi G, Sadda S, Chakravarthy U et al (2014) International Nomenclature for Optical Coherence Tomography [IN•OCT] Panel. Proposed lexicon for anatomic landmarks in normal posterior segment spectral-domain optical coherence tomography: the IN•OCT consensus. Ophthalmology 121(8):1572–1578

    Article  PubMed  Google Scholar 

  8. Bottoni F, Carmassi L, Cigada M et al (2008) Diagnosis of macular pseudo-holes and lamellar macular holes: is optical coherence tomography the gold standard? Br J Ophthalmol 92:635–639

    CAS  Article  PubMed  Google Scholar 

  9. Parolini B, Schumann RG, Cereda MG, Haritoglou C, Pertile G (2011) Lamellar macular hole: a clinicopathologic correlation of surgically excised epiretinal membranes. Invest Ophthalmol Vis Sci 52:9074–9083

    Article  PubMed  Google Scholar 

  10. Schumann RG, Compera D, Schaumberger MM et al (2015) Epiretinal membrane characteristics correlate with photoreceptor layer defects in lamellar macular holes and macular pseudoholes. Retina 35:727–735

    Article  PubMed  Google Scholar 

  11. Compera D, Entchev E, Haritoglou C et al (2015) Lamellar hole-associated epiretinal proliferation in comparison to epiretinal membranes of macular pseudoholes. Am J Ophthalmol 160:373–384

    Article  PubMed  Google Scholar 

  12. Compera D, Entchev E, Haritoglou C et al (2015) Correlative microscopy of lamellar hole-associated epiretinal proliferation. J Ophthalmol 2015:450212

    PubMed  PubMed Central  Google Scholar 

  13. Pang CE, Spaide RF, Freund KB (2014) Epiretinal proliferation seen in association with lamellar macular holes: a distinct clinical entity. Retina 34:1513–1523

    Article  PubMed  Google Scholar 

  14. Pang CE, Spaide RF, Freund KB (2015) Comparing functional and morphologic characteristics of lamellar macular holes with and without lamellar hole-associated epiretinal proliferation. Retina 35:720–726

    Article  PubMed  Google Scholar 

  15. Compera D, Schumann RG, Cereda MG, Acquistapace A, Lita V, Priglinger SG, Staurenghi G, Bottoni F (2017) Progression of lamellar hole-associated epiretinal proliferation and retinal changes during long-term follow-up. Br J Ophthalmol. https://doi.org/10.1136/bjophthalmol-2016-310128

  16. Zampedri E, Romanelli F, Semeraro F, Parolini B, Frisina R. (2017) Spectral-domain optical coherence tomography findings in idiopathic lamellar macular hole. Graefes Arch Clin Exp Ophthalmol. 255(4):699–707. Epub 2016 Nov 16.

    Google Scholar 

  17. dell’Omo R, Virgili G, Rizzo S, et al. (2017) Role of lamellar hole-associated epiretinal proliferation in lamellar macular holes. Am J Ophthalmol. 175:16–29. Epub 2016 Nov 24.

  18. Bottoni F, Deiro AP, Giani A, Orini C, Cigada M, Staurenghi G (2013) The natural history of lamellar macular holes: a spectral domain optical coherence tomography study. Graefes Arch Clin Exp Ophthalmol 251:467–475

    Article  PubMed  Google Scholar 

  19. Hirakawa M, Uemura A, Nakano T, Sakamoto T (2005) Pars plana vitrectomy with gas tamponade for lamellar macular holes. Am J Ophthalmol 140:1154–1155

    Article  PubMed  Google Scholar 

  20. Androudi S, Stangos A, Brazitikos PD (2009) Lamellar macular holes: tomographic features and surgical outcome. Am J Ophthalmol 148:420–426

    Article  PubMed  Google Scholar 

  21. Michalewska Z, Michalewski J, Odrobina D et al (2010) Surgical treatment of lamellar macular holes. Graefes Arch Clin Exp Ophthalmol 248:1395–1400

    Article  PubMed  Google Scholar 

  22. Sun JP, Chen SN, Chuang CC et al (2013) Surgical treatment of lamellar macular hole secondary to epiretinal membrane. Graefes Arch Clin Exp Opthalmol 251:2681–2688

    Article  Google Scholar 

  23. Lai TT, Chen SN, Yang CM (2016) Epiretinal proliferation in lamellar macular holes and full-thickness macular holes: clinical and surgical findings. Graefes Arch Clin Exp Ophthalmol 254:629–638

    Article  PubMed  Google Scholar 

  24. Ko J, Kim GA, Lee SC, et al. (2017) Surgical outcomes of lamellar macular holes with and without lamellar hole-associated epiretinal proliferation. Acta Ophthalmol. 95(3):e221–e226. https://doi.org/10.1111/aos.13245

Download references

Author information

Affiliations

Authors

Corresponding author

Correspondence to D. Vogt.

Ethics declarations

Interessenkonflikt

D. Vogt, F. Bottoni, S. G. Priglinger und R. G. Schumann geben an, dass kein Interessenkonflikt besteht.

Dieser Beitrag beinhaltet keine von den Autoren durchgeführten Studien an Menschen oder Tieren.

Rights and permissions

Reprints and Permissions

About this article

Verify currency and authenticity via CrossMark

Cite this article

Vogt, D., Bottoni, F., Priglinger, S.G. et al. Makulaschichtforamen mit hyporeflektivem epiretinalem Gewebe. Ophthalmologe 114, 1100–1109 (2017). https://doi.org/10.1007/s00347-017-0597-5

Download citation

  • Published:

  • Issue Date:

  • DOI: https://doi.org/10.1007/s00347-017-0597-5

Schlüsselwörter

  • Epiretinale Membran
  • Makulaschichtforamen
  • Pseudoforamen der Makula
  • Optische Kohärenztomographie
  • Autofluoreszenzbildgebung

Keywords

  • Epiretinal membrane
  • Lamellar macular hole
  • Macular pseudohole
  • Optical coherence tomography
  • Fundus autofluorescence