Skip to main content

Update endokrine Orbitopathie

Update on endocrine orbitopathy

Zusammenfassung

Bei der endokrinen Orbitopathie handelt es sich um eine Autoimmunerkrankung der Bindegewebe der okulären Adnexe, die meist zusammen mit einer Autoimmunthyreopathie vom Typ Basedow auftritt. Spezifisch ist das Auftreten von Anti-TSH-Rezeptor-Antikörpern, deren Spiegel mit dem Verlauf sowohl der Orbita- als auch der Schilddrüsenerkrankung assoziiert sind. Einer akuten entzündlichen Phase folgt ein Stadium der Defektheilung. Hervortretende Augen, Doppelbildwahrnehmung und Oberlidretraktion sowie die Entzündungssymptome können die Lebensqualität der Patienten erheblich beeinträchtigen. Als antientzündliche Maßnahmen stehen i.v.-Steroide, „off label“ eine immunsuppressive Therapie und eine Selensupplementation oder auch eine notfallmäßige Orbitadekompression zur Verfügung. Im inaktiven Stadium können Exophthalmus, Augenbewegungsstörungen und Lidfehlstellungen durch operative Maßnahmen wie Orbitadekompression, Augenmuskelrücklagerungen und Lidchirurgie erfolgreich korrigiert werden.

Abstract

Graves’ orbitopathy is an autoimmune disease of the ocular adnex connective tissue and most commonly occurs together with Grave’s hyperthyroidism. Anti-TSH receptor antibodies are specific for Graves’ disease and are related to both the course of thyroid and orbital diseases. An active inflammatory disease stage is followed by an inactive stage of incomplete remission in most patients. Periorbital swelling, proptosis, diplopia and lid retraction severely impair the patients’ quality of life. In the active state anti-inflammatory treatment consists of i.v. steroids, off-label use of immunomodulatory medication, selenium and in emergency cases orbital decompression. Fortunately, defects in inactive stable Graves’ orbitopathy can be successfully treated by surgery and involve decompression for proptosis reduction, muscle recession to correct diplopia and (finally) lid surgery.

This is a preview of subscription content, access via your institution.

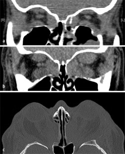
Abb. 1
Abb. 2
Abb. 3
Abb. 4
Abb. 5
Abb. 6
Abb. 7
Abb. 8
Abb. 9

Literatur

  1. Iyer S, Bahn R (2012) Immunopathogenesis of Graves‘ ophthalmopathy: the role of the TSH receptor. Best Pract Res Clin Endocrinol Metab 26(3):281–289

    PubMed  Article  CAS  Google Scholar 

  2. Smith TJ, Hegedus L, Douglas RS (2012) Role of insulin-like growth factor-1 (IGF-1) pathway in the pathogenesis of Graves‘ orbitopathy. Best Pract Res Clin Endocrinol Metab 26(3):291–302

    PubMed  Article  CAS  Google Scholar 

  3. Eckstein AK et al (2009) Current insights into the pathogenesis of Graves‘ orbitopathy. Horm Metab Res 41(6):456–464

    PubMed  Article  CAS  Google Scholar 

  4. Smith TJ (2010) Potential role for bone marrow-derived fibrocytes in the orbital fibroblast heterogeneity associated with thyroid-associated ophthalmopathy. Clin Exp Immunol 162(1):24–31

    PubMed  Article  CAS  Google Scholar 

  5. Mourits MP et al (1997) Clinical activity score as a guide in the management of patients with Graves‘ ophthalmopathy. Clin Endocrinol (Oxf) 47(1):9–14

    Google Scholar 

  6. Eckstein A et al (2009) Euthyroid and primarily hypothyroid patients develop milder and significantly more asymmetric Graves ophthalmopathy. Br J Ophthalmol 93:1052–1056

    PubMed  Article  CAS  Google Scholar 

  7. Perros P, Kendall-Taylor P (1998) Natural history of thyroid eye disease. Thyroid 8(5):423–425

    PubMed  Article  CAS  Google Scholar 

  8. Bartalena L et al (2008) Consensus statement of the European Group on Graves‘ orbitopathy (EUGOGO) on management of GO. Eur J Endocrinol 158(3):273–285

    PubMed  Article  CAS  Google Scholar 

  9. Marcocci C et al (2011) Selenium and the course of mild Graves‘ orbitopathy. N Engl J Med 364(20):1920–1931

    PubMed  Article  CAS  Google Scholar 

  10. Zang S, Ponto KA, Kahaly GJ (2011) Clinical review: Intravenous glucocorticoids for Graves‘ orbitopathy: efficacy and morbidity. J Clin Endocrinol Metab 96(2):320–332

    PubMed  Article  CAS  Google Scholar 

  11. Bartalena L et al (2012) Efficacy and safety of three different cumulative doses of intravenous methylprednisolone for moderate to severe and active Graves‘ orbitopathy. J Clin Endocrinol Metab 97(12):4454–4463

    PubMed  Article  CAS  Google Scholar 

  12. Mourits MP et al (2000) Radiotherapy for Graves‘ orbitopathy: randomised placebo-controlled study. Lancet 355(9214):1505–1509

    PubMed  Article  CAS  Google Scholar 

  13. Terwee CB et al (2005) Measuring disease activity to predict therapeutic outcome in Graves‘ ophthalmopathy. Clin Endocrinol (Oxf) 62(2):145–155

    Google Scholar 

  14. Garrity JA et al (1993) Results of transantral orbital decompression in 428 patients with severe Graves‘ ophthalmopathy. Am J Ophthalmol 116(5):533–547

    PubMed  CAS  Google Scholar 

  15. Salvi M et al (2007) Treatment of Graves‘ disease and associated ophthalmopathy with the anti-CD20 monoclonal antibody rituximab: an open study. Eur J Endocrinol 156(1):33–40

    PubMed  Article  CAS  Google Scholar 

  16. Wabbels B, Forl M (2007) Botulinum toxin treatment for crocodile tears, spastic entropion and for dysthyroid upper eyelid retraction. Ophthalmologe 104(9):771–776

    PubMed  Article  CAS  Google Scholar 

  17. Lazarus JH (2012) Epidemiology of Graves‘ orbitopathy (GO) and relationship with thyroid disease. Best Pract Res Clin Endocrinol Metab 26(3):273–279

    PubMed  Article  Google Scholar 

  18. Eckstein A et al (2009) Role of TSH receptor autoantibodies for the diagnosis of Graves‘ disease and for the prediction of the course of hyperthyroidism and ophthalmopathy. Recommendations of the thyroid section of the German Society of Endocrinology. Med Klin (Munich) 104(5):343–348

    Google Scholar 

  19. Eckstein AK et al (2007) Patients with severe Graves‘ ophthalmopathy have a higher risk of relapsing hyperthyroidism and are unlikely to remain in remission. Clin Endocrinol (Oxf) 67(4):607–612

    Google Scholar 

  20. Bartalena L (2011) The dilemma of how to manage Graves‘ hyperthyroidism in patients with associated orbitopathy. J Clin Endocrinol Metab 96(3):592–599

    PubMed  Article  CAS  Google Scholar 

  21. Eckstein A, Schittkowski M, Esser J (2012) Surgical treatment of Graves‘ ophthalmopathy. Best Pract Res Clin Endocrinol Metab 26(3):339–358

    PubMed  Article  Google Scholar 

  22. Verity DH, Rose GE (2013) Acute thyroid eye disease (TED): principles of medical and surgical management. Eye 27(3):308–319

    PubMed  Article  CAS  Google Scholar 

  23. Baldeschi L (2010) Small versus coronal incision orbital decompression in Graves‘ orbitopathy. Orbit 29(4):177–182

    PubMed  Article  Google Scholar 

  24. Baldeschi L et al (2005) The removal of the deep lateral wall in orbital decompression: its contribution to exophthalmos reduction and influence on consecutive diplopia. Am J Ophthalmol 140(4):642–647

    PubMed  Article  Google Scholar 

  25. Kalpadakis P et al (2004) Muscle surgery in patients with Graves‘ disease using topical anesthesia. Ophthalmology 111(8):1563–1568

    PubMed  Article  Google Scholar 

  26. Esser J, Eckstein A (1999) Ocular muscle and eyelid surgery in thyroid-associated orbitopathy. Exp Clin Endocrinol Diabetes 107(Suppl 5):S214–S221

    PubMed  Article  CAS  Google Scholar 

  27. Esser J, Schittkowski M, Eckstein A (2011) Graves‘ orbitopaty: inferior rectus tendon elongation for large vertical squint angles that cannot be corrected by simple muscle recession. Klin Monatsbl Augenheilkd 228(10):880–886

    PubMed  Article  CAS  Google Scholar 

  28. Neoh C, Eckstein A (2010) Eyelid surgery. In: Wiersinga WM, Kahaly GJ (Hrsg) Graves‘ orbitopathy: a multidisciplinary approach – questions and answers. Karger, Basel, S 200–210

  29. Mourits MP, Koornneef L (1991) Lid lengthening by sclera interposition for eyelid retraction in Graves‘ ophthalmopathy. Br J Ophthalmol 75(6):344–347

    PubMed  Article  CAS  Google Scholar 

  30. Eckstein A, Esser J (2011) A temporal tarsorrhaphy increases the effect of lower lid lengthening in patients with Graves‘ orbitopathy. Klin Monatsbl Augenheilkd 228(10):887–891

    PubMed  Article  CAS  Google Scholar 

Download references

Einhaltung ethischer Richtlinien

Interessenkonflikt. A. Eckstein, U. Berchner-Pfannschmidt, D. Führer und J. Esser geben an, dass kein Interessenkonflikt besteht.

Dieser Beitrag beinhaltet keine Studien an Menschen oder Tieren.

Alle Patienten, die über Bildmaterial oder anderweitige Angaben innerhalb des Manuskripts zu identifizieren sind, haben hierzu ihre schriftliche Einwilligung gegeben. Im Falle von nicht mündigen Patienten liegt die Einwilligung eines Erziehungsberechtigen oder des gesetzlich bestellten Betreuers vor.

Author information

Affiliations

Authors

Corresponding author

Correspondence to A. Eckstein.

Rights and permissions

Reprints and Permissions

About this article

Cite this article

Eckstein, A., Berchner-Pfannschmidt, U., Führer, D. et al. Update endokrine Orbitopathie. Ophthalmologe 110, 1079–1096 (2013). https://doi.org/10.1007/s00347-013-2976-x

Download citation

  • Published:

  • Issue Date:

  • DOI: https://doi.org/10.1007/s00347-013-2976-x

Schlüsselwörter

  • Immunmodulatorische Therapie
  • Okuloplastische Rekonstruktion
  • TSH-Rezeptor-Antikörper
  • Interdisziplinäre Therapie
  • Autoimmunerkrankung

Keywords

  • Immunomodulatory treatment
  • Oculoplastic and reconstructive surgery
  • TSH receptor antibody
  • Interdisciplinary management
  • Autoimmune diseases