Skip to main content

Rezidivierender maligner solitärer fibröser Tumor der Orbita

Recurrent malignant solitary fibrous tumor of the orbit

Zusammenfassung

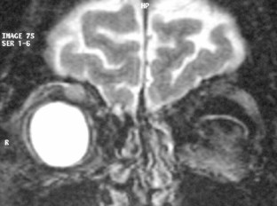
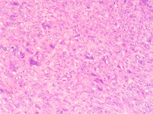
Eine 53-jährige Patientin stellte sich mit einer seit 18 Monaten bestehenden tastbaren Raumforderung der rechten medialen Orbita vor. Das linke Auge war im Kindesalter wegen einer perforierenden Verletzung enukleiert worden. Eine auswärts durchgeführte orbitale Biopsie hatte bis auf unspezifische Entzündungszeichen keine klärende Diagnose erbracht. Eine auswärts durchgeführte systemische Therapie mit Kortikosteroiden war ohne Erfolg. Eine zweite orbitale Biopsie wurde in unserer Klinik durchgeführt und zeigte einen solitären fibrösen Tumor (SFT) der Orbita. Eine mediale Orbitotomie mit Tumorexzision erfolgte und die histologische Untersuchung des exzidierten Tumors ergab einen SFT der Orbita mit fokaler sarkomatöser Transformation. Die Patientin stellte sich 3 Jahre später mit einer neuen Raumforderung in einer MRT-Kontrolluntersuchung vor. Bei hochgradigem Verdacht auf ein Rezidiv wurde eine Orbitotomie mit Exzision der Raumforderung durchgeführt. Die histologische Untersuchung zeigte einen rezidivierenden SFT der Orbita mit sarkomatöser Transformation in seiner gesamten Ausdehnung. Anschließend wurde eine Radiotherapie mit einer Gesamtdosis von 59,4 Gy durchgeführt. Die Patientin war tumorfrei bei der letzten Kontrolluntersuchung 3 Jahre später.

Abstract

A 53-year-old female patient presented with a palpable mass in the right medial orbit which had been present for 18 months. The left eye had been enucleated in childhood due to a perforating injury. An orbital biopsy performed ex domo showed unspecific inflammatory tissue but no definite diagnosis was made and systemic therapy with corticosteroids was unsuccessful. A second orbital biopsy was performed in our clinic and revealed a solitary fibrous tumor (SFT) of the orbit. Medial orbitotomy with tumor excision followed and the histological examination of the excised tumor established the diagnosis of SFT of the orbit with focal sarcomatous transformation. The patient presented 3 years later with a new orbital mass in a control MRI examination. Relapse was suspected and orbitotomy with excision of the mass was performed. The histological examination revealed a relapse of the SFT with sarcomatous transformation in the whole extent of the tumor. Radiotherapy with a dosis of 59.4 Gy was subsequently performed. The patient remained tumor-free in the most recent control examination 3 years later.

This is a preview of subscription content, access via your institution.

Abb. 1
Abb. 2
Abb. 3
Abb. 4
Abb. 5

Literatur

  1. Bernardini FP, Conciliis C de, Schneider S et al (2003) Solitary fibrous tumor of the orbit: is it rare? Report of a case series and review of the literature. Ophthalmology 110(7):1442–1448

    PubMed  Article  Google Scholar 

  2. Dorfman DM, To K, Dickersin GR et al (1994) Solitary fibrous tumor of the orbit. Am J Surg Pathol 18:281–287

    PubMed  Article  CAS  Google Scholar 

  3. Fletcher CDM, Unni KK, Mertens F (Hrsg) (2002) World Health Organization. Classification of tumours. Pathology and genetics of tumours of soft tissue and bone. IARC, Lyon

  4. Guillou L, Gebhard S, Coindre JM (2000) Orbital and extraorbital giant cell angiofibroma: a giant cell-rich variant of solitary fibrous tumor? Clinicopathologic and immunohistochemical analysis of a series in favor of a unifying concept. Am J Surg Pathol 24:971–979

    PubMed  Article  CAS  Google Scholar 

  5. Heathcote JG (1997) Pathology update: solitary fibrous tumor of the orbit. Can J Ophthalmol 32:432–435

    PubMed  CAS  Google Scholar 

  6. Holbach LM, Colombo F, Schlötzer- Schrehardt U et al (2002) Solitary fibrous tumor of the orbit presenting 20 years after Hodgkin’s disease. Orbit 21:49–54

    PubMed  Article  Google Scholar 

  7. Mc Elvaney AM, Noble JL, O‘ Donovan DG et al (1996) Solitary fibrous tumor: an atypical presentation within the orbit. Eye 10(Pt 3):396–399

    Google Scholar 

  8. Mentzel T, Bainbridge TC, Katenkamp D (1997) Solitary fibrous tumor: clinocopathological, immunohistochemical and ultrasound analysis of 12 cases arising in soft tissues, nasal cavity, nasopharynx, urinary bladder and prostate. Virchows Arch 430:445–453

    PubMed  Article  CAS  Google Scholar 

  9. O’Donovan DA, Bilbao JM, Fazl M et al (2002) Solitary fibrous tumor of the orbit. J Craniofac Surg 13(5):641–644

    Article  Google Scholar 

  10. Okike N, Bernatz PE, Woolner LB (1978) Localized mesothelioma of the pleura. Benign and malignant variants. J Thorac Cardiovasc Surg 75:363–372

    PubMed  CAS  Google Scholar 

  11. Polito E, Tosi M, Toti P et al (2002) Orbital solitary fibrous tumor with aggressive behaviour. Three cases and review of the literature. Graefes Arch Clin Exp Ophthalmol 240(7):570–574

    PubMed  Article  Google Scholar 

  12. Romer M, Bode B, Schuknecht B et al (2005) Solitary fibrous tumor of the orbit–two cases and a review of the literature. Eur Arch Otorhinolaryngol 262(2):81–88

    PubMed  Article  CAS  Google Scholar 

  13. Witkin GB, Rosai J (1991) Solitary fibrous tumor of the upper respiratory tract: a report of six cases. Am J Surg Pathol 15:842–848

    PubMed  Article  CAS  Google Scholar 

Download references

Interessenkonflikt

Der korrespondierende Autor gibt an, dass kein Interessenkonflikt besteht.

Author information

Affiliations

Authors

Corresponding author

Correspondence to K. Manousaridis.

Rights and permissions

Reprints and Permissions

About this article

Cite this article

Manousaridis, K., Stropahl, G. & Guthoff, R. Rezidivierender maligner solitärer fibröser Tumor der Orbita. Ophthalmologe 108, 260–264 (2011). https://doi.org/10.1007/s00347-010-2277-6

Download citation

  • Published:

  • Issue Date:

  • DOI: https://doi.org/10.1007/s00347-010-2277-6

Schlüsselwörter

  • Solitärer fibröser Tumor
  • Orbitotomie
  • Sarkomatöse Transformation
  • Ki-67-Expression
  • Immunohistochemie

Keywords

  • Solitary fibrous tumour
  • Orbitotomy
  • Sarcomatous transformation
  • Ki-67 expression
  • Immunohistochemistry