Skip to main content

Spontanverschluss traumatischer Makulaforamina

Zwei Fälle

Spontaneous closure of traumatic macular holes

Two cases

Zusammenfassung

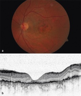
Bezüglich der optimalen Therapie des traumatischen Makulaforamens (TMF) gibt es keine Einigkeit. Wir berichten über den Spontanverschluss von TMF in 2 Fällen. Beim 1. Patienten führte der Verschluss zu einem Visusanstieg von 0,2 auf 0,8. Der 2. Patient zeigte trotz des Verschlusses wenige Tage nach dem Trauma keinen Visusanstieg. Dies ist vermutlich auf eine irreversible Schädigung von Photorezeptoren und retinalem Pigmentepithel zurückzuführen. Wegen der nicht seltenen Möglichkeit eines Spontanverschlusses von TMF hat eine abwartende Haltung bei diesem Krankheitsbild ihre Berechtigung.

Abstract

The optimal treatment approach for traumatic macular holes (TMH) is still controversial. We report two cases of spontaneous closure of TMH. In the first patient, closure resulted in an increase in visual acuity from 0.2 to 0.8. In the second case, no increase in visual acuity was detectable despite spontaneous closure of the TMH within a few days after the trauma. This may be explained by an irreversible damage of the photoreceptors and retinal pigment epithelium. In patients with TMH, a waiting approach should be considered because of the possibility of spontaneous closure of TMHs.

This is a preview of subscription content, access via your institution.

Abb. 1
Abb. 2
Abb. 3
Abb. 4
Abb. 5
Abb. 6

Literatur

  1. Amari F, Ogino N, Matsumura M et al (1999) Vitreous surgery for traumatic macular holes. Retina 19:410–413

    CAS  Article  PubMed  Google Scholar 

  2. Bosch-Valero J, Mateo J, Lavilla-Garcia L et al (2008) Spontaneous closure of full thickness traumatic macular holes. Arch Soc Esp Oftalmol 83:325–327

    CAS  PubMed  Google Scholar 

  3. Brasil OF, Brasil OM (2008) Management of traumatic macular holes: case report. Arq Bras Oftalmol 71:581–584

    Article  PubMed  Google Scholar 

  4. Carpineto P, Ciancaglini M, Aharrh-Gnama A et al (2005) Optical coherence tomography and fundus microperimetry imaging of spontaneous closure of traumatic macular hole: a case report. Eur J Ophthalmol 15:165–169

    CAS  PubMed  Google Scholar 

  5. Chen H, Zhang M, Huang S et al (2008) OCT and muti-focal ERG findings in spontaneous closure of bilateral traumatic macular holes. Doc Ophthalmol 116:159–164

    Article  PubMed  Google Scholar 

  6. Chow DR, Williams GA, Trese MT et al (1999) Successful closure of traumatic macular holes. Retina 19:405–409

    CAS  Article  PubMed  Google Scholar 

  7. Johnson RN, Mcdonald HR, Lewis H et al (2001) Traumatic macular hole: observations, pathogenesis, and results of vitrectomy surgery. Ophthalmology 108:853–857

    CAS  Article  PubMed  Google Scholar 

  8. Menchini U, Virgili G, Giacomelli G et al (2003) Mechanism of spontaneous closure of traumatic macular hole: OCT study of one case. Retina 23:104–106

    Article  PubMed  Google Scholar 

  9. Yamada H, Sakai A, Yamada E et al (2002) Spontaneous closure of traumatic macular hole. Am J Ophthalmol 134:340–347

    Article  PubMed  Google Scholar 

  10. Yamashita T, Uemara A, Uchino E et al (2002) Spontaneous closure of traumatic macular hole. Am J Ophthalmol 133:230–235

    Article  PubMed  Google Scholar 

Download references

Interessenkonflikt

Der korrespondierende Autor gibt an, dass kein Interessenkonflikt besteht.

Author information

Affiliations

Authors

Corresponding author

Correspondence to R. Khoramnia.

Rights and permissions

Reprints and Permissions

About this article

Cite this article

Khoramnia, R., Mohrenfels, C., Salgado, J. et al. Spontanverschluss traumatischer Makulaforamina. Ophthalmologe 107, 1063–1067 (2010). https://doi.org/10.1007/s00347-010-2179-7

Download citation

  • Published:

  • Issue Date:

  • DOI: https://doi.org/10.1007/s00347-010-2179-7

Schlüsselwörter

  • Traumatisches Makulaforamen
  • Spontaner Verschluss
  • Optische Kohärenztomographie (OCT)
  • Stumpfes Trauma
  • Spectral-Domain-OCT

Keywords

  • Traumatic macular hole
  • Spontaneous closure
  • Optical coherence tomography (OCT)
  • Blunt trauma
  • Spectral-domain OCT