Skip to main content

Intravitreales Bevacizumab bei der neovaskulären altersabhängigen Makuladegeneration

Intravitreal bevacizumab for neovascular age-related macular degeneration

Zusammenfassung

Die Wirksamkeit des Anti-VEGF-Therapiekonzepts bei der neovaskulären altersabhängigen Makuladegeneration (AMD) konnte bereits für Pegaptanib und Ranibizumab gezeigt werden. Mit Bevacizumab steht ein Antikörper gegen den vaskulären endothelialen Wachstumsfaktor (VEGF) zur Verfügung, der ursprünglich für onkologische Anwendungsgebiete mit intravenöser Applikation entwickelt wurde. Im „Off-label use“ von Bevacizumab zeigte sich in ersten Fallberichten auch ein Therapieeffekt nach intravitrealer Applikation bei der neovaskulären AMD. Weltweit wurden mittlerweile auf diese Weise, auch aufgrund der mitunter erstaunlich positiven morphologischen und funktionellen Effekte, schon mehrere Tausend Patienten behandelt. Allerdings fehlen kontrollierte, prospektive Studien zur Sicherheit und Wirksamkeit von Bevacizumab bei der neovaskulären AMD. Hier sollen aktuelle Daten zusammengefasst und diskutiert werden. Mit dem Pooling von Daten und einer dafür eigens eingerichteten webbasierten Datenbank sollen bald aussagekräftigere Ergebnisse zur Verfügung stehen. Insbesondere gibt es noch offene Fragen hinsichtlich Dosierung, Applikationsintervall, Gesamtdauer der Applikation, biologischer Halbwertszeit und Langzeitsicherheit des Medikaments.

Abstract

The efficacy and safety of the therapeutic anti-VEGF concept has already been demonstrated for pegaptanib and ranibizumab. Bevacizumab acts as an antibody against all VEGF-A isoforms and has been developed for oncological indications with intravenous application. Initial reports on intravitreal administration in patients with neovascular age-related macular disease (AMD) have shown beneficial morphological and functional effects. In the meantime, bevacizumab has been used off-label in thousands of patients with AMD. However, data from prospective, controlled, randomized trials on both safety and efficacy are lacking. Herein recent experiences with bevacizumab are summarized and discussed. Furthermore, a web-based platform for online data registration and pooled analyses is presented.

This is a preview of subscription content, access via your institution.

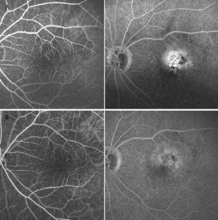
Abb. 1
Abb. 2
Abb. 3
Abb. 4
Abb. 5
Abb. 6
Abb. 7
Abb. 8
Abb. 9

Literatur

  1. Adamis AP, Shima DT (2005) The role of vascular endothelial growth factor in ocular health and disease. Retina 25: 111–118

    Article  PubMed  Google Scholar 

  2. Adamis AP, Shima DT, Tolentino MJ et al. (1996) Inhibition of vascular endothelial growth factor prevents retinal ischemia-associated iris neovascularization in a nonhuman primate. Arch Ophthalmol 114: 66–71

    PubMed  Google Scholar 

  3. Avery RL, Pieramici DJ, Rabena MD et al. (2006) Intravitreal Bevacizumab (Avastin) for Neovascular Age-Related Macular Degeneration. Ophthalmology 113: 363

    Article  PubMed  Google Scholar 

  4. Charbel Issa P, Scholl HP, Holz FG, Knolle P, Kurts C (2005) Das Komplementsystem und dessen mögliche Beteiligung an der Pathogenese der altersabhängigen Makuladegeneration (AMD). Ophthalmologe 102: 1036–1042

    Article  PubMed  Google Scholar 

  5. Ferrara N (1995) Vascular endothelial growth factor. The trigger for neovascularization in the eye. Lab Invest 72: 615–618

    PubMed  Google Scholar 

  6. Folkman J (1971) Tumor angiogenesis: therapeutic implications. N Engl J Med 285: 1182–1186

    PubMed  Google Scholar 

  7. Gragoudas ES, Adamis AP, Cunningham ET et al. (2004) Pegaptanib for neovascular age-related macular degeneration. N Engl J Med 351: 2805–2816

    Article  PubMed  Google Scholar 

  8. Holz FG, Pauleikhoff D, Klein R, Bird AC (2004) Pathogenesis of lesions in late age-related macular disease. Am J Ophthalmol 137: 504–510

    Article  PubMed  Google Scholar 

  9. Holz FG, Pauleikhoff D, Spaide RF, Bird AC (2004) Age-related macular degeneration. Springer, Berlin Heidelberg New York Tokio

  10. Hurwitz H, Fehrenbacher L, Novotny W et al. (2004) Bevacizumab plus irinotecan, fluorouracil, and leucovorin for metastatic colorectal cancer. N Engl J Med 350: 2335–2342

    Article  PubMed  Google Scholar 

  11. Jaissle GB, Szurman P, Bartz-Schmidt KU (2005) Empfehlung für die Durchführung von intravitrealen Injektionen – Stellungnahme der Retinologischen Gesellschaft, der Deutschen Ophthalmologischen Gesellschaft (DOG) und des Berufsverbands der Augenärzte Deutschland (BVA). Klin Monatsbl Augenheilkd 222: 390–395

    Article  PubMed  Google Scholar 

  12. Krzystolik MG, Afshari MA, Adamis AP et al. (2002) Prevention of experimental choroidal neovascularization with intravitreal anti-vascular endothelial growth factor antibody fragment. Arch Ophthalmol 120: 338–346

    PubMed  Google Scholar 

  13. Michels S, Rosenfeld PJ (2005) [Treatment of neovascular age-related macular degeneration with Ranibizumab/Lucentis]. Klin Monatsbl Augenheilkd 222: 480–484

    Article  PubMed  Google Scholar 

  14. Mordenti J, Cuthbertson RA, Ferrara N et al. (1999) Comparisons of the intraocular tissue distribution, pharmacokinetics, and safety of 125I-labeled full-length and Fab antibodies in rhesus monkeys following intravitreal administration. Toxicol Pathol 27: 536–544

    PubMed  Google Scholar 

  15. Pharmacological Therapy for Macular Degeneration Study Group (1997) Interferon alfa-2a is ineffective for patients with choroidal neovascularization secondary to age-related macular degeneration. Results of a prospective randomized placebo-controlled clinical trial. Arch Ophthalmol 115: 865–872

    PubMed  Google Scholar 

  16. Rosenfeld PJ, Moshfeghi AA, Puliafito CA (2005) Optical coherence tomography findings after an intravitreal injection of bevacizumab (avastin) for neovascular age-related macular degeneration. Ophthalmic Surg Lasers Imaging 36: 331–335

    PubMed  Google Scholar 

  17. Scholl HP, Weber BH, Nothen MM et al. (2005) Y402H-Polymorphismus im Komplementfaktor H und altersabhängige Makuladegeneration (AMD). Ophthalmologe 102: 1029–1035

    Article  PubMed  Google Scholar 

  18. Spilsbury K, Garrett KL, Shen WY et al. (2000) Overexpression of vascular endothelial growth factor (VEGF) in the retinal pigment epithelium leads to the development of choroidal neovascularization. Am J Pathol 157: 135–144

    PubMed  Google Scholar 

Download references

Interessenkonflikt

Keine Angaben

Author information

Affiliations

Authors

Corresponding author

Correspondence to F. G. Holz.

Additional information

Deutsche Forschungsgemeinschaft (DFG) Schwerpunktprogramm AMD SPP1088; DFG-Heisenberg-Stipendium SCHO 734/2–1, DFG HO 1926/2–2, HO 1926 3–1. Mit Unterstützung durch die Europäische Gemeinschaft (EU) FP6, Integrated Project „EVI-GENORET“ (LSHG-CT-2005–512036)

Rights and permissions

Reprints and Permissions

About this article

Cite this article

Ladewig, M.S., Ziemssen, F., Jaissle, G. et al. Intravitreales Bevacizumab bei der neovaskulären altersabhängigen Makuladegeneration. Ophthalmologe 103, 463–470 (2006). https://doi.org/10.1007/s00347-006-1352-5

Download citation

  • Issue Date:

  • DOI: https://doi.org/10.1007/s00347-006-1352-5

Schlüsselwörter

  • Altersabhängige Makuladegeneration (AMD)
  • Chorioidale Neovaskularisation (CNV)
  • Antiangiogenese
  • Anti-VEGF-Therapie
  • Bevacizumab
  • Pegaptanib
  • Ranibizumab

Keywords

  • Age-related macular degeneration (ARMD)
  • Choroidal neovascularization (CNV)
  • Antiangiogenesis
  • Anti-VEGF therapy
  • Bevacizumab
  • Pegaptanib
  • Ranibizumab