Skip to main content

Complications of robotic assisted radical prostatectomy

Abstract

Objectives

Robotic radical prostatectomy claims optimal oncologic results, minimal morbidity and best outcomes of urinary continence and erection function. Potential benefits concerning side effects and complications compared to open radical prostatectomy are analysed.

Methods

Out of 450 robotic radical prostatectomies performed, the last 210 patients aged 64 (41–78), PSA of 7.2 ng/ml (0.6–75) and body mass index of 27 (20–37) were assessed in detail using the Clavien’s classification of surgical complications. In addition, a retrospective Medline based meta-analysis of 4,928 patients from eight centres involved was performed and compared to published data of open retropubic radical prostatectomy.

Results

In total 55/210 (26%) of the patients had complications, whereof 48/55 (87%) were minor (Clavien’s grade I–IIIa). Complications (IIIb and IVa) with open reoperations occured in 7/210 (3%) of the patients including three bleedings, two incarcerated small bowels, one perforation of a sigmoid diverticle and one trocar hernia. No IVb or V complication occured. Overall robotic complication rate is very low and appears to be even less than in open series. Minor and major complications seem to decrease after 200 individual console surgeries.

Conclusions

Robotic radical prostatectomy has proven to be a safe and reproducible surgical treatment with low morbidity. We encourage further trials using the same classification of complications to evaluate the morbidity of robotic prostatectomy conclusively in the near future.

This is a preview of subscription content, access via your institution.

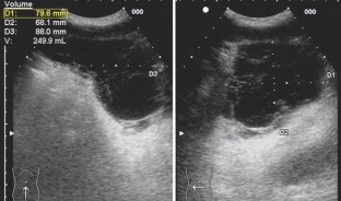
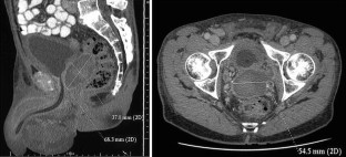
Fig. 1
Fig. 2
Fig. 3
Fig. 4

References

  1. Catalona WJ, Carvalhal GF, Mager DE, Smith DS (1999) Potency, continence and complication rates in 1, 870 consecutive radical retropubic prostatectomies. J Urol 162:433–438

    PubMed  Article  CAS  Google Scholar 

  2. Graefen M, Walz J, Huland H (2006) Open retropubic nerve-sparing radical prostatectomy. Eur Urol 49:38–48

    PubMed  Article  Google Scholar 

  3. Badani KK, Kaul S, Menon M (2007) Evolution of robotic radical prostatectomy: assessment after 2766 procedures. Cancer 110:1951–1958

    PubMed  Article  Google Scholar 

  4. John H (2008) Robotic laparoscopic radical prostatectomy: update 2008. Urologe A 47:291–298

    PubMed  Article  CAS  Google Scholar 

  5. Menon M, Shrivastava A, Kaul S, Badani KK, Fumo M, Bhandari M, Peabody JO (2007) Vattikuti Institute prostatectomy: contemporary technique and analysis of results. Eur Urol 51:648–657 discussion 657–658

    PubMed  Article  Google Scholar 

  6. Patel VR, Thaly R, Shah K (2007) Robotic radical prostatectomy: outcomes of 500 cases. BJU Int 99:1109–1112

    PubMed  Article  Google Scholar 

  7. Zorn KC, Orvieto MA, Gong EM, Mikhail AA, Gofrit ON, Zagaja GP, Shalhav AL (2007) Robotic radical prostatectomy learning curve of a fellowship-trained laparoscopic surgeon. J Endourol 21:441–447

    PubMed  Article  Google Scholar 

  8. Dindo D, Demartines N, Clavien PA (2004) Classification of surgical complications: a new proposal with evaluation in a cohort of 6336 patients and results of a survey. Ann Surg 240:205–213

    PubMed  Article  Google Scholar 

  9. Ahlering TE, Patel V, Lee DI, Skarecky DW (2006) Multiinstitutional review of complications after robot-assisted laparoscopic prostatectomy (RLP). J Endourol 20:VP8–VP11

    Article  Google Scholar 

  10. Hu JC, Nelson RA, Wilson TG, Kawachi MH, Ramin SA, Lau C, Crocitto LE (2006) Perioperative complications of laparoscopic and robotic assisted laparoscopic radical prostatectomy. J Urol 175:541–546 discussion 546

    PubMed  Article  Google Scholar 

  11. Andonian S, Okeke Z, Deidre A, Rastinehad A, VanderBrink BA, Richstone L, Lee BR (2008) Device failures associated with patient injuries during robot-assisted laparoscopic surgeries: a comprehensive review of FDAMAUDE database. Can J Urol 15:3912–3916

    PubMed  Google Scholar 

  12. Clavien PA, Sanabria JR, Strasberg SM (1992) Proposed classification on complications of surgery with examples of utility in cholecystectomy. Surgery 111:518–526

    PubMed  CAS  Google Scholar 

  13. John H (2008) Robotic radical prostatectomy: extraperitoneal approach. In: John H, Wiklund P (eds) Robotic urology. Springer, Heidelberg, pp 19–28

    Chapter  Google Scholar 

  14. John H, Gettman MT (2007) Extraperitoneal robotic radical prostatectomy: operative technique—step by step. In: Stolzenburg J-U (ed) Endoscopic radical prostatectomy. Springer, Heidelberg, pp 144–159

    Google Scholar 

  15. Borden LS Jr, Kozlowski PM, Porter CR, Corman JM (2007) Mechanical failure rate of da Vinci robotic system. Can J Urol 14:3499–3501

    PubMed  Google Scholar 

  16. Zorn KC, Gofrit ON, Orvieto MA, Mikhail AA, Galocy RM, Shalhav AL, Zagaja GP (2007) Da Vinci robot error and failure rates: single institution experience on a single three-arm robot unit of more than 700 consecutive robot-assisted laparoscopic radical prostatectomies. J Endourol 21:1341–1344

    PubMed  Article  Google Scholar 

  17. Dillioglugil O, Leibman BD, Leibman NS, Kattan MW, Rosas AL, Scardino PT (1997) Risk factors for complications and morbidity after radical retropubic prostatectomy. J Urol 157:1760–1767

    PubMed  Article  CAS  Google Scholar 

  18. Hisasue S, Takahashi A, Kato R, Shimizu T, Masumori N, Itoh N, Tsukamoto T (2004) Early and late complications of radical retropubic prostatectomy: experience in a single institution. Jpn J Clin Oncol 34:274–279

    PubMed  Article  Google Scholar 

  19. Augustin H, Hammerer P, Graefen M, Palisaar J, Noldus J, Fernandez S, Huland H (2003) Intraoperative and perioperative morbidity of contemporary radical retropubic prostatectomy in a consecutive series of 1243 patients: results of a single center between 1999 and 2002. Eur Urol 43:113–118

    PubMed  Article  Google Scholar 

  20. Klevecka V, Burmester L, Musch M, Roggenbuck U, Kroepfl D (2007) Intraoperative and early postoperative complications of radical retropubic prostatectomy. Urol Int 79:217–225

    PubMed  Article  Google Scholar 

  21. Lepor H, Nieder AM, Ferrandino MN (2001) Intraoperative and postoperative complications of radical retropubic prostatectomy in a consecutive series of 1, 000 cases. J Urol 166:1729–1733

    PubMed  Article  CAS  Google Scholar 

  22. John H, Schmid DM, Fehr JL (2007) Prostatectomia radical extraperitoneal Da Vinci. Actas Urol Esp 31:580–586

    PubMed  CAS  Article  Google Scholar 

  23. Joseph JV, Boczko J, Goijanin D, Madeb RR, Vicente I, Erturk E, Rosenbaum RS, Patel HR (2006) Extraperitoneal robot assisted radical prostatectomy. J Urol 175:370

    Article  Google Scholar 

  24. Cathelineau X, Rozet F, Vallancien G (2004) Robotic radical prostatectomy: the European experience. Urol Clin North Am 31:693–699, viii

    Google Scholar 

  25. Ahlering TE, Woo D, Eichel L, Lee DI, Edwards RA, Skarecky DW (2004) Robot-assisted versus open radical prostatectomy: a comparison of on surgeon’s experience. Urology 63:819–822

    PubMed  Article  Google Scholar 

  26. Bhandari A, McIntire L, Kaul SA, Hemal AK, Peabody JO, Menon M (2005) Perioperative complications of robotic radical prostatectomy after the learning curve. J Urol 174:915–918

    PubMed  Article  Google Scholar 

  27. Menon M, Shrivastava A, Sarle R, Hemal A, Tewari A (2003) Vattikuti Institute prostatectomy: a single-team experience of 100 cases. J Endourol 17:785–790

    PubMed  Article  Google Scholar 

  28. Patel VR, Tully AS, Holmes R, Lindsay J (2005) Robotic radical prostatectomy in the community setting—the learning curve and beyond: initial 200 cases. J Urol 174:269–272

    PubMed  Article  Google Scholar 

  29. Farnham SB, Webster TM, Herrell SD, Smith JA Jr (2006) Intraoperative blood loss and transfusion requirements for robotic-assisted radical prostatectomy versus radical retropubic prostatectomy. Urology 67:360–363

    PubMed  Article  Google Scholar 

  30. Zincke H, Bergstralh EJ, Blute ML, Myers RP, Barrett DM, Lieber MM, Martin SK, Oesterling JE (1994) Radical prostatectomy for clinically localized prostate cancer: long-term results of 1, 143 patients from a single institution. J Clin Oncol 12:2254–2263

    PubMed  CAS  Google Scholar 

  31. El-Hakim A, Tewari A (2004) Robotic prostatectomy: a review. MedGenMed 6:20. (online)

    Google Scholar 

  32. Mc Neill A, Wasserscheid J, Rabenalt R, Do M, Liatsikos EN, Stolzenburg JU (2008) Reduction in incidence of lymphocele following extraperitoneal radical prostatectomy and PLND by bilateral peritoneal fenestration. Eur Urol Suppl 7(3):302

    Google Scholar 

Download references

Conflict of interest statement

There is no conflict of interest.

Author information

Affiliations

Authors

Corresponding author

Correspondence to Hubert John.

Rights and permissions

Reprints and Permissions

About this article

Cite this article

Fischer, B., Engel, N., Fehr, JL. et al. Complications of robotic assisted radical prostatectomy. World J Urol 26, 595–602 (2008). https://doi.org/10.1007/s00345-008-0287-7

Download citation

  • Received:

  • Accepted:

  • Published:

  • Issue Date:

  • DOI: https://doi.org/10.1007/s00345-008-0287-7

Keywords

  • Complications
  • Prostatectomy
  • Robotic prostatectomy
  • da Vinci-Prostatectomy