Skip to main content

Protective role of erythropoietin during testicular torsion of the rats

Abstract

Testicular torsion is an important clinical urgency. Similar mechanisms occurred after detorsion of the affected testis as in the ischemia reperfusion (I/R) damage. This study was designed to investigate the effects of erythropoietin (EPO) treatment after unilateral testicular torsion. Fifty male Sprague-Dawley rats were divided into five groups. Group 1 underwent a sham operation of the right testis under general anesthesia. Group 2 was same as sham, and EPO (3,000 IU/kg) infused i.p., group 3 underwent a similar operation but the right testis was rotated 720° clockwise for 1 h, maintained by fixing the testis to the scrotum, and saline infused during the procedure. Group 4 underwent similar torsion but EPO was infused half an hour before the detorsion procedure, and in group 5, EPO was infused after detorsion procedure. Four hours after detorsion, ipsilateral and contralateral testes were taken out for evaluation. Treatment with EPO improved testicular structures in the ipsilateral testis but improvement was less in the contralateral testis histologically, but EPO treatment decreased germ cell apoptosis in both testes following testicular IR. TNF-α, IL-1β, IL-6 and nitrite levels decreased after EPO treatment especially in the ipsilateral testis. We conclude that testicular I/R causes an increase in germ cell apoptosis both in the ipsilateral and contralateral testes. Eryhropoietin has antiapoptotic and anti-inflammatory effects following testicular torsion.

This is a preview of subscription content, access via your institution.

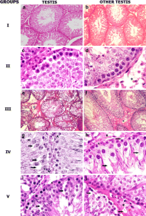
Fig. 1
Fig. 2
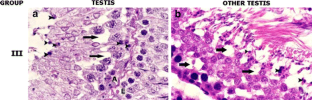
Fig. 3
Fig. 4

References

  1. Horica CA, Hadziselimovic F, Kreutz G, Bandhauer K (1982) Ultrastructural studies of the contorted and contralateral testicle in unilateral testicular torsion. Eur Urol 8(6):358–362

    PubMed  CAS  Google Scholar 

  2. Thomas WE, Williamson RC (1983) Diagnosis and outcome of testicular torsion. Br J Surg 70(4):213–216

    PubMed  Article  CAS  Google Scholar 

  3. Filho DW, Torres MA, Bordin AL, Crezcynski-Pasa TB, Boveris A (2004) Spermatic cord torsion, reactive oxygen and nitrogen species and ischemia-reperfusion injury. Mol Aspects Med 25(1–2):199–210

    PubMed  Article  CAS  Google Scholar 

  4. Lysiak JJ (2004) The role of tumor necrosis factor-alpha and interleukin-1 in the mammalian testis and their involvement in testicular torsion and autoimmune orchitis. Reprod Biol Endocrinol 10(2):9

    Article  Google Scholar 

  5. Akgur FM, Kilinc K, Tanyel FC, Buyukpamukcu N, Hicsonmez A (1994) Ipsilateral and contralateral testicular biochemical acute changes after unilateral testicular torsion and detorsion. Urology 44(3):413–418

    PubMed  Article  CAS  Google Scholar 

  6. Lacombe C, Mayeux P (1999) The molecular biology of erythropoietin. Nephrol Dial Transplant 14(suppl. 2):22–28

    PubMed  Article  CAS  Google Scholar 

  7. Chikuma M, Masuda S, Kobayashi T, Nagao M, Sasaki R (2000) Tissue- spesific regulation of erythropoietin production in the murine kidney,brain and uterus. Am J Physiol Endocrinol Metab 279:E1242–E1248

    PubMed  CAS  Google Scholar 

  8. Magnanti M, Gandini O, Giuliani L, Gazzaniga P, Marti HH, Gradilone A, Frati L, Agliano AM, Gassmann M (2001) Erythropoietin expression in primary rat Sertoli and peritubular myoid cells. Blood 1 98(9):2872–2874

    Article  CAS  Google Scholar 

  9. Yamamoto Y, Sofikitis N, Miyagawa I (1997) Effects of erythropoietin, bromocryptine and hydralazine on testicular function in rats with chronic renal failure. Andrologia 29(3):141–144

    PubMed  CAS  Article  Google Scholar 

  10. Sepodes B, Maio R, Pinto R, Sharples E, Oliveira P, McDonald M, Yaqoob M, Thiemermann C, Mota-Filipe H (2006) Recombinant human erythropoietin protects the liver from hepatic ischemia-reperfusion injury in the rat. Transpl Int 19(11):919–926

    PubMed  Article  CAS  Google Scholar 

  11. Liu X, Shen J, Jin Y, Duan M, Xu J (2006) Recombinant human erythropoietin (rhEPO) preconditioning on nuclear factor-kappa B (NF-kB) activation & proinflammatory cytokines induced by myocardial ischaemia-reperfusion. Indian J Med Res 124(3):343–354

    PubMed  CAS  Google Scholar 

  12. Tunctan B, Abacioglu N (1998) J Pharm Sci 23:161–170

    Google Scholar 

  13. Johnson DW, Pat B, Vesey DA, Guan Z, Endre Z, Gobe GC (2006) Delayed administration of darbepoetin or erythropoietin protects against ischemic acute renal injury and failure. Kidney Int 69(10):1806–1813

    PubMed  Article  CAS  Google Scholar 

  14. Spierings DC, de Vries EG, Vellenga E, van den Heuvel FA, Koornstra JJ, Wesseling J, Hollema H, de Jong S (2004) Tissue distribution of the death ligand TRAIL and its receptors. J Histochem Cytochem 52(6):821–831

    PubMed  Article  CAS  Google Scholar 

  15. Grataroli R, Vindrieux D, Gougeon A, Benahmed M (2002) Expression of tumor necrosis factor-alpha-related apoptosis-inducing ligand and its receptors in rat testis during development. Biol Reprod 66(6):1707–1715

    PubMed  Article  CAS  Google Scholar 

  16. Rival C, Theas MS, Guazzone VA, Lustig L (2006) Interleukin-6 and IL-6 receptor cell expression in testis of rats with autoimmune orchitis. J Reprod Immunol 70(1–2):43–58

    PubMed  Article  CAS  Google Scholar 

  17. Zoja C, Wang JM, Bettoni S, Sironi M, Renzi D, Chiaffarino F, Abboud HE, Van Damme J, Mantovani A, Remuzzi G et al (1991) Interleukin-1 beta and tumor necrosis factor-alpha induce gene expression and production of leukocyte chemotactic factors, colony-stimulating factors, and interleukin-6 in human mesangial cells. Am J Pathol 138(4):991–1003

    PubMed  CAS  Google Scholar 

  18. Ishikawa T, Morris PL (2006) Interleukin-1beta signals through a c-Jun N-terminal kinase-dependent inducible nitric oxide synthase and nitric oxide production pathway in Sertoli epithelial cells. Endocrinology 147(11):5424–5430

    PubMed  Article  CAS  Google Scholar 

  19. Vera Y, Erkkila K, Wang C, Nunez C, Kyttanen S, Lue Y, Dunkel L, Swerdloff RS, Sinha Hikim AP (2006) Involvement of p38 mitogen-activated protein kinase and inducible nitric oxide synthase in apoptotic signaling of murine and human male germ cells after hormone deprivation. Mol Endocrinol 20(7):1597–1609

    PubMed  Article  CAS  Google Scholar 

  20. Basar MM, Kisa U, Tuglu D, Yilmaz E, Basar H, Caglayan O, Batislam E (2006) Testicular nitric oxide and thiobarbituric acid reactive substances levels in obstructive azoospermia: a possible role in pathophysiology of infertility. Mediators Inflamm 3:27458

    Google Scholar 

  21. Reddy MM, Mahipal SV, Subhashini J, Reddy MC, Roy KR, Reddy GV, Reddy PR, Reddanna P (2006) Bacterial lipopolysaccharide-induced oxidative stress in the impairment of steroidogenesis and spermatogenesis in rats. Reprod Toxicol 22(3):493–500

    PubMed  Article  CAS  Google Scholar 

  22. Meroni SB, Subuo AM, Cigorraga SB (2000) Interleukin-1beta regulates nitric oxide production and gamma-glutamyl transpeptidase activity in sertoli cells. Androl 21(6):855–861

    CAS  Google Scholar 

  23. Ozokutan BH, Kucukaydin M, Muhtaroglu S, Tekin Y (2000) The role of nitric oxide in testicular ischemia-reperfusion injury. J Pediatr Surg 35(1):101–103

    PubMed  Article  CAS  Google Scholar 

Download references

Acknowledgments

This study was supported by TUBITAK (The Scientific and Technological Research Council of Turkey) project no: 104S412 (SBAG-AYD-487).

Author information

Affiliations

Authors

Corresponding author

Correspondence to Nuray Yazihan.

Rights and permissions

Reprints and Permissions

About this article

Cite this article

Yazihan, N., Ataoglu, H., Koku, N. et al. Protective role of erythropoietin during testicular torsion of the rats. World J Urol 25, 531–536 (2007). https://doi.org/10.1007/s00345-007-0200-9

Download citation

  • Received:

  • Accepted:

  • Published:

  • Issue Date:

  • DOI: https://doi.org/10.1007/s00345-007-0200-9

Keywords

  • Testicular torsion
  • Erythropoietin
  • Apoptosis
  • Cytokine
  • Nitrite