Skip to main content

Faithful tissue-specific expression of the human chromosome 21-linked COL6A1 gene in BAC-transgenic mice

Abstract

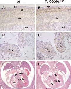
We created transgenic mice with a bacterial artificial chromosome (BAC) containing the human COL6A1 gene. In high-copy and low-copy transgenic lines, we found correct temporal and spatial expression of COL6A1 mRNA, paralleling the expression of the murine Col6a1 gene in a panel of nine adult and four fetal organs. The only exception was the fetal lung, in which the transgene was expressed poorly compared with the endogenous gene. Expression of COL6A1 mRNA from the transgene was copy number-dependent, and the increased gene dosage correlated with increased production of collagen VI alpha 1 in skin and heart, as indicated by Western blotting and immunohistochemistry. COL6A1 maps to Chromosome 21 and this gene has been a candidate for contributing to cardiac defects and skin abnormalities in Down syndrome. The low-copy and high-copy COL6A1 transgenics were born and survived in normal Mendelian proportions, without cardiac malformations or altered skin histology. These data indicate that the major promoter and enhancer sequences regulating COL6A1 expression are present in this 167-kb BAC clone. The lack of a strong cardiac or skin phenotype in the COL6A1 BAC-transgenic mice suggests that the increased expression of this gene does not, by itself, account for these phenotypes in Down syndrome.

This is a preview of subscription content, access via your institution.

Fig. 1.
Fig. 2.
Fig. 3.
Fig. 4.
Fig. 5.
Fig. 6.
Fig. 7.

References

  • Antonarakis SE, Lyle R, Dermitzakis ET, Reymond A, Deutsch S (2004) Chromosome 21 and Down syndrome: from genomics to pathophysiology. Nat Rev Genet 5, 725–738

    Article  CAS  PubMed  Google Scholar 

  • Arron JR, Winslow MM, Polleri A, Chang CP, Wu H, et al. (2006) NFAT dysregulation by increased dosage of DSCR1 and DYRK1A on chromosome 21. Nature 441, 595–600

    Article  CAS  PubMed  Google Scholar 

  • Barlow GM, Chen XN, Shi ZY, Lyons GE, Kurnit DM, et al. (2001) Down syndrome congenital heart disease: a narrowed region and a candidate gene. Genet Med 3, 91–101

    CAS  PubMed  Article  Google Scholar 

  • Bonaldo P, Braghetta P, Zanetti M, Piccolo S, Volpin D, et al. (1998) Collagen VI deficiency induces early onset myopathy in the mouse: an animal model for Bethlem myopathy. Hum Mol Genet 7, 2135–2140

    Article  CAS  PubMed  Google Scholar 

  • Branchi I, Bichler Z, Minghetti L, Delabar JM, Malchiodi-Albedi F, et al. (2004) Transgenic mouse in vivo library of human Down syndrome critical region 1: association between DYRK1A overexpression, brain development abnormalities, and cell cycle protein alteration. J Neuropathol Exp Neurol 63, 429–440

    CAS  PubMed  Google Scholar 

  • Brand-Saberi B, Epperlein HH, Romanos GE, Christ B (1994a) Distribution of extracellular matrix components in nuchal skin from fetuses carrying trisomy 18 and trisomy 21. Cell Tissue Res 277, 465–475

    CAS  Google Scholar 

  • Brand-Saberi B, Floel H, Christ B, Schulte-Vallentin M, Schindler H (1994b) Alterations of the fetal extracellular matrix in the nuchal oedema of Down’s syndrome. Ann Anat 176, 539–547

    CAS  Google Scholar 

  • Chrast R, Scott HS, Madani R, Huber L, Wolfer DP, et al. (2000) Mice trisomic for a bacterial artificial chromosome with the single-minded 2 gene (Sim2) show phenotypes similar to some of those present in the partial trisomy 16 mouse models of Down syndrome. Hum Mol Genet 9, 1853–1864

    Article  CAS  PubMed  Google Scholar 

  • Egeo A, Di Lisi R, Sandri C, Mazzocco M, Lapide M, et al. (2000) Developmental expression of the SH3BGR gene, mapping to the Down syndrome heart critical region. Mech Dev 90, 313–316

    Article  CAS  PubMed  Google Scholar 

  • Epstein CJ (2001) Down syndrome. In Scriver CR, et al., eds. The Metabolic & Molecular Basis of Inherited Disease, (New York: McGraw-Hill), pp. 1223–1256

  • Epstein CJ, Avraham KB, Lovett M, Smith S, Elroy-Stein O, et al. (1987) Transgenic mice with increased Cu/Zn-superoxide dismutase activity: animal model of dosage effects in Down syndrome. Proc Natl Acad Sci USA 84, 8044–8048

    Article  CAS  PubMed  Google Scholar 

  • Gittenberger-de Groot AC, Bartram U, Oosthoek PW, Bartelings MM, Hogers B, et al. (2003) Collagen type VI expression during cardiac development and in human fetuses with trisomy 21. Anat Rec A Discov Mol Cell Evol Biol 275, 1109–1116

    Article  PubMed  Google Scholar 

  • Gong S, Zheng C, Doughty ML, Losos K, Didkovsky N, et al. (2003) A gene expression atlas of the central nervous system based on bacterial artificial chromosomes. Nature 425, 917–925

    Article  CAS  PubMed  Google Scholar 

  • Jobsis GJ, Keizers H, Vreijling JP, de Visser M, Speer MC, et al. (1996) Type VI collagen mutations in Bethlem myopathy, an autosomal dominant myopathy with contractures. Nat Genet 14, 113–115

    Article  CAS  PubMed  Google Scholar 

  • Kosaki R, Kosaki K, Matsushima K, Mitsui N, Matsumoto N, et al. (2005) Refining chromosomal region critical for Down syndrome-related heart defects with a case of cryptic 21q22.2 duplication. Congenit Anom (Kyoto) 45, 62–64

    CAS  Google Scholar 

  • Lamb BT, Sisodia SS, Lawler AM, Slunt HH, Kitt CA, et al. (1993) Introduction and expression of the 400 kilobase amyloid precursor protein gene in transgenic mice [corrected]. Nat Genet 5, 22–30

    Article  CAS  PubMed  Google Scholar 

  • Lampe AK, Bushby KM (2005) Collagen VI related muscle disorders. J Med Genet 42, 673–685

    Article  CAS  PubMed  Google Scholar 

  • Lange AW, Molkentin JD, Yutzey KE (2004) DSCR1 gene expression is dependent on NFATc1 during cardiac valve formation and colocalizes with anomalous organ development in trisomy 16 mice. Dev Biol 266, 346–360

    Article  CAS  PubMed  Google Scholar 

  • Lange AW, Rothermel BA, Yutzey KE (2005) Restoration of DSCR1 to disomy in the trisomy 16 mouse model of Down syndrome does not correct cardiac or craniofacial development anomalies. Dev Dyn 233, 954–963

    Article  CAS  PubMed  Google Scholar 

  • Li CM, Guo M, Borczuk A, Powell CA, Wei M, et al. (2002) Gene expression in Wilms’ tumor mimics the earliest committed stage in the metanephric mesenchymal-epithelial transition. Am J Pathol 160, 2181–2190

    CAS  PubMed  Google Scholar 

  • Li CM, Guo M, Salas M, Schupf N, Silverman W, et al. (2006) Cell type-specific over-expression of chromosome 21 genes in fibroblasts and fetal hearts with trisomy 21. BMC Med Genet 7, 24

    Article  PubMed  CAS  Google Scholar 

  • Ligon KL, Kesari S, Kitada M, Sun T, Arnett HA, et al. (2006) Development of NG2 neural progenitor cells requires Olig gene function. Proc Natl Acad Sci USA 103, 7853–7858

    Article  CAS  PubMed  Google Scholar 

  • Murai H, Pierce JE, Raghupathi R, Smith DH, Saatman KE, et al. (1998) Twofold overexpression of human beta-amyloid precursor proteins in transgenic mice does not affect the neuromotor, cognitive, or neurodegenerative sequelae following experimental brain injury. J Comp Neurol 392, 428–438

    Article  CAS  PubMed  Google Scholar 

  • Osoegawa K, Mammoser AG, Wu C, Frengen E, Zeng C, et al. (2001) A bacterial artificial chromosome library for sequencing the complete human genome. Genome Res 11, 483–496

    Article  CAS  PubMed  Google Scholar 

  • Pearson BE, Choi TK (1993) Expression of the human beta-amyloid precursor protein gene from a yeast artificial chromosome in transgenic mice. Proc Natl Acad Sci USA 90, 10578–10582

    Article  CAS  PubMed  Google Scholar 

  • Peled-Kamar M, Lotem J, Okon E, Sachs L, Groner Y (1995) Thymic abnormalities and enhanced apoptosis of thymocytes and bone marrow cells in transgenic mice overexpressing Cu/Zn-superoxide dismutase: implications for Down syndrome. EMBO J 14, 4985–4993

    CAS  PubMed  Google Scholar 

  • Smith DJ, Stevens ME, Sudanagunta SP, Bronson RT, Makhinson M, et al. (1997) Functional screening of 2 Mb of human chromosome 21q22.2 in transgenic mice implicates minibrain in learning defects associated with Down syndrome. Nat Genet 16, 28–36

    Article  CAS  PubMed  Google Scholar 

  • Tanaka T, Ikari K, Furushima K, Okada A, Tanaka H, et al. (2003) Genomewide linkage and linkage disequilibrium analyses identify COL6A1, on chromosome 21, as the locus for ossification of the posterior longitudinal ligament of the spine. Am J Hum Genet 73, 812–822

    Article  CAS  PubMed  Google Scholar 

  • Tsukahara S, Miyazawa N, Akagawa H, Forejtova S, Pavelka K, et al. (2005) COL6A1, the candidate gene for ossification of the posterior longitudinal ligament, is associated with diffuse idiopathic skeletal hyperostosis in Japanese. Spine 30, 2321–2324

    Article  PubMed  Google Scholar 

  • von Kaisenberg CS, Brand-Saberi B, Christ B, Vallian S, Farzaneh F, et al. (1998a) Collagen type VI gene expression in the skin of trisomy 21 fetuses. Obstet Gynecol 91, 319–323

    Article  Google Scholar 

  • von Kaisenberg CS, Krenn V, Ludwig M, Nicolaides KH, Brand-Saberi B (1998b) Morphological classification of nuchal skin in human fetuses with trisomy 21, 18, and 13 at 12-18 weeks and in a trisomy 16 mouse. Anat Embryol (Berl) 197, 105–124

    Article  Google Scholar 

Download references

Acknowledgments

This work was supported by NIH grant 5P01HD035897. Tissue processing and histology was supported by a core facility of the Columbia University Comprehensive Cancer Center.

Author information

Affiliations

Authors

Corresponding author

Correspondence to Benjamin Tycko.

Rights and permissions

Reprints and Permissions

About this article

Cite this article

Xing, L., Salas, M., Lin, CS. et al. Faithful tissue-specific expression of the human chromosome 21-linked COL6A1 gene in BAC-transgenic mice. Mamm Genome 18, 113–122 (2007). https://doi.org/10.1007/s00335-006-0082-y

Download citation

  • Received:

  • Accepted:

  • Published:

  • Issue Date:

  • DOI: https://doi.org/10.1007/s00335-006-0082-y

Keywords

  • Bacterial Artificial Chromosome
  • Down Syndrome
  • Bacterial Artificial Chromosome Clone
  • COL6A1 Gene
  • Endocardial Cushion