Skip to main content

The value of the black fiber sign on T1-weighted images for predicting stability of desmoid fibromatosis managed conservatively

Abstract

Objectives

It is challenging to know at the first which patients with desmoid fibromatosis (DF) are better suited to conservative or aggressive treatment. To investigate whether the low signal intensity bundles on T1- or T2-weighted images (WI), termed the “black fiber sign (BFS),” can predict non-progressive behavior in the conservative approach.

Methods

This retrospective study included 59 patients with primary DF managed with wait-and-see approach from 2005 to 2018 and serial MR images were analyzed. Three observers blinded to the patient information verified the presence or absence of BFS on baseline T1 or T2WI. The likelihood of progression-free survival (PFS) after ascertaining the presence or absence of the BFS was estimated using the Kaplan–Meier method and analyzed with the log-rank test.

Results

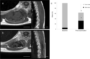
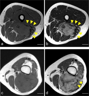
PFS was significantly higher in cases with BFS than without BFS on T1WI (p < 0.01), but there was no significant difference in PFS between cases with and without BFS on T2WI. Multivariable Cox proportional hazards analysis revealed that the absence of BFS on T1WI was a high-risk factor for progression (hazard ratio, 14.9; p < 0.01). Drastic tumor regression was apparent with significantly increased low-signal area in cases with BFS on T1WI. Intra- and interobserver reliabilities of BFS on T1WI were in almost-perfect agreement (κ > 0.8).

Conclusion

Our retrospective observational data support that presence of BFS in baseline MRI may be a predictor for progression-free survival of DF. BFS on T1WI is easily identifiable and can be utilized clinically in patients with DF.

Key Points

• We proposed a new imaging marker for prediction of desmoid fibromatosis progression.

• The absence of black fiber sign predicted a high risk of disease progression.

This is a preview of subscription content, access via your institution.

Fig. 1
Fig. 2
Fig. 3
Fig. 4
Fig. 5

Abbreviations

BFS:

Black fiber sign

CR:

Complete response

DF:

Desmoid fibromatosis

FAP:

Familial adenomatous polyposis

HR:

Hazard ratio

MRI:

Magnetic resonance images

NSAIDs:

Non-steroidal anti-inflammatory drugs

PD:

Progressive disease

PFS:

Progression-free survival

PR:

Partial response

RECIST:

Response Evaluation Criteria in Solid Tumors

ROI:

Region of interest

SD:

Stable disease

WI:

Weighted imaging

References

  1. Smith K, Desai J, Lazarakis S, Gyorki D (2018) Systematic review of clinical outcomes following various treatment options for patients with extraabdominal desmoid tumors. Ann Surg Oncol 25:1544–1554

    Article  Google Scholar 

  2. Kriz J, Eich HT, Haverkamp U et al (2014) Radiotherapy is effective for desmoid tumors (aggressive fibromatosis) - long-term results of a German multicenter study. Oncol Res Treat 37:255–260

    CAS  Article  Google Scholar 

  3. Bonvalot S, Desai A, Coppola S et al (2012) The treatment of desmoid tumors: a stepwise clinical approach. Ann Oncol 23:x158–x166

    Article  Google Scholar 

  4. Gronchi A, Colombo C, Le Péchoux C et al (2014) Sporadic desmoid-type fibromatosis: a stepwise approach to a non-metastasising neoplasm--a position paper from the Italian and the French Sarcoma Group. Ann Oncol 25:578–583

    CAS  Article  Google Scholar 

  5. Fiore M, Rimareix F, Mariani L et al (2009) Desmoid-type fibromatosis: a front-line conservative approach to select patients for surgical treatment. Ann Surg Oncol 16:2587–2593

    Article  Google Scholar 

  6. Castellazzi G, Vanel D, Le Cesne A et al (2009) Can the MRI signal of aggressive fibromatosis be used to predict its behavior? Eur J Radiol 69:222–229

    CAS  Article  Google Scholar 

  7. Francastel C, Schübeler D, Martin DI, Groudine M (2000) Nuclear compartmentalization and gene activity. Nat Rev Mol Cell Biol 1:137–143

    CAS  Article  Google Scholar 

  8. Skubitz KM (2017) Biology and treatment of aggressive fibromatosis or desmoid tumor. Mayo Clin Proc 92:947–964

    Article  Google Scholar 

  9. Rhim JH, Kim JH, Moon KC et al (2013) Desmoid-type fibromatosis in the head and neck: CT and MR imaging characteristics. Neuroradiology 55:351–359

    Article  Google Scholar 

  10. Gounder MM, Lefkowitz RA, Keohan ML et al (2011) Activity of Sorafenib against desmoid tumor/deep fibromatosis. Clin Cancer Res 17:4082–4090

    CAS  Article  Google Scholar 

  11. Martin-Liberal J, Benson C, McCarty H, Thway K, Messiou C, Judson I (2013) Pazopanib is an active treatment in desmoid tumour/aggressive fibromatosis. Clin Sarcoma Res 3:13

    Article  Google Scholar 

  12. Stacchiotti S, Collini P, Messina A et al (2009) High-grade soft-tissue sarcomas: tumor response assessment--pilot study to assess the correlation between radiologic and pathologic response by using RECIST and Choi criteria. Radiology 251:447–456

    Article  Google Scholar 

  13. Eisenhauer EA, Therasse P, Bogaerts J et al (2009) New response evaluation criteria in solid tumours: revised RECIST guideline (version 1.1). Eur J Cancer 45:228–247

    CAS  Article  Google Scholar 

  14. Landis JR, Koch GG (1977) The measurement of observer agreement for categorical data. Biometrics 33:159–174

    CAS  Article  Google Scholar 

  15. Gondim Teixeira PA, Biouichi H, Abou Arab W et al (2020) Evidence-based MR imaging follow-up strategy for desmoid-type fibromatosis. Eur Radiol 30:895–902

    CAS  Article  Google Scholar 

  16. Kanda Y (2013) Investigation of the freely available easy-to-use software ‘EZR’ for medical statistics. Bone Marrow Transplant 48:452–458

    CAS  Article  Google Scholar 

  17. Steyerberg EW (2009) Clinical prediction models: a practical approach to development, validation, and updating. Springer, Berlin Heidelberg, New York

    Book  Google Scholar 

  18. van Broekhoven DL, Verhoef C, Elias SG et al (2013) Local recurrence after surgery for primary extra-abdominal desmoid-type fibromatosis. Br J Surg 100:1214–1219

    Article  Google Scholar 

  19. Crago AM, Denton B, Salas S et al (2013) A prognostic nomogram for prediction of recurrence in desmoid fibromatosis. Ann Surg 258:347–353

    Article  Google Scholar 

  20. Cates JM, Stricker TP (2014) Surgical resection margins in desmoid-type fibromatosis: a critical reassessment. Am J Surg Pathol 38:1707–1714

    Article  Google Scholar 

  21. Salas S, Dufresne A, Bui B et al (2011) Prognostic factors influencing progression-free survival determined from a series of sporadic desmoid tumors: a wait-and-see policy according to tumor presentation. J Clin Oncol 29:3553–3558

    Article  Google Scholar 

  22. Prodinger PM, Rechl H, Keller M et al (2013) Surgical resection and radiation therapy of desmoid tumours of the extremities: results of a supra-regional tumour centre. Int Orthop 37:1987–1993

    Article  Google Scholar 

  23. Gondim Teixeira PA, Chanson A, Verhaeghe JL et al (2019) Correlation between tumor growth and hormonal therapy with MR signal characteristics of desmoid-type fibromatosis: a preliminary study. Diagn Interv Imaging 100:47–55

    CAS  Article  Google Scholar 

  24. Vandevenne JE, De Schepper AM, De Beuckeleer L et al (1997) New concepts in understanding evolution of desmoid tumors: MR imaging of 30 lesions. Eur Radiol 7:1013–1019

    CAS  Article  Google Scholar 

  25. Braschi-Amirfarzan M, Keraliya AR, Krajewski KM et al (2016) Role of imaging in management of desmoid-type fibromatosis: a primer for radiologists. Radiographics 36:767–782

    Article  Google Scholar 

  26. Ben Haj Amor M, Ploton L, Ceugnart L, Taïeb S (2020) Magnetic resonance imaging of desmoid-type fibromatosis: current evaluation criteria. Bull Cancer. https://doi.org/10.1016/j.bulcan.2019.11.009

  27. Misemer BS, Skubitz AP, Carlos Manivel J et al (2014) Expression of FAP, ADAM12, WISP1, and SOX11 is heterogeneous in aggressive fibromatosis and spatially relates to the histologic features of tumor activity. Cancer Med 3:81–90

    CAS  Article  Google Scholar 

  28. Sheth PJ, Del Moral S, Wilky BA et al (2016) Desmoid fibromatosis: MRI features of response to systemic therapy. Skeletal Radiol 45:1365–1373

    Article  Google Scholar 

  29. Cassidy MR, Lefkowitz RA, Long N et al (2018) Association of MRI T2 signal intensity with desmoid tumor progression during active observation: a retrospective cohort study. Ann Surg. https://doi.org/10.1097/SLA.0000000000003073

Download references

Acknowledgments

We thank M Naka for technical assistance.

Funding

This study has received funding by JSPS KAKENHI Grant Number 17K10974.

Author information

Affiliations

Authors

Corresponding author

Correspondence to Yasutaka Murahashi.

Ethics declarations

Guarantor

The scientific guarantor of this publication is Toshihiko Yamashita.

Conflict of interest

The authors of this manuscript declare no relationships with any companies whose products or services may be related to the subject matter of the article.

Statistics and biometry

Hirofumi Ohnishi kindly provided statistical advice for this manuscript.

Informed consent

Written informed consent was waived by the Institutional Review Board.

Ethical approval

Institutional Review Board approval was obtained.

Methodology

• retrospective

• prognostic study

• multicenter study

Additional information

Publisher’s note

Springer Nature remains neutral with regard to jurisdictional claims in published maps and institutional affiliations.

Rights and permissions

Reprints and Permissions

About this article

Verify currency and authenticity via CrossMark

Cite this article

Murahashi, Y., Emori, M., Shimizu, J. et al. The value of the black fiber sign on T1-weighted images for predicting stability of desmoid fibromatosis managed conservatively. Eur Radiol 30, 5768–5776 (2020). https://doi.org/10.1007/s00330-020-06953-z

Download citation

  • Received:

  • Revised:

  • Accepted:

  • Published:

  • Issue Date:

  • DOI: https://doi.org/10.1007/s00330-020-06953-z

Keywords

  • Desmoid
  • Magnetic resonance imaging
  • Prognostic factors
  • Observation