Skip to main content

Detection of emergent large vessel occlusion stroke with CT angiography is high across all levels of radiology training and grayscale viewing methods

Abstract

Objectives

CT angiography (CTA) is essential in acute stroke to detect emergent large vessel occlusions (ELVO) and must be interpreted by radiologists with and without subspecialized training. Additionally, grayscale inversion has been suggested to improve diagnostic accuracy in other radiology applications. This study examines diagnostic performance in ELVO detection between neuroradiologists, non-neuroradiologists, and radiology residents using standard and grayscale inversion viewing methods.

Methods

A random, counterbalanced experimental design was used, where 18 radiologists with varying experiences interpreted the same patient images with and without grayscale inversion. Confirmed positive and negative ELVO cases were randomly ordered using a balanced design. Sensitivity, specificity, positive and negative predictive values as well as confidence, subjective assessment of image quality, time to ELVO detection, and overall interpretation time were examined between grayscale inversion (on/off) by experience level using generalized mixed modeling assuming a binary, negative binomial, and binomial distributions, respectively.

Results

All groups of radiologists had high sensitivity and specificity for ELVO detection (all > .94). Neuroradiologists were faster than non-neuroradiologists and residents in interpretation time, with a mean of 47 s to detect ELVO, as compared with 59 and 74 s, respectively. Residents were subjectively less confident than attending physicians. With respect to grayscale inversion, no differences were observed between groups with grayscale inversion vs. standard viewing for diagnostic performance (p = 0.30), detection time (p = .45), overall interpretation time (p = .97), and confidence (p = .20).

Conclusions

Diagnostic performance in ELVO detection with CTA was high across all levels of radiologist training level. Grayscale inversion offered no significant detection advantage.

Key Points

Stroke is an acute vascular syndrome that requires acute vascular imaging.

Proximal large vessel occlusions can be identified quickly and accurately by radiologists across all training levels.

Grayscale inversion demonstrated minimal detectable benefit in the detection of proximal large vessel occlusions.

This is a preview of subscription content, access via your institution.

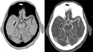
Fig. 1

Abbreviations

CSC:

Comprehensive stroke center

CTA:

CT angiography

ELVO:

Emergent large vessel occlusion

mCTA:

Multi-phase CT angiography

MT:

Mechanical thrombectomy

NCCT ASPECTS:

Non-contrast computed tomography Alberta Stroke Program Early CT Score

NeuroRad:

Neuroradiologist

NIHSS:

National Institutes of Health Stroke Scale

NonNeuro:

Non-neuroradiologist

NPV:

Negative predictive value

PACS:

Picture archiving and communication systems

PPV:

Positive predictive value

PSC:

Primary stroke center

References

  1. Berkhemer OA, Fransen PS, Beumer D et al (2015) A randomized trial of intraarterial treatment for acute ischemic stroke. N Engl J Med 372:11–20

    Article  Google Scholar 

  2. Campbell BC, Mitchell PJ, Kleinig TJ et al (2015) Endovascular therapy for ischemic stroke with perfusion-imaging selection. N Engl J Med 372:1009–1018

    CAS  Article  Google Scholar 

  3. Goyal M, Demchuk AM, Menon BK et al (2015) Randomized assessment of rapid endovascular treatment of ischemic stroke. N Engl J Med 372:1019–1030

    CAS  Article  Google Scholar 

  4. Jovin TG, Chamorro A, Cobo E et al (2015) Thrombectomy within 8 hours after symptom onset in ischemic stroke. N Engl J Med 372:2296–2306

    CAS  Article  Google Scholar 

  5. Nogueira RG, Jadhav AP, Haussen DC et al (2018) Thrombectomy 6 to 24 hours after stroke with a mismatch between deficit and infarct. N Engl J Med 378:11–21

    Article  Google Scholar 

  6. Saver JL, Goyal M, Bonafe A et al (2015) Stent-retriever thrombectomy after intravenous t-PA vs. t-PA alone in stroke. N Engl J Med 372:2285–2295

    CAS  Article  Google Scholar 

  7. Goyal M, Menon BK, Van Zwam WH et al (2016) Endovascular thrombectomy after large-vessel ischaemic stroke: a meta-analysis of individual patient data from five randomised trials. Lancet 387:1723–1731

    Article  Google Scholar 

  8. Saver JL, Goyal M, Van der Lugt AA et al (2016) Time to treatment with endovascular thrombectomy and outcomes from ischemic stroke: a meta-analysis. JAMA 316:1279–1288

    Article  Google Scholar 

  9. Demchuk AM, Menon BK, Goyal M (2016) Comparing vessel imaging: noncontrast computed tomography/computed tomographic angiography should be the new minimum standard in acute disabling stroke. Stroke 47:273–281

    Article  Google Scholar 

  10. McTaggart RA, Yaghi S, Cutting SM et al (2017) Association of a primary stroke center protocol for suspected stroke by large-vessel occlusion with efficiency of care and patient outcomes. JAMA Neurol 74:793–800

    Article  Google Scholar 

  11. Deipolyi AR, Hamberg LM, Gonzaléz RG, Hirsch JA, Hunter GJ (2014) Diagnostic yield of emergency department arch-to-vertex CT angiography in patients with suspected acute stroke. Am J Neuroradiol 36:265–268

    Article  Google Scholar 

  12. Hansen CK, Christensen A, Ovesen C, Havsteen I, Christensen H (2015) Stroke severity and incidence of acute large vessel occlusions in patients with hyper-acute cerebral ischemia: results from a prospective cohort study based on CT-angiography. Int J Stroke 10:336–342

    CAS  Article  Google Scholar 

  13. Heldner MR, Hsieh K, Broeg-Morvay A et al (2016) Clinical prediction of large vessel occlusion in anterior circulation stroke: mission impossible? J Neurol 263:1633–1640

    Article  Google Scholar 

  14. Heldner MR, Zubler C, Mattle HP et al (2013) National Institutes of Health Stroke Scale Score and vessel occlusion in 2152 patients with acute ischemic stroke. Stroke 44:1153–1157

    Article  Google Scholar 

  15. Piepenbrock C, Mayr S, Mund I, Buchner A (2013) Positive display polarity is advantageous for both younger and older adults. Ergonomics 56:1116–1124

    Article  Google Scholar 

  16. Chan AH, Lee PS (2005) Effect of display factors on Chinese reading times, comprehension scores and preferences. Behav Inform Technol 24:81–91

    Article  Google Scholar 

  17. Lungren MP, Samei E, Barnhart H et al (2012) Gray-scale inversion radiographic display for the detection of pulmonary nodules on chest radiographs. Clin Imaging 36:515–521

    Article  Google Scholar 

  18. Sheline ME, Birkman I, Epstein DM, Mezrich JL, Kundel HL, Arenson RL (1989) The diagnosis of pulmonary nodules: comparison between standard and inverse digitized images and conventional chest radiographs. AJR Am J Roentgenol 152:261–263

    CAS  Article  Google Scholar 

  19. Landis JR, Koch GG (1977) An application of hierarchical kappa-type statistics in the assessment of majority agreement among multiple observers. Biometrics 33:363–374

    CAS  Article  Google Scholar 

  20. Turc G, Maïer B, Naggara O et al (2016) Clinical scales do not reliably identify acute ischemic stroke patients with large-artery occlusion. Stroke 47:1466–1472

    Article  Google Scholar 

  21. Lev MH, Farkas J, Rodriguez VR et al (2001) CT angiography in the rapid triage of patients with hyperacute stroke to intraarterial thrombolysis: accuracy in the detection of large vessel thrombus. J Comput Assist Tomogr 25:520–580

    CAS  Article  Google Scholar 

  22. Yu AY, Zerna C, Assis Z, et al (2016) Multiphase CT angiography increases detection of anterior circulation intracranial occlusion. Neurology 87:609–616

  23. Prabhakaran S, Ward E, John S et al (2011) Transfer delay is a major factor limiting the use of intra-arterial treatment in acute ischemic stroke. Stroke 42:1626–1630

    CAS  Article  Google Scholar 

  24. Yi J, Zielinski D, Ouyang B, Conners J, Dafer R, Chen M (2017) Predictors of false-positive stroke thrombectomy transfers. J Neurointerv Surg 9:834–836

    Article  Google Scholar 

  25. Mokin M, Gupta R, Guerrero WR, Rose DZ, Burgin WS, Sivakanthan S (2017) ASPECTS decay during inter-facility transfer in patients with large vessel occlusion strokes. J Neurointerv Surg 9:442–444

    Article  Google Scholar 

Download references

Acknowledgments

The authors would like to acknowledge the contribution of the following individuals who generously shared their time and expertise to assist with data acquisition: Lawrence M Davis, MD, Glenn A Tung, MD, Michael D Beland, MD, David J Grand, MD, Thaddeus W Herliczek, MD, David W Swenson, MD, Albert Scappaticci, MD, Heather Gale, MD, Kathryn Wagner, MD, Don C Yoo, MD, Boris Sinayuk, MD, David Johnson, MD, Tisha M Singer, MD, Scott Collins, RTCT, and Brian L Murphy, MD.

Funding

The authors state that this work has not received any funding.

Author information

Affiliations

Authors

Corresponding author

Correspondence to Grayson L. Baird.

Ethics declarations

Guarantor

The scientific guarantor of this publication is Ryan McTaggart, MD

Conflict of interest

The authors of this manuscript declare no relationships with any companies, whose products or services may be related to the subject matter of the article.

Statistics and biometry

One of the authors, Grayson L Baird, PhD, PStat®, has significant statistical expertise.

Informed consent

Written informed consent was obtained from all subjects (radiologists) in this study.

Ethical approval

Institutional Review Board approval was obtained.

Methodology

• prospective

• experimental

• performed at one institution

Additional information

Publisher’s note

Springer Nature remains neutral with regard to jurisdictional claims in published maps and institutional affiliations.

Rights and permissions

Reprints and Permissions

About this article

Verify currency and authenticity via CrossMark

Cite this article

Boyd, C.A., Jayaraman, M.V., Baird, G.L. et al. Detection of emergent large vessel occlusion stroke with CT angiography is high across all levels of radiology training and grayscale viewing methods. Eur Radiol 30, 4447–4453 (2020). https://doi.org/10.1007/s00330-020-06814-9

Download citation

  • Received:

  • Revised:

  • Accepted:

  • Published:

  • Issue Date:

  • DOI: https://doi.org/10.1007/s00330-020-06814-9

Keywords

  • Stroke
  • Computed tomography angiography
  • Radiologists