Skip to main content

Amide proton transfer imaging might predict survival and IDH mutation status in high-grade glioma

Abstract

Objectives

To assess the utility of amide proton transfer (APT) imaging as an imaging biomarker to predict prognosis and molecular marker status in high-grade glioma (HGG, WHO grade III/IV).

Methods

We included 71 patients with pathologically diagnosed HGG who underwent preoperative MRI with APT imaging. Overall survival (OS) and progression-free survival (PFS) according to APT signal, clinical factors, MGMT methylation status, and IDH mutation status were analyzed. Multivariate Cox regression models with and without APT signal data were constructed. Model performance was compared using the integrated AUC (iAUC). Associations between APT signals and molecular markers were assessed using the Mann-Whitney test.

Results

High APT signal was a significant predictor for poor OS (HR = 3.21, 95% CI = 1.62–6.34) and PFS (HR = 2.22, 95% CI = 1.33–3.72) on univariate analysis. On multivariate analysis, high APT signals were an independent predictor of poor OS and PFS when clinical factors alone (OS: HR = 2.89; PFS: HR = 2.13), or in combination with molecular markers (OS: HR = 2.85; PFS: HR = 2.00), were included as covariates. The incremental prognostic value of APT signals was significant for OS and PFS. IDH-wild type was significantly associated with high APT signals (p = 0.001) when compared to IDH-mutant; however, there was no difference based on MGMT methylation status (p = 0.208).

Conclusion

High APT signal was a significant predictor of poor prognosis in HGG. APT data showed significant incremental prognostic value over clinical prognostic factors and molecular markers and may also predict IDH mutation status.

Key Points

• Amide proton transfer (APT) imaging is a promising prognostic marker of high-grade glioma.

• APT signals were significantly higher in IDH-wild type compared to IDH-mutant high-grade glioma.

• APT imaging may be valuable for preoperative screening and treatment guidance.

This is a preview of subscription content, access via your institution.

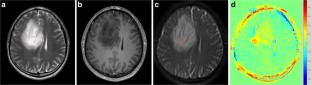
Fig. 1
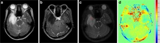
Fig. 2
Fig. 3
Fig. 4

Abbreviations

APT:

Amide proton transfer

AUC:

Area under the curve

CCRT:

Concurrent chemoradiation therapy

HGG:

High-grade glioma

iAUC:

Integrated area under the curve

ICC:

Intraclass correlation coefficients

IDH:

Isocitrate dehydrogenase

KPS:

Karnofsky performance status

MGMT:

O6-methylguanine-DNA methyltransferase

MRI:

Magnetic resonance imaging

MTR asym :

Magnetization transfer ratio asymmetry

OS:

Overall survival

PCR:

Polymerase chain reaction

PFS:

Progression free survival

ROI:

Region of interests

References

  1. Ricard D, Idbaih A, Ducray F, Lahutte M, Hoang-Xuan K, Delattre JY (2012) Primary brain tumours in adults. Lancet 379:1984–1996

    PubMed  Article  Google Scholar 

  2. Stupp R, Brada M, van den Bent MJ, Tonn JC, Pentheroudakis G (2014) High-grade glioma: ESMO clinical practice guidelines for diagnosis, treatment and follow-up. Ann Oncol 25:iii93–iii101

    PubMed  Article  Google Scholar 

  3. Lamborn KR, Chang SM, Prados MD (2004) Prognostic factors for survival of patients with glioblastoma: recursive partitioning analysis. Neuro Oncol 6:227–235

    PubMed  PubMed Central  Article  Google Scholar 

  4. Mirimanoff RO, Gorlia T, Mason W et al (2006) Radiotherapy and temozolomide for newly diagnosed glioblastoma: recursive partitioning analysis of the EORTC 26981/22981-NCIC CE3 phase III randomized trial. J Clin Oncol 24:2563–2569

    CAS  PubMed  Article  Google Scholar 

  5. Brown TJ, Brennan MC, Li M et al (2016) Association of the extent of resection with survival in glioblastoma: a systematic review and meta-analysis. JAMA Oncol 2:1460–1469

    PubMed  PubMed Central  Article  Google Scholar 

  6. Zou P, Xu H, Chen P et al (2013) IDH1/IDH2 mutations define the prognosis and molecular profiles of patients with gliomas: a meta-analysis. PLoS One 8:e68782

    CAS  PubMed  PubMed Central  Article  Google Scholar 

  7. Weller M, Tabatabai G, Kästner B et al (2015) MGMT promoter methylation is a strong prognostic biomarker for benefit from dose-intensified temozolomide rechallenge in progressive glioblastoma: the DIRECTOR trial. Clin Cancer Res 21:2057–2064

    CAS  PubMed  Article  Google Scholar 

  8. Leu S, von Felten S, Frank S et al (2013) IDH/MGMT-driven molecular classification of low-grade glioma is a strong predictor for long-term survival. Neuro Oncol 15:469–479

    CAS  PubMed  PubMed Central  Article  Google Scholar 

  9. Yang F, Yang P, Zhang C et al (2017) Stratification according to recursive partitioning analysis predicts outcome in newly diagnosed glioblastomas. Oncotarget 8:42974–42982

    PubMed  PubMed Central  Google Scholar 

  10. Brat DJ, Verhaak RG, Aldape KD et al (2015) Comprehensive, integrative genomic analysis of diffuse lower-grade gliomas. N Engl J Med 372:2481–2498

    CAS  PubMed  Article  Google Scholar 

  11. Ludwig K, Kornblum HI (2017) Molecular markers in glioma. J Neurooncol 134:505–512

    CAS  PubMed  PubMed Central  Article  Google Scholar 

  12. Tateishi K, Wakimoto H, Cahill DP (2017) IDH1 mutation and World Health Organization 2016 diagnostic criteria for adult diffuse gliomas: advances in surgical strategy. Neurosurgery 64:134–138

    PubMed  PubMed Central  Article  Google Scholar 

  13. Siegal T (2016) Clinical relevance of prognostic and predictive molecular markers in gliomas. Adv Tech Stand Neurosurg. https://doi.org/10.1007/978-3-319-21359-0_4:91-108

  14. Yan H, Parsons DW, Jin G et al (2009) IDH1 and IDH2 mutations in gliomas. N Engl J Med 360:765–773

    CAS  PubMed  PubMed Central  Article  Google Scholar 

  15. Miller JJ, Shih HA, Andronesi OC, Cahill DP (2017) Isocitrate dehydrogenase-mutant glioma: evolving clinical and therapeutic implications. Cancer 123:4535–4546

    CAS  PubMed  Article  Google Scholar 

  16. Louis DN, Perry A, Reifenberger G et al (2016) The 2016 World Health Organization classification of tumors of the central nervous system: a summary. Acta Neuropathol 131:803–820

    PubMed  Article  Google Scholar 

  17. Waitkus MS, Diplas BH, Yan H (2016) Isocitrate dehydrogenase mutations in gliomas. Neuro Oncol 18:16–26

    CAS  PubMed  Article  Google Scholar 

  18. Baldewpersad Tewarie NM, Burgers IA, Dawood Y et al (2013) NADP+ -dependent IDH1 R132 mutation and its relevance for glioma patient survival. Med Hypotheses 80:728–731

    CAS  PubMed  Article  Google Scholar 

  19. Hegi ME, Diserens A-C, Gorlia T et al (2005) MGMT gene silencing and benefit from temozolomide in glioblastoma. N Engl J Med 352:997–1003

    CAS  PubMed  Article  Google Scholar 

  20. Pope WB, Sayre J, Perlina A, Villablanca JP, Mischel PS, Cloughesy TF (2005) MR imaging correlates of survival in patients with high-grade gliomas. AJNR Am J Neuroradiol 26:2466–2474

    PubMed  Google Scholar 

  21. Hirai T, Murakami R, Nakamura H et al (2008) Prognostic value of perfusion MR imaging of high-grade astrocytomas: long-term follow-up study. AJNR Am J Neuroradiol 29:1505–1510

    CAS  PubMed  Article  Google Scholar 

  22. Choi YS, Ahn SS, Kim DW et al (2016) Incremental prognostic value of ADC histogram analysis over MGMT promoter methylation status in patients with glioblastoma. Radiology 281:175–184

    PubMed  Article  Google Scholar 

  23. Ulyte A, Katsaros VK, Liouta E et al (2016) Prognostic value of preoperative dynamic contrast-enhanced MRI perfusion parameters for high-grade glioma patients. Neuroradiology 58:1197–1208

    PubMed  PubMed Central  Article  Google Scholar 

  24. Ward KM, Aletras AH, Balaban RS (2000) A new class of contrast agents for MRI based on proton chemical exchange dependent saturation transfer (CEST). J Magn Reson 143:79–87

    CAS  Article  Google Scholar 

  25. Zhou J, Lal B, Wilson DA, Laterra J, van Zijl PC (2003) Amide proton transfer (APT) contrast for imaging of brain tumors. Magn Reson Med 50:1120–1126

    Article  Google Scholar 

  26. Jones CK, Schlosser MJ, van Zijl PC, Pomper MG, Golay X, Zhou J (2006) Amide proton transfer imaging of human brain tumors at 3T. Magn Reson Med 56:585–592

    Article  Google Scholar 

  27. Choi YS, Ahn SS, Lee SK et al (2017) Amide proton transfer imaging to discriminate between low- and high-grade gliomas: added value to apparent diffusion coefficient and relative cerebral blood volume. Eur Radiol 27:3181–3189

    PubMed  PubMed Central  Article  Google Scholar 

  28. Togao O, Yoshiura T, Keupp J et al (2014) Amide proton transfer imaging of adult diffuse gliomas: correlation with histopathological grades. Neuro Oncol 16:441–448

    CAS  PubMed  Article  Google Scholar 

  29. Jiang S, Zou T, Eberhart CG et al (2017) Predicting IDH mutation status in grade II gliomas using amide proton transfer-weighted (APTw) MRI. Magn Reson Med 78:1100–1109

    CAS  PubMed  PubMed Central  Article  Google Scholar 

  30. Jiang S, Rui Q, Wang Y et al (2018) Discriminating MGMT promoter methylation status in patients with glioblastoma employing amide proton transfer-weighted MRI metrics. Eur Radiol 28:2115–2123

    PubMed  Article  Google Scholar 

  31. Paech D, Windschuh J, Oberhollenzer J et al (2018) Assessing the predictability of IDH mutation and MGMT methylation status in glioma patients using relaxation-compensated multi-pool CEST MRI at 7.0 Tesla. Neuro Oncol. https://doi.org/10.1093/neuonc/noy073

    CAS  PubMed  PubMed Central  Article  Google Scholar 

  32. Regnery S, Adeberg S, Dreher C et al (2018) Chemical exchange saturation transfer MRI serves as predictor of early progression in glioblastoma patients. Oncotarget 9:28772

    PubMed  PubMed Central  Article  Google Scholar 

  33. Kim M, Gillen J, Landman BA, Zhou J, van Zijl PC (2009) Water saturation shift referencing (WASSR) for chemical exchange saturation transfer (CEST) experiments. Magn Reson Med 61:1441–1450

    PubMed  PubMed Central  Article  Google Scholar 

  34. Choi J, Lee EY, Shin KJ, Minn YK, Kim J, Kim SH (2013) IDH1 mutation analysis in low cellularity specimen: a limitation of diagnostic accuracy and a proposal for the diagnostic procedure. Pathol Res Pract 209:284–290

    CAS  PubMed  Article  Google Scholar 

  35. Heagerty PJ, Zheng Y (2005) Survival model predictive accuracy and ROC curves. Biometrics 61:92–105

    PubMed  Article  Google Scholar 

  36. Yan K, Fu Z, Yang C et al (2015) Assessing amide proton transfer (APT) MRI contrast origins in 9 L gliosarcoma in the rat brain using proteomic analysis. Mol Imaging Biol 17:479–487

    CAS  PubMed  PubMed Central  Article  Google Scholar 

  37. Su C, Liu C, Zhao L et al (2017) Amide proton transfer imaging allows detection of glioma grades and tumor proliferation: comparison with Ki-67 expression and proton MR spectroscopy imaging. AJNR Am J Neuroradiol 38:1702–1709

    CAS  PubMed  Article  Google Scholar 

  38. Park JE, Kim HS, Park KJ, Kim SJ, Kim JH, Smith SA (2016) Pre- and posttreatment glioma: comparison of amide proton transfer imaging with MR spectroscopy for biomarkers of tumor proliferation. Radiology 278:514–523

    Article  Google Scholar 

  39. Binabaj MM, Bahrami A, ShahidSales S et al (2018) The prognostic value of MGMT promoter methylation in glioblastoma: a meta-analysis of clinical trials. J Cell Physiol 233:378–386

    CAS  PubMed  Article  Google Scholar 

  40. Doll S, Urisman A, Oses-Prieto JA, Arnott D, Burlingame AL (2017) Quantitative proteomics reveals fundamental regulatory differences in oncogenic HRAS and Isocitrate dehydrogenase (IDH1) driven astrocytoma. Mol Cell Proteomics 16:39–56

    CAS  PubMed  Article  Google Scholar 

  41. Reitman ZJ, Jin G, Karoly ED et al (2011) Profiling the effects of isocitrate dehydrogenase 1 and 2 mutations on the cellular metabolome. Proc Natl Acad Sci U S A 108:3270–3275

    CAS  PubMed  PubMed Central  Article  Google Scholar 

  42. Zhou J, Tryggestad E, Wen Z et al (2010) Differentiation between glioma and radiation necrosis using molecular magnetic resonance imaging of endogenous proteins and peptides. Nat Med 17:130

    CAS  PubMed  PubMed Central  Article  Google Scholar 

  43. Park JE, Kim HS, Park KJ, Choi CG, Kim SJ (2015) Histogram analysis of amide proton transfer imaging to identify contrast-enhancing low-grade brain tumor that mimics high-grade tumor: increased accuracy of MR perfusion. Radiology 277:151–161

    PubMed  Article  Google Scholar 

  44. Jones CK, Huang A, Xu J et al (2013) Nuclear Overhauser enhancement (NOE) imaging in the human brain at 7T. Neuroimage 77:114–124

    PubMed  Article  Google Scholar 

  45. van Zijl PC, Yadav NN (2011) Chemical exchange saturation transfer (CEST): what is in a name and what isn't? Magn Reson Med 65:927–948

    PubMed  PubMed Central  Article  CAS  Google Scholar 

  46. Zaiss M, Windschuh J, Paech D et al (2015) Relaxation-compensated CEST-MRI of the human brain at 7T: unbiased insight into NOE and amide signal changes in human glioblastoma. Neuroimage 112:180–188

    PubMed  Article  Google Scholar 

  47. Lee DH, Heo HY, Zhang K et al (2017) Quantitative assessment of the effects of water proton concentration and water T1 changes on amide proton transfer (APT) and nuclear overhauser enhancement (NOE) MRI: the origin of the APT imaging signal in brain tumor. Magn Reson Med 77:855–863

    CAS  PubMed  Article  Google Scholar 

  48. Heo HY, Zhang Y, Lee DH, Hong X, Zhou J (2016) Quantitative assessment of amide proton transfer (APT) and nuclear overhauser enhancement (NOE) imaging with extrapolated semi-solid magnetization transfer reference (EMR) signals: application to a rat glioma model at 4.7 tesla. Magn Reson Med 75:137–149

    CAS  PubMed  Article  Google Scholar 

  49. Sakata A, Okada T, Yamamoto A et al (2015) Grading glial tumors with amide proton transfer MR imaging: different analytical approaches. J Neurooncol 122:339–348

    CAS  PubMed  Article  Google Scholar 

  50. Hartmann C, Hentschel B, Wick W et al (2010) Patients with IDH1 wild type anaplastic astrocytomas exhibit worse prognosis than IDH1-mutated glioblastomas, and IDH1 mutation status accounts for the unfavorable prognostic effect of higher age: implications for classification of gliomas. Acta Neuropathol 120:707–718

    PubMed  PubMed Central  Article  Google Scholar 

Download references

Acknowledgements

The authors thank Ha-Kyu Jeong (Korea Basic Science Institute, Chungcheongbuk-do, Korea) for his help with protocol optimization and for the valuable suggestions.

Funding

This research received funding from the Basic Science Research Program through the National Research Foundation of Korea (NRF) funded by the Ministry of Science, ICT and Future Planning (2014R1A1A1002716, 2017R1D1A1B03030440) and National Institutes of Health (P41 EB015909, R01 CA166171, R01 EB009731).

Author information

Affiliations

Authors

Corresponding author

Correspondence to Sung Soo Ahn.

Ethics declarations

Guarantor

The scientific guarantor of this publication is Professor Seung-Koo Lee, MD, PhD, from Yonsei University College of Medicine.

Conflict of interest

The authors of this manuscript declare no relationships with any companies, whose products or services may be related to the subject matter of the article.

Statistics and biometry

One of the authors has significant statistical expertise.

Kyunghwa Han, PhD

Department of Radiology and Research Institute of Radiological Science, College of Medicine, Yonsei University College of Medicine, Seoul, Korea.

Informed consent

The institutional review board waived the requirement to obtain informed patient consent for this retrospective study.

Ethical approval

Institutional Review Board approval was obtained.

Methodology

• retrospective

• diagnostic or prognostic study

• performed at one institution

Additional information

Publisher’s note

Springer Nature remains neutral with regard to jurisdictional claims in published maps and institutional affiliations.

Rights and permissions

Reprints and Permissions

About this article

Verify currency and authenticity via CrossMark

Cite this article

Joo, B., Han, K., Ahn, S.S. et al. Amide proton transfer imaging might predict survival and IDH mutation status in high-grade glioma. Eur Radiol 29, 6643–6652 (2019). https://doi.org/10.1007/s00330-019-06203-x

Download citation

  • Received:

  • Revised:

  • Accepted:

  • Published:

  • Issue Date:

  • DOI: https://doi.org/10.1007/s00330-019-06203-x

Keywords

  • Glioma
  • Magnetic resonance imaging
  • Isocitrate dehydrogenase
  • Prognosis