Skip to main content

Imaging features of SMARCA4-deficient thoracic sarcomas: a multi-centric study of 21 patients

Abstract

Objectives

SMARCA4-deficient thoracic sarcoma (SMARCA4-DTS) is a recently identified aggressive subtype of sarcoma. The aim of this study was to characterize the CT imaging features of SMARCA4-DTS.

Methods

From June 2011 to May 2017, 21 adult patients with histologically proven SMARCA4-DTS were identified in the radiological database of 2 French sarcoma reference centers with at least one chest CT scan available. The locations, sizes, heterogeneity, margin definitions, and local extensions of the tumors were reported together with their impact on surrounding organs and regional and distant metastases. Pathological findings, molecular analyses, and patients’ outcomes were retrieved.

Results

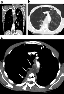
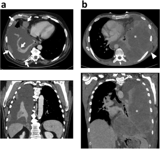
Of the 21 included patients (median age 48, range 30–74), 18 (85.7%) were male and 18 (85.7%) had a smoking history. Four main radiological patterns were identified depending on the location of the main tumor burden: mediastinal (n = 13), pleural (n = 6), cervical (n = 1), and retroperitoneal (n = 1). Median size was 120 mm (range 46–266). Characteristic CT imaging features of primary tumors included ill-defined margins (n = 21), heterogeneous enhancement after injection (n = 20), multi-compartment extension from mediastinum to lung apex, pleura, or neck (n = 20), compressive effect responsible for atelectasis (n = 11), vascular encasement (n = 16—5 superior vena cava syndrome), and esophagus invasion (n = 5). Primary tumors showed strong 18F-FDG avidity in eight patients with PET-CT. Necrotic lymphadenopathies were found in 19 patients, with a surrounding infiltrate in 13 patients. Metastatic locations at baseline mainly involved adrenal (n = 10), lung (n = 6), and bone (n = 5). Median overall survival was 5 months (range 1–13).

Conclusion

Most SMARCA4-DTS present with compressive and infiltrative chest masses with ill-defined necrotic lymphadenopathies. The diagnosis of SMARCA4-DTS should enter in the differentials of the radiologist, especially in the case of a rapidly evolving thoracic mass in young smoking males.

Key Points

• SMARCA4-DTS is a very aggressive poorly differentiated sarcoma with a predilection for young and middle-aged adult male smokers.

• SMARCA4-DTS, which is mostly located in the chest cavity, can compress and infiltrate all adjacent organs leading to superior vena syndrome, lung atelectasis, epiduritis, spinal cord compression, and esophagus invasion.

• SMARCA4-DTS typically demonstrates several ill-defined necrotic lymphadenopathies spreading in axillar, subclavian, cervical, mediastinum, and retroperitoneum.

This is a preview of subscription content, access via your institution.

Fig. 1
Fig. 2
Fig. 3
Fig. 4
Fig. 5
Fig. 6

Abbreviations

18F-FDG-PET/CT:

18F-Fluorodeoxyglucose positron emission tomography merged with computed tomography

BRG1:

Brahma-related gene 1

HES:

Hematoxylin and eosin staining

IASLC:

International Association for the Study of Lung Cancer

MNSGCT:

Malignant non-seminomatous germ cell tumor

MRT:

Malignant rhabdoid tumors

NMC:

NUT (nuclear in testis) midline carcinoma

NSCLC:

Non-small cell lung carcinoma

NUT:

Nuclear in testis

SCLC:

Small cell lung carcinoma

SFT:

Solitary fibrous tumor

SMARCA4-DTS:

SMARCA4-deficient thoracic sarcoma

SOX2:

Sex-determining region Y-bOX 2

SUVmax:

Maximal standardized uptake value

TTF1:

Thyroid transcription factor 1

References

  1. Le Loarer F, Watson S, Pierron G et al (2015) SMARCA4 inactivation defines a group of undifferentiated thoracic malignancies transcriptionally related to BAF-deficient sarcomas. Nat Genet 47:1200–1205. https://doi.org/10.1038/ng.3399

    Article  CAS  PubMed  Google Scholar 

  2. Wong AK, Shanahan F, Chen Y et al (2000) BRG1, a component of the SWI-SNF complex, is mutated in multiple human tumor cell lines. Cancer Res 60:6171–6177

    CAS  PubMed  Google Scholar 

  3. Wilson BG, Roberts CW (2011) SWI/SNF nucleosome remodellers and cancer. Nat Rev Cancer 11:481–492. https://doi.org/10.1038/nrc3068

    Article  CAS  PubMed  Google Scholar 

  4. Kadoch C, Hargreaves DC, Hodges C et al (2013) Proteomic and bioinformatic analysis of mammalian SWI/SNF complexes identifies extensive roles in human malignancy. Nat Genet 45:592–601. https://doi.org/10.1038/ng.2628

    Article  CAS  PubMed  PubMed Central  Google Scholar 

  5. Yoshida A, Kobayashi E, Kubo T et al (2017) Clinicopathological and molecular characterization of SMARCA4-deficient thoracic sarcomas with comparison to potentially related entities. Mod Pathol 30:797–809. https://doi.org/10.1038/modpathol.2017.11

    Article  CAS  PubMed  Google Scholar 

  6. Sauter JL, Graham RP, Larsen BT, Jenkins SM, Roden AC, Boland JM (2017) SMARCA4-deficient thoracic sarcoma: a distinctive clinicopathological entity with undifferentiated rhabdoid morphology and aggressive behavior. Mod Pathol 30:1422–1432. https://doi.org/10.1038/modpathol.2017.61

  7. Parikh SA, French CA, Costello BA et al (2013) NUT midline carcinoma: an aggressive intrathoracic neoplasm. J Thorac Oncol 8:1335–1338. https://doi.org/10.1097/JTO.0b013e3182a00f41

    Article  PubMed  Google Scholar 

  8. Travis WD, Brambilla E, Nicholson AG et al (2015) The 2015 World Health Organization classification of lung tumors: impact of genetic, clinical and radiologic advances since the 2004 classification. J Thorac Oncol 10:1243–1260. https://doi.org/10.1097/JTO.0000000000000630

    Article  PubMed  Google Scholar 

  9. Sholl LM, Nishino M, Pokharel S et al (2015) Primary pulmonary NUT midline carcinoma: clinical, radiographic, and pathologic characterizations. J Thorac Oncol 10:951–959. https://doi.org/10.1097/JTO.0000000000000545

    Article  PubMed  PubMed Central  Google Scholar 

  10. Kuwamoto S, Matsushita M, Takeda K et al (2017) SMARCA4-deficient thoracic sarcoma: report of a case and insights into how to reach the diagnosis using limited samples and resources. Hum Pathol 70:92–97. https://doi.org/10.1016/j.humpath.2017.05.024

    Article  PubMed  Google Scholar 

  11. Chan-Penebre E, Armstrong K, Drew A et al (2017) Selective killing of SMARCA2- and SMARCA4-deficient small cell carcinoma of the ovary, hypercalcemic type cells by inhibition of EZH2: in vitro and in vivo preclinical models. Mol Cancer Ther 16:850–860. https://doi.org/10.1158/1535-7163.MCT-16-0678

    Article  CAS  PubMed  Google Scholar 

  12. Yamagishi M, Uchimaru K (2017) Targeting EZH2 in cancer therapy. Curr Opin Oncol 29:375–381. https://doi.org/10.1097/CCO.0000000000000390

    Article  CAS  Google Scholar 

  13. Italiano A, Soria JC, Toulmonde M et al (2018) Tazemetostat, an EZH2 inhibitor, in relapsed or refractory B-cell non-Hodgkin lymphoma and advanced solid tumours: a first-in-human, open-label, phase 1 study. Lancet Oncol 19:649–659. https://doi.org/10.1016/S1470-2045(18)30145-1

    Article  CAS  PubMed  Google Scholar 

  14. Young H, Baum R, Cremerius U et al (1999) Measurement of clinical and subclinical tumour response using [18F]-fluorodeoxyglucose and positron emission tomography: review and 1999 EORTC recommendations. European Organization for Research and Treatment of Cancer (EORTC) PET Study Group. Eur J Cancer 35:1773–1782

    Article  CAS  Google Scholar 

  15. Rosado-de-Christenson ML, Strollo DC, Marom EM (2008) Imaging of thymic epithelial neoplasms. Hematol Oncol Clin North Am 22:409–431. https://doi.org/10.1016/j.hoc.2008.03.011

    Article  PubMed  Google Scholar 

  16. Jung KJ, Lee KS, Han J, Kim J, Kim TS, Kim EA (2001) Malignant thymic epithelial tumors: CT-pathologic correlation. AJR Am J Roentgenol 176:433–439. https://doi.org/10.2214/ajr.176.2.1760433

  17. Carter BW, Glisson BS, Truong MT, Erasmus JJ (2014) Small cell lung carcinoma: staging, imaging, and treatment considerations. Radiographics 34:1707–1721. https://doi.org/10.1148/rg.346140178

    Article  PubMed  Google Scholar 

  18. Kurihara Y, Nakajima Y, Ishikawa T (1993) The prevalence and pattern of calcification in primary lung carcinoma as demonstrated by computed tomography [in Japanese]. Hai Gan 1993 33(7):1037–1044. https://doi.org/10.2482/haigan.33.1037

    Article  Google Scholar 

  19. Grewal RG, Austin JH (1994) CT demonstration of calcification in carcinoma of the lung. J Comput Assist Tomogr 18:867–871

    Article  CAS  PubMed  Google Scholar 

  20. Drevelegas A, Palladas P, Scordalaki A (2001) Mediastinal germ cell tumors: a radiologic-pathologic review. Eur Radiol 11:1925–1932. https://doi.org/10.1007/s003300000725

    Article  CAS  PubMed  Google Scholar 

  21. Ueno T, Tanaka YO, Nagata M et al (2004) Spectrum of germ cell tumors: from head to toe. Radiographics 24:387–404. https://doi.org/10.1148/rg.242035082

    Article  Google Scholar 

  22. Yeom YK, Kim MY, Lee HJ, Kim SS (2015) Solitary fibrous tumors of the pleura of the thorax: CT and FDG PET characteristics in a tertiary referral center. Medicine (Baltimore) 94:e1548. https://doi.org/10.1097/MD.0000000000001548

  23. Chick JFB, Chauhan NR, Madan R (2013) Solitary fibrous tumors of the thorax: nomenclature, epidemiology, radiologic and pathologic findings, differential diagnoses, and management. AJR Am J Roentgenol 200:W238–W248. https://doi.org/10.2214/AJR.11.8430

    Article  PubMed  Google Scholar 

  24. Ginat DT, Bokhari A, Bhatt S, Dogra V (2011) Imaging features of solitary fibrous tumors. AJR Am J Roentgenol 196:487–495. https://doi.org/10.2214/AJR.10.4948

    Article  PubMed  Google Scholar 

  25. Vilstrup MH, Torigian DA (2014) [18F] Fluorodeoxyglucose PET in thoracic malignancies. PET Clin 9:391–420, v. https://doi.org/10.1016/j.cpet.2014.06.002

    Article  PubMed  Google Scholar 

  26. Quint LE (2006) PET: other thoracic malignancies. Cancer Imaging 6:S82–S88. https://doi.org/10.1102/1470-7330.2006.9015

    Article  PubMed  PubMed Central  Google Scholar 

  27. Treglia G, Sadeghi R, Annunziata S et al (2014) Diagnostic accuracy of 18F-FDG-PET and PET/CT in the differential diagnosis between malignant and benign pleural lesions: a systematic review and meta-analysis. Acad Radiol 21:11–20. https://doi.org/10.1016/j.acra.2013.09.015

    Article  PubMed  Google Scholar 

  28. Wu WW, Bi WL, Kang YJ et al (2016) Adult atypical teratoid/rhabdoid tumors. World Neurosurg 85:197–204. https://doi.org/10.1016/j.wneu.2015.08.076

    Article  PubMed  Google Scholar 

  29. Korivi BR, Javadi S, Faria S et al (2017) Small cell carcinoma of the ovary, hypercalcemic type: clinical and imaging review. Curr Probl Diagn Radiol. https://doi.org/10.1067/j.cpradiol.2017.08.004

  30. Takahashi K, Al-Janabi NJ (2010) Computed tomography and magnetic resonance imaging of mediastinal tumors. J Magn Reson Imaging 32:1325–1339. https://doi.org/10.1002/jmri.22377

    Article  PubMed  Google Scholar 

Download references

Acknowledgements

The authors would like to thank Ms. Camille Martinerie for medical writing services.

Funding

The authors state that this work has not received any funding.

Author information

Affiliations

Authors

Corresponding author

Correspondence to Amandine Crombé.

Ethics declarations

Guarantor

The scientific guarantor of this publication is Dr. Xavier Buy, MD, head of the Department of Radiology, Institut Bergonié, Bordeaux, France.

Conflict of interest

The authors of this manuscript declare no relationships with any companies, whose products or services may be related to the subject matter of the article.

Statistics and biometry

No complex statistical methods were necessary for this paper.

Informed consent

Written informed consent was waived by the Institutional Review Board.

Ethical approval

Institutional Review Board approval was obtained.

Study subjects or cohorts overlap

Some study subjects or cohorts have been previously reported in the study by Le Loarer et al which aim was to characterize the molecular and genetic aspects of SMARCA4-DTS and did include a dedicated radiological analysis (Nat Genet 47(2015):1200–1205).

Methodology

• retrospective

• observational

• multi-center study

Additional information

Publisher’s note

Springer Nature remains neutral with regard to jurisdictional claims in published maps and institutional affiliations.

François Le Loarer and Michèle Kind codirected the research.

Electronic supplementary material

ESM 1

(DOCX 23 kb)

Rights and permissions

Reprints and Permissions

About this article

Verify currency and authenticity via CrossMark

Cite this article

Crombé, A., Alberti, N., Villard, N. et al. Imaging features of SMARCA4-deficient thoracic sarcomas: a multi-centric study of 21 patients. Eur Radiol 29, 4730–4741 (2019). https://doi.org/10.1007/s00330-019-06017-x

Download citation

  • Received:

  • Revised:

  • Accepted:

  • Published:

  • Issue Date:

  • DOI: https://doi.org/10.1007/s00330-019-06017-x

Keywords

  • Sarcoma
  • Tomography, emission-computed
  • Lung neoplasms
  • Lymphoma