Skip to main content

Prospective multimodal imaging assessment of locally advanced cervical cancer patients administered by chemoradiation followed by radical surgery—the “PRICE“ study 2: role of conventional and DW-MRI

Abstract

Objectives

To assess the diagnostic performance of conventional and DW-MRI parameters in the detection of residual tumor in locally advanced cervical cancer (LACC) patients treated with neoadjuvant chemoradiotherapy (nCRT) and radical surgery

Methods

Between October 2010 and June 2014, 88 patients with histologically documented cervical cancer (FIGO stage IB2–IVA) were prospectively included in the study. Maximum tumor diameters (maxTD), tumor volume (TV), DWI signal intensity (SI), and ADCmean were evaluated at MRI after nCRT. Histology was the reference standard. Treatment response was classified as complete (CR) or partial (PR). Comparisons were made with Mann-Whitney, χ2, and Fisher’s exact tests. ROC curves were generated for variables to evaluate diagnostic ability to predict PR and to determine the best cutoff value to predict PR. For each diagnostic test, sensitivity, specificity, and accuracy were calculated.

Results

TV and maxTD were significantly smaller in the CR than in the PR group (p < 0.001; p = 0.001) and showed, respectively, sensitivity of 68.8%, specificity of 72.5%, and accuracy of 70.5% and of 47.9, 87.5, and 65.9% in predicting PR. High DWI SI was more frequent in the PR (81.8%) than in the CR group (55.3%) (p < 0.009). ADCmean was higher in the CR (1.3 × 10-3 mm2/s, range 0.8–1.6 × 10-3 mm2/s) than in the PR group (1.1 × 10-3 mm2/s; range 0.7–1.8 × 10-3 mm2/s) (p < 0.018). High DWI SI showed sensitivity, specificity, and accuracy of 81.8, 44.7, and 64.6% in predicting PR. The ADCmean measurement increased sensitivity, specificity, and accuracy to 75.0, 76.2, and 75.4%.

Conclusions

Conventional and DW-MRI is useful for predicting PR after nCRT in LACC. The ADCmean value ≤ 1.1 × 10-3 mm2/s was the best cutoff to predict PR.

Key Points

• Conventional and DW-MRI is useful for predicting PR after nCRT in LACC.

• The combination of T2 sequences, DW-MRI, and the quantitative measurement of ADC mean showed the best results in predicting pathological PR.

• The best cutoff for predicting pathological PR was ADCmeanvalue ≤ 1.1 × 10-3 mm2/s.

This is a preview of subscription content, access via your institution.

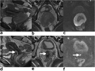
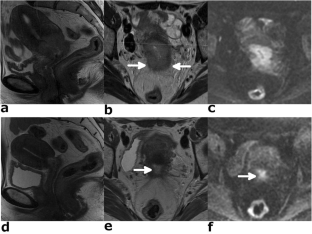
Fig. 1
Fig. 2
Fig. 3
Fig. 4
Fig. 5
Fig. 6

Abbreviations

ADCmean :

Apparent diffusion coefficient mean

CR:

Complete response

CRT:

Chemoradiation

DW-MR:

Diffusion-weighted magnetic resonance

FIGO:

International Federation of Gynecology and Obstetrics

FN:

False negative

FP:

False positive

FRFSE:

Fast-recovery fast spin echo

FSE:

Fast spin echo

IVIM:

Intravoxel incoherent motion

LACC:

Locally advanced cervical cancer

maxTD:

Maximum tumor diameters

nCRT:

Neoadjuvant chemoradiotherapy

PACS:

Picture archiving and communication system

pR0:

Absence of any residual tumor

pR1:

Microscopic residual tumor

pR2:

Macroscopic residual tumor

PR:

Partial response

PRICE:

Prospective imaging of cervical cancer and neoadjuvant treatment

RECIST:

Response Evaluation Criteria In Solid Tumors

ROI:

Region of interest

SE:

Spin echo

SPSS:

Statistical Package for the Social Sciences

TN:

True negative

TP:

True positive

TUS:

Transvaginal ultrasound

TV:

Tumor volume

References

  1. Jalaguier-Coudray A, Villard-Mahjoub R, Delouche A et al (2017) Value of dynamic contrast-enhanced and diffusion-weighted MR imaging in the detection of pathologic complete response in cervical cancer after neoadjuvant therapy: a retrospective observational study. Radiology 284:432–442

    Article  PubMed  Google Scholar 

  2. Fu ZZ, Peng Y, Cao LY, Chen YS, Li K, Fu BH (2015) Value of apparent diffusion coefficient (ADC) in assessing radiotherapy and chemotherapy success in cervical cancer. Magn Reson Imaging 33:516–524

  3. McNeil C (1999) New standard of care for cervical cancer sets stage for next questions. J Natl Cancer Inst 91:500–501

    Article  CAS  PubMed  Google Scholar 

  4. Chemoradiotherapy for Cervical Cancer Meta-analysis Collaboration (CCCMAC) (2010) Reducing uncertainties about the effects of chemoradiotherapy for cervical cancer: individual patient data meta-analysis. Cochrane Database Syst Rev CD008285. https://doi.org/10.1002/14651858.CD008285

  5. Marth C, Landoni F, Mahner S, McCormack M, Gonzalez-Martin A, Colombo N (2017) Cervical cancer: ESMO clinical practice guidelines for diagnosis, treatment and follow-up. Ann Oncol 28:iv72–iv83

    Article  CAS  Google Scholar 

  6. Classe JM, Rauch P, Rodier JF et al (2006) Surgery after concurrent chemoradiotherapy and brachytherapy for the treatment of advanced cervical cancer: morbidity and outcome: results of a multicenter study of the GCCLCC (Groupe des Chirurgiens de Centre de Lutte Contre le Cancer). Gynecol Oncol 102:523–529

    Article  CAS  Google Scholar 

  7. Ferrandina G, Margariti PA, Smaniotto D et al (2010) Long-term analysis of clinical outcome and complications in locally advanced cervical cancer patients administered concomitant chemoradiation followed by radical surgery. Gynecol Oncol 119:404–410

    Article  CAS  Google Scholar 

  8. Motton S, Houvenaeghel G, Delannes M et al (2010) Results of surgery after concurrent chemoradiotherapy in advanced cervical cancer: comparison of extended hysterectomy and extrafascial hysterectomy. Int J Gynecol Cancer 20:268–275

    Article  PubMed  Google Scholar 

  9. Touboul C, Uzan C, Mauguen A et al (2010) Prognostic factors and morbidities after completion surgery in patients undergoing initial chemoradiation therapy for locally advanced cervical cancer. Oncologist 15:405–415

    Article  PubMed  PubMed Central  Google Scholar 

  10. Gallotta V, Ferrandina G, Chiantera V et al (2015) Laparoscopic radical hysterectomy after concomitant chemoradiation in locally advanced cervical cancer: a prospective phase II study. J Minim Invasive Gynecol 22:877–883

  11. Morice P, Rouanet P, Rey A et al (2012) Results of the GYNECO 02 study, an FNCLCC phase III trial comparing hysterectomy with no hysterectomy in patients with a (clinical and radiological) complete response after chemoradiation therapy for stage IB2 or II cervical cancer. Oncologist 17:64–71

    Article  CAS  PubMed  PubMed Central  Google Scholar 

  12. Cetina L, González-Enciso A, Cantú D et al (2013) Brachytherapy versus radical hysterectomy after external beam chemoradiation with gemcitabine plus cisplatin: a randomized, phase III study in IB2-IIB cervical cancer patients. Ann Oncol 24:2043–2047

    Article  CAS  PubMed  Google Scholar 

  13. Ferrandina G, Gambacorta A, Gallotta V et al (2014) Chemoradiation with concomitant boosts followed by radical surgery in locally advanced cervical cancer: long-term results of the ROMA-2 prospective phase 2 study. Int J Radiat Oncol Biol Phys 90:778–785

    Article  PubMed  Google Scholar 

  14. Gupta S, Maheshwari A, Parab P et al (2018) Neoadjuvant chemotherapy followed by radical surgery versus concomitant chemotherapy and radiotherapy in patients with stage IB2, IIA, or IIB squamous cervical cancer: a randomized controlled trial. J Clin Oncol 36:1548–1555

    Article  CAS  PubMed  Google Scholar 

  15. Chen H, Liang C, Zhang L, Huang S, Wu X (2008) Clinical efficacy of modified preoperative neoadjuvant chemotherapy in the treatment of locally advanced (stage IB2 to IIB) cervical cancer: randomized study. Gynecol Oncol 110:308–315

    Article  CAS  PubMed  Google Scholar 

  16. Selvaggi L, Loizzi V, Di Gilio AR, Nardelli C, Cantatore C, Cormio G (2006) Neoadjuvant chemotherapy in cervical cancer: a 67 patients experience. Int J Gynecol Cancer 16:631–637

  17. González-Martín A, González-Cortijo L, Carballo N et al (2008) The current role of neoadjuvant chemotherapy in the management of cervical carcinoma. Gynecol Oncol 110:S36–S40

    Article  PubMed  Google Scholar 

  18. Sala E, Rockall AG, Freeman SJ, Mitchell DG, Reinhold C (2013) The added role of MR imaging in treatment stratification of patients with gynecologic malignancies: what the radiologist needs to know. Radiology 266:717–740

    Article  Google Scholar 

  19. Levy A, Medjhoul A, Caramella C et al (2011) Interest of diffusion-weighted echo-planar MR imaging and apparent diffusion coefficient mapping in gynecological malignancies: a review. J Magn Reson Imaging 33:1020–1027

  20. Kim HS, Kim CK, Park BK, Huh SJ, Kim B (2013) Evaluation of therapeutic response to concurrent chemoradiotherapy in patients with cervical cancer using diffusion-weighted MR imaging. J Magn Reson Imaging 37:187–193

    Article  PubMed  Google Scholar 

  21. McVeigh PZ, Syed AM, Milosevic M, Fyles A, Haider MA (2008) Diffusion-weighted MRI in cervical cancer. Eur Radiol 18:1058–1064

    Article  PubMed  Google Scholar 

  22. Schreuder SM, Lensing R, Stoker J, Bipat S (2015) Monitoring treatment response in patients undergoing chemoradiotherapy for locally advanced uterine cervical cancer by additional diffusion-weighted imaging: a systematic review. J Magn Reson Imaging 42:572–594

    Article  PubMed  Google Scholar 

  23. Valentini AL, Miccò M, Gui B et al (2018) The PRICE study: the role of conventional and diffusion-weighted magnetic resonance imaging in assessment of locally advanced cervical cancer patients administered by chemoradiation followed by radical surgery. Eur Radiol 28:2425–2435

    Article  CAS  Google Scholar 

  24. Testa AC, Ferrandina G, Moro F et al (2017) Prospective multimodal imaging assessment of locally advanced cervical cancer patients administered by chemoradiation followed by radical surgery. The PRICE (PRospective Imaging of CErvical cancer and neoadjuvant treatment) study: the role of ultrasound. Ultrasound Obstet Gynecol. https://doi.org/10.1002/uog.17551

  25. Testa AC, Moro F, Pasciuto T et al (2017) Prospective multimodal imaging assessment of locally advanced cervical cancer patients administered by chemoradiation followed by radical surgery. The PRICE (PRospective Imaging of CErvical cancer and neoadjuvant treatment) study 2: the role of ultrasound after chemoradiation to assess residual tumor. Ultrasound Obstet Gynecol. https://doi.org/10.1002/uog.18953

  26. Kuang F, Yan Z, Wang J, Rao Z (2014) The value of diffusion-weighted MRI to evaluate the response to radiochemotherapy for cervical cancer. Magn Reson Imaging 32:342–349

    Article  PubMed  Google Scholar 

  27. Therasse P, Arbuck SG, Eisenhauer EA et al (2000) New guidelines to evaluate the response to treatment in solid tumors. J Natl Cancer Inst 92:205–216

    Article  CAS  Google Scholar 

  28. Querleu D, Morrow CP (2008) Classification of radical hysterectomy. Lancet Oncol 9:297–303

    Article  Google Scholar 

  29. Zannoni GF, Vellone VG, Carbone A (2008) Morphological effects of radiochemotherapy on cervical carcinoma: a morphological study of 50 cases of hysterectomy specimens after neoadjuvant treatment. Int J Gynecol Pathol 27:274–281

    Google Scholar 

  30. Vincens E, Balleyguier C, Rey A et al (2008) Accuracy of magnetic resonance imaging in predicting residual disease in patients treated for stage IB2/II cervical carcinoma with chemoradiation therapy : correlation of radiologic findings with surgicopathologic results. Cancer 113:2158–2165

    Article  PubMed  Google Scholar 

  31. Gui B, Valentini AL, Miccò M et al (2016) Cervical cancer response to neoadjuvant chemoradiotherapy: MRI assessment compared with surgery. Acta Radiol 57:1123–1131

    Article  PubMed  Google Scholar 

  32. Flueckiger F, Ebner F, Poschauko H, Tamussino K, Einspieler R, Ranner G (1992) Cervical cancer: serial MR imaging before and after primary radiation therapy—a 2-year follow-up study. Radiology 184:89–93

    Article  CAS  PubMed  Google Scholar 

  33. Mayr NA, Taoka T, Yuh WT et al (2002) Method and timing of tumor volume measurement for outcome prediction in cervical cancer using magnetic resonance imaging. Int J Radiat Oncol Biol Phys 52:14–22

  34. Ebner F, Kressel HY, Mintz MC et al (1988) Tumor recurrence versus fibrosis in the female pelvis: differentiation with MR imaging at 1.5 T. Radiology 166:333–340

    Article  CAS  PubMed  Google Scholar 

  35. Chen J, Zhang Y, Liang B, Yang Z (2010) The utility of diffusion-weighted MR imaging in cervical cancer. Eur J Radiol 74:e101–e106

    Article  PubMed  Google Scholar 

  36. Liu Y, Bai R, Sun H, Liu H, Zhao X, Li Y (2009) Diffusion-weighted imaging in predicting and monitoring the response of uterine cervical cancer to combined chemoradiation. Clin Radiol 64:1067–1074

    Article  CAS  PubMed  Google Scholar 

  37. Naganawa S, Sato C, Kumada H, Ishigaki T, Miura S, Takizawa O (2005) Apparent diffusion coefficient in cervical cancer of the uterus: comparison with the normal uterine cervix. Eur Radiol 15:71–78

    Article  PubMed  Google Scholar 

  38. Padhani AR, Liu G, Koh DM et al (2009) Diffusion-weighted magnetic resonance imaging as a cancer biomarker: consensus and recommendations. Neoplasia 11:102–125

    Article  CAS  PubMed  PubMed Central  Google Scholar 

  39. Nougaret S, Tirumani SH, Addley H, Pandey H, Sala E, Reinhold C (2013) Pearls and pitfalls in MRI of gynecologic malignancy with diffusion-weighted technique. AJR Am J Roentgenol 200:261–276

    Article  PubMed  Google Scholar 

  40. Levy A, Caramella C, Chargari C et al (2011) Accuracy of diffusion-weighted echo-planar MR imaging and ADC mapping in the evaluation of residual cervical carcinoma after radiation therapy. Gynecol Oncol 123:110–115

    Article  PubMed  Google Scholar 

  41. Wang YC, Hu DY, Hu XM et al (2016) Assessing the early response of advanced cervical cancer to neoadjuvant chemotherapy using Intravoxel incoherent motion diffusion-weighted magnetic resonance imaging: a pilot study. Chin Med J (Engl) 129:665–671

    Article  Google Scholar 

  42. Inoue C, Fujii S, Kaneda S et al (2013) Apparent diffusion coefficient (ADC) measurement in endometrial carcinoma: effect of region of interest methods on ADC values. J Magn Reson Imaging 40:157–161

Download references

Funding

The authors state that this work has not received any funding.

Author information

Affiliations

Authors

Corresponding author

Correspondence to B. Gui.

Ethics declarations

Guarantor

The scientific guarantor of this publication is Prof. Anna Lia Valentini.

Conflict of interest

The authors declare that they have no competing interests.

Statistics and biometry

One of the authors has significant statistical expertise.

Informed consent

Written informed consent was obtained from all subjects (patients) in this study.

Ethical approval

Institutional review board approval was obtained.

Study subjects or cohorts overlap

Some study subjects or cohorts have been previously reported in three other articles. Two of these studies analyze exclusively US parameters (“Prospective multimodal imaging assessment of locally advanced cervical cancer patients administered by chemoradiation followed by radical surgery. The PRICE (PRospective Imaging of CErvical cancer and neoadjuvant treatment) study: the role of ultrasound” and “Prospective multimodal imaging assessment of locally advanced cervical cancer patients administered by chemoradiation followed by radical surgery. The PRICE (PRospective Imaging of CErvical cancer and neoadjuvant treatment) study 2: the role of ultrasound after chemoradiation to assess residual tumor”). The third study analyzes the role of DW-MRI in the early prediction of tumor response (“The PRICE study: the role of conventional and diffusion-weighted magnetic resonance imaging in assessment of locally advanced cervical cancer patients administered by chemoradiation followed by radical surgery”).

Methodology

• Prospective

• Diagnostic or prognostic study

• Performed at one institution

Electronic supplementary material

ESM 1

(DOCX 20 kb)

Rights and permissions

Reprints and Permissions

About this article

Verify currency and authenticity via CrossMark

Cite this article

Gui, B., Miccò, M., Valentini, A.L. et al. Prospective multimodal imaging assessment of locally advanced cervical cancer patients administered by chemoradiation followed by radical surgery—the “PRICE“ study 2: role of conventional and DW-MRI. Eur Radiol 29, 2045–2057 (2019). https://doi.org/10.1007/s00330-018-5768-5

Download citation

  • Received:

  • Revised:

  • Accepted:

  • Published:

  • Issue Date:

  • DOI: https://doi.org/10.1007/s00330-018-5768-5

Keywords

  • Uterine cervical neoplasms
  • Magnetic resonance imaging
  • Chemoradiotherapy
  • Diffusion magnetic resonance imaging
  • Tumor volume