Skip to main content

Apparent diffusion coefficient as a potential marker for tumour differentiation, staging and long-term clinical outcomes in gallbladder cancer

Abstract

Objectives

To evaluate the correlation between tumour differentiation or stage of gallbladder cancer (GBC) and the apparent diffusion coefficient (ADC), as well as to assess whether ADC value can predict long-term disease-free survival (DFS) after surgery.

Methods

This retrospective study was approved by the institutional review board and the requirement for informed consent was waived. Between March 2008 and June 2016, 79 patients who underwent magnetic resonance (MR) imaging with diffusion-weighted image and subsequent surgery for GBC were included in this study. Correlations between quantitative ADC values and tumour differentiation or stage based on the American Joint Committee on Cancer (AJCC) were assessed using Spearman’s correlation analysis. Prognostic factors for DFS were identified with multivariate Cox regression analysis using imaging and clinical characteristics.

Results

All patients were classified as having well- (n = 18), moderately (n = 35) or poorly differentiated GBCs (n = 26). The ADC value of GBCs was significantly correlated with tumour differentiation and AJCC stage (p < 0.001 and p < 0.001, respectively). Sixty-nine patients were followed up for 2.0–92.4 months (median, 23.5 months). On multivariate analysis, the significant prognostic factor for DFS was not tumour differentiation or AJCC stage but a binary tumour ADC value (hazard ratio, 4.29; p = 0.009). DFS rates were significantly different according to the classification of tumour ADC value (cut-off value = 1.04 × 10−3 mm2/s; p = 0.004).

Conclusion

The ADC value of GBCs was significantly correlated with tumour differentiation as well as AJCC stage. In addition, it predicted long-term outcomes after surgery in patients with GBC.

Key points

• ADC values of GBC and tumour differentiation were negatively correlated.

• Lower ADC values of GBC were significantly correlated with higher tumour stage.

• Tumour ADC value could be useful for risk stratification of GBC patients.

This is a preview of subscription content, access via your institution.

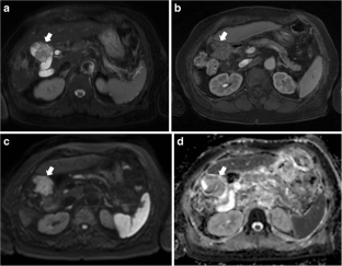
Fig. 1
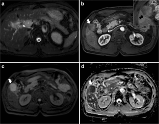
Fig. 2
Fig. 3
Fig. 4
Fig. 5
Fig. 6

Abbreviations

ADC:

Apparent diffusion coefficient

AJCC:

American Joint Committee on Cancer

CI:

Confidence interval

DFS:

Disease-free survival

DWI:

Diffusion-weighted imaging

GBC:

Gallbladder cancer

HR:

Hazard ratio

MR:

Magnetic resonance

NCCN:

National Comprehensive Cancer Network

PACS:

Picture archiving and communication system

ROI:

Region-of-interest

TNM:

Tumour, node and metastasis

References

  1. Kanthan R, Senger JL, Ahmed S, Kanthan SC (2015) Gallbladder cancer in the 21st century. J Oncol 2015:967472

    Article  Google Scholar 

  2. Cubertafond P, Gainant A, Cucchiaro G (1994) Surgical treatment of 724 carcinomas of the gallbladder. Results of the French Surgical Association Survey. Ann Surg 219:275–280

    CAS  Article  Google Scholar 

  3. Lim H, Seo DW, Park DH et al (2013) Prognostic factors in patients with gallbladder cancer after surgical resection: analysis of 279 operated patients. J Clin Gastroenterol 47:443–448

    Article  Google Scholar 

  4. Henson DE, Albores-Saavedra J, Corle D (1992) Carcinoma of the gallbladder. Histologic types, stage of disease, grade, and survival rates. Cancer 70:1493–1497

    CAS  Article  Google Scholar 

  5. Bartlett DL (2000) Gallbladder cancer. Semin Surg Oncol 19:145–155

    CAS  Article  Google Scholar 

  6. Kayahara M, Nagakawa T, Nakagawara H, Kitagawa H, Ohta T (2008) Prognostic factors for gallbladder cancer in Japan. Ann Surg 248:807–814

    Article  Google Scholar 

  7. Alizadeh AA, Aranda V, Bardelli A et al (2015) Toward understanding and exploiting tumor heterogeneity. Nat Med 21:846–853

    CAS  Article  Google Scholar 

  8. Kim M, Kang TW, Kim YK et al (2016) Pancreatic neuroendocrine tumour: Correlation of apparent diffusion coefficient or WHO classification with recurrence-free survival. Eur J Radiol 85:680–687

    Article  Google Scholar 

  9. Jang KM, Kim SH, Lee SJ, Choi D (2014) The value of gadoxetic acid-enhanced and diffusion-weighted MRI for prediction of grading of pancreatic neuroendocrine tumors. Acta Radiol 55:140–148

    Article  Google Scholar 

  10. Kang TW, Kim SH, Jang KM et al (2015) Gastrointestinal stromal tumours: correlation of modified NIH risk stratification with diffusion-weighted MR imaging as an imaging biomarker. Eur J Radiol 84:33–40

    Article  Google Scholar 

  11. Akashi M, Nakahusa Y, Yakabe T et al (2014) Assessment of aggressiveness of rectal cancer using 3-T MRI: correlation between the apparent diffusion coefficient as a potential imaging biomarker and histologic prognostic factors. Acta Radiol 55:524–531

    Article  Google Scholar 

  12. Shankar S, Kalra N, Bhatia A et al (2016) Role of diffusion weighted imaging (DWI) for hepatocellular carcinoma (HCC) detection and its grading on 3T MRI: a prospective study. J Clin Exp Hepatol 6:303–310

    Article  Google Scholar 

  13. Irie H, Kamochi N, Nojiri J, Egashira Y, Sasaguri K, Kudo S (2011) High b-value diffusion-weighted MRI in differentiation between benign and malignant polypoid gallbladder lesions. Acta Radiol 52:236–240

    Article  Google Scholar 

  14. Lee NK, Kim S, Kim TU, Kim DU, Seo HI, Jeon TY (2014) Diffusion-weighted MRI for differentiation of benign from malignant lesions in the gallbladder. Clin Radiol 69:e78–e85

    CAS  Article  Google Scholar 

  15. Lee NK, Kim S, Moon JI et al (2016) Diffusion-weighted magnetic resonance imaging of gallbladder adenocarcinoma: analysis with emphasis on histologic grade. Clin Imaging 40:345–351

    Article  Google Scholar 

  16. Kang TW, Kim SH, Park HJ et al (2013) Differentiating xanthogranulomatous cholecystitis from wall-thickening type of gallbladder cancer: added value of diffusion-weighted MRI. Clin Radiol 68:992–1001

    CAS  Article  Google Scholar 

  17. Kim SJ, Lee JM, Kim H, Yoon JH, Han JK, Choi BI (2013) Role of diffusion-weighted magnetic resonance imaging in the diagnosis of gallbladder cancer. J Magn Reson Imaging 38:127–137

    Article  Google Scholar 

  18. Kang TW, Rhim H, Lee J et al (2016) Magnetic resonance imaging with gadoxetic acid for local tumour progression after radiofrequency ablation in patients with hepatocellular carcinoma. Eur Radiol 26:3437–3446

    Article  Google Scholar 

  19. Hwang JA, Kang TW, Kim YK et al (2017) Association between non-hypervascular hypointense nodules on gadoxetic acid-enhanced MRI and liver stiffness or hepatocellular carcinoma. Eur J Radiol 95:362–369

    Article  Google Scholar 

  20. Haradome H, Grazioli L, Tsunoo M et al (2010) Can MR fluoroscopic triggering technique and slow rate injection provide appropriate arterial phase images with reducing artifacts on gadoxetic acid-DTPA (Gd-EOB-DTPA)-enhanced hepatic MR imaging? J Magn Reson Imaging 32:334–340

    Article  Google Scholar 

  21. Chun KA, Ha HK, Yu ES et al (1997) Xanthogranulomatous cholecystitis: CT features with emphasis on differentiation from gallbladder carcinoma. Radiology 203:93–97

    CAS  Article  Google Scholar 

  22. Kim SJ, Lee JM, Lee ES, Han JK, Choi BI (2015) Preoperative staging of gallbladder carcinoma using biliary MR imaging. J Magn Reson Imaging 41:314–321

    Article  Google Scholar 

  23. Levy AD, Murakata LA, Rohrmann CA Jr (2001) Gallbladder carcinoma: radiologic-pathologic correlation. Radiographics 21:295-314; questionnaire, 549-255

  24. Shirai Y, Sakata J, Wakai T, Ohashi T, Hatakeyama K (2012) “Extended” radical cholecystectomy for gallbladder cancer: long-term outcomes, indications and limitations. World J Gastroenterol 18:4736–4743

    Article  Google Scholar 

  25. Fluss R, Faraggi D, Reiser B (2005) Estimation of the Youden index and its associated cutoff point. Biom J 47:458–472

    Article  Google Scholar 

  26. Sun Y, Tong T, Cai S, Bi R, Xin C, Gu Y (2014) Apparent diffusion coefficient (ADC) value: a potential imaging biomarker that reflects the biological features of rectal cancer. PLoS One 9:e109371

    Article  Google Scholar 

  27. Murakami Y, Uemura K, Sudo T et al (2011) Prognostic factors of patients with advanced gallbladder carcinoma following aggressive surgical resection. J Gastrointest Surg 15:1007–1016

    Article  Google Scholar 

  28. Takada T, Amano H, Yasuda H et al (2002) Is postoperative adjuvant chemotherapy useful for gallbladder carcinoma? A phase III multicenter prospective randomised controlled trial in patients with resected pancreaticobiliary carcinoma. Cancer 95:1685–1695

    Article  Google Scholar 

  29. Mantripragada KC, Hamid F, Shafqat H, Olszewski AJ (2016) Adjuvant therapy for resected gallbladder cancer: analysis of the National Cancer Data Base. J Natl Cancer Inst 109 https://doi.org/10.1093/jnci/djw202

Download references

Funding

The authors state that this work has not received any funding.

Author information

Affiliations

Authors

Corresponding author

Correspondence to Tae Wook Kang.

Ethics declarations

Guarantor

The scientific guarantor of this publication is Won Jae Lee.

Conflict of interest

The authors of this manuscript declare no relationships with any companies whose products or services may be related to the subject matter of the article.

Statistics and biometry

One of the authors (Soo Hyun Ahn) has significant statistical expertise.

Informed consent

Written informed consent was waived by the institutional review board.

Ethical approval

Institutional review board approval was obtained.

Methodology

• Retrospective

• Prognostic study

• Performed at one institution

Electronic supplementary material

ESM 1

(DOCX 5792 kb)

Rights and permissions

Reprints and Permissions

About this article

Verify currency and authenticity via CrossMark

Cite this article

Min, J.H., Kang, T.W., Cha, D.I. et al. Apparent diffusion coefficient as a potential marker for tumour differentiation, staging and long-term clinical outcomes in gallbladder cancer. Eur Radiol 29, 411–421 (2019). https://doi.org/10.1007/s00330-018-5602-0

Download citation

  • Received:

  • Revised:

  • Accepted:

  • Published:

  • Issue Date:

  • DOI: https://doi.org/10.1007/s00330-018-5602-0

Keywords

  • Gallbladder neoplasms
  • Diffusion
  • Magnetic resonance imaging
  • Treatment outcome