Skip to main content

Quantitative imaging features of pretreatment CT predict volumetric response to chemotherapy in patients with colorectal liver metastases

Abstract

Objectives

This study investigates whether quantitative image analysis of pretreatment CT scans can predict volumetric response to chemotherapy for patients with colorectal liver metastases (CRLM).

Methods

Patients treated with chemotherapy for CRLM (hepatic artery infusion (HAI) combined with systemic or systemic alone) were included in the study. Patients were imaged at baseline and approximately 8 weeks after treatment. Response was measured as the percentage change in tumour volume from baseline. Quantitative imaging features were derived from the index hepatic tumour on pretreatment CT, and features statistically significant on univariate analysis were included in a linear regression model to predict volumetric response. The regression model was constructed from 70% of data, while 30% were reserved for testing. Test data were input into the trained model. Model performance was evaluated with mean absolute prediction error (MAPE) and R2. Clinicopatholologic factors were assessed for correlation with response.

Results

157 patients were included, split into training (n = 110) and validation (n = 47) sets. MAPE from the multivariate linear regression model was 16.5% (R2 = 0.774) and 21.5% in the training and validation sets, respectively. Stratified by HAI utilisation, MAPE in the validation set was 19.6% for HAI and 25.1% for systemic chemotherapy alone. Clinical factors associated with differences in median tumour response were treatment strategy, systemic chemotherapy regimen, age and KRAS mutation status (p < 0.05).

Conclusion

Quantitative imaging features extracted from pretreatment CT are promising predictors of volumetric response to chemotherapy in patients with CRLM. Pretreatment predictors of response have the potential to better select patients for specific therapies.

Key Points

• Colorectal liver metastases (CRLM) are downsized with chemotherapy but predicting the patients that will respond to chemotherapy is currently not possible.

• Heterogeneity and enhancement patterns of CRLM can be measured with quantitative imaging.

• Prediction model constructed that predicts volumetric response with 20% error suggesting that quantitative imaging holds promise to better select patients for specific treatments.

This is a preview of subscription content, access via your institution.

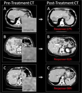
Fig. 1
Fig. 2
Fig. 3

Abbreviations

ACM:

Angle co-occurrence matrix

CEA:

Carcinoembryonic antigen

CRLM:

Colorectal liver metastases

CRS:

Clinical risk score

ETS:

Early tumour shrinkage

FD:

Fractal dimension

FUDR:

Floxuridine

GLCM:

Grey-level co-occurrence matrix

HAI:

Hepatic artery infusion

IH:

Intensity histogram

LBP:

Local binary pattern

MAPE:

Mean absolute prediction error

RECIST:

Response Evaluation Criteria in Solid Tumours

RLM:

Run-length matrix

References

  1. Society AC (2016) Cancer facts and figures 2016. American Cancer Society, Atlanta

    Google Scholar 

  2. Siegel RL, Miller KD, Jemal A (2015) Cancer statistics, 2015. CA Cancer J Clin 65:5–29

    Article  Google Scholar 

  3. Manfredi S, Lepage C, Hatem C, Coatmeur O, Faivre J, Bouvier AM (2006) Epidemiology and management of liver metastases from colorectal cancer. Ann Surg 244:254–259

    Article  Google Scholar 

  4. Amri R, Bordeianou LG, Sylla P, Berger DL (2015) Variations in metastasis site by primary location in colon cancer. J Gastrointest Surg 19:1522–1527

    Article  Google Scholar 

  5. Cunningham D, Humblet Y, Siena S et al (2004) Cetuximab monotherapy and cetuximab plus irinotecan in irinotecan-refractory metastatic colorectal cancer. N Engl J Med 351:337–345

    CAS  Article  Google Scholar 

  6. Saltz LB, Cox JV, Blanke C et al (2000) Irinotecan plus fluorouracil and leucovorin for metastatic colorectal cancer. Irinotecan Study Group. N Engl J Med 343:905–914

    CAS  Article  Google Scholar 

  7. Lehmann K, Rickenbacher A, Weber A, Pestalozzi BC, Clavien PA (2012) Chemotherapy before liver resection of colorectal metastases: friend or foe? Ann Surg 255:237–247

    Article  Google Scholar 

  8. Tomlinson JS, Jarnagin WR, DeMatteo RP et al (2007) Actual 10-year survival after resection of colorectal liver metastases defines cure. J Clin Oncol 25:4575–4580

    Article  Google Scholar 

  9. Eisenhauer EA, Therasse P, Bogaerts J et al (2009) New response evaluation criteria in solid tumours: revised RECIST guideline (version 1.1). Eur J Cancer 45:228–247

    CAS  Article  Google Scholar 

  10. Chun YS, Vauthey JN, Boonsirikamchai P et al (2009) Association of computed tomography morphologic criteria with pathologic response and survival in patients treated with bevacizumab for colorectal liver metastases. JAMA 302:2338–2344

    CAS  Article  Google Scholar 

  11. Piessevaux H, Buyse M, Schlichting M et al (2013) Use of early tumor shrinkage to predict long-term outcome in metastatic colorectal cancer treated with cetuximab. J Clin Oncol 31:3764–3775

    CAS  Article  Google Scholar 

  12. Suzuki C, Blomqvist L, Sundin A et al (2012) The initial change in tumor size predicts response and survival in patients with metastatic colorectal cancer treated with combination chemotherapy. Ann Oncol 23:948–954

    CAS  Article  Google Scholar 

  13. Kim DH, Kim SH, Im SA et al (2012) Intermodality comparison between 3D perfusion CT and 18F-FDG PET/CT imaging for predicting early tumor response in patients with liver metastasis after chemotherapy: preliminary results of a prospective study. Eur J Radiol 81:3542–3550

    Article  Google Scholar 

  14. De Bruyne S, Van Damme N, Smeets P et al (2012) Value of DCE-MRI and FDG-PET/CT in the prediction of response to preoperative chemotherapy with bevacizumab for colorectal liver metastases. Br J Cancer 106:1926–1933

    Article  Google Scholar 

  15. Coenegrachts K, Bols A, Haspeslagh M, Rigauts H (2012) Prediction and monitoring of treatment effect using T1-weighted dynamic contrast-enhanced magnetic resonance imaging in colorectal liver metastases: potential of whole tumour ROI and selective ROI analysis. Eur J Radiol 81:3870–3876

    Article  Google Scholar 

  16. Liang HY, Huang YQ, Yang ZX, Ying D, Zeng MS, Rao SX (2015) Potential of MR histogram analyses for prediction of response to chemotherapy in patients with colorectal hepatic metastases. Eur Radiol. https://doi.org/10.1007/s00330-015-4043-2

  17. McNitt-Gray MF, Bidaut LM, Armato SG et al (2009) Computed tomography assessment of response to therapy: tumor volume change measurement, truth data, and error. Transl Oncol 2:216–222

    Article  Google Scholar 

  18. Land WH, Margolis D, Gottlieb R, Krupinski EA, Yang JY (2010) Improving CT prediction of treatment response in patients with metastatic colorectal carcinoma using statistical learning theory. BMC Genomics 11:S15

    Article  Google Scholar 

  19. Zhao B, Oxnard GR, Moskowitz CS et al (2010) A pilot study of volume measurement as a method of tumor response evaluation to aid biomarker development. Clin Cancer Res 16:4647–4653

    CAS  Article  Google Scholar 

  20. Lambin P, Rios-Velazquez E, Leijenaar R et al (2012) Radiomics: extracting more information from medical images using advanced feature analysis. Eur J Cancer 48:441–446

    Article  Google Scholar 

  21. Ng F, Ganeshan B, Kozarski R, Miles KA, Goh V (2013) Assessment of primary colorectal cancer heterogeneity by using whole-tumor texture analysis: contrast-enhanced CT texture as a biomarker of 5-year survival. Radiology 266:177–184

    Article  Google Scholar 

  22. Lubner MG, Stabo N, Lubner SJ et al (2015) CT textural analysis of hepatic metastatic colorectal cancer: pre-treatment tumor heterogeneity correlates with pathology and clinical outcomes. Abdom Imaging 40:2331–2337

    Article  Google Scholar 

  23. Kemeny NE, Melendez FD, Capanu M et al (2009) Conversion to resectability using hepatic artery infusion plus systemic chemotherapy for the treatment of unresectable liver metastases from colorectal carcinoma. J Clin Oncol 27:3465–3471

    Article  Google Scholar 

  24. D'Angelica MI, Correa-Gallego C, Paty PB et al (2015) Phase II trial of hepatic artery infusional and systemic chemotherapy for patients with unresectable hepatic metastases from colorectal cancer: conversion to resection and long-term outcomes. Ann Surg 261:353–360

    Article  Google Scholar 

  25. Wolf PS, Park JO, Bao F et al (2013) Preoperative chemotherapy and the risk of hepatotoxicity and morbidity after liver resection for metastatic colorectal cancer: a single institution experience. J Am Coll Surg 216:41–49

    Article  Google Scholar 

  26. Fong Y, Fortner J, Sun RL, Brennan MF, Blumgart LH (1999) Clinical score for predicting recurrence after hepatic resection for metastatic colorectal cancer: analysis of 1001 consecutive cases. Ann Surg 230:309–318 discussion 318-321

    CAS  Article  Google Scholar 

  27. Allen PJ, Nissan A, Picon AI et al (2005) Technical complications and durability of hepatic artery infusion pumps for unresectable colorectal liver metastases: an institutional experience of 544 consecutive cases. J Am Coll Surg 201:57–65

    Article  Google Scholar 

  28. Haralick RM, Shanmuga K, Dinstein I (1973) Textural features for image classification. IEEE Trans Syst SMC-3, p 610–621

  29. Soh LK, Tsatsoulis C (1999) Texture analysis of SAR sea ice imagery using grey level co-occurrence matrices. IEEE Trans Geosci Remote Sens 37:780–795

    Article  Google Scholar 

  30. Clausi DA (2002) An analysis of co-occurrence texture statistics as a function of grey level quantization. Can J Remote Sens 28:45–62

    Article  Google Scholar 

  31. Tang XO (1998) Texture information in run-length matrices. IEEE Trans Image Process 7:1602–1609

    CAS  Article  Google Scholar 

  32. Pietikainen M, Zhao GY, Hadid A, Ahonen T (2011) Local binary patterns for still images. Computer Vision Using Local Binary Patterns 40:13–47

  33. Mehta R, Egiazarian KO (2013) Rotated local binary pattern (RLBP)-rotation invariant texture descriptor. proceedings of international conference on pattern recognition applications and methods ICPRAM, p 497–502

  34. Buczkowski S, Kyriacos S, Nekka F, Cartilier L (1998) The modified box-counting method: Analysis of some characteristic parameters. Pattern Recogn 31:411–418

    Article  Google Scholar 

  35. Al-Kadi OS, Watson D (2008) Texture analysis of aggressive and nonaggressive lung tumor CE CT images. IEEE Trans Biomed Eng 55:1822–1830

    Article  Google Scholar 

  36. Chakraborty J, Rangayyan RM, Banik S, Mukhopadhyay S, Desautels JEL (2012) Statistical measures of orientation of texture for the detection of architectural distortion in prior mammograms of interval-cancer. J Electron Imaging 21:033010

    Article  Google Scholar 

  37. Yang XF, Tridandapani S, Beitler JJ et al (2012) Ultrasound GLCM texture analysis of radiation-induced parotid-gland injury in head-and-neck cancer radiotherapy: an in vivo study of late toxicity. Med Phys 39:5732–5739

    Article  Google Scholar 

  38. Banik S, Rangayyan RM, Desautels JE (2013) Measures of angular spread and entropy for the detection of architectural distortion in prior mammograms. Int J Comput Assist Radiol Surg 8:121–134

    Article  Google Scholar 

  39. Ojala T, Pietikainen M, Harwood D (1996) A comparative study of texture measures with classification based on feature distributions. Pattern Recogn 29:51–59

    Article  Google Scholar 

  40. Costa AF, Humpire-Mamani G, Traina AJM (2012) An efficient algorithm for fractal analysis of texturesGraphics, Patterns and Images (SIBGRAPI), 2012 25th SIBGRAPI Conference on IEEE, p 39-46

  41. Chakraborty J, Rangayyan RM, Banik S, Mukhopadhyay S, Desautels JEL (2012) Detection of architectural distortion in prior mammograms using statistical measures of orientation of texture. Medical Imaging 2012: Computer-Aided Diagnosis 8315

  42. Chakraborty J, Midya A, Mukhopadhyay S, Sadhu A (2013) Automatic characterization of masses in mammograms. Proceedings of the 2013 6th International Conference on Biomedical Engineering and Informatics (BMEI 2013), Vols 1 and 2, p 111–115

  43. Soussan M, Orlhac F, Boubaya M et al (2014) Relationship between tumor heterogeneity measured on FDG-PET/CT and pathological prognostic factors in invasive breast cancer. PLoS One 9:e94017

    Article  Google Scholar 

  44. Henderson S, Purdie C, Michie C et al (2017) Interim heterogeneity changes measured using entropy texture features on T2-weighted MRI at 3.0 T are associated with pathological response to neoadjuvant chemotherapy in primary breast cancer. Eur Radiol 27:4602–4611

    Article  Google Scholar 

  45. Goere D, Deshaies I, de Baere T et al (2010) Prolonged survival of initially unresectable hepatic colorectal cancer patients treated with hepatic arterial infusion of oxaliplatin followed by radical surgery of metastases. Ann Surg 251:686–691

    Article  Google Scholar 

  46. Zacharias AJ, Jayakrishnan TT, Rajeev R et al (2015) Comparative effectiveness of hepatic artery based therapies for unresectable colorectal liver metastases: a meta-analysis. PLoS One 10:e0139940

    Article  Google Scholar 

  47. Karanicolas PJ, Metrakos P, Chan K et al (2014) Hepatic arterial infusion pump chemotherapy in the management of colorectal liver metastases: expert consensus statement. Curr Oncol 21:e129–e136

    CAS  Article  Google Scholar 

  48. Mise Y, Zimmitti G, Shindoh J et al (2015) RAS mutations predict radiologic and pathologic response in patients treated with chemotherapy before resection of colorectal liver metastases. Ann Surg Oncol 22:834–842

    Article  Google Scholar 

Download references

Funding

This study has received funding by NIH/NCI P30 CA008748 Cancer Center Support Grant and the Society for Memorial Sloan Kettering.

Author information

Affiliations

Authors

Corresponding author

Correspondence to Amber L. Simpson.

Ethics declarations

Guarantor

The scientific guarantor of this publication is Amber L. Simpson, PhD.

Conflict of interest

The authors of this manuscript declare no relationships with any companies whose products or services may be related to the subject matter of the article.

Statistics and biometry

Mithat Gonen, PhD kindly provided statistical advice for this manuscript.

Informed consent

Written informed consent was waived by the institutional review board.

Ethical approval

Institutional review board approval was obtained.

Methodology

• retrospective

• experimental

• performed at one institution

Electronic supplementary material

ESM 1

(DOCX 81 kb)

Rights and permissions

Reprints and Permissions

About this article

Verify currency and authenticity via CrossMark

Cite this article

Creasy, J.M., Midya, A., Chakraborty, J. et al. Quantitative imaging features of pretreatment CT predict volumetric response to chemotherapy in patients with colorectal liver metastases. Eur Radiol 29, 458–467 (2019). https://doi.org/10.1007/s00330-018-5542-8

Download citation

  • Received:

  • Revised:

  • Accepted:

  • Published:

  • Issue Date:

  • DOI: https://doi.org/10.1007/s00330-018-5542-8

Keywords

  • Colorectal neoplasms
  • Multidetector computed tomography
  • Liver
  • Prognosis
  • Models, statistical