Skip to main content

Sciatic neurosteatosis: Relationship with age, gender, obesity and height

Abstract

Aim

To evaluate inter-reader performance for cross-sectional area and fat quantification of bilateral sciatic nerves on MRI and assess correlations with anthropometrics.

Methods

In this IRB-approved, HIPPA-compliant study, three readers performed a cross-sectional analysis of 3T lumbosacral plexus MRIs over an 18-month period. Image slices were evaluated at two levels (A and B). The sciatic nerve was outlined using a free hand region of interest tool on PACS. Proton-density fat fraction (FF) and cross-sectional areas were recorded. Inter-reader agreement was assessed using intra-class correlation coefficient (ICC). Spearman correlation coefficients were used for correlations with age, BMI and height and Wilcoxon rank sum test was used to assess gender differences.

Results

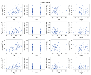
A total of 67 patients were included in this study with male to female ratio of 1:1. Inter-reader agreement was good to excellent for FF measurements at both levels (ICC=0.71–0.90) and poor for sciatic nerve areas (ICC=0.08–0.27). Positive correlations of sciatic FF and area were seen with age (p value<0.05). Males had significantly higher sciatic intraneural fat than females (p<0.05).

Conclusion

Fat quantification MRI is highly reproducible with significant positive correlations of sciatic FF and area with age, which may have implications for MRI diagnosis of sciatic neuropathy.

Key Points

MR proton density fat fraction is highly reproducible at multiple levels.

Sciatic intraneural fat is positively correlated with increasing age (p < 0.05).

Positive correlations exist between bilateral sciatic nerve areas and age (p < 0.05).

Males had significantly higher sciatic intraneural fat than females (p < 0.05).

This is a preview of subscription content, access via your institution.

Fig. 1
Fig. 2
Fig. 3
Fig. 4

References

  1. Abbott CA, Malik RA, van Ross ER, Kulkarni J, Boulton AJ (2011) Prevalence and characteristics of painful diabetic neuropathy in a large community-based diabetic population in the U.K. Diabetes Care 34:2220–2224

    Article  PubMed  PubMed Central  Google Scholar 

  2. Benbow SJ, Wallymahmed ME, MacFarlane IA (1998) Diabetic peripheral neuropathy and quality of life. QJM 91:733–737

    CAS  Article  PubMed  Google Scholar 

  3. Happich M, John J, Stamenitis S, Clouth J, Polnau D (2008) The quality of life and economic burden of neuropathy in diabetic patients in Germany in 2002--results from the Diabetic Microvascular Complications (DIMICO) study. Diabetes Res Clin Pract 81:223–230

    Article  PubMed  Google Scholar 

  4. Padua L, Schenone A, Aprile I et al (2005) Quality of life and disability assessment in neuropathy: a multicentre study. J Peripher Nerv Syst 10:3–10

    Article  PubMed  Google Scholar 

  5. Richardson JK, Hurvitz EA (1995) Peripheral neuropathy: a true risk factor for falls. J Gerontol A Biol Sci Med Sci 50:M211–M215

    CAS  Article  PubMed  Google Scholar 

  6. Richardson JK (2002) Factors associated with falls in older patients with diffuse polyneuropathy. J Am Geriatr Soc 50:1767–1773

    Article  PubMed  Google Scholar 

  7. Callaghan B, Kerber K, Langa KM et al (2015) Longitudinal patient-oriented outcomes in neuropathy: Importance of early detection and falls. Neurology 85:71–79

    Article  PubMed  PubMed Central  Google Scholar 

  8. Gregg EW, Sorlie P, Paulose-Ram R et al (2004) Prevalence of lower-extremity disease in the U.S. adult population > 40 years of age with and without diabetes. Diabetes Care 27:1591–1597

    Article  PubMed  Google Scholar 

  9. Bendszus M, Wessig C, Solymosi L, Reiners K, Koltzenburg M (2004) MRI of peripheral nerve degeneration and regeneration: correlation with electrophysiology and histology. Exp Neurol 188:171–177

    Article  PubMed  Google Scholar 

  10. Bäumer PDT, Staub F, Kaestel T, Bartsch AJ, Heiland S, Bendszus M, Pham M (2011) Ulnar neuropathy at the elbow: MR neurography nerve T2 signal increase and caliber. Radiology 260:199–206

    Article  PubMed  Google Scholar 

  11. Schwarz D, Weiler M, Pham M, Heiland S, Bendszus M, Baumer P (2015) Diagnostic signs of motor neuropathy in MR neurography: nerve lesions and muscle denervation. Eur Radiol 25:1497–1503

    Article  PubMed  Google Scholar 

  12. Lee PP, Chalian M, Bizzell C et al (2012) Magnetic resonance neurography of common peroneal (fibular) neuropathy. J Comput Assist Tomogr 36:455–461

    Article  PubMed  Google Scholar 

  13. Staff NP, Engelstad J, Klein CJ et al (2010) Post-surgical inflammatory neuropathy. Brain 133:2866–2880

    Article  PubMed  Google Scholar 

  14. Thakkar RS, Del Grande F, Thawait GK, Andreisek G, Carrino JA, Chhabra A (2012) Spectrum of high-resolution MRI findings in diabetic neuropathy. AJR Am J Roentgenol 199:407–412

    Article  PubMed  Google Scholar 

  15. Desy NM, Lipinski LJ, Tanaka S, Amrami KK, Rock MG, Spinner RJ (2015) Recurrent intraneural ganglion cysts: Pathoanatomic patterns and treatment implications. Clin Anat 28:1058–1069

    Article  PubMed  Google Scholar 

  16. Pham M, Sommer C, Wessig C et al (2010) Magnetic resonance neurography for the diagnosis of extrapelvic sciatic endometriosis. Fertil Steril 94(351):e311–e354

    Google Scholar 

  17. Yokoo T, Clark HR, Pedrosa I et al (2016) Quantification of renal steatosis in type II diabetes mellitus using dixon-based MRI. J Magn Reson Imaging 44:1312–1319

    Article  PubMed  PubMed Central  Google Scholar 

  18. Kinner S, Reeder SB, Yokoo T (2016) Quantitative Imaging Biomarkers of NAFLD. Dig Dis Sci 61:1337–1347

    CAS  Article  PubMed  PubMed Central  Google Scholar 

  19. Marcon M, Berger N, Manoliu A et al (2016) Normative values for volume and fat content of the hip abductor muscles and their dependence on side, age and gender in a healthy population. Skelet Radiol 45:465–474

    Article  Google Scholar 

  20. Crawford RJ, Filli L, Elliott JM et al (2016) Age- and Level-Dependence of Fatty Infiltration in Lumbar Paravertebral Muscles of Healthy Volunteers. AJNR Am J Neuroradiol 37:742–748

    CAS  Article  PubMed  Google Scholar 

  21. Morrow JM, Sinclair CD, Fischmann A et al (2016) MRI biomarker assessment of neuromuscular disease progression: a prospective observational cohort study. Lancet Neurol 15:65–77

    Article  PubMed  PubMed Central  Google Scholar 

  22. Hiba B, Richard N, Hébert LJ et al (2012) Quantitative assessment of skeletal muscle degeneration in patients with myotonic dystrophy type 1 using MRI. J Magn Reson Imaging 35:678–685

    Article  PubMed  Google Scholar 

  23. Gloor M, Fasler S, Fischmann A et al (2011) Quantification of fat infiltration in oculopharyngeal muscular dystrophy: comparison of three MR imaging methods. J Magn Reson Imaging 33:203–210

    Article  PubMed  Google Scholar 

  24. Wren TA, Bluml S, Tseng-Ong L, Gilsanz V (2008) Three-point technique of fat quantification of muscle tissue as a marker of disease progression in Duchenne muscular dystrophy: preliminary study. AJR Am J Roentgenol 190:W8–12

    Article  PubMed  Google Scholar 

  25. Willis TA, Hollingsworth KG, Coombs A et al. (2013) Quantitative muscle MRI as an assessment tool for monitoring disease progression in LGMD2I: A multicenter longitudinal study. PLoS One 8

  26. Smith AG, Singleton JR (2013) Obesity and hyperlipidemia are risk factors for early diabetic neuropathy. J Diabetes Complicat 27:436–442

    Article  PubMed  PubMed Central  Google Scholar 

  27. Miscio G, Guastamacchia G, Brunani A, Priano L, Baudo S, Mauro A (2005) Obesity and peripheral neuropathy risk: a dangerous liaison. J Peripher Nerv Syst 10:354–358

    Article  PubMed  Google Scholar 

  28. Landis JR, Koch GG (1977) The measurement of observer agreement for categorical data. Biometrics 33:159–174

    CAS  Article  PubMed  Google Scholar 

  29. Chung T, Prasad K, Lloyd TE (2014) Peripheral neuropathy: clinical and electrophysiological considerations. Neuroimaging Clin N Am 24:49–65

    Article  PubMed  Google Scholar 

  30. Feinberg J (2006) EMG: myths and facts. HSS J 2:19–21

    Article  PubMed  PubMed Central  Google Scholar 

  31. Padua L, Liotta G, Di Pasquale A et al (2012) Contribution of ultrasound in the assessment of nerve diseases. Eur J Neurol 19:47–54

    CAS  Article  PubMed  Google Scholar 

  32. Chhabra A, Del Grande F, Soldatos T et al (2013) Meralgia paresthetica: 3-Tesla magnetic resonance neurography. Skelet Radiol 42:803–808

    Article  Google Scholar 

  33. Pham M, Oikonomou D, Baumer P et al (2011) Proximal neuropathic lesions in distal symmetric diabetic polyneuropathy: findings of high-resolution magnetic resonance neurography. Diabetes Care 34:721–723

    Article  PubMed  PubMed Central  Google Scholar 

  34. Kästel T, Heiland S, Bäumer P, Bartsch AJ, Bendszus M, Pham M (2011) Magic angle effect: a relevant artifact in MR neurography at 3T? AJNR Am J Neuroradiol 32:821–827

    Article  PubMed  Google Scholar 

  35. Chhabra A, Chalian M, Soldatos T et al (2012) 3-T high-resolution MR neurography of sciatic neuropathy. AJR Am J Roentgenol 198:W357–W364

    Article  PubMed  Google Scholar 

  36. Mena J, Sherman AL (2011) Imaging in radiculopathy. Phys Med Rehabil Clin N Am 22:41–57

    Article  PubMed  Google Scholar 

Download references

Author information

Affiliations

Authors

Corresponding author

Correspondence to Avneesh Chhabra.

Ethics declarations

Guarantor

The scientific guarantor of this publication is Avneesh Chhabra.

Conflict of interest

The authors of this manuscript declare relationships with the following companies:

AC: Consultant ICON Medical, Royalties: Jaypee, Wolters.

SR, RK, LZ, RD, YX, CR: No disclosures

Funding

SR received Medical Student Training in Aging Research (MSTAR) funding from the American Federation for Aging Research. RK received funding from the UT Southwestern Medical Student Summer Research Program.

Statistics and biometry

One of the authors (YX) has significant statistical expertise.

Informed consent

Written informed consent was waived by the Institutional Review Board.

Ethical approval

Institutional Review Board approval was obtained.

Methodology

• Retrospective

• Diagnostic or prognostic study.

• Performed at one institution

Electronic supplementary material

Supplementary Figure 1
figure 5

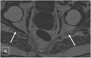
Images showing field of view for scout image (A) and axial scans obtained at different levels for mDixon quant. (B) top axial image at L4 level. (C) axial image at ischial spine. (D) bottom image at the lesser trochanter. (GIF 19 kb)

figure 6

(GIF 3 kb)

figure 7

(GIF 3 kb)

figure 8

(GIF 3 kb)

Supplementary Figure 2
figure 9

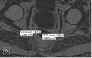
Zoomed images showing the fat fraction measurements. Zoomed image showing the sciatic nerves and their measurements at level A (figure A and B) and level B (figure C and D). (GIF 6 kb)

figure 10

(GIF 7 kb)

figure 11

(GIF 7 kb)

figure 12

(GIF 7 kb)

Supplementary Figure 3
figure 13

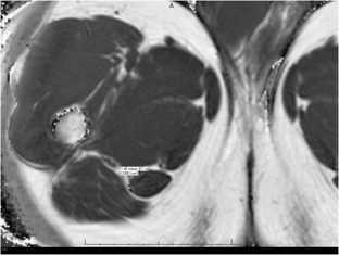
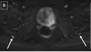
63-year-old with right buttock pain and sciatica for two years, suspected piriformis syndrome. Axial T2 SPAIR (A) image shows asymmetrically hyperintense right sciatic nerve, even better identified on diffusion image (B). On mDixon quant image (C), notice increased fat fraction of the right sciatic nerve vs left (31.5% vs 27.6%) as well as increased nerve area (0.27 vs 0.25cm2). (GIF 6 kb)

figure 14

(GIF 5 kb)

figure 15

(GIF 7 kb)

High resolution image (TIFF 277 kb)

High resolution image (TIFF 69 kb)

High resolution image (TIFF 65 kb)

High resolution image (TIFF 73 kb)

High resolution image (TIFF 108 kb)

High resolution image (TIFF 120 kb)

High resolution image (TIFF 123 kb)

High resolution image (TIFF 128 kb)

High resolution image (TIFF 110 kb)

High resolution image (TIFF 64 kb)

High resolution image (TIFF 127 kb)

Rights and permissions

Reprints and Permissions

About this article

Verify currency and authenticity via CrossMark

Cite this article

Ratner, S., Khwaja, R., Zhang, L. et al. Sciatic neurosteatosis: Relationship with age, gender, obesity and height. Eur Radiol 28, 1673–1680 (2018). https://doi.org/10.1007/s00330-017-5087-2

Download citation

  • Received:

  • Revised:

  • Accepted:

  • Published:

  • Issue Date:

  • DOI: https://doi.org/10.1007/s00330-017-5087-2

Keywords

  • Neurosteatosis
  • MRI
  • Proton density fat fraction
  • Fat quantification
  • Sciatic
  • Neuropathy