Abstract
Objective
To determine the role of quantitative tibial nerve T2 value in the diagnosis of diabetic peripheral neuropathy (DPN).
Methods
MR imaging and T2 mapping of the tibial nerve were performed in 22 diabetic patients with DPN, 20 diabetic patients without DPN and 20 healthy controls. Nerve T2 values were measured, and compared using the Mann-Whitney U test. Receiver operating characteristic (ROC) curve analysis was used to determine the diagnostic ability of T2 value to identify DPN.
Results
Nerve T2 value was 55.06 ± 4.05 ms, 48.91 ± 3.06 ms and 45.61 ± 1.86 ms in patients with DPN, patients without DPN and controls, respectively. Patients with DPN had significantly higher nerve T2 values than patients without DPN (P < 0.001). Nerve T2 values in patients without DPN were higher than in controls (P < 0.001). ROC analysis showed that T2 values had a diagnostic sensitivity of 81.8 %, specificity of 89.2 % and area under the curve of 0.922 for identifying patients with DPN from patients without DPN plus controls when the cutoff point was 51.34 ms.
Conclusion
T2 value of the tibial nerve can be used as an alternative, non-invasive quantitative parameter to assess DPN in diabetic patients.
Key points
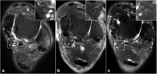
• Tibial nerves in patients with DPN showed T2 hyperintensity and enlargement.
• Tibial nerves in patients with DPN had an increased T2 value.
• T2 value might be used as a quantitative biomarker for DPN.




References
Tesfaye S, Selvarajah D (2012) Advances in the epidemiology, pathogenesis and management of diabetic peripheral neuropathy. Diabetes Metab Res Rev 28(Suppl 1):8–14
Tavakoli M, Mitu-Pretorian M, Petropoulos IN et al (2013) Corneal confocal microscopy detects early nerve regeneration in diabetic neuropathy after simultaneous pancreas and kidney transplantation. Diabetes 62:254–260
Dyck PJ, Overland CJ, Low PA et al (2010) Signs and symptoms versus nerve conduction studies to diagnose diabetic sensorimotor polyneuropathy: Cl vs. NPhys trial. Muscle Nerve 42:157–164
Dikici AS, Ustabasioglu FE, Delil S et al (2017) Evaluation of the Tibial Nerve with Shear-Wave Elastography: A Potential Sonographic Method for the Diagnosis of Diabetic Peripheral Neuropathy. Radiology 282:494–501
Shy ME, Frohman EM, So YT et al (2003) Quantitative sensory testing: report of the Therapeutics and Technology Assessment Subcommittee of the American Academy of Neurology. Neurology 60:898–904
Sumner CJ, Sheth S, Griffin JW, Cornblath DR, Polydefkis M (2003) The spectrum of neuropathy in diabetes and impaired glucose tolerance. Neurology 60:108–111
Boulton AJ, Malik RA, Arezzo JC, Sosenko JM (2004) Diabetic somatic neuropathies. Diabetes Care 27:1458–1486
Wessig C, Jestaedt L, Sereda MW, Bendszus M, Stoll G (2008) Gadofluorine M-enhanced magnetic resonance nerve imaging: comparison between acute inflammatory and chronic degenerative demyelination in rats. Exp Neurol 210:137–143
Stoll G, Bendszus M, Perez J, Pham M (2009) Magnetic resonance imaging of the peripheral nervous system. J Neurol 256:1043–1051
Liao CD, Zhang F, Guo RM et al (2012) Peripheral nerve repair: monitoring by using gadofluorine M-enhanced MR imaging with chitosan nerve conduits with cultured mesenchymal stem cells in rat model of neurotmesis. Radiology 262:161–171
Zhang X, Zhang F, Lu L, Li H, Wen X, Shen J (2014) MR imaging and T2 measurements in peripheral nerve repair with activation of Toll-like receptor 4 of neurotmesis. Eur Radiol 24:1145–1152
Chen YY, Zhang X, Lin XF et al (2017) DTI metrics can be used as biomarkers to determine the therapeutic effect of stem cells in acute peripheral nerve injury. J Magn Reson Imaging 45:855–862
Schwarz D, Weiler M, Pham M et al (2015) Diagnostic Signs of Motor Neuropathy in MR Neurography: Nerve Lesions and Muscle Denervation. Eur Radiol 25:1497–1503
Eaton RP, Qualls C, Bicknell J et al (1996) Structure-function relationships within peripheral nerves in diabetic neuropathy: the hydration hypothesis. Diabetologia 39:439–446
Thakkar RS, Del Grande F, Thawait GK, Andreisek G, Carrino JA, Chhabra A (2012) Spectrum of high-resolution MRI findings in diabetic neuropathy. AJR Am J Roentgenol 199:407–412
Wang D, Zhang X, Lu L et al (2015) Assessment of diabetic peripheral neuropathy in streptozotocin-induced diabetic rats with magnetic resonance imaging. Eur Radiol 25:463–471
England JD, Gronseth GS, Franklin G et al (2005) Distal symmetric polyneuropathy: a definition for clinical research: report of the American Academy of Neurology, the American Association of Electrodiagnostic Medicine, and the American Academy of Physical Medicine and Rehabilitation. Neurology 64:199–207
Feldman EL, Stevens MJ, Thomas PK et al (1994) A practical two-step quantitative clinical and electrophysiological assessment for the diagnosis and staging of diabetic neuropathy. Diabetes Care 17(11):1281–1289
Tesfaye S, Boulton AJ, Dyck PJ et al (2010) Diabetic neuropathies: update on definitions, diagnostic criteria, estimation of severity, and treatments. Diabetes Care 33:2285–2293
Rogers LC, Frykberg RG, Armstrong DG et al (2011) The Charcot foot in diabetes. Diabetes Care 34:2123–2129
Pham M, Oikonomou D, Baumer P et al (2011) Proximal neuropathic lesions in distal symmetric diabetic polyneuropathy: findings of high-resolution magnetic resonance neurography. Diabetes Care 34:721–723
Does MD, Snyder RE (1996) Multiexponential T2 relaxation in degenerating peripheral nerve. Magnet Reson Med 35:207–213
Behr B, Schnabel R, Mirastschijski U, Ibrahim B, Angenstein F, Schneider W (2009) Magnetic resonance imaging monitoring of peripheral nerve regeneration following neurotmesis at 4.7 Tesla. Plast Reconstr Surg 123:1778–1788
Apfel SC (1999) Nerve regeneration in diabetic neuropathy. Diabetes, Obesity Metab 1:3–11
Bae JS, Kim BJ (2007) Subclinical diabetic neuropathy with normal conventional electrophysiological study. J Neurol 254:53–59
Bloomgarden ZT (2008) Diabetic neuropathy. Diabetes Care 31:616–621
Takagi T, Nakamura M, Yamada M et al (2009) Visualization of peripheral nerve degeneration and regeneration: monitoring with diffusion tensor tractography. Neuroimage 44:884–892
Wu C, Wang G, Zhao Y et al (2017) Assessment of tibial and common peroneal nerves in diabetic peripheral neuropathy by diffusion tensor imaging: a case control study. Eur Radiol 27:3523–3531
Kijowski R, Blankenbaker DG, Munoz Del Rio A, Baer GS, Graf BK (2013) Evaluation of the articular cartilage of the knee joint: value of adding a T2 mapping sequence to a routine MR imaging protocol. Radiology 267:503–513
Wassmuth R, Prothmann M, Utz W et al (2013) Variability and homogeneity of cardiovascular magnetic resonance myocardial T2-mapping in volunteers compared to patients with edema. J Cardiovas Magnet Reson: Off J Soc Cardiovasc Magnet Reson 15:27
Funding
This study received funding from the Project Supported by Guangdong Province Universities and Colleges Pearl River Scholar Funded Scheme (2017), National Natural Science Foundation of China (Grant Nos: 81371607, 81571739), National Basic Research Program (Grant No: 2015CB755500), Natural Science Foundation of Guangdong Province of China (Grant No: 2014A030312018), Elite Young Scholars Program of Sun Yat-Sen Memorial Hospital (J201403) and the Medical Scientific Research Foundation of Guangdong Province of China (Grant No: A2015276).
Author information
Authors and Affiliations
Corresponding authors
Ethics declarations
Guarantor
The scientific guarantor of this publication is Jun Shen.
Conflict of interest
The authors of this manuscript declare no relationships with any companies whose products or services may be related to the subject matter of the article.
Statistics and biometry
No complex statistical methods were necessary for this paper.
Informed consent
Written informed consent was obtained from all subjects (healthy volunteers and patients) in this study.
Ethical approval
Institutional Review Board approval was obtained.
Methodology
• prospective
• case-control study
• performed at one institution
Rights and permissions
About this article
Cite this article
Wang, D., Wang, C., Duan, X. et al. MR T2 value of the tibial nerve can be used as a potential non-invasive and quantitative biomarker for the diagnosis of diabetic peripheral neuropathy. Eur Radiol 28, 1234–1241 (2018). https://doi.org/10.1007/s00330-017-5043-1
Received:
Revised:
Accepted:
Published:
Issue Date:
DOI: https://doi.org/10.1007/s00330-017-5043-1