Skip to main content

The performance of 3D ABUS versus HHUS in the visualisation and BI-RADS characterisation of breast lesions in a large cohort of 1,886 women

Abstract

Objectives

This study aimed to evaluate automated breast ultrasound (ABUS) compared to hand-held traditional ultrasound (HHUS) in the visualisation and BIRADS characterisation of breast lesions.

Materials and methods

From January 2016 to January 2017, 1,886 women with breast density category C or D (aged 48.6±10.8 years) were recruited. All participants underwent ABUS and HHUS examination; a subcohort of 1,665 women also underwent a mammography.

Results

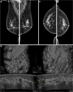
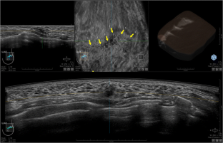
The overall agreement between HHUS and ABUS was 99.8 %; kappa=0.994, p<0.0001. Two cases were graded as BI-RADS 1 in HHUS, but were graded as BIRADS 4 in ABUS; biopsy revealed a radial scar. Three carcinomas were graded as BI-RADS 2 in mammography but BI-RADS 4 in ABUS; two additional carcinomas were graded as BI-RADS 2 in mammography but BI-RADS 5 in ABUS. Two carcinomas, appearing as a well-circumscribed mass or developing asymmetry in mammography, were graded as BI-RADS 4 in mammography but BI-RADS 5 in ABUS.

Conclusions

ABUS could be successfully used in the visualisation and characterisation of breast lesions. ABUS seemed to outperform HHUS in the detection of architectural distortion on the coronal plane and can supplement mammography in the detection of non-calcified carcinomas in women with dense breasts.

Key Points

The new generation of ABUS yields comparable results to HHUS.

ABUS seems superior to HHUS in detecting architectural distortions.

In dense breasts, supplemental ABUS to mammography detects additional cancers.

This is a preview of subscription content, access via your institution.

Fig. 1
Fig. 2
Fig. 3
Fig. 4
Fig. 5

Abbreviations

3D ABUS:

Three-dimensional automated breast ultrasound system

ADH:

Atypical ductal hyperplasia

ALH:

Atypical lobular hyperplasia

BI-RADS:

Breast Imaging Reporting and Data System

DCIS:

Ductal carcinoma in situ

FFDM:

Full-digital mammography

FOV:

Field of view

HHUS:

Hand-held ultrasound

IDC:

Invasive ductal carcinoma

ILC:

Invasive lobular carcinoma

LCIS:

Lobular carcinoma in situ

References

  1. Kolb TM, Lichy J, Newhouse JH (2002) Comparison of the performance of screening mammography, physical examination, and breast US and evaluation of factors that influence them: an analysis of 27,825 patient evaluations. Radiology 225:165–175

    Article  PubMed  Google Scholar 

  2. Bae MS, Moon WK, Chang JM et al (2014) Breast cancer detected with screening US: reasons for nondetection at mammography. Radiology 270:369–377

    Article  PubMed  Google Scholar 

  3. Hooley RJ, Greenberg KL, Stackhouse RM, Geisel JL, Butler RS, Philpotts LE (2012) Screening US in patients with mammographically dense breasts: initial experience with Connecticut Public Act 09-41. Radiology 265:59–69

    Article  PubMed  Google Scholar 

  4. Corsetti V, Houssami N, Ferrari A et al (2008) Breast screening with ultrasound in women with mammography-negative dense breasts: evidence on incremental cancer detection and false positives, and associated cost. Eur J Cancer 44:539–544

    Article  PubMed  Google Scholar 

  5. Scheel JR, Lee JM, Sprague BL, Lee CI, Lehman CD (2015) Screening ultrasound as an adjunct to mammography in women with mammographically dense breasts. Am J Obstet Gynecol 212:9–17

    Article  PubMed  Google Scholar 

  6. Berg WA, Blume JD, Cormack JB et al (2008) Combined screening with ultrasound and mammography vs mammography alone in women at elevated risk of breast cancer. JAMA 299:2151–2163

    CAS  Article  PubMed  PubMed Central  Google Scholar 

  7. Berg WA, Zhang Z, Lehrer D et al (2012) Detection of breast cancer with addition of annual screening ultrasound or a single screening MRI to mammography in women with elevated breast cancer risk. JAMA 307:1394–1404

    CAS  Article  PubMed  PubMed Central  Google Scholar 

  8. Buchberger W, Niehoff A, Obrist P, DeKoekkoek-Doll P, Dunser M (2000) Clinically and mammographically occult breast lesions: detection and classification with high-resolution sonography. Semin Ultrasound CT MR 21:325–336

    CAS  Article  PubMed  Google Scholar 

  9. Berg WA (2009) Tailored supplemental screening for breast cancer: what now and what next? AJR Am J Roentgenol 192:390–399

    Article  PubMed  Google Scholar 

  10. Brem RF, Tabar L, Duffy SW et al (2015) Assessing improvement in detection of breast cancer with three-dimensional automated breast US in women with dense breast tissue: the SomoInsight Study. Radiology 274:663–673

    Article  PubMed  Google Scholar 

  11. Wilczek B, Wilczek HE, Rasouliyan L, Leifland K (2016) Adding 3D automated breast ultrasound to mammography screening in women with heterogeneously and extremely dense breasts: Report from a hospital-based, high-volume, single-center breast cancer screening program. Eur J Radiol 85:1554–1563

    Article  PubMed  Google Scholar 

  12. Giger ML, Inciardi MF, Edwards A et al (2016) Automated Breast Ultrasound in Breast Cancer Screening of Women With Dense Breasts: Reader Study of Mammography-Negative and Mammography-Positive Cancers. AJR Am J Roentgenol 206:1341–1350

    Article  PubMed  Google Scholar 

  13. Madjar H, Mendelson EB (2008) The Practice of Breast Ultrasound. Thieme, New York

    Book  Google Scholar 

  14. American College of Radiology (2013) BI-RADS: ultrasound. Breast imaging reporting and data system atlas. 5th ed. American College of Radiology, Reston

    Google Scholar 

  15. Scaranelo AM, de Fatima Ribeiro Maia M (2006) Sonographic and mammographic findings of breast liquid silicone injection. J Clin Ultrasound 34:273–277

    Article  PubMed  Google Scholar 

  16. Tabar L, Vitak B, Chen TH et al (2011) Swedish two-county trial: impact of mammographic screening on breast cancer mortality during 3 decades. Radiology 260:658–663

    Article  PubMed  Google Scholar 

  17. Nystrom L, Andersson I, Bjurstam N, Frisell J, Nordenskjold B, Rutqvist LE (2002) Long-term effects of mammography screening: updated overview of the Swedish randomised trials. Lancet 359:909–919

    Article  PubMed  Google Scholar 

  18. Gotzsche PC, Nielsen M (2006) Screening for breast cancer with mammography. Cochrane Database Syst Rev 4:CD001877

  19. Onega T, Beaber EF, Sprague BL et al (2014) Breast cancer screening in an era of personalized regimens: a conceptual model and National Cancer Institute initiative for risk-based and preference-based approaches at a population level. Cancer 120:2955–2964

    Article  PubMed  PubMed Central  Google Scholar 

  20. Kelly KM, Dean J, Comulada WS, Lee SJ (2010) Breast cancer detection using automated whole breast ultrasound and mammography in radiographically dense breasts. Eur Radiol 20:734–742

    Article  PubMed  Google Scholar 

  21. Kelly KM, Dean J, Lee SJ, Comulada WS (2010) Breast cancer detection: radiologists’ performance using mammography with and without automated whole-breast ultrasound. Eur Radiol 20:2557–2564

    Article  PubMed  PubMed Central  Google Scholar 

  22. Golatta M, Baggs C, Schweitzer-Martin M et al (2015) Evaluation of an automated breast 3D-ultrasound system by comparing it with hand-held ultrasound (HHUS) and mammography. Arch Gynecol Obstet 291:889–895

    Article  PubMed  Google Scholar 

  23. Shin HJ, Kim HH, Cha JH, Park JH, Lee KE, Kim JH (2011) Automated ultrasound of the breast for diagnosis: interobserver agreement on lesion detection and characterization. AJR Am J Roentgenol 197:747–754

    Article  PubMed  Google Scholar 

  24. Shin HJ, Kim HH, Cha JH (2015) Current status of automated breast ultrasonography. Ultrasonography 34:165–172

    Article  PubMed  PubMed Central  Google Scholar 

  25. Giuliano V, Giuliano C (2013) Improved breast cancer detection in asymptomatic women using 3D-automated breast ultrasound in mammographically dense breasts. Clin Imaging 37:480–486

    Article  PubMed  Google Scholar 

  26. Wang HY, Jiang YX, Zhu QL et al (2012) Differentiation of benign and malignant breast lesions: a comparison between automatically generated breast volume scans and handheld ultrasound examinations. Eur J Radiol 81:3190–3200

    Article  PubMed  Google Scholar 

  27. Kim EJ, Kim SH, Kang BJ, Kim YJ (2014) Interobserver agreement on the interpretation of automated whole breast ultrasonography. Ultrasonography 33:252–258

    Article  PubMed  PubMed Central  Google Scholar 

  28. Zheng FY, Yan LX, Huang BJ et al (2015) Comparison of retraction phenomenon and BI-RADS-US descriptors in differentiating benign and malignant breast masses using an automated breast volume scanner. Eur J Radiol 84:2123–2129

    Article  PubMed  Google Scholar 

  29. Kim YW, Kim SK, Youn HJ, Choi EJ, Jung SH (2013) The clinical utility of automated breast volume scanner: a pilot study of 139 cases. J Breast Cancer 16:329–334

    Article  PubMed  PubMed Central  Google Scholar 

  30. Lin X, Wang J, Han F, Fu J, Li A (2012) Analysis of eighty-one cases with breast lesions using automated breast volume scanner and comparison with handheld ultrasound. Eur J Radiol 81:873–878

    Article  PubMed  Google Scholar 

  31. Van Zelst JC, Platel B, Karssemeijer N, Mann RM (2015) Multiplanar Reconstructions of 3D Automated Breast Ultrasound Improve Lesion Differentiation by Radiologists. Acad Radiol 22:1489–1496

    Article  PubMed  Google Scholar 

  32. Skaane P, Gullien R, Eben EB, Sandhaug M, Schulz-Wendtland R, Stoeblen F (2015) Interpretation of automated breast ultrasound (ABUS) with and without knowledge of mammography: a reader performance study. Acta Radiol 56:404–412

    Article  PubMed  Google Scholar 

Download references

Acknowledgements

The authors would like to thank the technologists Kalliopi Konstantinakou and Evangelia Stamatiou for their contribution in performing ABUS, mammography and collecting the data.

Author information

Affiliations

Authors

Corresponding author

Correspondence to Athina Vourtsis.

Ethics declarations

Guarantor

The scientific guarantor of this publication is Athina Vourtsis MD, PhD, Founding President of the Hellenic Breast Imaging Society.

Conflict of interest

The authors of this manuscript declare relationships with the following companies: The corresponding author has received honoraria from GE Healthcare for giving lectures and for moderating workshops.

Funding

The authors state that this work has not received any funding.

Statistics and biometry

No complex statistical methods were necessary for this paper.

Informed consent

Written informed consent was obtained from all subjects (patients) in this study.

Ethical approval

Institutional Review Board approval was obtained.

Methodology

• prospective

• observational

• performed at one institution

Electronic supplementary material

ESM 1

(DOCX 30 kb)

Rights and permissions

Reprints and Permissions

About this article

Verify currency and authenticity via CrossMark

Cite this article

Vourtsis, A., Kachulis, A. The performance of 3D ABUS versus HHUS in the visualisation and BI-RADS characterisation of breast lesions in a large cohort of 1,886 women. Eur Radiol 28, 592–601 (2018). https://doi.org/10.1007/s00330-017-5011-9

Download citation

  • Received:

  • Revised:

  • Accepted:

  • Published:

  • Issue Date:

  • DOI: https://doi.org/10.1007/s00330-017-5011-9

Keywords

  • Automated breast ultrasound system
  • Breast ultrasonography
  • Breast cancer
  • Breast density
  • Digital mammography