Skip to main content

Piriformis muscle syndrome: A cross-sectional imaging study in 116 patients and evaluation of therapeutic outcome

A Letter to the Editor to this article was published on 19 June 2018

Abstract

Objectives

To increase the clinical awareness of piriformis muscle syndrome (PMs) by reporting cross-sectional imaging findings, the clinical impact of imaging studies and treatment outcome.

Methods

Within a 10-year-period, 116 patients referred for radiological evaluation of clinically suspected PMs, with excluded lumbar pathology related to symptomatology, were prospectively studied with MRI and/or computed tomography (CT). Piriformis muscle (PM), sciatic nerve (SN), piriformis region and sacroiliac joints were evaluated. PMs was categorised into primary/secondary, according to a reported classification system. Treatment decisions were recorded. Outcome was categorised using a 3-point-scale.

Results

Seventy-four patients (63.8%) exhibited pathologies related to PMs. Primary causes were detected in 12 and secondary in 62 patients. PM enlargement was found in 45.9% of patients, abnormal PM signal intensity/density in 40.5% and sciatic neuritis in 25.7%. Space-occupying lesions represented the most common related pathology. Treatment proved effective in 5/8 patients with primary and 34/51 patients with secondary PMs. In 34 patients, imaging revealed an unknown underlying medical condition and altered treatment planning.

Conclusions

Secondary PMs aetiologies appear to prevail. In suspected PMs, PM enlargement represented the most common imaging finding and space-occupying lesions the leading cause. Imaging had the potential to alter treatment decisions.

Key Points

In clinically suspected PMs cross-sectional imaging may reveal variable pathology.

Secondary PMs aetiologies appeared to be more common than primary.

PM enlargement represented the most common imaging finding in clinically suspected PMs.

Space-occupying lesions in the piriformis region represented the leading cause of PMs.

In clinically suspected PMs cross-sectional imaging may alter treatment planning.

This is a preview of subscription content, access via your institution.

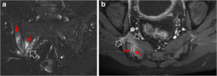
Fig. 1
Fig. 2
Fig. 3
Fig. 4
Fig. 5
Fig. 6

Abbreviations

CT:

Computed tomography

DGS:

Deep gluteal syndrome

MRI:

Magnetic resonance imaging

MRN:

Magnetic resonance neurography

PM:

Piriformis muscle

PMs:

Piriformis muscle syndrome

SN:

Sciatic nerve

References

  1. Frymoyer JW (1988) Back pain and sciatica. N Engl J Med 318:291–300

    Article  PubMed  CAS  Google Scholar 

  2. Kulcu DG, Naderi S (2008) Differential diagnosis of intraspinal and extraspinal non-discogenic sciatica. J Clin Neurosci 15:1246–1252

    Article  PubMed  Google Scholar 

  3. Hof JJ, Kliot M, Slimp J, Haynor DR (2008) What’s new in MRI of peripheral nerve entrapment? Neurosurg Clin N Am 19:583–595

    Article  PubMed  Google Scholar 

  4. Hernando MF, Cerezal L, Pérez-Carro L, Abascal F, Canga A (2015) Deep gluteal syndrome: anatomy, imaging, and management of sciatic nerve entrapments in the subgluteal space. Skeletal Radiol 44:919–934

    Article  PubMed  Google Scholar 

  5. Papadopoulos EC, Khan SN (2004) Piriformis syndrome and low back pain: a new classification and review of the literature. Orthop Clin North Am 35:65–71

    Article  PubMed  Google Scholar 

  6. Windisch G, Braun EM, Anderhuber F (2007) Piriformis muscle: clinical anatomy and consideration of the piriformis syndrome. Surg Radiol Anat 29:37–45

    Article  PubMed  Google Scholar 

  7. Boyajian-O'Neill LA, McClain RL, Coleman MK, Thomas PP (2008) Diagnosis and management of piriformis syndrome: an osteopathic approach. J Am Osteopath Assoc 108:657–664

    Article  PubMed  Google Scholar 

  8. Petchprapa CN, Rosenberg ZS, Sconfienza LM, Cavalcanti CF, Zember JS (2010) MR imaging of entrapment neuropathies of the lower extremity. Part 1. The pelvis and hip. Radiographics 30:983–1000

    Article  PubMed  Google Scholar 

  9. Filler AG, Haynes J, Jordan SE et al (2005) Sciatica of nondisc origin and piriformis syndrome: diagnosis by magnetic resonance neurography and interventional magnetic resonance imaging with outcome study of resulting treatment. J Neurosurg Spine 2:99–115

    Article  PubMed  Google Scholar 

  10. Russell JM, Kransdorf MJ, Bancroft LW, Peterson JJ, Berquist TH, Bridges MD (2008) MRI of the sacral plexus and piriformis muscles. Skelet Radiol 37:709–713

    Article  Google Scholar 

  11. Beaton LE, Anson BJ (1938) The sciatic nerve and the piriformis muscle: their interrelation a possible cause of coccygodynia. J Bone Joint Surg 20:686–688

    Google Scholar 

  12. Stewart JD (2003) The piriformis syndrome is overdiagnosed. Muscle Nerve 28:644–646

    Article  PubMed  Google Scholar 

  13. Fishman LM, Schaefer MP (2003) The piriformis syndrome is underdiagnosed. Muscle Nerve 28:646–649

    Article  PubMed  Google Scholar 

  14. Silver JK, Leadbetter WB (1998) Piriformis syndrome: assessment of current practice and literature review. Orthopedics 21:1133–1135

    PubMed  CAS  Google Scholar 

  15. Martin HD, Kivlan BR, Palmer IJ, Martin RL (2014) Diagnostic accuracy of clinical tests for sciatic nerve entrapment in the gluteal region. Knee Surg Sports Traumatol Arthrosc 22:882–888

    Article  PubMed  Google Scholar 

  16. Lewis AM, Layzer R, Engstrom JW, Barbaro NM, Chin CT (2006) Magnetic resonance neurography in extraspinal sciatica. Arch Neurol 63:1469–1472

    Article  PubMed  Google Scholar 

  17. Pecina HI, Boric I, Smoljanovic T, Duvancic D, Pecina M (2008) Surgical evaluation of magnetic resonance imaging findings in piriformis muscle syndrome. Skelet Radiol 37:1019–1023

    Article  Google Scholar 

  18. Chen WS (1994) Bipartite piriformis muscle: an unusual cause of sciatic nerve entrapment. Pain 58:269–272

    Article  PubMed  CAS  Google Scholar 

  19. Bickels J, Kahanovitz N, Rubert CK et al (1999) Extraspinal bone and soft-tissue tumors as a cause of sciatica. Clinical diagnosis and recommendations: analysis of 32 cases. Spine 24:1611–1616

    Article  PubMed  CAS  Google Scholar 

  20. Ergun T, Lakadamyali H (2010) CT and MRI in the evaluation of extraspinal sciatica. Br J Radiol 83:791–803

    Article  PubMed  PubMed Central  CAS  Google Scholar 

  21. Hettler A, Böhm J, Pretzsch M, von Salis-Soglio G (2006) Extragenital endometriosis leading to piriformis syndrome. Nervenarzt 77:474–477

    Article  PubMed  CAS  Google Scholar 

  22. Papadopoulos SM, McGillicuddy JE, Albers JW (1990) Unusual cause of ‘piriformis muscle syndrome’. Arch Neurol 47:1144–1146

    Article  PubMed  CAS  Google Scholar 

  23. Park JH, Jeong HJ, Shin HK, Park SJ, Lee JH, Kim E (2016) Piriformis ganglion: an uncommon cause of sciatica. Orthop Traumatol Surg Res 102:257–260

    Article  PubMed  CAS  Google Scholar 

  24. Kitagawa Y, Yokoyama M, Tamai K, Takai S (2012) Chronic expanding hematoma extending over multiple gluteal muscles associated with piriformis syndrome. J Nippon Med Sch 79:478–483

    Article  PubMed  Google Scholar 

  25. Geelen JA, de Graaff R, Biemans RG, Prevo RL, Koch PW (1985) Sciatic nerve compression by an aneurysm of the internal iliac artery. Clin Neurol Neurosurg 87:219–222

    Article  PubMed  CAS  Google Scholar 

  26. Murphy DR (2008) Transitional cell carcinoma of the urethra [correction of ureter] in a patient with buttock pain: a case report. Arch Phys Med Rehabil 89:150–152

    Article  PubMed  Google Scholar 

Download references

Author information

Affiliations

Authors

Corresponding author

Correspondence to Apostolos H. Karantanas.

Ethics declarations

Guarantor

The scientific guarantor of this publication is Apostolos H. Karantanas.

Conflict of interest

The authors of this manuscript declare no relationships with any companies whose products or services may be related to the subject matter of the article.

Funding

This study has received funding from the ‘Young Researchers Grant’ awarded by the European Society of Musculoskeletal Radiology (ESSR).

Statistics and biometry

One of the authors has significant statistical expertise.

Ethical approval

Institutional Review Board approval was obtained.

Informed consent

Written informed consent was obtained from all subjects (patients) in this study.

Study subjects or cohorts overlap

Some study subjects have been previously reported in ECR 2011 (Scientific Paper; Poster No.: C-0772; Title: ‘Primary and secondary piriformis syndrome: a cross sectional imaging study’).

Methodology

• prospective

• observational study

• performed at one institution

Rights and permissions

Reprints and Permissions

About this article

Verify currency and authenticity via CrossMark

Cite this article

Vassalou, E.E., Katonis, P. & Karantanas, A.H. Piriformis muscle syndrome: A cross-sectional imaging study in 116 patients and evaluation of therapeutic outcome. Eur Radiol 28, 447–458 (2018). https://doi.org/10.1007/s00330-017-4982-x

Download citation

  • Received:

  • Revised:

  • Accepted:

  • Published:

  • Issue Date:

  • DOI: https://doi.org/10.1007/s00330-017-4982-x

Keywords

  • Piriformis muscle syndrome
  • Magnetic resonance imaging/diagnosis
  • Computed tomography/diagnosis
  • Sciatica
  • Therapy