Skip to main content

Systematic unenhanced CT for acute abdominal symptoms in the elderly patients improves both emergency department diagnosis and prompt clinical management

Abstract

Objectives

To assess the added-value of systematic unenhanced abdominal computed tomography (CT) on emergency department (ED) diagnosis and management accuracy compared to current practice, in elderly patients with non-traumatic acute abdominal symptoms.

Methods

Institutional review board approval and informed consent were obtained. This prospective study included 401 consecutive patients 75 years of age or older, admitted to the ED with acute abdominal symptoms, and investigated by early systematic unenhanced abdominal CT scan. ED diagnosis and intended management before CT, after unenhanced CT, and after contrast CT if requested, were recorded. Diagnosis and management accuracies were evaluated and compared before CT (clinical strategy) and for two conditional strategies (current practice and systematic unenhanced CT). An expert clinical panel assigned a final diagnosis and management after a 3-month follow-up.

Results

Systematic unenhanced CT significantly improved the accurate diagnosis (76.8% to 85%, p=1.1x10-6) and management (88.5% to 95.8%, p=2.6x10-6) rates compared to current practice. It allowed diagnosing 30.3% of acute unsuspected pathologies, 3.4% of which were unexpected surgical procedure requirement.

Conclusions

Systematic unenhanced abdominal CT improves ED diagnosis accuracy and appropriate management in elderly patients presenting with acute abdominal symptoms compared to current practice.

Key Points

Systematic unenhanced CT improves significantly diagnosis accuracy compared to current practice.

Systematic unenhanced CT optimizes appropriate hospitalization by increasing the number of discharged patients.

Systematic unenhanced CT allows detection of about one-third of acute unsuspected abdominal conditions.

It should allow boosting emergency department management decision-making confidence in old patients.

This is a preview of subscription content, access via your institution.

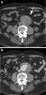
Fig. 1
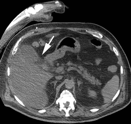
Fig. 2
Fig. 3
Fig. 4
Fig. 5

References

  1. Lewis LM, Banet GA, Blanda M, Hustey FM, Meldon SW, Gerson LW (2005) Etiology and clinical course of abdominal pain in senior patients: a prospective, multicenter study. J Gerontol A Biol Sci Med Sci 60(8):1071–1076

    Article  PubMed  Google Scholar 

  2. Roussel-Laudrin S, Paillaud E, Alonso E et al (2005) The establishment of geriatric intervention group and geriatric assessment at emergency of Henri-Mondor hospital. Rev Med Interne 26(6):458–466

    CAS  Article  PubMed  Google Scholar 

  3. McNamara RM, Rousseau E, Sanders AB (1992) Geriatric emergency medicine: a survey of practicing emergency physicians. Ann Emerg Med 21(7):796–801

    CAS  Article  PubMed  Google Scholar 

  4. Marco CA, Schoenfeld CN, Hansen KN, Hexter DA, Stearns DA, Kelen GD (1995) Fever in geriatric emergency patients: clinical features associated with serious illness. Ann Emerg Med 26(1):18–24

    CAS  Article  PubMed  Google Scholar 

  5. Laurell H, Hansson L-E, Gunnarsson U (2006) Acute abdominal pain among elderly patients. Gerontology 52(6):339–344

    CAS  Article  PubMed  Google Scholar 

  6. Van Geloven AA, Biesheuvel TH, Luitse JS, Hoitsma HF, Obertop H (2000) Hospital admissions of patients aged over 80 with acute abdominal complaints. Eur J Surg 166(11):866–871

    Article  PubMed  Google Scholar 

  7. Arenal JJ, Bengoechea-Beeby M (2003) Mortality associated with emergency abdominal surgery in the elderly. Can J Surg 46(2):111–116

    PubMed  PubMed Central  Google Scholar 

  8. Ahn SH, Mayo-Smith WW, Murphy BL, Reinert SE, Cronan JJ (2002) Acute nontraumatic abdominal pain in adult patients: abdominal radiography compared with CT evaluation. Radiology 225(1):159–164

    Article  PubMed  Google Scholar 

  9. Stoker J, van Randen A, Laméris W, Boermeester MA (2009) Imaging patients with acute abdominal pain. Radiology 253(1):31–46

    Article  PubMed  Google Scholar 

  10. Shuman WP, Ralls PW, Balfe DM et al (2000) Imaging evaluation of patients with acute abdominal pain and fever. American College of Radiology. ACR Appropriateness Criteria. Radiology 215(Suppl):209–212

    PubMed  Google Scholar 

  11. Ng CS, Watson CJ, Palmer CR et al (2002) Evaluation of early abdominopelvic computed tomography in patients with acute abdominal pain of unknown cause: prospective randomised study. BMJ 325(7377):1387

    Article  PubMed  PubMed Central  Google Scholar 

  12. Rosen MP, Sands DZ, Longmaid HE, Reynolds KF, Wagner M, Raptopoulos V (2000) Impact of abdominal CT on the management of patients presenting to the emergency department with acute abdominal pain. AJR Am J Roentgenol 174(5):1391–1396

    CAS  Article  PubMed  Google Scholar 

  13. Rosen MP, Siewert B, Sands DZ, Bromberg R, Edlow J, Raptopoulos V (2003) Value of abdominal CT in the emergency department for patients with abdominal pain. Eur Radiol 13(2):418–424

    PubMed  Google Scholar 

  14. Abujudeh HH, Kaewlai R, McMahon PM et al (2011) Abdominopelvic CT increases diagnostic certainty and guides management decisions: A prospective investigation of 584 patients in a large academic medical center. Am J Roentgenol 196(2):238–243

    Article  Google Scholar 

  15. Esses D, Birnbaum A, Bijur P, Shah S, Gleyzer A, Gallagher EJ (2004) Ability of CT to alter decision making in elderly patients with acute abdominal pain. Am J Emerg Med 22(4):270–272

    Article  PubMed  Google Scholar 

  16. Lewis LM, Klippel AP, Bavolek RA, Ross LM, Scherer TM, Banet GA (2007) Quantifying the usefulness of CT in evaluating seniors with abdominal pain. Eur J Radiol 61(2):290–296

    Article  PubMed  Google Scholar 

  17. Hustey FM, Meldon SW, Banet GA, Gerson LW, Blanda M, Lewis LM (2005) The use of abdominal computed tomography in older ED patients with acute abdominal pain. Am J Emerg Med 23(3):259–265

    Article  PubMed  Google Scholar 

  18. Mathews JD, Forsythe AV, Brady Z et al (2013) Cancer risk in 680,000 people exposed to computed tomography scans in childhood or adolescence: data linkage study of 11 million Australians. BMJ 346:f2360

    Article  PubMed  PubMed Central  Google Scholar 

  19. Salibi PN, Agarwal V, Panczykowski DM, Puccio AM, Sheetz MA, Okonkwo DO (2014) Lifetime attributable risk of cancer from CT among patients surviving severe traumatic brain injury. AJR Am J Roentgenol 202(2):397–400

    Article  PubMed  Google Scholar 

  20. McCunney RJ, Li J (2014) Radiation risks in lung cancer screening programs: a comparison with nuclear industry workers and atomic bomb survivors. Chest 145(3):618–624

    Article  Google Scholar 

  21. Doss M (2014) No increased risk of cancer from CT. AJR Am J Roentgenol 202(4):W410

    Article  PubMed  Google Scholar 

  22. Kiatpongsan S, Meng L, Eisenberg JD et al (2014) Imaging for appendicitis: should radiation-induced cancer risks affect modality selection? Radiology 273(2):472–482

    Article  PubMed  PubMed Central  Google Scholar 

  23. Moos SI, van Vemde DN, Stoker J, Bipat S (2013) Contrast induced nephropathy in patients undergoing intravenous (IV) contrast enhanced computed tomography (CECT) and the relationship with risk factors: a meta-analysis. Eur J Radiol 82(9):e387–e399

    Article  PubMed  Google Scholar 

  24. Huang M-K, Hsu T-F, Chiu Y-H et al (2013) Risk factors for acute kidney injury in the elderly undergoing contrast-enhanced computed tomography in the emergency department. J Chin Med Assoc 76(5):271–276

    Article  PubMed  Google Scholar 

  25. Hassen GW, Hwang A, Liu LL et al (2014) Follow up for emergency department patients after intravenous contrast and risk of nephropathy. West J Emerg Med 15(3):276–281

    Article  PubMed  PubMed Central  Google Scholar 

  26. Hlibczuk V, Dattaro JA, Jin Z, Falzon L, Brown MD (2010) Diagnostic Accuracy of Noncontrast Computed Tomography for Appendicitis in Adults: A Systematic Review. Ann Emerg Med 55(1):51–9.e1

    Article  PubMed  Google Scholar 

  27. Agarwal MD, Levenson RB, Siewert B, Camacho MA, Raptopoulos V (2014) Limited added utility of performing follow-up contrast-enhanced CT in patients undergoing initial non-enhanced CT for evaluation of flank pain in the emergency department. Emerg Radiol 22(2):109–115

    Article  PubMed  Google Scholar 

  28. Tack D, Bohy P, Perlot I et al (2005) Suspected acute colon diverticulitis: imaging with low-dose unenhanced multi-detector row CT. Radiology 237(1):189–196

    Article  PubMed  Google Scholar 

  29. MacKersie AB, Lane MJ, Gerhardt RT et al (2005) Nontraumatic acute abdominal pain: unenhanced helical CT compared with three-view acute abdominal series. Radiology 237(1):114–122

    Article  PubMed  Google Scholar 

  30. Basak S, Nazarian LN, Wechsler RJ et al (2002) Is unenhanced CT sufficient for evaluation of acute abdominal pain? Clin Imaging 26(6):405–407

    Article  PubMed  Google Scholar 

  31. Orimo H (2006) Reviewing the definition of elderly. Nihon Ronen Igakkai Zasshi 43(1):27–34

    Article  PubMed  Google Scholar 

  32. Millet I, Alili C, Bouic-Pages E, Curros-Doyon F, Nagot N, Taourel P (2013) Journal club: Acute abdominal pain in elderly patients: effect of radiologist awareness of clinicobiologic information on CT accuracy. AJR Am J Roentgenol 201(6):1171–1178, quiz 1179

    Article  PubMed  Google Scholar 

  33. Sala E, Watson CJE, Beadsmoore C et al (2007) A randomized, controlled trial of routine early abdominal computed tomography in patients presenting with non-specific acute abdominal pain. Clin Radiol 62(10):961–969

    CAS  Article  PubMed  Google Scholar 

  34. Laméris W, van Randen A, van Es HW et al (2009) Imaging strategies for detection of urgent conditions in patients with acute abdominal pain: diagnostic accuracy study. BMJ 338:b2431

    Article  PubMed  PubMed Central  Google Scholar 

  35. Potts FE, Vukov LF (1999) Utility of fever and leukocytosis in acute surgical abdomens in octogenarians and beyond. J Gerontol A Biol Sci Med Sci 54(2):M55–M58

    Article  PubMed  Google Scholar 

  36. Burns-Cox N, Campbell WB, van Nimmen BA, Vercaeren PM, Lucarotti M (1997) Surgical care and outcome for patients in their nineties. Br J Surg 84(4):496–498

    CAS  Article  PubMed  Google Scholar 

  37. Hwang SH, You JS, Song MK, Choi JY, Kim MJ, Chung YE (2015) Comparison of diagnostic performance between single- and multiphasic contrast-enhanced abdominopelvic computed tomography in patients admitted to the emergency department with abdominal pain: potential radiation dose reduction. Eur Radiol Apr 25(4):1048–1058

    Article  Google Scholar 

  38. Alshamari M, Norrman E, Geijer M, Jansson K, Geijer H (2015) Diagnostic accuracy of low-dose CT compared with abdominal radiography in non-traumatic acute abdominal pain: prospective study and systematic review. Eur Radiol Sep 18

Download references

Acknowledgments

The authors would like to thank the medical staff, residents and clinical research assistants at the Emergency and Imaging departments for their assistance throughout the study. The scientific guarantor of this publication is Patrice Taourel. The authors of this manuscript declare no relationships with any companies, whose products or services may be related to the subject matter of the article. This study has received funding by CHU Montpellier. One of the authors has significant statistical expertise. Institutional Review Board approval was obtained. Written informed consent was obtained from all subjects (patients) in this study. Methodology: prospective, diagnostic or prognostic study / interventional, performed at one institution.

Author information

Affiliations

Authors

Corresponding author

Correspondence to Ingrid Millet.

Electronic supplementary material

Below is the link to the electronic supplementary material.

ESM 1

(DOC 102 kb)

Rights and permissions

Reprints and Permissions

About this article

Verify currency and authenticity via CrossMark

Cite this article

Millet, I., Sebbane, M., Molinari, N. et al. Systematic unenhanced CT for acute abdominal symptoms in the elderly patients improves both emergency department diagnosis and prompt clinical management. Eur Radiol 27, 868–877 (2017). https://doi.org/10.1007/s00330-016-4425-0

Download citation

  • Received:

  • Revised:

  • Accepted:

  • Published:

  • Issue Date:

  • DOI: https://doi.org/10.1007/s00330-016-4425-0

Keywords

  • Emergency medicine
  • CT
  • Abdominal pain
  • Elderly
  • Diagnostic imaging