Skip to main content

Correlation between conductivity and prognostic factors in invasive breast cancer using magnetic resonance electric properties tomography (MREPT)

Abstract

Purpose

To investigate the correlation between conductivity and prognostic factors of invasive breast cancer using magnetic resonance electric properties tomography (MREPT).

Methods

This retrospective study was approved by the Institutional Review Board, and verbal informed consent was obtained prior to breast MRI. This study included 65 women with surgically confirmed invasive breast cancers measuring 1 cm or larger on T2-weighted fast spin echo (FSE). Phase-based MREPT and the coil combination technique were used to reconstruct conductivity. Simple and multiple linear regression analysis were used to find an independent factor associated with conductivity.

Results

In total tumours, tumours with HER-2 overexpression showed lower conductivity than those without, and HER-2 overexpression was independently associated with conductivity. In 37 tumours 2 cm or larger, tumours with high mitosis or PR positivity showed higher conductivity than those without, and high mitosis and PR positivity were independently associated with conductivity. In 28 tumours 1–2 cm in size, there were no differences in conductivity according to the prognostic factors.

Conclusion

Conductivity values measured using MREPT are associated with the HER-2 overexpression status, and may provide information about mitosis and the PR status of invasive breast cancers 2 cm or larger.

Key Points

In all tumours, HER-2 overexpression was independently associated with conductivity.

In tumours ≥ 2 cm, high mitosis and PR positivity were associated with conductivity.

Conductivity is associated with the HER-2 overexpression status of invasive breast cancers.

This is a preview of subscription content, access via your institution.

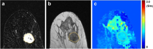
Fig. 1
Fig. 2
Fig. 3
Fig. 4

References

  1. Gabriel S, Lau R, Gabriel C (1996) The dielectric properties of biological tissues: II. Measurements in the frequency range 10 Hz to 20 GHz. Phys Med Biol 41:2251

    CAS  Article  PubMed  Google Scholar 

  2. Hancu I, Roberts JC, Bulumulla S, Lee SK (2014) On conductivity, permittivity, apparent diffusion coefficient, and their usefulness as cancer markers at MRI frequencies. Magnetic Resonance in Medicine e-published 19 Jun 2014

  3. Katscher U, Voigt T, Findeklee C, Vernickel P, Nehrke K, Dossel O (2009) Determination of electric conductivity and local SAR via B1 mapping. Med Imaging IEEE Trans 28:1365–1374

    Article  Google Scholar 

  4. Katscher U, Abe H, Ivancevic M, Djamshidi K, Karkowski P, Newstead G (2013) Towards the investigation of breast tumor malignancy via electric conductivity measurement ISMRM, pp 4180

  5. Shin JW, Kim S-Y, Kim MJ, Kim D-H (2015) Initial study on in-vivo conductivity mapping of breast cancer using MRI. J Magn Reson Imaging 42:371–378

  6. Katscher U, Kim D-H, Seo JK (2013) Recent progress and future challenges in MR electric properties tomography. Computational and mathematical methods in medicine 2013

  7. Stollberger R, Wach P (1996) Imaging of the active B1 field in vivo. Magn Reson Med 35:246–251

    CAS  Article  PubMed  Google Scholar 

  8. Fitzgibbons PL, Page DL, Weaver D et al (2000) Prognostic factors in breast cancer: College of American Pathologists consensus statement 1999. Arch Pathol Lab Med 124:966–978

    CAS  PubMed  Google Scholar 

  9. Rosen PP, Groshen S, Saigo PE, Kinne DW, Hellman S (1989) Pathological prognostic factors in stage I (T1N0M0) and stage II (T1N1M0) breast carcinoma: a study of 644 patients with median follow-up of 18 years. J Clin Oncol 7:1239–1251

    CAS  PubMed  Google Scholar 

  10. Parker JS, Mullins M, Cheang MC et al (2009) Supervised risk predictor of breast cancer based on intrinsic subtypes. J Clin Oncol 27:1160–1167

    Article  PubMed  PubMed Central  Google Scholar 

  11. Seo JK, Kim M-O, Lee J et al (2012) Error analysis of nonconstant admittivity for MR-based electric property imaging. Med Imaging IEEE Trans 31:430–437

    Article  Google Scholar 

  12. Voigt T, Katscher U, Doessel O (2011) Quantitative conductivity and permittivity imaging of the human brain using electric properties tomography. Magn Reson Med 66:456–466

    Article  PubMed  Google Scholar 

  13. Balidemaj E, Lier AL, Crezee H, Nederveen AJ, Stalpers LJ, Berg CA (2014) Feasibility of Electric Property Tomography of pelvic tumors at 3T. Magnetic Resonance in Medicine e-published 28 April 2014

  14. Elston C, Ellis I (1991) Pathological prognostic factors in breast cancer. I. The value of histological grade in breast cancer: experience from a large study with long‐term follow‐up. Histopathology 19:403–410

    CAS  Article  PubMed  Google Scholar 

  15. Cutler SJ, Freeman C, Black MM, Mork T, Harvei S (1969) Further observations on prognostic factors in cancer of the female breast. Cancer 24:653–667

    CAS  Article  PubMed  Google Scholar 

  16. Koo JS, Jung W, Shin E et al (2009) Impact of grade, hormone receptor, and HER-2 status in women with breast cancer on response to specific chemotherapeutic agents by in vitro adenosine triphosphate-based chemotherapy response assay. J Korean Med Sci 24:1150–1157

    CAS  Article  PubMed  PubMed Central  Google Scholar 

  17. Goldhirsch A, Wood W, Coates A, Gelber R, Thürlimann B, Senn H-J (2011) Strategies for subtypes—dealing with the diversity of breast cancer: highlights of the St Gallen International Expert Consensus on the Primary Therapy of Early Breast Cancer 2011. Ann Oncol 22:1736–1747

    CAS  Article  PubMed  PubMed Central  Google Scholar 

  18. Holland R, Connolly JL, Gelman R et al (1990) The presence of an extensive intraductal component following a limited excision correlates with prominent residual disease in the remainder of the breast. J Clin Oncol 8:113–118

    CAS  PubMed  Google Scholar 

  19. Allred DC, Clark GM, Molina R et al (1992) Overexpression of HER-2/neu and its relationship with other prognostic factors change during the progression of in situ to invasive breast cancer. Hum Pathol 23:974–979

    CAS  Article  PubMed  Google Scholar 

  20. Sha L, Ward ER, Stroy B (2002) A review of dielectric properties of normal and malignant breast tissue SoutheastCon, 2002. Proc IEEE 457–462

  21. Surowiec AJ, Stuchly SS, Barr JR, Swarup A (1988) Dielectric properties of breast carcinoma and the surrounding tissues. Biomed Eng IEEE Trans 35:257–263

    CAS  Article  Google Scholar 

  22. Joines WT, Zhang Y, Li C, Jirtle RL (1994) The measured electrical properties of normal and malignant human tissues from 50 to 900 MHz. Med Phys 21:547–550

    CAS  Article  PubMed  Google Scholar 

  23. Eyuboglu B, Pilkington T, Wolf PD (1994) Estimation of tissue resistivities from multiple-electrode impedance measurements. Phys Med Biol 39:1

    CAS  Article  PubMed  Google Scholar 

  24. Cherepenin V, Karpov A, Korjenevsky A et al (2001) A 3D electrical impedance tomography (EIT) system for breast cancer detection. Physiol Meas 22:9

    CAS  Article  PubMed  Google Scholar 

  25. Griffiths H (2001) Magnetic induction tomography. Meas Sci Technol 12:1126

    CAS  Article  Google Scholar 

  26. Poplack SP, Paulsen KD, Hartov A et al (2004) Electromagnetic Breast Imaging: Average Tissue Property Values in Women with Negative Clinical Findings 1. Radiology 231:571–580

    Article  PubMed  Google Scholar 

  27. Poplack SP, Tosteson TD, Wells WA et al (2007) Electromagnetic Breast Imaging: Results of a Pilot Study in Women with Abnormal Mammograms 1. Radiology 243:350–359

    Article  PubMed  Google Scholar 

  28. Elias SG, Adams A, Wisner DJ et al (2014) Imaging features of HER2 overexpression in breast cancer: a systematic review and meta-analysis. Cancer Epidemiology Biomarkers & Prevention

  29. Arpino G, Weiss H, Lee AV et al (2005) Estrogen receptor–positive, progesterone receptor–negative breast cancer: association with growth factor receptor expression and tamoxifen resistance. J Natl Cancer Inst 97:1254–1261

    CAS  Article  PubMed  Google Scholar 

  30. Yerushalmi R, Woods R, Ravdin PM, Hayes MM, Gelmon KA (2010) Ki67 in breast cancer: prognostic and predictive potential. Lancet Oncol 11:174–183

    CAS  Article  PubMed  Google Scholar 

  31. van Diest PJ, van der Wall E, Baak JP (2004) Prognostic value of proliferation in invasive breast cancer: a review. J Clin Pathol 57:675–681

    Article  PubMed  PubMed Central  Google Scholar 

  32. Weidner N, Moore DH II, Vartanian R (1994) Correlation of Ki-67 antigen expression with mitotic figure index and tumor grade in breast carcinomas using the novel “paraffin”-reactive MIB1 antibody. Hum Pathol 25:337–342

    CAS  Article  PubMed  Google Scholar 

  33. Joines WT, Jirtle RL, Rafal MD, Schaefer DJ (1980) Microwave power absorption differences between normal and malignant tissue. Int J Radiat Oncol Biol Phys 6:681–687

    CAS  Article  PubMed  Google Scholar 

  34. Daveau C, Baulies S, Lalloum M et al (2014) Histological grade concordance between diagnostic core biopsy and corresponding surgical specimen in HR-positive/HER2-negative breast carcinoma. Br J Cancer 110:2195–2200

    CAS  Article  PubMed  PubMed Central  Google Scholar 

  35. Molino A, Micciolo R, Turazza M et al (1997) Ki‐67 immunostaining in 322 primary breast cancers: Associations with clinical and pathological variables and prognosis. Int J Cancer 74:433–437

    CAS  Article  PubMed  Google Scholar 

  36. Wintzer HO, Zipfel I, Schulte‐Mönting J, Hellerich U, von Kleist S (1991) Ki‐67 immunostaining in human breast tumors and its relationship to prognosis. Cancer 67:421–428

    CAS  Article  PubMed  Google Scholar 

  37. Gasparini G, Dal Fior S, Pozza F, Bevilacqua P (1989) Correlation of growth fraction by Ki-67 immunohistochemistry with histologic factors and hormone receptors in operable breast carcinoma. Breast Cancer Res Treat 14:329–336

    CAS  Article  PubMed  Google Scholar 

  38. Leonardi E, Girlando S, Serio G et al (1992) PCNA and Ki67 expression in breast carcinoma: correlations with clinical and biological variables. J Clin Pathol 45:416–419

    CAS  Article  PubMed  PubMed Central  Google Scholar 

  39. Locker A, Birrell K, Bell J et al (1992) Ki67 immunoreactivity in breast carcinoma: relationships to prognostic variables and short term survival. Eur J Surg Oncol J Eur Soc Surg Oncol Br Assoc Surg Oncol 18:224–229

    CAS  Google Scholar 

  40. SONG YS, PARK CM, LEE SM et al (2014) Reproducibility of Histogram and Texture Parameters Derived from Intravoxel Incoherent Motion Diffusion-weighted MRI of FN13762 Rat Breast Carcinomas. Anticancer Res 34:2135–2144

    PubMed  Google Scholar 

Download references

Acknowledgements

The scientific guarantor of this publication is Eun-Kyung Kim. The authors of this manuscript declare no relationships with any companies whose products or services may be related to the subject matter of the article. This study was supported by the Basic Science Research Program of the National Research Foundation of Korea funded by the Ministry of Science, ICT & Future Planning, Republic of Korea (grant 2013R1A1A3013165). The funders had no role in study design, data collection and analysis, decision to publish or preparation of the manuscript. We thank Ha Yan Kim, statistician of the Biostatistics Collaboration Unit, Medical Research Center, Yonsei University, College of Medicine, Seoul, Korea for her help with the statistical analysis. Institutional Review Board approval was obtained. Written informed consent was waived by the Institutional Review Board. Verbal informed consents were obtained from all patients prior to breast MRI. Some study subjects or cohorts have not been previously reported. Methodology: prospective, diagnostic or prognostic study, performed at one institution.

Author information

Affiliations

Authors

Corresponding author

Correspondence to Min Jung Kim.

Appendix 1

Appendix 1

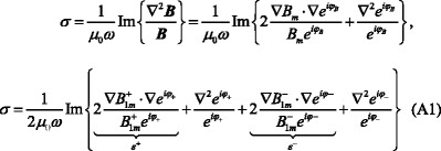
Phase-based electric properties tomography (EPT) for conductivity reconstruction

Electric conductivity can be reconstructed from RF magnetic field (B) information using the Helmholtz equation assuming a local constant for conductivity. The radiofrequency (RF) magnetic field (B) is a complex number and can be decomposed into its magnitude and phase components and into the clockwise and anti-clockwise rotational components as:

(A1)

B m is the magnitude of B and φ B is the phase of B. B 1m + represents the magnitude of the clockwise transmit RF field and B 1m - represents the magnitude of anti-clockwise receive RF field. φ represents the phase of the corresponding RF field.

When the spatial variations of B 1m + and B 1m - are negligible (i.e., ε + and ε - are close to zero), EPT based on the RF phase only is possible and can be simplified as [12] :

$$ \sigma \approx \frac{1}{2{\mu}_0\omega }{\nabla}^2\left({\varphi}_{+}+{\varphi}_{-}\right)=\frac{1}{2{\mu}_0\omega }{\nabla}^2{\varphi}_{\pm }. $$
(1)

Rights and permissions

Reprints and Permissions

About this article

Verify currency and authenticity via CrossMark

Cite this article

Kim, SY., Shin, J., Kim, DH. et al. Correlation between conductivity and prognostic factors in invasive breast cancer using magnetic resonance electric properties tomography (MREPT). Eur Radiol 26, 2317–2326 (2016). https://doi.org/10.1007/s00330-015-4067-7

Download citation

  • Received:

  • Revised:

  • Accepted:

  • Published:

  • Issue Date:

  • DOI: https://doi.org/10.1007/s00330-015-4067-7

Keywords

  • Electric conductivity
  • Magnetic resonance imaging
  • Breast cancer
  • HER-2
  • Mitosis