Skip to main content

Routinely performed multiparametric magnetic resonance imaging helps to differentiate common subtypes of renal tumours

Abstract

Objectives

To retrospectively evaluate the ability of multiparametric magnetic resonance (MR) imaging to differentiate renal tumours.

Methods

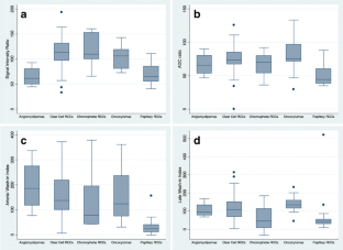
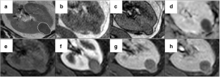
MR images from 100 consecutive pathologically proven solid renal tumours without macroscopic fat [57 clear cell, 16 papillary and 7 chromophobe renal cell carcinomas (RCCs), 16 oncocytomas and 4 minimal fat angiomyolipomas (AMLs)] between 2009 and 2012 were evaluated. Two radiologists blinded to pathology results independently reviewed double-echo chemical shift, dynamic contrast-enhanced T1- and T2-weighted images and apparent diffusion coefficient (ADC) maps. Signal intensity index (SII), tumour-to-spleen SI ratio (TSR), ADC ratio, wash-in (WiI) and wash-out indices (WoI) between different phases were calculated.

Results

There were significant differences between papillary RCCs and other renal tumours for arterial WiI (P < 0.001), initial WoI (P = 0.006) and ADC ratio (P < 0.001); between chromophobe RCCs and oncocytomas for TSR (P = 0.02), parenchymal WiI (P = 0.03), late WiI (P = 0.02), initial WoI (P = 0.03) and late WoI (P = 0.04); and between clear cell RCCs and oncocytomas for SII (P = 0.01) and parenchymal WiI (P = 0.01). Papillary RCCs were distinguished from other tumours (sensitivity 37.5 %, specificity 100 %) and oncocytomas from chromophobe RCCs (sensitivity 25 %, specificity 100 %) and clear cell RCCs (sensitivity 100 %, specificity 94.2 %).

Conclusion

MR imaging provides criteria able to accurately distinguish papillary RCCs from other tumours and oncocytomas from chromophobe and clear cell RCCs.

Key Points

Multiparametric MR parameters accurately distinguish papillary RCCs with high specificity (100 %).

Oncocytomas can be distinguished from chromophobe RCCs with high specificity (100 %).

Oncocytomas can be distinguished from clear cell RCCs with high specificity (94.2 %).

In oncocytomatosis, imaging follow-up with such parameters analysis could be promoted.

This is a preview of subscription content, access via your institution.

Fig. 1
Fig. 2
Fig. 3
Fig. 4
Fig. 5

Abbreviations

ADC:

Apparent diffusion coefficient

au:

Arbitrary units

CT:

Computed tomography

DCE:

Dynamic contrast-enhanced

Gd:

Gadolinium

GE:

Gradient echo

mpMRI:

Multiparametric magnetic resonance imaging

MR:

Magnetic resonance

RCC:

Renal cell carcinoma

ROC:

Receiver operating characteristic

ROI:

Region of interest

SII:

Signal intensity index

SIR:

Signal intensity ratio

TSR:

Tumor-to-spleen ratio

WiI:

Wash-in index

WoI:

Wash-out index

References

  1. Lechevallier E, Andre M, Barriol D et al (2000) Fine-needle percutaneous biopsy of renal masses with helical CT guidance. Radiology 216:506–510

    CAS  PubMed  Article  Google Scholar 

  2. Eshed I, Elias S, Sidi AA (2004) Diagnostic value of CT-guided biopsy of indeterminate renal masses. Clin Radiol 59:262–267

    CAS  PubMed  Article  Google Scholar 

  3. Fujii Y, Komai Y, Saito K et al (2008) Incidence of benign pathologic lesions at partial nephrectomy for presumed RCC renal masses: Japanese dual-center experience with 176 consecutive patients. Urology 72:598–602

    PubMed  Article  Google Scholar 

  4. Snyder ME, Bach A, Kattan MW, Raj GV, Reuter VE, Russo P (2006) Incidence of benign lesions for clinically localized renal masses smaller than 7 cm in radiological diameter: influence of sex. J Urol 176:2391–2395

    PubMed  Article  Google Scholar 

  5. Breda A, Treat EG, Haft-Candell L et al (2010) Comparison of accuracy of 14-, 18- and 20-G needles in ex-vivo renal mass biopsy: a prospective, blinded study. BJU Int 105:940–945

    PubMed  Article  Google Scholar 

  6. Herts BR, Baker ME (1995) The current role of percutaneous biopsy in the evaluation of renal masses. Semin Urol Oncol 13:254–261

    CAS  PubMed  Google Scholar 

  7. Heilbrun ME, Zagoria RJ, Garvin AJ et al (2007) CT-guided biopsy for the diagnosis of renal tumors before treatment with percutaneous ablation. AJR 188:1500–1505

    PubMed  Article  Google Scholar 

  8. Milner J, McNeil B, Alioto J et al (2006) Fat poor renal angiomyolipoma: patient, computerized tomography and histological findings. J Urol 176:905–909

    PubMed  Article  Google Scholar 

  9. Bosniak MA, Megibow AJ, Hulnick DH, Horii S, Raghavendra BN (1988) CT diagnosis of renal angiomyolipoma: the importance of detecting small amounts of fat. AJR 151:497–501

    CAS  PubMed  Article  Google Scholar 

  10. Kim JK, Kim SH, Jang YJ et al (2006) Renal angiomyolipoma with minimal fat: differentiation from other neoplasms at double-echo chemical shift FLASH MR imaging. Radiology 239:174–180

    PubMed  Article  Google Scholar 

  11. Hindman N, Ngo L, Genega EM et al (2012) Angiomyolipoma with minimal fat: can it be differentiated from clear cell renal cell carcinoma by using standard MR techniques? Radiology 265:468–477

    PubMed Central  PubMed  Article  Google Scholar 

  12. Yoshimitsu K, Irie H, Tajima T et al (2004) MR imaging of renal cell carcinoma: its role in determining cell type. Radiat Med 22:371–376

    PubMed  Google Scholar 

  13. Oliva MR, Glickman JN, Zou KH et al (2009) Renal cell carcinoma: t1 and t2 signal intensity characteristics of papillary and clear cell types correlated with pathology. AJR 192:1524–1530

    PubMed  Article  Google Scholar 

  14. Roy C, Sauer B, Lindner V, Lang H, Saussine C, Jacqmin D (2007) MR imaging of papillary renal neoplasms: potential application for characterization of small renal masses. Eur Radiol 17:193–200

    PubMed  Article  Google Scholar 

  15. Rosenkrantz AB, Niver BE, Fitzgerald EF, Babb JS, Chandarana H, Melamed J (2010) Utility of the apparent diffusion coefficient for distinguishing clear cell renal cell carcinoma of low and high nuclear grade. AJR 195:W344–351

    PubMed  Article  Google Scholar 

  16. Zhang JL, Sigmund EE, Chandarana H et al (2010) Variability of renal apparent diffusion coefficients: limitations of the monoexponential model for diffusion quantification. Radiology 254:783–792

    PubMed Central  PubMed  Article  Google Scholar 

  17. Cornelis F, Lasserre AS, Tourdias T et al (2013) Combined late gadolinium-enhanced and double-echo chemical-shift MRI help to differentiate renal oncocytomas with high central t2 signal intensity from renal cell carcinomas. AJR 200:830–838

    PubMed  Article  Google Scholar 

  18. Sasiwimonphan K, Takahashi N, Leibovich BC, Carter RE, Atwell TD, Kawashima A (2012) Small (<4 cm) renal mass: differentiation of angiomyolipoma without visible fat from renal cell carcinoma utilizing MR imaging. Radiology 263:160–168

    PubMed  Article  Google Scholar 

  19. Busing KA, Kilian AK, Schaible T, Debus A, Weiss C, Neff KW (2008) Reliability and validity of MR image lung volume measurement in fetuses with congenital diaphragmatic hernia and in vitro lung models. Radiology 246:553–561

    PubMed  Article  Google Scholar 

  20. Shrout PE, Fleiss JL (1979) Intraclass correlations: uses in assessing rater reliability. Psychol Bull 86:420–428

    CAS  PubMed  Article  Google Scholar 

  21. Bland JM, Altman DG (1995) Multiple significance tests: the Bonferroni method. BMJ 310:170

    CAS  PubMed Central  PubMed  Article  Google Scholar 

  22. Youden WJ (1950) Index for rating diagnostic tests. Cancer 3:32–35

    CAS  PubMed  Article  Google Scholar 

  23. Pedrosa I, Sun MR, Spencer M et al (2008) MR imaging of renal masses: correlation with findings at surgery and pathologic analysis. Radiographics 28:985–1003

    PubMed  Article  Google Scholar 

  24. Sun MRM, Ngo L, Genega EM et al (2009) Renal cell carcinoma: dynamic contrast-enhanced MR imaging for differentiation of tumor subtypes–correlation with pathologic findings. Radiology 250:793–802

    PubMed  Article  Google Scholar 

  25. Vargas HA, Chaim J, Lefkowitz RA et al (2012) Renal cortical tumors: use of multiphasic contrast-enhanced MR imaging to differentiate benign and malignant histologic subtypes. Radiology 264:779–788

    PubMed  Article  Google Scholar 

  26. Wang H, Cheng L, Zhang X et al (2010) Renal cell carcinoma: diffusion-weighted MR imaging for subtype differentiation at 3.0 T. Radiology 257:135–143

    PubMed  Article  Google Scholar 

  27. Pedrosa I, Alsop DC, Rofsky NM (2009) Magnetic resonance imaging as a biomarker in renal cell carcinoma. Cancer 115:2334–2345

    PubMed  Article  Google Scholar 

  28. Schatz SM, Lieber MM (2003) Update on oncocytoma. Curr Urol Rep 4:30–35

    PubMed  Article  Google Scholar 

  29. Rosenkrantz AB, Hindman N, Fitzgerald EF, Niver BE, Melamed J, Babb JS (2010) MRI features of renal oncocytoma and chromophobe renal cell carcinoma. AJR 195:W421–427

    PubMed  Article  Google Scholar 

  30. Dodelzon K, Mussi TC, Babb JS, Taneja SS, Rosenkrantz AB (2012) Prediction of growth rate of solid renal masses: utility of MR imaging features–preliminary experience. Radiology 262:884–893

    PubMed  Article  Google Scholar 

  31. Harmon WJ, King BF, Lieber MM (1996) Renal oncocytoma: magnetic resonance imaging characteristics. J Urol 155:863–867

    CAS  PubMed  Article  Google Scholar 

  32. Millet I, Doyon FC, Hoa D et al (2011) Characterization of small solid renal lesions: can benign and malignant tumors be differentiated with CT? AJR 197:887–896

    PubMed  Article  Google Scholar 

  33. Vargas HA, Delaney HG, Delappe EM et al (2013) Multiphasic contrast-enhanced MRI: single-slice versus volumetric quantification of tumor enhancement for the assessment of renal clear-cell carcinoma fuhrman grade. J Magn Reson Imaging 37:1160–1167

    PubMed  Article  Google Scholar 

Download references

Acknowledgements

The authors thank Pippa McKelvie-Sebileau for medical editorial services.

The scientific guarantor of this publication is Professor Nicolas Grenier. The authors of this manuscript declare no relationships with any companies whose products or services may be related to the subject matter of the article. The authors state that this work has not received any funding. One of the authors has significant statistical expertise. No complex statistical methods were necessary for this paper. Institutional review board approval was obtained. Written informed consent was waived by the institutional review board. Methodology: retrospective, diagnostic or prognostic study, performed at one institution.

Author information

Affiliations

Authors

Corresponding author

Correspondence to F. Cornelis.

Rights and permissions

Reprints and Permissions

About this article

Cite this article

Cornelis, F., Tricaud, E., Lasserre, A.S. et al. Routinely performed multiparametric magnetic resonance imaging helps to differentiate common subtypes of renal tumours. Eur Radiol 24, 1068–1080 (2014). https://doi.org/10.1007/s00330-014-3107-z

Download citation

  • Received:

  • Revised:

  • Accepted:

  • Published:

  • Issue Date:

  • DOI: https://doi.org/10.1007/s00330-014-3107-z

Keywords

  • Renal neoplasms
  • Magnetic resonance imaging
  • Renal cell carcinomas
  • Oncocytomas
  • Diffusion-weighted imaging