Skip to main content

Differential diagnosis of sclerosing cholangitis with autoimmune pancreatitis and periductal infiltrating cancer in the common bile duct at dynamic CT, endoscopic retrograde cholangiography and MR cholangiography

Abstract

Objectives

To compare findings at dynamic computed tomography (CT), endoscopic retrograde cholangiography (ERC) and magnetic resonance cholangiography (MRC) in patients with sclerosing cholangitis with autoimmune pancreatitis (SC-AIP) and periductal infiltrating cancer in the common bile duct (CBD), and to evaluate the diagnostic performance of ERC and MRC in differentiating between the two diseases.

Methods

Bile duct changes at dynamic CT, ERC and MRC were compared in 58 patients with SC-AIP and CBD involvement and 93 patients with periductal infiltrating CBD cancer. Two radiologists rated their confidence in differentiating between the two diseases and the diagnostic performances of ERC and MRC were compared.

Results

At CT, SC-AIP was more frequently associated with intrapancreatic CBD involvement, thinner CBD walls, concentric wall thickening, smooth outer margins, and lower degrees of upstream ductal dilatation and contrast enhancement (P ≤ 0.05) than CBD cancer. At ERC and MRC, SC-AIP was more frequently associated with smooth margins, gradual and symmetric narrowing, multifocal involvement and hourglass appearance (P ≤ 0.027) than CBD cancer. MRC showed good diagnostic performance comparable to ERC.

Conclusions

Dynamic CT, ERC and MRC can be helpful in distinguishing SC-AIP from periductal infiltrating CBD cancer. MRC may be a useful diagnostic alternative to ERC in differentiating between the two diseases.

Key Points

SC-AIP often mimics periductal infiltrating ductal cancer.

Imaging findings of SC-AIP and periductal infiltrating CBD cancer can be similar.

Dynamic CT, ERC and MRC help differentiate between these two diseases.

MRC may be a useful diagnostic alternative to ERC.

This is a preview of subscription content, access via your institution.

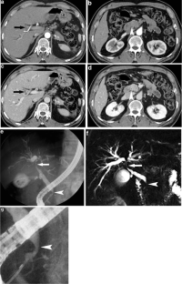
Fig. 1
Fig. 2
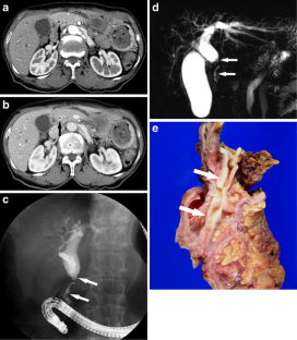
Fig. 3
Fig. 4

References

  1. Kamisawa T, Imai M, Yui Chen P et al (2008) Strategy for differentiating autoimmune pancreatitis from pancreatic cancer. Pancreas 37:e62–e67

    PubMed  Article  Google Scholar 

  2. Chari ST, Takahashi N, Levy MJ et al (2009) A diagnostic strategy to distinguish autoimmune pancreatitis from pancreatic cancer. Clin Gastroenterol Hepatol 7:1097–1103

    PubMed  Article  CAS  Google Scholar 

  3. Sugumar A, Chari ST (2009) Distinguishing pancreatic cancer from autoimmune pancreatitis: a comparison of two strategies. Clin Gastroenterol Hepatol 7:S59–S62

    PubMed  Article  Google Scholar 

  4. Bodily KD, Takahashi N, Fletcher JG et al (2009) Autoimmune pancreatitis: pancreatic and extrapancreatic imaging findings. AJR Am J Roentgenol 192:431–437

    PubMed  Article  Google Scholar 

  5. Takahashi N, Fletcher JG, Fidler JL, Hough DM, Kawashima A, Chari ST (2008) Dual-phase CT of autoimmune pancreatitis: a multireader study. AJR Am J Roentgenol 190:280–286

    PubMed  Article  Google Scholar 

  6. Sahani DV, Kalva SP, Farrell J et al (2004) Autoimmune pancreatitis: imaging features. Radiology 233:345–352

    PubMed  Article  Google Scholar 

  7. Kim JH, Kim MH, Byun JH et al (2012) Diagnostic strategy for differentiating autoimmune pancreatitis from pancreatic cancer: is an endoscopic retrograde pancreatography essential? Pancreas 41:639–647

    Article  CAS  Google Scholar 

  8. Nakazawa T, Ohara H, Sano H et al (2004) Cholangiography can discriminate sclerosing cholangitis with autoimmune pancreatitis from primary sclerosing cholangitis. Gastrointest Endosc 60:937–944

    PubMed  Article  Google Scholar 

  9. Nishino T, Toki F, Oyama H et al (2005) Biliary tract involvement in autoimmune pancreatitis. Pancreas 30:76–82

    PubMed  Google Scholar 

  10. Kamisawa T, Egawa N, Nakajima H, Tsuruta K, Okamoto A (2005) Extrapancreatic lesions in autoimmune pancreatitis. J Clin Gastroenterol 39:904–907

    PubMed  Article  Google Scholar 

  11. Fujinaga Y, Kadoya M, Kawa S et al (2010) Characteristic findings in images of extra-pancreatic lesions associated with autoimmune pancreatitis. Eur J Radiol 76:228–238

    PubMed  Article  Google Scholar 

  12. Hayashi K, Nakazawa T, Ohara H et al (2007) Autoimmune sclerosing cholangiopancreatitis with little pancreatic involvements by imaging findings. Hepatogastroenterology 54:2146–2151

    PubMed  Google Scholar 

  13. Hamano H, Kawa S, Uehara T et al (2005) Immunoglobulin G4-related lymphoplasmacytic sclerosing cholangitis that mimics infiltrating hilar cholangiocarcinoma: part of a spectrum of autoimmune pancreatitis? Gastrointest Endosc 62:152–157

    PubMed  Article  Google Scholar 

  14. Arikawa S, Uchida M, Kunou Y et al (2010) Comparison of sclerosing cholangitis with autoimmune pancreatitis and infiltrative extrahepatic cholangiocarcinoma: multidetector-row computed tomography findings. Jpn J Radiol 28:205–213

    PubMed  Article  Google Scholar 

  15. Otsuki M, Chung JB, Okazaki K et al (2008) Asian diagnostic criteria for autoimmune pancreatitis: consensus of the Japan-Korea Symposium on Autoimmune Pancreatitis. J Gastroenterol 43:403–408

    PubMed  Article  CAS  Google Scholar 

  16. Chari ST (2007) Diagnosis of autoimmune pancreatitis using its five cardinal features: introducing the Mayo Clinic’s HISORt criteria. J Gastroenterol 42:39–41

    PubMed  Article  Google Scholar 

  17. Kim JE, Lee JM, Kim SH et al (2010) Differentiation of intraductal growing-type cholangiocarcinomas from nodular-type cholangiocarcinomas at biliary MR imaging with MR cholangiography. Radiology 257:364–372

    PubMed  Article  Google Scholar 

  18. Lim JH (2003) Cholangiocarcinoma: morphologic classification according to growth pattern and imaging findings. AJR Am J Roentgenol 181:819–827

    PubMed  Google Scholar 

  19. Bae KT, Shah AJ, Shang SS et al (2008) Aortic and hepatic contrast enhancement with abdominal 64-MDCT in pediatric patients: effect of body weight and iodine dose. AJR Am J Roentgenol 191:1589–1594

    PubMed  Article  Google Scholar 

  20. Cohen JA (1960) A coefficient of agreement for nominal scales. Educ Psychol Meas 20:37–46

    Article  Google Scholar 

  21. Choi SH, Han JK, Lee JM et al (2005) Differentiating malignant from benign common bile duct stricture with multiphasic helical CT. Radiology 236:178–183

    PubMed  Article  Google Scholar 

  22. Kim NR, Lee JM, Kim SH et al (2008) Enhancement characteristics of cholangiocarcinomas on multiphasic helical CT: emphasis on morphologic subtypes. Clin Imaging 32:114–120

    PubMed  Article  CAS  Google Scholar 

  23. Kim HJ, Kim MH, Lee SK, Yoo KS, Seo DW, Min YI (2000) Tumor vessel: a valuable cholangioscopic clue of malignant biliary stricture. Gastrointest Endosc 52:635–638

    PubMed  Article  CAS  Google Scholar 

  24. Zen Y, Harada K, Sasaki M et al (2004) IgG4-related sclerosing cholangitis with and without hepatic inflammatory pseudotumor, and sclerosing pancreatitis-associated sclerosing cholangitis: do they belong to a spectrum of sclerosing pancreatitis? Am J Surg Pathol 28:1193–1203

    PubMed  Article  Google Scholar 

  25. Lim JH, Park CK (2004) Pathology of cholangiocarcinoma. Abdom Imaging 29:540–547

    PubMed  CAS  Google Scholar 

  26. Park MS, Kim TK, Kim KW et al (2004) Differentiation of extrahepatic bile duct cholangiocarcinoma from benign stricture: findings at MRCP versus ERCP. Radiology 233:234–240

    PubMed  Article  Google Scholar 

  27. Kim MJ, Mitchell DG, Ito K, Outwater EK (2000) Biliary dilatation: differentiation of benign from malignant causes--value of adding conventional MR imaging to MR cholangiopancreatography. Radiology 214:173–181

    PubMed  CAS  Google Scholar 

  28. Nakazawa T, Ohara H, Sano H et al (2005) Clinical differences between primary sclerosing cholangitis and sclerosing cholangitis with autoimmune pancreatitis. Pancreas 30:20–25

    PubMed  Google Scholar 

  29. Romagnuolo J, Bardou M, Rahme E, Joseph L, Reinhold C, Barkun AN (2003) Magnetic resonance cholangiopancreatography: a meta-analysis of test performance in suspected biliary disease. Ann Intern Med 139:547–557

    PubMed  Google Scholar 

  30. Park HS, Lee JM, Choi JY et al (2008) Preoperative evaluation of bile duct cancer: MRI combined with MR cholangiopancreatography versus MDCT with direct cholangiography. AJR Am J Roentgenol 190:396–405

    PubMed  Article  Google Scholar 

  31. Heuck A, Maubach PA, Reiser M et al (1987) Age-related morphology of the normal pancreas on computed tomography. Gastrointest Radiol 12:18–22

    PubMed  Article  CAS  Google Scholar 

  32. Frulloni L, Scattolini C, Falconi M et al (2009) Autoimmune pancreatitis: differences between the focal and diffuse forms in 87 patients. Am J Gastroenterol 104:2288–2294

    PubMed  Article  Google Scholar 

  33. Raina A, Yadav D, Krasinskas AM et al (2009) Evaluation and management of autoimmune pancreatitis: experience at a large US center. Am J Gastroenterol 104:2295–2306

    PubMed  Article  Google Scholar 

  34. Song TJ, Kim MH, Moon SH et al (2010) The combined measurement of total serum IgG and IgG4 may increase diagnostic sensitivity for autoimmune pancreatitis without sacrificing specificity, compared with IgG4 alone. Am J Gastroenterol 105:1655–1660

    PubMed  Article  CAS  Google Scholar 

Download references

Author information

Affiliations

Authors

Corresponding author

Correspondence to Jae Ho Byun.

Rights and permissions

Reprints and Permissions

About this article

Cite this article

Kim, J.H., Byun, J.H., Lee, S.J. et al. Differential diagnosis of sclerosing cholangitis with autoimmune pancreatitis and periductal infiltrating cancer in the common bile duct at dynamic CT, endoscopic retrograde cholangiography and MR cholangiography. Eur Radiol 22, 2502–2513 (2012). https://doi.org/10.1007/s00330-012-2507-1

Download citation

  • Received:

  • Revised:

  • Accepted:

  • Published:

  • Issue Date:

  • DOI: https://doi.org/10.1007/s00330-012-2507-1

Keywords

  • Sclerosing cholangitis with autoimmune pancreatitis
  • Periductal infiltrating common bile duct cancer
  • Dynamic computed tomography
  • Endoscopic retrograde cholangiography
  • Magnetic resonance cholangiography