Skip to main content

Determining gastric cancer resectability by dynamic MDCT

Abstract

Purpose

Multi-detector row CT (MDCT) has been widely used to detect primary lesions and to evaluate TNM staging. In this study we evaluated the accuracy of dynamic MDCT in the preoperative determination of the resectability of gastric cancer.

Methods

MDCT was used to image 350 cases of gastric cancer diagnosed by biopsy before surgery. MDCT findings regarding TNM staging and resectability were correlated with surgical and pathological findings.

Results

The accuracy of MDCT for staging gastric cancer was high, especially for tumour stage T1 (94.3%), lymph node stage N2 (87.3%), and for predicting distant metastases (>96.6%). When resectability was considered to be the outcome, the total accuracy of MDCT was 87.4%, sensitivity was 89.7% and specificity was 76.7%. Results showed high sensitivity for identifying peritoneal seeding (90.0%) and for predicting liver metastasis (80.0%).

Conclusion

Dynamic enhanced MDCT is useful for TNM staging of gastric cancers and for predicting tumour respectability preoperatively.

This is a preview of subscription content, access via your institution.

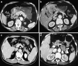
Fig. 1
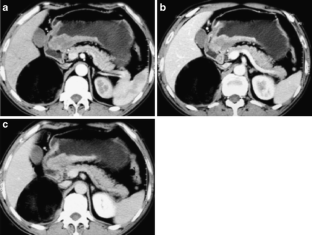
Fig. 2
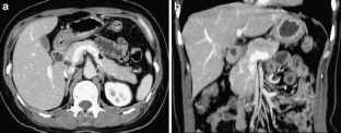
Fig. 3

Abbreviations

EUS:

endoscopic ultrasound

CT:

computed tomography

LN:

lymph node

MDCT:

multi-detector row CT

MIP:

maximal intensity projection

MPR:

multiplanar reformatting

MRI:

magnetic resonance imaging

TNM:

tumour/node/metastasis

References

  1. Rossi M, Broglia L, Maccioni F, Bezzi M, Laghi A, Graziano P et al (1997) Hydro-CT in patients with gastric cancer: preoperative radiology staging. Eur Radiol 7:659–664

    Article  CAS  PubMed  Google Scholar 

  2. Takao M, Fukuda T (1998) Gastric cancer: evaluation of triphasic spiral CT and radiologic-pathologic correlation. J Comput Assist Tomogr 22:288–294

    Article  CAS  PubMed  Google Scholar 

  3. Yamada I, Saito N, Takeshita K, Yoshino N, Tetsumura A, Kumagai J, Shibuya H (2001) Early gastric carcinoma: evaluation with high-spatial-resolution MR Imaging in vitro. Radiology 220:115–121

    CAS  PubMed  Google Scholar 

  4. Horton KM, Fishman EK (2003) Current role of CT in imaging of the stomach. Radiographics 23:75–87

    Article  PubMed  Google Scholar 

  5. Tsuda K, Hori S, Murakami T, Nakamura H, Tomoda K, Nakanishi K, Shiozaki H (1995) Intramural invasion of gastric cancer: evaluation by CT with water-filling method. J Comput Assisted Tomogr 19:941–947

    CAS  Article  Google Scholar 

  6. Kim HJ, Kim AY, Oh ST, Kim JS, Kim KW, Kim PN, Lee MG, Ha HK (2005) Gastric cancer staging at multi-detector row CT gastrography: comparison of transverse and volumetric CT scanning. Radiology 236:879–885

    Article  PubMed  Google Scholar 

  7. Chen CY, Hsu JS, Wu DC, Kang WY, Hsieh JS, Jaw TS, Wu MT, Liu GC (2007) Gastric cancer: preoperative local staging with 3D multi-detector row CT—correlation with surgical and histopathologic results. Radiology 242:472–482

    Article  PubMed  Google Scholar 

  8. Bhandari S, Shim CS, Kim JH, Jung IS, Cho JY, Lee JS, Lee MS, Kim BS (2004) Usefulness of three-dimensional, multidetector row CT (virtual gastroscopy and multiplanar reconstruction) in the evaluation of gastric cancer: a comparison with conventional endoscopy, EUS, and histopathology. Gastrointest Endosc 59:619–626

    Article  PubMed  Google Scholar 

  9. Shimizu K, Ito K, Matsunaga N, Shimizu A, Kawakami Y (2005) Diagnosis of gastric cancer with MDCT using the water-filling method and multiplanar reconstruction: CT-histologic correlation. AJR Am J Roentgenol 185:1152–1158

    Article  PubMed  Google Scholar 

  10. Shinohara T, Ohyama S, Yamaguchi T, Muto T, Kohno A, Kato Y, Urashima M (2005) Clinical value of multidetector row computed tomography in detecting lymph node metastasis of early gastric cancer. Eur J Surg Oncol 31:743–748

    Article  CAS  PubMed  Google Scholar 

  11. Habermann CR, Weiss F, Riecken R, Honarpisheh H, Bohnacker S, Staedtler C, Dieckmann C, Schoder V, Adam G (2004) Preoperative staging of gastric adenocarcinoma: comparison of helical CT and endoscopic US. Radiology 230:465–471

    Article  PubMed  Google Scholar 

  12. D’Elia F, Zingarelli A, Palli D, Grani M (2000) Hydro-dynamic CT preoperative staging of gastric cancer: correlation with pathological findings. A prospective study of 107 cases. Eur Radiol 10:1877–1885

    Article  PubMed  Google Scholar 

  13. Japanese Research Society for Gastric Carcinoma (1995) Japanese classification of gastric carcinoma, 1st English edn. Kanehara, Tokyo

  14. Fukuya T, Honda H, Kaneko K, Kuroiwa T, Yoshimitsu K, Irie H, Maehara Y, Masuda K (1997) Efficacy of helical CT in T-staging of gastric cancer. J Comput Assist Tomogr 21:73–81

    Article  CAS  PubMed  Google Scholar 

  15. Düx M, Richter GM, Hansmann J, Kuntz C, Kauffmann GW (1999) Helical hydro-CT for diagnosis and staging of gastric carcinoma. J Comput Assist Tomogr 23:913–922

    Article  PubMed  Google Scholar 

  16. Dorfman RE, Alpern MB, Gross BH, Sandler MA (1991) Upper abdominal lymph nodes: criteria for normal size determined with CT. Radiology 180:319–322

    CAS  PubMed  Google Scholar 

  17. Magnusson A, Anderson T (1989) Contrast enhancement of pathologic lymph nodes demonstrated by computed tomography. Acta Radiol 30:307–301

    Article  CAS  PubMed  Google Scholar 

  18. Fukuya T, Honda H, Hayashi T, Kaneko K, Tateshi Y, Ro T, Maehara Y, Tanaka M, Tsuneyoshi M, Masuda K (1995) Lymph-node metastases: efficacy for detection with helical CT in patients with gastric cancer. Radiology 197:705–711

    CAS  PubMed  Google Scholar 

  19. Zhu ZQ (2001) Choice of appropriate surgical method increase the quality of life for patient with early-stage gastric cancer [in Chinese]. Zhonghua Wei Chang Wai Ke Za Zhi 2:72–73

    Google Scholar 

  20. Yin HR, Zhu ZQ, Lin YZ (2000) Surgical multimodality treatment in the treatment of advanced gastric cancer [in Chinese]. J Surg Concepts Pract 5:134–135

    Google Scholar 

  21. Kwee RM, Kwee TC (2007) Imaging in local staging of gastric cancer: a systematic review. J Clin Oncol 25:2107–2116

    Article  PubMed  Google Scholar 

  22. Kumano S, Murakami T, Kim T, Hori M, Iannaccone R, Nakata S, Onishi H, Osuga K, Tomoda K, Catalano C, Nakamura H (2005) T staging of gastric cancer: role of multi-detector row CT. Radiology 237(3):961–966

    Article  PubMed  Google Scholar 

  23. Yang DM, Kim HC, Jin W, Ryu CW, Kang JH, Park CH, Kim HS, Jung DH (2007) 64 multidetector-row computed tomography for preoperative evaluation of gastric cancer: histological correlation. J Comput Assist Tomogr 31:98–103

    Article  PubMed  Google Scholar 

Download references

Acknowledgements

Special thanks to Min Yan, Haipeng Dong, Zhenfang Wu, Weipin Shi, and Heshi Liu from Ruijin Hospital and Jiaotong University for their important contributions.

Author information

Affiliations

Authors

Corresponding author

Correspondence to Huan Zhang.

Rights and permissions

Reprints and Permissions

About this article

Cite this article

Pan, Z., Zhang, H., Yan, C. et al. Determining gastric cancer resectability by dynamic MDCT. Eur Radiol 20, 613–620 (2010). https://doi.org/10.1007/s00330-009-1576-2

Download citation

  • Received:

  • Revised:

  • Accepted:

  • Published:

  • Issue Date:

  • DOI: https://doi.org/10.1007/s00330-009-1576-2

Keywords

  • Gastric cancer
  • Multi-detector row CT
  • MDCT
  • Resectability
  • TNM staging