Abstract
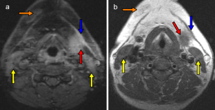
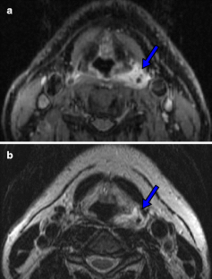
The aim of the study was to determine objective radiological signs of danger to life in survivors of manual strangulation and to establish a radiological scoring system for the differentiation between life-threatening and non-life-threatening strangulation by dividing the cross section of the neck into three zones (superficial, middle and deep zone). Forensic pathologists classified 56 survivors of strangulation into life-threatening and non-life-threatening cases by history and clinical examination alone, and two blinded radiologists evaluated the MRIs of the neck. In 15 cases, strangulation was life-threatening (27%), compared with 41 cases in which strangulation was non-life-threatening (73%). The best radiological signs on MRI to differentiate between the two groups were intramuscular haemorrhage/oedema, swelling of platysma and intracutaneous bleeding (all p = 0.02) followed by subcutaneous bleeding (p = 0.034) and haemorrhagic lymph nodes (p = 0.04), all indicating life-threatening strangulation. The radiological scoring system showed a sensitivity and specificity of ≈70% for life-threatening strangulation, when at least two neck zones were affected. MRI is not only helpful in assessing the severity of strangulation, but is also an excellent documentation tool that is even admissible in court.





Similar content being viewed by others
References
Wahlen BM, Thierbach AR (2002) Near-hanging. Europ J Emerg Med 9:348–350, etc
McHugh TP, Stout M (1983) Near-hanging injury. Ann Emerg Med 12:774–776
Iserson KV (1984) Strangulation: a review of ligature, manual, and postural neck compression injuries. Ann Emerg Med 13:179–185
Plattner T, Bolliger S, Zollinger U (2005) Forensic assessemet of survived strangulation. Forensic Sci Int 153(2–3):202–207
Yen K, Thali MJ, Aghayev E, Jackowski C, Schweitzer W, Boesch C, Vock P, Dirnhofer R, Sonnenschein M (2005) Strangulation signs: initial correlation of MRI, MSCT, and forensic neck findings. J Magn Reson Imaging 22(4):501–510
Linnau KF, Cohen WA (2002) Radiologic evaluation of attempted suicide by hanging: cricotracheal separation and common carotid artery dissection. AJR AM J Roentgenol 178–214
Poquet E, Dibiane A, Jourdain C, el Amine M, Jacob A, Escure MN (1995) Blunt injury of the larynx by hanging. X-ray computed tomographic aspect (in French). J Radiol 76:107–109
Noguchi K, Matsuoka Y, Hohda K, Katsuyama J, Nishimura S (1992) A case of common carotid artery stenosis due to hanging (in Japanese). No Shinkei Geka 20:1185–1188
Lupetin AR, Hollander M, Rao VM (1998) CT evaluation of laryngotracheal trauma. Semin Musculoskel Radio 2:105–116
Meglin AJ, Biedlingsmaier JF, Mirvis SE (1991) Three-dimensional computerized tomography in the evaluation of laryngeal injury. Laryngoscope 101:202–207
Yen K, Vock P, Christe A, Scheurer E, Plattner T, Schön C, Aghayev E, Jackowski C, Beutler V, Thali MJ, Dirnhofer R (2007) Clinical forensic radiology in strangulation victims: forensic expertise based on magnetic resonance imaging (MRI) findings. Int J Legal Med 121(2):115–123, Epub 2007
Maxeiner H, Bockholdt B (2003) Homicidal and suicidal ligature strangulation — a comparison of the post-mortem findings. Forensic Sci Int 137:60–66
Maxeiner H (1989) Morphologic findings for airway occlusion in strangulation (in German). Arch Kriminol 183:37–44
Spitz WU, Fisher RS (1993) Medicolegal investigation of death, 3rd edn. Charles C. Thomas, Springfield, IL, 829 p
Knight B (1991) Fatal pressure on the neck. Forensic pathology. Edwart Arnold, London/Melbourne/Auckland, pp 334–359
Jackowski C, Thali M, Aghayev E, Yen K, Sonnenschein M, Zwygart K, Dirnhofer R, Vock P (2005) Postmortem imaging of blood and ist characteristics using MSCT and MRI. Int J Legal Med 19:1–8
Bradley WG (1999) Hemorrhage. In: Stark DD, Bradley WG (eds) Magnetic resonance imaging. Mosby, St. Louis, pp 1329–1359
Cohen JA (1960) Coefficient of agreement for nominal scales. Educ Psychol Meas 20:37–46
Altman DG (1991) Practical statistics for medical research. Chapman and Hall, London
Thali MJ, Yen K, Schweitzer W, Vock P, Boesch C, Ozdoba C, Schroth G, Ith M, Sonnenschein M, Doernhoefer T, Scheurer E, Plattner T, Dirnhofer R (2003) Virtopsy, a new imaging horizon in forensic pathology: virtual autopsy by postmortem multislice computed tomography (MSCT) and magnetic resonance imaging (MRI)—a feasibility study. J Forensic Sci 48(2):386–403
Thali MJ, Braun M, Buck U et al (2005) VIRTOPSY—scientific documentation, reconstruction and animation in forensic: individual and real 3D data based geo-metric approach including optical body/object surface and radiological CT/MRI scanning. J Forensic Sci 50:428–442
Acknowledgements
The authors are grateful to the entire Virtopsy team and their research partners (see www.virtopsy.com), who made this study possible due to their exceptional commitment. Special thanks go to the forensic pathologists of the Institute of Forensic Medicine (University of Bern, Switzerland), for their expertise and support during the study. Futhermore, we thank the team of highly motivated radiology technicians of the MRI-division of the Department of Radiology at Inselspital, (University of Bern, Switzerland).
Author information
Authors and Affiliations
Corresponding author
Rights and permissions
About this article
Cite this article
Christe, A., Thoeny, H., Ross, S. et al. Life-threatening versus non-life-threatening manual strangulation: are there appropriate criteria for MR imaging of the neck?. Eur Radiol 19, 1882–1889 (2009). https://doi.org/10.1007/s00330-009-1353-2
Received:
Revised:
Accepted:
Published:
Issue date:
DOI: https://doi.org/10.1007/s00330-009-1353-2


