Skip to main content

MRI of radiation-induced tumors of the head and neck in post-radiation nasopharyngeal carcinoma

Abstract

The aim of this study was to document the sites and MRI features of radiation-induced tumors (RITs) in the head and neck following treatment for nasopharyngeal carcinoma (NPC). The MRI examinations and clinical records of 20 patients with 21 RITs were reviewed retrospectively. RITs developed 3–30 years after radiotherapy and included eleven squamous cell carcinomas, six sarcomas, two neuroendocrine carcinomas, one mucoepidermoid carcinoma and one meningioma. RITs arose in the maxillary region (9), oro/hypopharynx and oral cavity (5), external auditory canal (4), nasopharynx and sphenoid sinus (2) and brain (1). Radiation-induced carcinoma and sarcoma had MRI features that were useful to distinguish them from recurrent NPC. To improve early detection of RITs, the check areas on an MRI of a patient with previous NPC treated by radiation should always include the maxillary region, tongue, and external auditory canal/temporal bone.

This is a preview of subscription content, access via your institution.

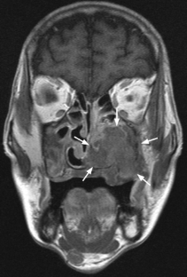
Fig. 1
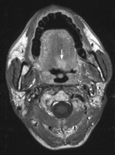
Fig. 2
Fig. 3
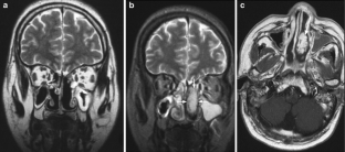
Fig. 4a–c
Fig. 5
Fig. 6a, b

References

  1. Lee AWM, Sze WM, Au JSK et al (2005) Treatment for nasopharyngeal carcinoma in the modern era: the Hong Kong experience. Int J Radiat Oncol Biol Phys 61:1107–1116

    PubMed  Google Scholar 

  2. Huang SC (1980) Nasopharyngeal cancer: a review of 1605 patients treated radically with cobalt 60. Int J Radiat Oncol Biol Phys 6(4):401–407

    PubMed  CAS  Google Scholar 

  3. Lee AW, Law SC, Ng SH et al (1992) Retrospective analysis of nasopharyngeal carcinoma treated during 1976-1985: late complications following megavoltage irradiation. Br J Radiol 65:918–928

    PubMed  CAS  Article  Google Scholar 

  4. Ko JY, Chen CL, Lui LT, Hsu MM (1996) Radiation-induced malignant fibrous histiocytoma in patients with nasopharyngeal carcinoma. Arch Otolaryngol Head Neck Surg 122:535–538

    PubMed  CAS  Google Scholar 

  5. Teo PM, Chan AT, Leung SF et al (1999) Increased incidence of tongue cancer after primary radiotherapy for nasopharyngeal carcinoma–the possibility of radiation carcinogenesis. Eur J Cancer 35(2):219–225

    PubMed  Article  CAS  Google Scholar 

  6. King AD, Ahuja AT, Teo P et al (2000) Radiation induced sarcomas of the head and neck following radiotherapy for nasopharyngeal carcinoma. Clin Radiol 55:687–689

    Google Scholar 

  7. Wang CC, Chen ML, Hsu KH et al (2000) Second malignant tumours in patients with nasopharyngeal carcinoma and their association with the Epstein-Barr virus. Int J Cancer 87:228–231

    PubMed  Article  CAS  Google Scholar 

  8. Liu WW, Wu QL, Wu GH, Chen ZH, Zeng ZY (2005) Clinicopathologic features, treatment, and prognosis of postirradiation osteosarcoma in patients with nasopharyngeal cancer. Laryngoscope 115(9):1574–1579

    Article  Google Scholar 

  9. Malone JP, Levin RJ (2002) Second malignant tumors after treatment of nasopharyngeal carcinoma: four case reports and literature review. Skull Base 12(2):87–91

    PubMed  Article  Google Scholar 

  10. Scélo G, Boffetta P, Corbex M et al (2007) Second primary cancers in patients with nasopharyngeal carcinoma: a pooled analysis of 13 cancer registries. Cancer Causes Control 18(3):269–278

    PubMed  Article  Google Scholar 

  11. Makimoto Y, Yamamoto S, Takano H et al (2007) Imaging findings of radiation-induced sarcoma of the head and neck. Br J Radiol 80(958):790–797

    PubMed  Article  CAS  Google Scholar 

  12. Cahan WG, Woodward HQ, Higinbotham NL et al (1948) Sarcoma arising in irradiated bone: a report of eleven cases. Cancer 1:3–29

    PubMed  Article  CAS  Google Scholar 

  13. Arlen M, Higinbotham NL, Huvos AG, Marcove RC, Miller T, Shah IC (1971) Radiation-induced sarcoma of bone. Cancer 28(5):1087–1099

    PubMed  Article  CAS  Google Scholar 

  14. Dickens P, Wei WI, Sham JS (1990) Osteosarcoma of the maxilla in Hong Kong Chinese postirradiation for nasopharyngeal carcinoma. A report of four cases. Cancer 66:1924–1926

    PubMed  Article  CAS  Google Scholar 

  15. Goh YH, Chong VF, Low WK (1999) Temporal bone tumours in patients irradiated for nasopharyngeal neoplasm. J Laryngol Otol 113:222–228

    PubMed  CAS  Google Scholar 

  16. Pfreundner L, Schwager K, Willner J et al (1999) Carcinoma of the external auditory canal and middle ear. Int J Radiat Oncol Biol Phys 44:777–788

    PubMed  CAS  Google Scholar 

  17. Hall EJ, Wuu CS (2003) Radiation-induced second cancers: the impact of 3D-CRT and IMRT. Int J Radiat Oncol Biol Phys 56(1):83–8

    PubMed  Google Scholar 

  18. Patel SG, See ACH, Williamson PA, Archer DJ, Rhys Evans PH (1999) Radiation induced sarcoma of the head and neck. Head Neck 21:346–354

    PubMed  Article  CAS  Google Scholar 

  19. Mark RJ, Bailet JW, Poen J et al (1993) Postirradiation sarcoma of the head and neck. Cancer 72:887–893

    PubMed  Article  CAS  Google Scholar 

  20. Van der Laan BF, Baris G, Gregor RT et al (1995) Radiation induced tumours of the head and neck. J Laryngol Otol 109:346–349

    PubMed  Google Scholar 

  21. King AD, Ahuja AT, Leung SF et al (2008) MR imaging of nonmalignant polyps and masses of the nasopharynx and sphenoid sinus after radiotherapy for nasopharyngeal carcinoma. Am J Neurorad 29(6):1209–1214, Epub 2008 May 8

    Article  CAS  Google Scholar 

  22. Belsky JL, Nelson G, Sieber S (2004) Ectopic Cushing’s syndrome resulting from small cell neuroendocrine carcinoma after thymus radiation in infancy. Endocrinologist 14(2):104–109

    Article  Google Scholar 

  23. Rice DH, Batsakis JG, McClatchey KD (1976) Postirradiation malignant salivary gland tumor. Arch Otolaryngol 102(11):699–701

    PubMed  CAS  Google Scholar 

  24. Saku T, Hayashi Y, Takahara O et al (1997) Salivary gland tumors among atomic bomb survivors, 1950–1987. Cancer 79:1465–1475

    PubMed  Article  CAS  Google Scholar 

  25. Modan B, Chetrit A, Alfandary E et al (1998) Increased risk of salivary gland tumors after low-dose irradiation. Laryngoscope 108:1095–1097

    PubMed  Article  CAS  Google Scholar 

  26. Stites Whatley W, Thompson J, Rao B (2006) Salivary gland tumours in survivors of childhood cancer. Otolaryngol Head Neck Surg 134:385–388

    PubMed  Article  Google Scholar 

  27. Beal KP, Singh B, Kraus D et al (2003) Radiation induced salivary gland tumours: a report of 18 cases and a review of the literature. Cancer J 9(6):467–471

    PubMed  Article  Google Scholar 

  28. Phillips LE, Frankenfeld CL, Drangsholt M et al (2006) Intracranial meningioma and ionizing radiation in medical and occupational settings. Neurology 64:350–352

    Google Scholar 

Download references

Author information

Affiliations

Authors

Corresponding author

Correspondence to Ann D. King.

Rights and permissions

Reprints and Permissions

About this article

Cite this article

Abrigo, J.M., King, A.D., Leung, S.F. et al. MRI of radiation-induced tumors of the head and neck in post-radiation nasopharyngeal carcinoma. Eur Radiol 19, 1197 (2009). https://doi.org/10.1007/s00330-008-1265-6

Download citation

  • Received:

  • Revised:

  • Accepted:

  • Published:

  • DOI: https://doi.org/10.1007/s00330-008-1265-6

Keywords

  • MRI
  • Nasopharyngeal carcinoma
  • Sarcoma
  • Squamous cell carcinoma
  • Radiation-induced tumor