Skip to main content

Role of diffusion-weighted imaging in the diagnosis of gynecological diseases

Abstract

Recent technical advances in diffusion-weighted imaging (DWI) greatly enhanced the clinical value of magnetic resonance imaging (MRI) of the body. DWI can provide excellent tissue contrast based on molecular diffusion and may be able to demonstrate malignant tumors. Quantitative measurement of the apparent diffusion coefficient (ADC) may be valuable in distinguishing between malignant and benign lesions. We reviewed DWI and conventional MRI of the female pelvis to study the utility of DWI in patients with gynecological diseases. Although the ADC can help to differentiate between normal and cancerous tissue in the uterine cervix and endometrium, its utility may be limited by the large overlap of the uterine myometrium and ovaries. On the other hand, the ADC may be useful for monitoring the therapeutic outcome after uterine arterial embolizati (UAE), chemotherapy and/or radiation therapy. In patients with ovarian cancer, DWI demonstrates high intensity not only at the primary cancer site but also in disseminated peritoneal implants. When added to conventional MRI findings, DWI and ADC values provide additional information and DWI may play an important role in the diagnosis of patients with gynecological diseases.

This is a preview of subscription content, access via your institution.

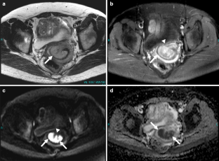
Fig. 1a–d
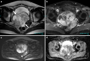
Fig. 2a–d
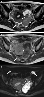
Fig. 3a–c
Fig. 4a–d
Fig. 5a–c
Fig. 6a–d
Fig. 7a–d
Fig. 8a–e
Fig. 9a–c
Fig. 10a–c
Fig. 11a–c
Fig. 12

References

  1. Le Bihan D, Breton E, Lallemand D, Grenier P, Cabanis E, Laval-Jeantet M (1986) MR imaging of intravoxel incoherent motions: application to diffusion and perfusion in neurologic disorders. Radiology 161:401–407

    PubMed  Google Scholar 

  2. Li TQ, Takahashi AM, Hindmarsh T, Moseley ME (1999) ADC mapping by means of a single-shot spiral MRI technique with application in acute cerebral ischemia. Magn Reson Med 41:143–147

    Article  CAS  PubMed  Google Scholar 

  3. Schaefer PW, Grant PE, Gonzalez RG (2000) Diffusion-weighted MR imaging of the brain. Radiology 217:331–345

    CAS  Google Scholar 

  4. Kurihara Y, Yakushiji YK, Tani I, Nakajima Y, Van Cauteren M (2002) Coil sensitivity encoding in MR imaging: advantages and disadvantages in clinical practice. AJR Am J Roentgenol 178:1087–1091

    PubMed  Google Scholar 

  5. Namimoto T, Yamashita Y, Sumi S, Tang Y, Takahashi M (1997) Focal liver masses: characterization with diffusion-weighted echo-planar MR imaging. Radiology 204:739–744

    CAS  PubMed  Google Scholar 

  6. Ichikawa T, Haradome H, Hachiya J, Nitatori T, Araki T (1998) Diffusion weighted MR imaging with a singleshot echoplanar sequence: detection and characterization of focal hepatic lesions. AJR Am J Roentgenol 170:397–402

    CAS  PubMed  Google Scholar 

  7. Sato C, Naganawa S, Nakamura T et al (2005) Differentiation of noncancerous tissue and cancer lesions by apparent diffusion coefficient values in transition and peripheral zones of the prostate. J Magn Reson Imaging 21:258–262

    Article  PubMed  Google Scholar 

  8. Charles-Edwards EM, deSouza NM (2006) Diffusion-weighted magnetic resonance imaging and its application to cancer. Cancer Imaging 6:135–143

    Article  PubMed  Google Scholar 

  9. Hosseinzadeh K, Schwarz SD (2004) Endorectal diffusion-weighted imaging in prostate cancer to differentiate malignant and benign peripheral zone tissue. J Magn Reson Imaging. 20:654–661

    Article  PubMed  Google Scholar 

  10. Matoba M, Tonami H, Kondou T, Yokota H, Higashi K, Toga H, Sakuma T (2007) Lung carcinoma: diffusion-weighted MR imaging-preliminary evaluation with apparent diffusion coefficient. Radiology 243:570–577

    Article  PubMed  Google Scholar 

  11. Theilmann RJ, Borders R, Trouard TP, Xia G, Outwater E, Ranger-Moore J, Gillies RJ, Stopeck A (2004) Changes in water mobility measured by diffusion MRI predict response of metastatic breast cancer to chemotherapy. Neoplasia 6:831–837

    Article  PubMed  Google Scholar 

  12. Naganawa S, Sato C, Kumada H, Ishigaki T, Miura S, Takizawa O (2005) Apparent diffusion coefficient in cervical cancer of the uterus: comparison with the normal uterine cervix. Eur Radiol 15:71–78

    Article  PubMed  Google Scholar 

  13. McVeigh PZ, Syed AM, Milosevic M, Fyles A, Haider MA (2008) Diffusion-weighted MRI in cervical cancer. Eur Radiol 18:1058–1064

    Article  PubMed  Google Scholar 

  14. Tamai K, Koyama T, Saga T, Umeoka S, Mikami Y, Fujii S, Togashi K (2007) Diffusion-weighted MR imaging of uterine endometrial cancer. J Magn Reson Imaging 26:682–687

    Article  PubMed  Google Scholar 

  15. Fujii S, Matsusue E, Kigawa J, Sato S, Kanasaki Y, Nakanishi J, Sugihara S, Kaminou T, Terakawa N, Ogawa T (2008) Diagnostic accuracy of the apparent diffusion coefficient in differentiating benign from malignant uterine endometrial cavity lesions: initial results. Eur Radiol 18:384–389

    Article  PubMed  Google Scholar 

  16. Shen SH, Chiou YY, Wang JH, Yen MS, Lee RC, Lai CR, Chang CY (2008) Diffusion-weighted single-shot echo-planar imaging with parallel technique in assessment of endometrial cancer. AJR Am J Roentgenol 190:481–488

    Article  PubMed  Google Scholar 

  17. Tamai K, Koyama T, Saga T, Morisawa N, Fujimoto K, Mikami Y, Togashi K (2008) The utility of diffusion-weighted MR imaging for differentiating uterine sarcomas from benign leiomyomas. Eur Radiol 18:723–730

    Article  PubMed  Google Scholar 

  18. Jacobs MA, Herskovits EH, Kim HS (2005) Uterine fibroids: diffusion weighted MR imaging for monitoring therapy with focused ultrasound surgery-preliminary study. Radiology 236:196–203

    Article  PubMed  Google Scholar 

  19. Liapi E, Kamel IR, Bluemke DA, Jacobs MA, Kim HS (2005) Assessment of response of uterine fibroids and myometrium to embolization using diffusion-weighted echoplanar MR imaging. J Comput Assist Tomogr 29:83–86

    Article  PubMed  Google Scholar 

  20. Shimada K, Ohashi I, Kasahara I, Watanabe H, Ohta S, Miyasaka N, Itoh E, Shibuya H (2004) Differentiation between completely hyalinized uterine leiomyomas and ordinary leiomyomas: three-phase dynamic magnetic resonance imaging (MRI) vs. diffusion weighted MRI with very small b-factors. J Magn Reson Imaging 20:97–104

    Article  PubMed  Google Scholar 

  21. Moteki T, Ishizaka H (2000) Diffusion-weighted EPI of cystic ovarian lesions: evaluation of cystic contents using apparent diffusion coefficients. J Magn Reson Imaging 12:1014–1019

    Article  CAS  PubMed  Google Scholar 

  22. Katayama M, Masui T, Kobayashi S, Ito T, Sakahara H, Nozaki A, Kabasawa H (2002) Diffusion-weighted echo planar imaging of ovarian tumors: is it useful to measure apparent diffusion coefficients? J Comput Assist Tomogr 26:250–256

    Article  PubMed  Google Scholar 

  23. Nakayama T, Yoshimitsu K, Irie H, Aibe H, Tajima T, Nishie A, Asayama Y, Matake K, Kakihara D, Matsuura S, Nakano H, Honda H (2005) Diffusion-weighted echo-planar MR imaging and ADC mapping in the differential diagnosis of ovarian cystic masses: usefulness of detecting keratinoid substances in mature cystic teratomas. J Magn Reson Imaging 22:271–278

    Article  PubMed  Google Scholar 

  24. Koyama T, Togashi K (2007) Functional MR imaging of the female pelvis. J Magn Reson Imaging 25:1101–1112

    Article  PubMed  Google Scholar 

  25. Koyama T, Tamai K, Togashi K (2006) Current status of body MR imaging: fast MR imaging and diffusion-weighted imaging. Int J Clin Oncol 11:278–285

    Article  PubMed  Google Scholar 

  26. Thoeny HC, De Keyzer F (2007) Extracranial applications of diffusion-weighted magnetic resonance imaging. Eur Radiol 17:1385–1393

    Article  PubMed  Google Scholar 

  27. Provenzale JM, Engelter ST, Petrella JR, Smith JS, MacFall JR (1999) Use of MR exponential diffusion-weighted images to eradicate T2 “shine-through” effect. AJR Am J Roentgenol 172:537–539

    CAS  PubMed  Google Scholar 

  28. Silvera S, Oppenheim C, Touzé E, Ducreux D, Page P, Domigo V, Mas JL, Roux FX, Frédy D, Meder JF (2005) Spontaneous intracerebral hematoma on diffusion-weighted images: influence of T2-shine-through and T2-blackout effects. AJNR Am J Neuroradiol 26:236–241

    PubMed  Google Scholar 

  29. Yamashita Y, Takahashi M, Sawada T, Miyazaki K, Okamura H (1992) Carcinoma of the cervix: dynamic MR imaging. Radiology 182:643–648

    CAS  PubMed  Google Scholar 

  30. Hirano Y, Kubo K, Hirai Y, Okada S, Yamada K, Sawano S, Yamashita T, Hiramatsu Y (1992) Preliminary experience with gadolinium-enhanced dynamic MR imaging for uterine neoplasms. Radiographics 12:243–256

    CAS  PubMed  Google Scholar 

  31. Yamashita Y, Harada M, Torashima M, Takahashi M, Miyazaki K, Tanaka N, Okamura H (1996) Dynamic MR imaging of recurrent postoperative cervical cancer. J Magn Reson Imaging 6:167–171

    Article  CAS  PubMed  Google Scholar 

  32. Tsuda K, Murakami T, Kurachi H, Ogawa H, Oi H, Miyake A, Narumi Y, Nakamura H (1997) MR imaging of cervical carcinoma: comparison among T2-weighted, dynamic, and postcontrast T1-weighted images with histopathological correlation. Abdom Imaging 22:103–107

    Article  CAS  PubMed  Google Scholar 

  33. Nicolet V, Carignan L, Bourdon F, Prosmanne O (2000) MR imaging of cervical carcinoma: a practical staging approach. Radiographics 20:1539–1549

    CAS  PubMed  Google Scholar 

  34. Kinkel K (2006) Pitfalls in staging uterine neoplasm with imaging: a review. Abdom Imaging 31:164–173

    Article  CAS  PubMed  Google Scholar 

  35. Yamashita Y, Harada M, Sawada T, Takahashi M, Miyazaki K, Okamura H (1993) Normal uterus and FIGO stage I endometrial carcinoma: dynamic gadolinium-enhanced MR imaging. Radiology 186:495–501

    CAS  PubMed  Google Scholar 

  36. Takahashi S, Murakami T, Narumi Y, Kurachi H, Tsuda K, Kim T, Enomoto T, Tomoda K, Miyake A, Murata Y, Nakamura H (1998) Preoperative staging of endometrial carcinoma: diagnostic effect of T2-weighted fast spin-echo MR imaging. Radiology 206:539–547

    CAS  PubMed  Google Scholar 

  37. Manfredi R, Gui B, Maresca G, Fanfani F, Bonomo L (2005) Endometrial cancer: magnetic resonance imaging. Abdom Imaging 30:626–636

    Article  CAS  PubMed  Google Scholar 

  38. Sahdev A, Sohaib SA, Jacobs I, Shepherd JH, Oram DH, Reznek RH (2001) MR imaging of uterine sarcomas. AJR Am J Roentgenol 177:1307–1311

    CAS  PubMed  Google Scholar 

  39. Goto A, Takeuchi S, Sugimura K, Maruo T (2002) Usefulness of Gd-DTPA contrast-enhanced dynamic MRI and serum determination of LDH and its isozymes in the differential diagnosis of leiomyosarcoma from degenerated leiomyoma of the uterus. Int J Gynecol Cancer 12:354–361

    Article  CAS  PubMed  Google Scholar 

  40. Tanaka YO, Nishida M, Tsunoda H, Okamoto Y, Yoshikawa H (2004) Smooth muscle tumors of uncertain malignant potential and leiomyosarcomas of the uterus: MR findings. J Magn Reson Imaging 20:998–1007

    Article  PubMed  Google Scholar 

  41. Koyama T, Togashi K, Konishi I, Kobayashi H, Ueda H, Kataoka ML, Itoh T, Higuchi T, Fujii S, Konishi J (1999) MR imaging of endometrial stromal sarcoma: correlation with pathologic findings. AJR Am J Roentgenol 173:767–772

    CAS  PubMed  Google Scholar 

  42. Ueda M, Otsuka M, Hatakenaka M, Torii Y (2000) Uterine endometrial stromal sarcoma located in uterine myometrium: MRI appearance. Eur Radiol 10:780–782

    Article  CAS  PubMed  Google Scholar 

  43. Ueda M, Otsuka M, Hatakenaka M, Sakai S, Ono M, Yoshimitsu K, Honda H, Torii Y (2001) MR imaging findings of uterine endometrial stromal sarcoma: differentiation from endometrial carcinoma. Eur Radiol 11:28–33

    Article  CAS  PubMed  Google Scholar 

  44. Hricak H, Tscholakoff D, Heinrichs L et al (1986) Uterine leiomyomas: correlation of MR, histopathologic findings, and symptoms. Radiology 158:385–391

    CAS  PubMed  Google Scholar 

  45. Ueda H, Togashi K, Konishi I, Kataoka ML, Koyama T, Fujiwara T, Kobayashi H, Fujii S, Konishi J (1999) Unusual appearances of uterine leiomyomas: MR imaging findings and their histopathologic backgrounds. Radiographics 19:S131–S145

    PubMed  Google Scholar 

  46. Yamashita Y, Torashima M, Takahashi M, Tanaka N, Katabuchi H, Miyazaki K, Ito M, Okamura H (1993) Hyperintense uterine leiomyoma at T2-weighted MR imaging: differentiation with dynamic enhanced MR imaging and clinical implications. Radiology 189:721–725

    CAS  PubMed  Google Scholar 

  47. Spies JB, Roth AR, Jha RC et al (2002) Leiomyoma treated with uterine artery embolization: factors associated with successful symptom and imaging outcome. Radiology 222:45–52

    Article  PubMed  Google Scholar 

  48. Smart OC, Hindley JT, Regan L, Gedroyc WM (2006) Magnetic resonance guided focused ultrasound surgery of uterine fibroids-the tissue effects of GnRH agonist pre-treatment. Eur J Radiol 592:163–167

    Article  Google Scholar 

  49. Maldjian JA, Listerud J, Moonis G, Siddiqi F (2001) Computing diffusion rates in T2-dark hematomas and areas of low T2 signal. AJNR Am J Neuroradiol 22:112–118

    CAS  PubMed  Google Scholar 

  50. Chen S, Ikawa F, Kurisu K, l, Arita K, Takaba J, Kanou Y (2001) Quantitative MR evaluation of intracranial epidermoid tumors by fast fluid-attenuated inversion recovery imaging and echo-planar diffusion-weighted imaging. AJNR Am J Neuroradiol 22:1089–1096

    CAS  PubMed  Google Scholar 

  51. Kurtz AB, Tsimikas JV, Tempany CM, Hamper UM, Arger PH, Bree RL, Wechsler RJ, Francis IR, Kuhlman JE, Siegelman ES, Mitchell DG, Silverman SG, Brown DL, Sheth S, Coleman BG, Ellis JH, Kurman RJ, Caudry DJ, McNeil BJ (1999) Diagnosis and staging of ovarian cancer: comparative values of Doppler and conventional US, CT, and MR imaging correlated with surgery and histopathologic: report of the Radiology Diagnostic Oncology Group. Radiology 212:19–27

    CAS  PubMed  Google Scholar 

  52. Tempany CM, Zou KH, Silverman SG, Brown DL, Kurtz AB, McNeil BJ (2000) Staging of advanced ovarian cancer: comparison of imaging modalities-report from the Radiological Diagnostic Oncology Group. Radiology 215:761–767

    CAS  PubMed  Google Scholar 

  53. Coakley FV, Choi PH, Gougoutas CA, Pothuri B, Venkatraman E, Chi D, Bergman A, Hricak H (2002) Peritoneal metastases: detection with spiral CT in patients with ovarian cancer. Radiology 223:495–499

    Article  PubMed  Google Scholar 

  54. Ricke J, Sehouli J, Hach C, Hanninen EL, Lichtenegger W, Felix R (2003) Prospective evaluation of contrastenhanced MRI in the depiction of peritoneal spread in primary or recurrent ovarian cancer. Eur Radiol 13:943–949

    Article  PubMed  Google Scholar 

  55. Pannu HK, Horton KM, Fishman EK (2003) Thin section dual-phase multidetector-row computed tomography detection of peritoneal metastases in gynecologic cancers. J Comput Assist Tomogr 27:333–340

    Article  PubMed  Google Scholar 

  56. Pannu HK, Bristow RE, Montz FJ, Fishman EK (2003) Multidetector CT of peritoneal carcinomatosis from ovarian cancer. Radiographics 23:687–701

    Article  PubMed  Google Scholar 

  57. Fujii S, Matsusue E, Kanasaki Y, Kanamori Y, Nakanishi J, Sugihara S, Kigawa J, Terakawa N, Ogawa T (2008) Detection of peritoneal dissemination in gynecological malignancy: evaluation by diffusion-weighted MR imaging. Eur Radiol 18:18–23

    Article  PubMed  Google Scholar 

  58. Lutman CV, Havrilesky LJ, Cragun JM, Secord AA, Calingaert B, Berchuck A, Clarke-Pearson DL, Soper JT (2006) Pelvic lymph node count is an important prognostic variable for FIGO stage I and II endometrial carcinoma with high-risk histology. Gynecol Oncol 102:92–97

    Article  PubMed  Google Scholar 

  59. Yu KK, Hricak H, Subak LL, Zaloudek CJ, Powell CB (1998) Preoperative staging of cervical carcinoma: phased array coil fast spin-echo versus body coil spin-echo T2-weighted MR imaging. AJR Am J Roentgenol 171:707–711

    CAS  PubMed  Google Scholar 

  60. Reinhardt MJ, Ehritt-Braun C, Vogelgesang D, Ihling C, Högerle S, Mix M, Moser E, Krause TM (2001) Metastatic lymph nodes in patients with cervical cancer: detection with MR imaging and FDG PET. Radiology 218:776–782

    CAS  PubMed  Google Scholar 

  61. Rockall AG, Sohaib SA, Harisinghani MG, Babar SA, Singh N, Jeyarajah AR, Oram DH, Jacobs IJ, Shepherd JH, Reznek RH (2005) Diagnostic performance of nanoparticle-enhanced magnetic resonance imaging in the diagnosis of lymph node metastases in patients with endometrial and cervical cancer. J Clin Oncol 23:2813–2821

    Article  PubMed  Google Scholar 

  62. Lin G, Ho KC, Wang JJ, Ng KK, Wai YY, Chen YT, Chang CJ, Ng SH, Lai CH, Yen TC (2008) Detection of lymph node metastasis in cervical and uterine cancers by diffusion-weighted magnetic resonance imaging at 3T. J Magn Reson Imaging 28:128–135

    Article  PubMed  Google Scholar 

  63. Castillo M, Arbelaez A, Smith JK, Fisher LL (2000) Diffusion-weighted MR imaging offers no advantage over routine noncontrast MR imaging in the detection of vertebral metastases. AJNR Am J Neuroradiol 21:948–953

    CAS  PubMed  Google Scholar 

  64. Nakanishi K, Kobayashi M, Nakaguchi K, Kyakuno M, Hashimoto N, Onishi H, Maeda N, Nakata S, Kuwabara M, Murakami T, Nakamura H (2007) Whole-body MRI for detecting metastatic bone tumor: diagnostic value of diffusion-weighted images. Magn Reson Med Sci 6:147–155

    Article  PubMed  Google Scholar 

Download references

Author information

Affiliations

Authors

Corresponding author

Correspondence to Tomohiro Namimoto.

Rights and permissions

Reprints and Permissions

About this article

Cite this article

Namimoto, T., Awai, K., Nakaura, T. et al. Role of diffusion-weighted imaging in the diagnosis of gynecological diseases. Eur Radiol 19, 745–760 (2009). https://doi.org/10.1007/s00330-008-1185-5

Download citation

  • Received:

  • Revised:

  • Accepted:

  • Published:

  • Issue Date:

  • DOI: https://doi.org/10.1007/s00330-008-1185-5

Keywords

  • Diffusion
  • ADC
  • Magnetic resonance imaging
  • Uterus
  • Ovary