Skip to main content

Calvarial tuberculosis: an unusual presentation (2007: 8b)

Abstract

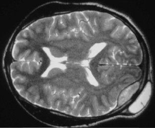
We describe a case of calvarial tuberculosis with an associated extra-dural collection. This presentation has rarely been reported in the literature and the magnetic resonance imaging features are not well documented.

This is a preview of subscription content, access via your institution.

Fig. 1
Fig. 2

References

  1. Engin G et al (2000) Imaging of extrapulmonary tuberculosis. Radiographics 20:471–488

    PubMed  CAS  Google Scholar 

  2. Raut AA et al (2004) Imaging features of calvarial tiberculosis:a study of 42 cases. AJNR Am J Neuroradiol 25:409–414

    PubMed  Google Scholar 

  3. Patanakar T et al (2000) Radiographic findings in tuberculosis of the calvarium. Neuroradiology 42:518–521

    Article  Google Scholar 

Download references

Author information

Affiliations

Authors

Corresponding author

Correspondence to J. O’Brien.

Additional information

Precisely correct answers were received by closing date from:

Carlos CAPPARÔS-ESCUDERO, Sevilla, Spain

N. CHIDAMBARANATHAN, Chennai, India

Marc De BAETS, Lugano, Switzerland

Kemal DEMIR, Istanbul, Turkey

Thaworn DENDUMRONGSUP, Songkla, Thailand

Jose C. GALLEGO, Ferrol, Spain

N.B.S. MANI, Miami, Florida, USA

Vassilios MANIATIS, Palini, Greece

Ram PRAKASH GALWA, Chandigarh, India

Annemie SNOECKX, Zandhoven, Belgium

Panagiotis TSIRKINIDIS, Athens, Greece

Meric TUZUN, Ankara, Turkey

Ercument UNLU, Edirne, Turkey

Rights and permissions

Reprints and Permissions

About this article

Cite this article

O’Brien, J., Buckley, O., Persaud, T. et al. Calvarial tuberculosis: an unusual presentation (2007: 8b). Eur Radiol 17, 3014–3015 (2007). https://doi.org/10.1007/s00330-007-0592-3

Download citation

  • Received:

  • Revised:

  • Accepted:

  • Published:

  • Issue Date:

  • DOI: https://doi.org/10.1007/s00330-007-0592-3

Keywords

  • MRI
  • Skull
  • Tuberculosis