Skip to main content

Management of an incidentally discovered pulmonary nodule

Abstract

The incidental finding of a pulmonary nodule on computed tomography (CT) is becoming an increasingly frequent event. The discovery of such a nodule should evoke the possibility of a small bronchogenic carcinoma, for which excision is indicated without delay. However, invasive diagnostic procedures should be avoided in the case of a benign lesion. The objectives of this review article are: (1) to analyze the CT criteria defining benign nodules, nodules of high suspicion of malignancy and indeterminate nodules, (2) to analyze the diagnostic performances and limitations of complementary investigations requested to characterize indeterminate lung nodules, (3) to review the criteria permitting to assess the probability of malignancy of indeterminate nodules and (4) to report on the new guidelines provided by the Fleischner Society for the management of small indeterminate pulmonary nodules, according to their prior probability of malignancy.

This is a preview of subscription content, access via your institution.

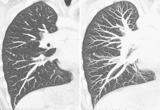
Fig. 1
Fig. 2
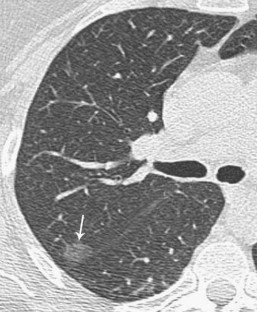
Fig. 3
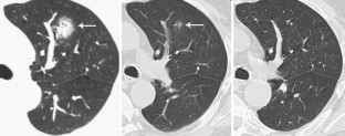
Fig. 4
Fig. 5
Fig. 6
Fig. 7
Fig. 8
Fig. 9
Fig. 10
Fig. 11
Fig. 12
Fig. 13

References

  1. Berger WG, Erly WK, Krupinski EA, Standen JR, Stern RG (2001) The solitary pulmonary nodule on chest radiography: can we really tell if the nodule is calcified? AJR Am J Roentgenol 176:201–204

    PubMed  CAS  Google Scholar 

  2. Wormanns D, Diederich S (2004) Characterization of small pulmonary nodules by CT. Eur Radiol 14:1380–1391

    PubMed  Google Scholar 

  3. Swensen SJ, Silverstein MD, Ilstrup DM, Schleck CD, Edell ES (1997) The probability of malignancy in solitary pulmonary nodules: application to small radiologically indeterminate nodules. Arch Intern Med 157:849–855

    PubMed  CAS  Google Scholar 

  4. Gruden JF, Ouanounou S, Tigges S, Norris SD, Klausner TS (2002) Incremental benefit of maximum-intensity-projection images on observer detection of small pulmonary nodules revealed by multidetector CT. AJR Am J Roentgenol 179:149–157

    PubMed  Google Scholar 

  5. Rubin GD, Lyo JK, Paik DS, Sherbondy AJ, Chow LC, Leung AN, Mindelzun R, Schraedley-Desmond PK, Zinck SE, Naidich DP, Napel S (2005) Pulmonary nodules on multi-detector row CT scans: performance comparison of radiologists and computer-aided detection. Radiology 234:274–283

    PubMed  Google Scholar 

  6. Midthun DE, Swensen SJ, Jett JR, Hartman TE (2003) Evaluation of nodules detected by screening for lung cancer with low dose spiral computed tomography. Lung Cancer 41(suppl 2):S40

    Google Scholar 

  7. Henschke CI, Yankelevitz DF, Naidich DP, McCauley DI, McGuinness G, Libby DM, Smith JP, Pasmantier MW, Miettinen OS (2004) CT screening for lung cancer: suspiciousness of nodules according to size on baseline scans. Radiology 231:164–168

    PubMed  Google Scholar 

  8. Yang ZG, Sone S, Takashima S, Li F, Honda T, Maruyama Y, Hasegawa M, Kawakami S (2001) High-resolution CT analysis of small peripheral lung adenocarcinomas revealed on screening helical CT. AJR Am J Roentgenol 176:1399–1407

    PubMed  CAS  Google Scholar 

  9. Munden RF, Hess KR (2001) “Ditzels” on chest CT: survey of members of the Society of Thoracic Radiology. AJR Am J Roentgenol 176:1363–1369

    PubMed  CAS  Google Scholar 

  10. Laurent F, Remy J (2002) Management strategy of pulmonary nodules. J Radiol 83:1815–1821

    PubMed  CAS  Google Scholar 

  11. Kradin RL, Spirn PW, Mark EJ (1985) Intrapulmonary lymph nodes: clinical, radiologic, and pathologic features. Chest 87:662–667

    PubMed  CAS  Google Scholar 

  12. Diederich S, Lenzen H, Windmann R, Puskas Z, Yelbuz TM, Henneken S, Klaiber T, Eameri M, Roos N, Peters PE (1999) Pulmonary nodules: experimental and clinical studies at low-dose CT. Radiology 213:289–298

    PubMed  CAS  Google Scholar 

  13. Schoepf UJ, Becker CR, Obuchowski NA, Rust GF, Ohnesorge BM, Kohl G, Schaller S, Modic MT, Reiser MF (2001) Multi-slice computed tomography as a screening tool for colon cancer, lung cancer and coronary artery disease. Eur Radiol 11:1975–1985

    PubMed  CAS  Google Scholar 

  14. Erasmus JJ, Connolly JE, McAdams HP, Roggli VL (2000) Solitary pulmonary nodules. Part I. Morphologic evaluation for differentiation of benign and malignant lesions. Radiographics 20:43–58

    PubMed  CAS  Google Scholar 

  15. Zwirewich CV, Vedal S, Miller RR, Muller NL (1991) Solitary pulmonary nodule: high-resolution CT and radiologic-pathologic correlation. Radiology 179:469–476

    PubMed  CAS  Google Scholar 

  16. Henschke CI, Yankelevitz DF, Mirtcheva R, McGuinness G, McCauley D, Miettinen OS (2002) CT screening for lung cancer: frequency and significance of part-solid and nonsolid nodules. AJR Am J Roentgenol 178:1053–1057

    PubMed  Google Scholar 

  17. Li F, Sone S, Abe H, Macmahon H, Doi K (2004) Malignant versus benign nodules at CT screening for lung cancer: comparison of thin-section CT findings. Radiology 233:793–798

    PubMed  Google Scholar 

  18. Nakajima R, Yokose T, Kakinuma R, Nagai K, Nishiwaki Y, Ochiai A (2002) Localized pure ground-glass opacity on high-resolution CT: histologic characteristics. J Comput Assist Tomogr 26:323–329

    PubMed  Google Scholar 

  19. Asamura H, Suzuki K, Watanabe S, Matsuno Y, Maeshima A, Tsuchiya R (2003) A clinicopathological study of resected subcentimeter lung cancers: a favorable prognosis for ground glass opacity lesions. Ann Thorac Surg 76:1016–1022

    PubMed  Google Scholar 

  20. Nakata M, Sawada S, Saeki H, Takashima S, Mogami H, Teramoto N, Eguchi K (2003) Prospective study of thoracoscopic limited resection for ground-glass opacity selected by computed tomography. Ann Thorac Surg 75:1601–1605; discussion 1605–1606

    PubMed  Google Scholar 

  21. Kawakami S, Sone S, Takashima S, Li F, Yang ZG, Maruyama Y, Honda T, Hasegawa M, Wang JC (2001) Atypical adenomatous hyperplasia of the lung: correlation between high-resolution CT findings and histopathologic features. Eur Radiol 11:811–814

    PubMed  CAS  Google Scholar 

  22. Kishi K, Homma S, Kurosaki A, Tanaka S, Matsushita H, Nakata K (2002) Multiple atypical adenomatous hyperplasia with synchronous multiple primary bronchioloalveolar carcinomas. Intern Med 41:474–477

    PubMed  Google Scholar 

  23. Okita R, Yamashita M, Nakata M, Teramoto N, Bessho A, Mogami H (2005) Multiple ground-glass opacity in metastasis of malignant melanoma diagnosed by lung biopsy. Ann Thorac Surg 79:1–2

    Google Scholar 

  24. Gaeta M, Blandino A, Scribano E, Minutoli F, Volta S, Pandolfo I (1999) Computed tomography halo sign in pulmonary nodules: frequency and diagnostic value. J Thorac Imaging 14:109–113

    PubMed  CAS  Google Scholar 

  25. Nakazono T, Sakao Y, Yamaguchi K, Imai S, Kumazoe H, Kudo S (2005) Subtypes of peripheral adenocarcinoma of the lung: differentiation by thin-section CT. Eur Radiol 15:1563–1568

    PubMed  CAS  Google Scholar 

  26. Wang JC, Sone S, Feng L, Yang ZG, Takashima S, Maruyama Y, Hasegawa M, Kawakami S, Honda T, Yamanda T (2000) Rapidly growing small peripheral lung cancers detected by screening CT: correlation between radiological appearance and pathological features. Br J Radiol 73:930–937

    PubMed  CAS  Google Scholar 

  27. Yoon HE, Fukuhara K, Michiura T, Takada M, Imakita M, Nonaka K, Iwase K (2005) Pulmonary nodules 10 mm or less in diameter with ground-glass opacity component detected by high-resolution computed tomography have a high possibility of malignancy. Jpn J Thorac Cardiovasc Surg 53:22–28

    PubMed  Google Scholar 

  28. Takashima S, Sone S, Li F, Maruyama Y, Hasegawa M, Matsushita T, Takayama F, Kadoya M (2003) Small solitary pulmonary nodules (<or = 1 cm) detected at population-based CT screening for lung cancer: reliable high-resolution CT features of benign lesions. AJR Am J Roentgenol 180:955–964

    PubMed  Google Scholar 

  29. Nambu A, Araki T, Taguchi Y, Ozawa K, Miyata K, Miyazawa M, Hiejima Y, Saito A (2005) Focal area of ground-glass opacity and ground-glass opacity predominance on thin-section CT: discrimination between neoplastic and non-neoplastic lesions. Clin Radiol 60:1006–1017

    PubMed  CAS  Google Scholar 

  30. Aberle DR, Gamsu G, Henschke CI, Naidich DP, Swensen SJ (2001) A consensus statement of the Society of Thoracic Radiology: screening for lung cancer with helical computed tomography. J Thorac Imaging 16:65–68

    PubMed  CAS  Google Scholar 

  31. Ost D, Fein A (2000) Evaluation and management of the solitary pulmonary nodule. Am J Respir Crit Care Med 162:782–787

    PubMed  CAS  Google Scholar 

  32. Kohno N, Ikezoe J, Johkoh T, Takeuchi N, Tomiyama N, Kido S, Kondoh H, Arisawa J, Kozuka T (1993) Focal organizing pneumonia: CT appearance. Radiology 189:119–123

    PubMed  CAS  Google Scholar 

  33. Matsuoka S, Kurihara Y, Yagihashi K, Niimi H, Nakajima Y (2005) Peripheral solitary pulmonary nodule: CT findings in patients with pulmonary emphysema. Radiology 235:266–273

    PubMed  Google Scholar 

  34. Oshiro Y, Kusumoto M, Moriyama N, Kaneko M, Suzuki K, Asamura H, Kondo H, Tsuchiya R, Murayama S (2002) Intrapulmonary lymph nodes: thin-section CT features of 19 nodules. J Comput Assist Tomogr 26:553–557

    PubMed  Google Scholar 

  35. Kui M, Templeton PA, White CS, Cai ZL, Bai YX, Cai YQ (1996) Evaluation of the air bronchogram sign on CT in solitary pulmonary lesions. J Comput Assist Tomogr 20:983–986

    PubMed  CAS  Google Scholar 

  36. Kuriyama K, Tateishi R, Doi O, Higashiyama M, Kodama K, Inoue E, Narumi Y, Fujita M, Kuroda C (1991) Prevalence of air bronchograms in small peripheral carcinomas of the lung on thin-section CT: comparison with benign tumors. AJR Am J Roentgenol 156:921–924

    PubMed  CAS  Google Scholar 

  37. Lee KS, Kim Y, Han J, Ko EJ, Park CK, Primack SL (1997) Bronchioloalveolar carcinoma: clinical, histopathologic, and radiologic findings. Radiographics 17:1345–1357

    PubMed  CAS  Google Scholar 

  38. Woodring JH, Fried AM (1983) Significance of wall thickness in solitary cavities of the lung: a follow-up study. AJR Am J Roentgenol 140:473–474

    PubMed  CAS  Google Scholar 

  39. Siegelman SS, Khouri NF, Scott WW, Jr., Leo FP, Hamper UM, Fishman EK, Zerhouni EA (1986) Pulmonary hamartoma: CT findings. Radiology 160:313–317

    PubMed  CAS  Google Scholar 

  40. Stewart JG, MacMahon H, Vyborny CJ, Pollak ER (1987) Dystrophic calcification in carcinoma of the lung: demonstration by CT. AJR Am J Roentgenol 148:29–30

    PubMed  CAS  Google Scholar 

  41. Swensen SJ, Morin RL, Schueler BA, Brown LR, Cortese DA, Pairolero PC, Brutinel WM (1992) Solitary pulmonary nodule: CT evaluation of enhancement with iodinated contrast material: a preliminary report. Radiology 182:343–347

    PubMed  CAS  Google Scholar 

  42. Yamashita K, Matsunobe S, Takahashi R, Tsuda T, Matsumoto K, Miki H, Oyanagi H, Konishi J (1995) Small peripheral lung carcinoma evaluated with incremental dynamic CT: radiologic-pathologic correlation. Radiology 196:401–408

    PubMed  CAS  Google Scholar 

  43. Yamashita K, Matsunobe S, Tsuda T, Nemoto T, Matsumoto K, Miki H, Konishi J (1995) Solitary pulmonary nodule: preliminary study of evaluation with incremental dynamic CT. Radiology 194:399–405

    PubMed  CAS  Google Scholar 

  44. Swensen SJ, Viggiano RW, Midthun DE, Muller NL, Sherrick A, Yamashita K, Naidich DP, Patz EF, Hartman TE, Muhm JR, Weaver AL (2000) Lung nodule enhancement at CT: multicenter study. Radiology 214:73–80

    PubMed  CAS  Google Scholar 

  45. Yi CA, Lee KS, Kim EA, Han J, Kim H, Kwon OJ, Jeong YJ, Kim S (2004) Solitary pulmonary nodules: dynamic enhanced multi-detector row CT study and comparison with vascular endothelial growth factor and microvessel density. Radiology 233:191–199

    PubMed  Google Scholar 

  46. Gupta NC, Frank AR, Dewan NA, Redepenning LS, Rothberg ML, Mailliard JA, Phalen JJ, Sunderland JJ, Frick MP (1992) Solitary pulmonary nodules: detection of malignancy with PET with 2-[F-18]-fluoro-2-deoxy-D-glucose. Radiology 184:441–444

    PubMed  CAS  Google Scholar 

  47. Gupta NC, Maloof J, Gunel E (1996) Probability of malignancy in solitary pulmonary nodules using fluorine-18-FDG and PET. J Nucl Med 37:943–948

    PubMed  CAS  Google Scholar 

  48. Lowe VJ, Fletcher JW, Gobar L, Lawson M, Kirchner P, Valk P, Karis J, Hubner K, Delbeke D, Heiberg EV, Patz EF, Coleman RE (1998) Prospective investigation of positron emission tomography in lung nodules. J Clin Oncol 16:1075–1084

    PubMed  CAS  Google Scholar 

  49. Patz EF, Jr., Lowe VJ, Hoffman JM, Paine SS, Burrowes P, Coleman RE, Goodman PC (1993) Focal pulmonary abnormalities: evaluation with F-18 fluorodeoxyglucose PET scanning. Radiology 188:487–490

    PubMed  Google Scholar 

  50. Rohren EM, Turkington TG, Coleman RE (2004) Clinical applications of PET in oncology. Radiology 231:305–332

    PubMed  Google Scholar 

  51. Erasmus JJ, McAdams HP, Patz EF, Jr., Coleman RE, Ahuja V, Goodman PC (1998) Evaluation of primary pulmonary carcinoid tumors using FDG PET. AJR Am J Roentgenol 170:1369–1373

    PubMed  CAS  Google Scholar 

  52. Higashi K, Ueda Y, Seki H, Yuasa K, Oguchi M, Noguchi T, Taniguchi M, Tonami H, Okimura T, Yamamoto I (1998) Fluorine-18-FDG PET imaging is negative in bronchioloalveolar lung carcinoma. J Nucl Med 39:1016–1020

    PubMed  CAS  Google Scholar 

  53. Kim BT, Kim Y, Lee KS, Yoon SB, Cheon EM, Kwon OJ, Rhee CH, Han J, Shin MH (1998) Localized form of bronchioloalveolar carcinoma: FDG PET findings. AJR Am J Roentgenol 170:935–939

    PubMed  CAS  Google Scholar 

  54. Nomori H, Watanabe K, Ohtsuka T, Naruke T, Suemasu K, Uno K (2004) Evaluation of F-18 fluorodeoxyglucose (FDG) PET scanning for pulmonary nodules less than 3 cm in diameter, with special reference to the CT images. Lung Cancer 45:19–27

    PubMed  Google Scholar 

  55. Steinert HC, Kamel EM, de Juan R (2003) PET and PET/CT of tumors of the chest. In: von Schulthess GK (ed) Clinical molecular anatomic imaging, Lippincot, Philadelphia, PA, p 291–305

    Google Scholar 

  56. Yankelevitz DF, Henschke CI (1997) Does 2-year stability imply that pulmonary nodules are benign? AJR Am J Roentgenol 168:325–328

    PubMed  CAS  Google Scholar 

  57. Takashima S, Sone S, Li F, Maruyama Y, Hasegawa M, Kadoya M (2003) Indeterminate solitary pulmonary nodules revealed at population-based CT screening of the lung: using first follow-up diagnostic CT to differentiate benign and malignant lesions. AJR Am J Roentgenol 180:1255–1263

    PubMed  Google Scholar 

  58. Usuda K, Saito Y, Sagawa M, Sato M, Kanma K, Takahashi S, Endo C, Chen Y, Sakurada A, Fujimura S (1994) Tumor doubling time and prognostic assessment of patients with primary lung cancer. Cancer 74:2239–2244

    PubMed  CAS  Google Scholar 

  59. Winer-Muram HT, Jennings SG, Tarver RD, Aisen AM, Tann M, Conces DJ, Meyer CA (2002) Volumetric growth rate of stage I lung cancer prior to treatment: serial CT scanning. Radiology 223:798–805

    PubMed  Google Scholar 

  60. Erasmus JJ, McAdams HP, Connolly JE (2000) Solitary pulmonary nodules. Part II. Evaluation of the indeterminate nodule. Radiographics 20:59–66

    PubMed  CAS  Google Scholar 

  61. Aoki T, Nakata H, Watanabe H, Nakamura K, Kasai T, Hashimoto H, Yasumoto K, Kido M (2000) Evolution of peripheral lung adenocarcinomas: CT findings correlated with histology and tumor doubling time. AJR Am J Roentgenol 174:763–768

    PubMed  CAS  Google Scholar 

  62. Hasegawa M, Sone S, Takashima S, Li F, Yang ZG, Maruyama Y, Watanabe T (2000) Growth rate of small lung cancers detected on mass CT screening. Br J Radiol 73:1252–1259

    PubMed  CAS  Google Scholar 

  63. Kakinuma R, Ohmatsu H, Kaneko M, Kusumoto M, Yoshida J, Nagai K, Nishiwaki Y, Kobayashi T, Tsuchiya R, Nishiyama H, Matsui E, Eguchi K, Moriyama N (2004) Progression of focal pure ground-glass opacity detected by low-dose helical computed tomography screening for lung cancer. J Comput Assist Tomogr 28:17–23

    PubMed  Google Scholar 

  64. Jennings SG, Winer-Muram HT, Tarver RD, Farber MO (2004) Lung tumor growth: assessment with CT-comparison of diameter and cross-sectional area with volume measurements. Radiology 231:866–871

    PubMed  Google Scholar 

  65. Revel MP, Bissery A, Bienvenu M, Aycard L, Lefort C, Frija G (2004) Are two-dimensional CT measurements of small noncalcified pulmonary nodules reliable? Radiology 231:453–458

    PubMed  Google Scholar 

  66. Kostis WJ, Yankelevitz DF, Reeves AP, Fluture SC, Henschke CI (2004) Small pulmonary nodules: reproducibility of three-dimensional volumetric measurement and estimation of time to follow-up CT. Radiology 231:446–452

    PubMed  Google Scholar 

  67. Yankelevitz DF, Reeves AP, Kostis WJ, Zhao B, Henschke CI (2000) Small pulmonary nodules: volumetrically determined growth rates based on CT evaluation. Radiology 217:251–256

    PubMed  CAS  Google Scholar 

  68. Revel MP, Lefort C, Bissery A, Bienvenu M, Aycard L, Chatellier G, Frija G (2004) Pulmonary nodules: preliminary experience with three-dimensional evaluation. Radiology 231:459–466

    PubMed  Google Scholar 

  69. Wormanns D, Kohl G, Klotz E, Marheine A, Beyer F, Heindel W, Diederich S (2004) Volumetric measurements of pulmonary nodules at multi-row detector CT: in vivo reproducibility. Eur Radiol 14:86–92

    PubMed  Google Scholar 

  70. Goodman LR, Gulsun M, Washington L, Nagy PG, Piacsek KL (2006) Inherent variability of CT lung nodule measurements in vivo using semiautomated volumetric measurements. AJR Am J Roentgenol 186:989–994

    PubMed  Google Scholar 

  71. Gaeta M, Barone M, Russi EG, Volta S, Casablanca G, Romeo P, La Spada F, Minutoli A (1993) Carcinomatous solitary pulmonary nodules: evaluation of the tumor-bronchi relationship with thin-section CT. Radiology 187:535–539

    PubMed  CAS  Google Scholar 

  72. Gaeta M, Pandolfo I, Volta S, Russi EG, Bartiromo G, Girone G, La Spada F, Barone M, Casablanca G, Minutoli A (1991) Bronchus sign on CT in peripheral carcinoma of the lung: value in predicting results of transbronchial biopsy. AJR Am J Roentgenol 157:1181–1185

    PubMed  CAS  Google Scholar 

  73. Wang KP, Haponik EF, Britt EJ, Khouri N, Erozan Y (1984) Transbronchial needle aspiration of peripheral pulmonary nodules. Chest 86:819–823

    PubMed  CAS  Google Scholar 

  74. Greene R, Szyfelbein WM, Isler RJ, Stark P, Janstsch H (1985) Supplementary tissue-core histology from fine-needle transthoracic aspiration biopsy. AJR Am J Roentgenol 144:787–792

    PubMed  CAS  Google Scholar 

  75. Klein JS, Zarka MA (1997) Transthoracic needle biopsy: an overview. J Thorac Imaging 12:232–249

    PubMed  CAS  Article  Google Scholar 

  76. Moore EH (1997) Needle-aspiration lung biopsy: a comprehensive approach to complication reduction. J Thorac Imaging 12:259–271

    PubMed  CAS  Google Scholar 

  77. Wallace JM, Deutsch AL (1982) Flexible fiberoptic bronchoscopy and percutaneous needle lung aspiration for evaluating the solitary pulmonary nodule. Chest 81:665–671

    PubMed  CAS  Google Scholar 

  78. Westcott JL (1980) Direct percutaneous needle aspiration of localized pulmonary lesions: result in 422 patients. Radiology 137:31–35

    PubMed  CAS  Google Scholar 

  79. Yamagami T, Iida S, Kato T, Tanaka O, Nishimura T (2003) Combining fine-needle aspiration and core biopsy under CT fluoroscopy guidance: a better way to treat patients with lung nodules? AJR Am J Roentgenol 180:811–815

    PubMed  Google Scholar 

  80. Lucidarme O, Howarth N, Finet JF, Grenier PA (1998) Intrapulmonary lesions: percutaneous automated biopsy with a detachable, 18-gauge, coaxial cutting needle. Radiology 207:759–765

    PubMed  CAS  Google Scholar 

  81. Daly BD, Faling LJ, Diehl JT, Bankoff MS, Gale ME (1991) Computed tomography-guided minithoracotomy for the resection of small peripheral pulmonary nodules. Ann Thorac Surg 51:465–469

    PubMed  CAS  Article  Google Scholar 

  82. Suzuki K, Nagai K, Yoshida J, Ohmatsu H, Takahashi K, Nishimura M, Nishiwaki Y (1999) Video-assisted thoracoscopic surgery for small indeterminate pulmonary nodules: indications for preoperative marking. Chest 115:563–568

    PubMed  CAS  Google Scholar 

  83. Plunkett MB, Peterson MS, Landreneau RJ, Ferson PF, Posner MC (1992) Peripheral pulmonary nodules: preoperative percutaneous needle localization with CT guidance. Radiology 185:274–276

    PubMed  CAS  Google Scholar 

  84. Templeton PA, Krasna M (1993) Localization of pulmonary nodules for thoracoscopic resection: use of needle/wire breast-biopsy system. AJR Am J Roentgenol 160:761–762

    PubMed  CAS  Google Scholar 

  85. Tsuchida M, Yamato Y, Aoki T, Watanabe T, Koizumi N, Emura I, Hayashi J (1999) CT-guided agar marking for localization of nonpalpable peripheral pulmonary lesions. Chest 116:139–143

    PubMed  CAS  Google Scholar 

  86. Lenglinger FX, Schwarz CD, Artmann W (1994) Localization of pulmonary nodules before thoracoscopic surgery: value of percutaneous staining with methylene blue. AJR Am J Roentgenol 163:297–300

    PubMed  CAS  Google Scholar 

  87. Vandoni RE, Cuttat JF, Wicky S, Suter M (1998) CT-guided methylene-blue labelling before thoracoscopic resection of pulmonary nodules. Eur J Cardiothorac Surg 14:265–270

    PubMed  CAS  Google Scholar 

  88. Shah RM, Spirn PW, Salazar AM, Steiner RM, Cohn HE, Solit RW, Wechsler RJ, Erdman S (1993) Localization of peripheral pulmonary nodules for thoracoscopic excision: value of CT-guided wire placement. AJR Am J Roentgenol 161:279–283

    PubMed  CAS  Google Scholar 

  89. Tan BB, Flaherty KR, Kazerooni EA, Iannettoni MD (2003) The solitary pulmonary nodule. Chest 123:89S–96S

    PubMed  Google Scholar 

  90. Gurney JW (1993) Determining the likelihood of malignancy in solitary pulmonary nodules with Bayesian analysis. Part I. Theory. Radiology 186:405–413

    PubMed  CAS  Google Scholar 

  91. Gurney JW, Lyddon DM, McKay JA (1993) Determining the likelihood of malignancy in solitary pulmonary nodules with Bayesian analysis. Part II. Application. Radiology 186:415–422

    PubMed  CAS  Google Scholar 

  92. Gurney JW, Swensen SJ (1995) Solitary pulmonary nodules: determining the likelihood of malignancy with neural network analysis. Radiology 196:823–829

    PubMed  CAS  Google Scholar 

  93. Matsuki Y, Nakamura K, Watanabe H, Aoki T, Nakata H, Katsuragawa S, Doi K (2002) Usefulness of an artificial neural network for differentiating benign from malignant pulmonary nodules on high-resolution CT: evaluation with receiver operating characteristic analysis. AJR Am J Roentgenol 178:657–663

    PubMed  Google Scholar 

  94. Cummings SR, Lillington GA, Richard RJ (1986) Estimating the probability of malignancy in solitary pulmonary nodules: aBayesian approach. Am Rev Respir Dis 134:449–452

    PubMed  CAS  Google Scholar 

  95. Quint LE, Park CH, Iannettoni MD (2000) Solitary pulmonary nodules in patients with extrapulmonary neoplasms. Radiology 217:257–261

    PubMed  CAS  Google Scholar 

  96. Ginsberg MS, Griff SK, Go BD, Yoo HH, Schwartz LH, Panicek DM (1999) Pulmonary nodules resected at video-assisted thoracoscopic surgery: etiology in 426 patients. Radiology 213:277–282

    PubMed  CAS  Google Scholar 

  97. Benjamin MS, Drucker EA, McLoud TC, Shepard JA (2003) Small pulmonary nodules: detection at chest CT and outcome. Radiology 226:489–493

    PubMed  Google Scholar 

  98. Grampp S, Bankier AA, Zoubek A, Wiesbauer P, Schroth B, Henk CB, Grois N, Mostbeck GH (2000) Spiral CT of the lung in children with malignant extra-thoracic tumors: distribution of benign vs. malignant pulmonary nodules. Eur Radiol 10:1318–1322

    PubMed  CAS  Google Scholar 

  99. Yuan Y, Matsumoto T, Hiyama A, Miura G, Tanaka N, Emoto T, Kawamura T, Matsunaga N (2003) The probability of malignancy in small pulmonary nodules coexisting with potentially operable lung cancer detected by CT. Eur Radiol 13:2447–2453

    PubMed  Google Scholar 

  100. Kim YH, Lee KS, Primack SL, Kim H, Kwon OJ, Kim TS, Kim EA, Kim J, Shim YM (2002) Small pulmonary nodules on CT accompanying surgically resectable lung cancer: likelihood of malignancy. J Thorac Imaging 17:40–46

    PubMed  Google Scholar 

  101. Keogan MT, Tung KT, Kaplan DK, Goldstraw PJ, Hansell DM (1993) The significance of pulmonary nodules detected on CT staging for lung cancer. Clin Radiol 48:94–96

    PubMed  CAS  Google Scholar 

  102. Read WL, Tierney RM, Page NC, Costas I, Govindan R, Spitznagel EL, Piccirillo JF (2004) Differential prognostic impact of comorbidity. J Clin Oncol 22:3099–3103

    PubMed  Google Scholar 

  103. MacMahon H, Austin JH, Gamsu G, Herold CJ, Jett JR, Naidich DP, Patz EF, Jr., Swensen SJ (2005) Guidelines for management of small pulmonary nodules detected on CT scans: a statement from the Fleischner Society. Radiology 237:395–400

    PubMed  Google Scholar 

  104. Bach PB, Kattan MW, Thornquist MD, Kris MG, Tate RC, Barnett MJ, Hsieh LJ, Begg CB (2003) Variations in lung cancer risk among smokers. J Natl Cancer Inst 95:470–478

    PubMed  Google Scholar 

  105. Bain C, Feskanich D, Speizer FE, Thun M, Hertzmark E, Rosner BA, Colditz GA (2004) Lung cancer rates in men and women with comparable histories of smoking. J Natl Cancer Inst 96:826–834

    PubMed  Google Scholar 

  106. Blot WJ, McLaughlin JK (2004) Are women more susceptible to lung cancer? J Natl Cancer Inst 96:812–813

    PubMed  Article  Google Scholar 

  107. Risch HA, Howe GR, Jain M, Burch JD, Holowaty EJ, Miller AB (1993) Are female smokers at higher risk for lung cancer than male smokers? A case-control analysis by histologic type. Am J Epidemiol 138:281–293

    PubMed  CAS  Google Scholar 

  108. Field RW, Steck DJ, Smith BJ, Brus CP, Fisher EL, Neuberger JS, Platz CE, Robinson RA, Woolson RF, Lynch CF (2000) Residential radon gas exposure and lung cancer: the Iowa Radon Lung Cancer Study. Am J Epidemiol 151:1091–1102

    PubMed  CAS  Google Scholar 

  109. Gottlieb LS, Husen LA (1982) Lung cancer among Navajo uranium miners. Chest 81:449–452

    PubMed  CAS  Google Scholar 

  110. Mayne ST, Buenconsejo J, Janerich DT (1999) Familial cancer history and lung cancer risk in United States nonsmoking men and women. Cancer Epidemiol Biomarkers Prev 8:1065–1069

    PubMed  CAS  Google Scholar 

  111. Bailey-Wilson JE, Amos CI, Pinney SM, Petersen GM, de Andrade M, Wiest JS, Fain P, Schwartz AG, You M, Franklin W, Klein C, Gazdar A, Rothschild H, Mandal D, Coons T, Slusser J, Lee J, Gaba C, Kupert E, Perez A, Zhou X, Zeng D, Liu Q, Zhang Q, Seminara D, Minna J, Anderson MW (2004) A major lung cancer susceptibility locus maps to chromosome 6q23-25. Am J Hum Genet 75:460–474

    PubMed  CAS  Google Scholar 

  112. Lee PN (2001) Relation between exposure to asbestos and smoking jointly and the risk of lung cancer. Occup Environ Med 58:145–153

    PubMed  CAS  Google Scholar 

  113. Swensen SJ, Jett JR, Hartman TE, Midthun DE, Sloan JA, Sykes AM, Aughenbaugh GL, Clemens MA (2003) Lung cancer screening with CT: Mayo Clinic experience. Radiology 226:756–761

    PubMed  Google Scholar 

  114. Swensen SJ, Jett JR, Hartman TE, Midthun DE, Mandrekar SJ, Hillman SL, Sykes AM, Aughenbaugh GL, Bungum AO, Allen KL (2005) CT screening for lung cancer: five-year prospective experience. Radiology 235:259–265

    PubMed  Google Scholar 

  115. Piyavisetpat N, Aquino SL, Hahn PF, Halpern EF, Thrall JH (2005) Small incidental pulmonary nodules: How useful is short-term interval CT follow-up? J Thorac Imaging 20:5–9

    PubMed  Google Scholar 

Download references

Author information

Affiliations

Authors

Corresponding author

Correspondence to Philippe A. Grenier.

Rights and permissions

Reprints and Permissions

About this article

Cite this article

Beigelman-Aubry, C., Hill, C. & Grenier, P.A. Management of an incidentally discovered pulmonary nodule. Eur Radiol 17, 449–466 (2007). https://doi.org/10.1007/s00330-006-0399-7

Download citation

  • Received:

  • Revised:

  • Accepted:

  • Published:

  • Issue Date:

  • DOI: https://doi.org/10.1007/s00330-006-0399-7

Keywords

  • Pulmonary nodule
  • Nodule characterization
  • Pulmonary adenocarcinoma
  • Bronchioloalveolar cell carcinoma
  • Non-solid nodule