Skip to main content

Imaging of penile traumas—therapeutic implications

Abstract

Injury to the penis may result from penetrating or nonpenetrating trauma. Nonpenetrating injury to the erect penis can produce albugineal tear, intracavernous hematoma or extraalbugineal hematoma from rupture of the dorsal vessels. Nonpenetrating injury to the flaccid penis usually follows blunt perineal traumas producing extratunical or cavernosal haematomas, or cavernosal artery tear followed by high flow priapism. Differential diagnosis between albugineal tear and other penile injuries must be obtained as soon as possible, since early surgical repair of albugineal tear reduces significantly the rate of postraumatic curvature and fibrosis. Ultrasonography (US) is able to detect the exact site of the tear in most patients as an interruption of the thin echogenic line of the tunica albuginea. Other imaging techniques are rarely required in the clinical practice. Color Doppler US is the imaging modality of choice to evaluate patients with high flow priapism. Focal or diffuse cavernosal fibrosis can be identified with US as echogenic areas in the cavernosal bodies. Postraumatic erectile dysfunction can result from fibrotic changes, nerve and vascular impairment or both. Doppler evaluation of penile vasculature is required in young patients with postraumatic impotence before surgical revascularization procedures.

This is a preview of subscription content, access via your institution.

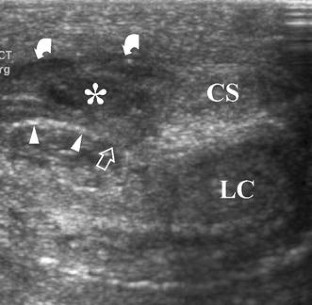
Fig. 1
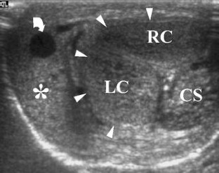
Fig. 2
Fig. 3
Fig. 4
Fig. 5
Fig. 6
Fig. 7
Fig. 8
Fig. 9
Fig. 10
Fig. 11

References

  1. Bertolotto M, Pozzi Mucelli R (2004) Nonpenetrating penile traumas: sonographic and Doppler features. Am J Roentgenol 183:1085–1089

    Google Scholar 

  2. Doubilet PM, Benson CB, Silverman SG, Gluck CD (1991) The penis. Semin Ultrasound CT MR 12:157–175

    PubMed  Google Scholar 

  3. Pavlica P, Barozzi L (1998) Ultrasound of penile tumors and trauma. Ultrasound Q 14:95–109

    Google Scholar 

  4. Benson CB, Doubilet PM, Vickers MA Jr (1991) Sonography of the penis. Ultrasound Q 9:89–109

    Google Scholar 

  5. Chapple CR (2000) Urethral injury. BJU Int 86:318–326

    Article  PubMed  Google Scholar 

  6. Pavlica P, Menchi I, Barozzi L (2003) New imaging of the anterior male urethra. Abdom Imaging 28:180–186

    Article  PubMed  Google Scholar 

  7. Pavlica P, Barozzi L, Menchi I (2003) Imaging of male urethra. Eur Radiol 13:1583–1596

    Article  PubMed  Google Scholar 

  8. Pryor JP, Hill JT, Packham DA, Yates-Bell AJ (1981) Penile injuries with particular reference to injury to the erectile tissue. Br J Urol 53:42–46

    PubMed  Google Scholar 

  9. Sylla C, Ba M, Ndoye A, Fall PA, Thiam O, Bobo Diallo A, Gueye SM, Diagne BA (2000) Penile emergencies. Ann Urol 34:203–207

    Google Scholar 

  10. Wolf JS Jr, Gomez R, McAninch JW (1992) Human bites to the penis. J Urol 147:1265–1267

    PubMed  Google Scholar 

  11. Vossough A, Pretorius ES, Siegelman ES, Ramchandani P, Banner MP (2002) Magnetic resonance imaging of the penis. Abdom Imaging 27:640–659

    Article  PubMed  Google Scholar 

  12. Levine SB, Althof SE, Turner LA, Risen CB, Bodner DR, Kursh ED, Resnick MI (1989) Side effects of self-administration of intracavernous papaverine and phentolamine for the treatment of impotence. J Urol 141:54–57

    PubMed  Google Scholar 

  13. Lehmann K, Casella R, Blochlinger A, Gasser TC (1999) Reasons for discontinuing intracavernous injection therapy with prostaglandin E1 (alprostadil). Urology 53:397–400

    Article  PubMed  Google Scholar 

  14. Witt MA, Goldstein I, Saenz de Tejada I, Greenfield A, Krane RJ (1990) Traumatic laceration of intracavernosal arteries: the pathophysiology of nonischemic, high flow, arterial priapism. J Urol 143:129–132

    PubMed  Google Scholar 

  15. Bastuba MD, Saenz de Tejada I, Dinlenc CZ, Sarazen A, Krane RJ, Goldstein I (1994) Arterial priapism: diagnosis, treatment and long-term follow-up. J Urol 151:1231–1237

    PubMed  Google Scholar 

  16. Brock G, Breza J, Lue TF, Tanagho EA (1993) High flow priapism: a spectrum of disease. J Urol 150:968–971

    PubMed  Google Scholar 

  17. Bertolotto M, Neumaier CE (1999) Penile sonography. Eur Radiol 9 (Suppl 3):S407–S412

    PubMed  Google Scholar 

  18. El-Bahnasawy MS, Gomha MA (2000) Penile fractures: the successful outcome of immediate surgical intervention. Int J Impot Res 12:273–277

    Article  PubMed  Google Scholar 

  19. Pérez EM, Esteban FA, Arbej, JAP; Gimeno, MAN, Mayor VC, Orgaz RE (1997) Fractura de pene: dos nuevos casos. Revision de literatura. Utilidad de la ecografia. Arch Esp Urol 50:1.099-091.102

    Google Scholar 

  20. Choi MH, Kim B, Ryu JA, Lee SW, Lee KS (2000) MR imaging of acute penile fracture. Radiographics 20:1397–1405

    PubMed  Google Scholar 

  21. Forman HP, Rosenberg HK, Snyder HM III (1989) Fractured penis: sonographic aid to diagnosis. Am J Roentgenol 153:1009–1010

    Google Scholar 

  22. Koga S, Saito Y, Arakaki Y, Nakamura N, Matsuoka M, Saita H, Yoshikawa M, Ohyama C (1993) Sonography in fracture of the penis. Br J Urol 72:228–229

    PubMed  Google Scholar 

  23. Armenakas NA, Hochberg DA, Fracchia JA (2001) Traumatic avulsion of the dorsal penile artery mimicking a penile fracture. J Urol 166:619

    Article  PubMed  Google Scholar 

  24. Mostafa H (1967) Rupture of the dorsal artery of the penis as a result of sexual intercourse. J Urol 97:314

    PubMed  Google Scholar 

  25. Nehru-Babu M, Hendry D, Ai-Saffar N (1999) Rupture of the dorsal vein mimicking fracture of the penis. BJU Int 84:179–180

    Article  PubMed  Google Scholar 

  26. Polo EH, Garrigos JM, Ruiz MP, Tendero PT, Marcos MS (2000) Hematoma peneano por rotura de vena dorsal profunda durante el coito. Arch Esp Urol 53:473–475

    PubMed  Google Scholar 

  27. Karadeniz T, Topsakal M, Ariman A, Erton H, Basak D (1996) Penile fracture: differential diagnosis, management and outcome. Br J Urol 77:279–281

    PubMed  Google Scholar 

  28. Hakim LS, Kulaksizoglu H, Mulligan R, Greenfield A, Goldstein I (1996) Evolving concepts in the diagnosis and treatment of arterial high flow priapism. J Urol 155:541–548

    Article  PubMed  Google Scholar 

  29. Bertolotto M, Quaia E, Pozzi Mucelli F, Ciampalini S, Forgacs B, Gattuccio I (2003) Color Doppler imaging of posttraumatic priapism before and after selective embolization. Radiographics 23:495–503

    PubMed  Google Scholar 

  30. Alvarez Gonzalez E, Pamplona M, Rodriguez A, Garcia-Hidalgo E, Nunez V, Leiva O (1994) High flow priapism after blunt perineal trauma: resolution with bucrylate embolization. J Urol 151:426–428

    PubMed  Google Scholar 

  31. Ciampalini S, Savoca G, Buttazzi L, Gattuccio I, Pozzi Mucelli F, Bertolotto M, De Stefani S, Belgrano E (2002) High-flow priapism: treatment and long-term follow-up. Urology 59:110–113

    Article  PubMed  Google Scholar 

  32. Hirsch IH, Schanne FJ, Carsello J, Bagley DH, Alexander AA (1995) Sequential penile ultrasound monitoring of patients treated with chronic intracavernous prostaglandin E1. Urology 45:1037–1041

    Article  PubMed  Google Scholar 

  33. Chew KK, Stuckey BG (2003) Clinical course of penile fibrosis in intracavernosal prostaglandin E1 injection therapy: a follow-up of 44 patients. Int J Impot Res 15:94–98

    Article  PubMed  Google Scholar 

  34. Moemen MN, Hamed HA, Kamel II, Shamloul RM, Ghanem HM (2004) Clinical and sonographic assessment of the side effects of intracavernous injection of vasoactive substances. Int J Impot Res 16:143–145

    Article  PubMed  Google Scholar 

  35. Abrahamy R, Leiter E (1980) Post-traumatic segmental corpus cavernosum fibrosis: the diagnostic value of cavernosography and the surgical correction by cavernosum-cavernosum shunt. J Urol 123:289–290

    PubMed  Google Scholar 

  36. Rao MS, Bapna BC, Vaidyanathan S (1975) Ureteral and periureteral fibrosis as delayed sequelae to lower urinary tract injury. J Urol 113:610–613

    PubMed  Google Scholar 

  37. Savoca G, Pietropaolo F, Scieri F, Bertolotto M, Pozzi Mucelli F, Belgrano E (2004) Sexual function after highly selective embolization of cavernous artery in patients with high flow priapism: long-term follow-up. J Urol 172:644–647

    Article  PubMed  Google Scholar 

  38. Bertolotto M, de Stefani S, Martinoli C, Quaia E, Buttazzi L (2002) Color Doppler appearance of penile cavernosal-spongiosal communications in patients with severe Peyronie’s disease. Eur Radiol 12:2525–2531

    PubMed  Google Scholar 

  39. Machtens S, Gansslen A, Pohlemann T, Stief CG (2001) Erectile dysfunction in relation to traumatic pelvic injuries or pelvic fractures. BJU Int 87:441–448

    Article  PubMed  Google Scholar 

  40. Meuleman EJ, Bemelmans BL, van Asten WN, Doesburg WH, Skotnicki SH, Debruyne FM (1992) Assessment of penile blood flow by duplex ultrasonography in 44 men with normal erectile potency in different phases of erection. J Urol 147:51–56

    PubMed  Google Scholar 

  41. Schwartz AN, Lowe M, Berger RE, Wang KY, Mack LA, Richardson ML (1991) Assessment of normal and abnormal erectile function: color Doppler flow sonography versus conventional techniques. Radiology 180:105–109

    PubMed  Google Scholar 

  42. Fitzgerald SW, Erickson SJ, Foley WD, Lipchik EO, Lawson TL (1992) Color Doppler sonography in the evaluation of erectile dysfunction. Radiographics 12:3–19

    PubMed  Google Scholar 

  43. Hauri D (1998) A critical review of penile revascularization procedures. Urol Int 60:133–146

    PubMed  Google Scholar 

  44. Bertolotto M, Serafini G, Savoca G, Liguori G, Calderan L, Gasparini C, Pozzi Mucelli R (2005) Color Doppler US of the postoperative penis: anatomy and surgical complications. Radiographics 25:731–748

    PubMed  Google Scholar 

  45. Levine FJ, Greenfield AJ, Goldstein I (1990) Arteriographically determined occlusive disease within the hypogastric-cavernous bed in impotent patients following blunt perineal and pelvic trauma. J Urol 144:1147–1153

    PubMed  Google Scholar 

Download references

Author information

Affiliations

Authors

Corresponding author

Correspondence to Michele Bertolotto.

Rights and permissions

Reprints and Permissions

About this article

Cite this article

Bertolotto, M., Calderan, L. & Cova, M.A. Imaging of penile traumas—therapeutic implications. Eur Radiol 15, 2475–2482 (2005). https://doi.org/10.1007/s00330-005-2900-0

Download citation

  • Received:

  • Revised:

  • Accepted:

  • Published:

  • Issue Date:

  • DOI: https://doi.org/10.1007/s00330-005-2900-0

Keywords

  • Penis
  • Penis, traumas
  • Penis, injuries
  • Penis, US
  • Penis, diseases