Skip to main content

Assessment of MRI and MRCP in diagnosis of biliary cystadenoma and cystadenocarcinoma

Abstract

Magnetic resonance imaging (MRI) and magnetic resonance cholangio-pancreatography (MRCP) features were analyzed in the diagnosis of seven surgically resected hepatobiliary cystic tumors with reference to histopathological data. Homogeneity, size, location, signal intensity, presence or absence of septa and/or nodules and MRCP features of the lesions were studied. Histological evidence demonstrated six biliary cystadenoma (BCA) including four pseudo-ovarian stroma (POS) and one biliary cystadenocarcinoma (BCAC). Cystic lesions (3–15 cm in diameter) were homogeneous in the six BCA, heterogeneous in the one BCAC, and were located in the left and right liver, respectively. On T2-weighted images all lesions were hyperintense. On T1-weighted images hypointensity was found in three BCA (all serous fluid, including one POS), isointensity was found in the three others (two mucinous and one hemorrhagic fluid, including three POS) and in the one BCAC (containing mucinous fluid). Septas were present in all cases and nodules only in the one BCAC. On MRCP a hyperintense cystic lesion was found in all cases and a bile ducts dilatation in two BCA and the one BCAC. Gadolinium-enhanced MRI in combination with MRCP is a valuable tool for the diagnosis of BCA or BCAC. However, no specific information is gained for POS detection.

This is a preview of subscription content, access via your institution.

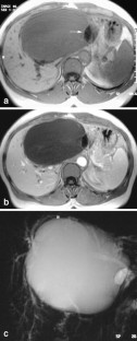
Fig. 1
Fig. 2
Fig. 3
Fig. 4

References

  1. Mortelé KJ, Ros PR (2001) Cystic focal liver lesions in the adult: differential CT and MR imaging features. Radiographics 21:895–910

    PubMed  Google Scholar 

  2. Läuffer JM, Baer HU, Maurer CA, Stoupis C, Zimmerman A, Büchler MW (1998) Biliary cystadenocarcinoma of the liver: the need for complete resection. Eur J Cancer 34:1845–1851

    Article  PubMed  Google Scholar 

  3. Buetow PC, Buck JL, Pantongrag-Brown L et al (1995) Biliary cystadenoma and cystadenoarcioma: clinical-imaging-pathologic correlation with emphasis on the importance of ovarian stroma. Radiology 196:805–810

    CAS  PubMed  Google Scholar 

  4. Korobkin M, Stephens D, Lee J et al (1989) Biliary cystadenoma and cystadenocarcinoma: CT and sonographics findings. Am J Roentgenol 153:507–511

    CAS  Google Scholar 

  5. Williams DM, Vitellas KM, Sheafor D (2001) Biliary cystadenocarcinoma: seven year follow-up and the role of MRI and MRCP. Magn Reson Imaging 19:1203–1208

    Article  CAS  PubMed  Google Scholar 

  6. Frahm C, Zimmermann A, Heller M, Brossmann J (2001) Uncommon presentation of a giant biliary cystadenoma: correlation between MRI and pathologic findings. J Magn Reson Imaging 14:649–652

    Article  CAS  PubMed  Google Scholar 

  7. Koffron A, Rao S, Ferrario M, Abecassis M (2004) Intrahepatic biliary cystadenoma: role of cyst fluid analysis and surgical management in the laparoscopic era. Surgery 136:926–936

    Article  PubMed  Google Scholar 

  8. Chatelain D, Chailley-Heu B, Terris B et al (2000) The ciliated hepatic foregut cyst, an unusual bronchiolar foregut malformation: a histological, histochemical, and immunohistochemical study of 7 cases. Hum Pathol 31:241–246

    CAS  PubMed  Google Scholar 

  9. Thomas JA, Scriven MW, Puntis MC, Jasani B, Williams GT (1992) Elevated serum CA 19–9 levels in hepatobiliary cystadenoma with mesenchymal stroma. Two case reports with immunohistochemical confirmation. Cancer 70:1841–1846

    CAS  PubMed  Google Scholar 

  10. Lee JH, Chen DR, Pang SC, Lai YS (1996) Mucinous biliary cystadenoma with mesenchymal stroma: expressions of CA 19–9 and carcinoembryonic antigen in serum and cystic fluid. J Gastroenterol 31:732–736

    Article  CAS  PubMed  Google Scholar 

  11. Kim K, Choi J, Park Y, Lee W, Kim B (1998) Biliary cystadenoma of the liver. J Hepatobiliary Pancreat Surg 5:348–352

    Article  CAS  PubMed  Google Scholar 

  12. Choi BI, Lim JH, Han MC et al (1989) Biliary cystadenoma and cystadenocarcinoma CT and sonographic findings. Radiology 171:57–61

    CAS  PubMed  Google Scholar 

  13. Matsumato S, Miyake H, Mori (1997) Case report: biliary cystadenoma with mucin-secretion mimickig a simple hepatic cyst. Clin Radiol 52:316–318

    Article  PubMed  Google Scholar 

  14. Soyer P, Bluemke DA, Fishman EK, Rymer R (1998) Fluid-fluid levels within focal hepatic lesions: imaging apperance and etiology. Abdom Imaging 23:161–165

    Article  CAS  PubMed  Google Scholar 

  15. Gabata T, Kadoya M, Matsui O et al (1998) Biliary cystadenoma with mesenchymal stroma of the liver: correlation between unusual MR appearance and pathologic findings. J Magn Reson Imaging 8:503–504

    CAS  PubMed  Google Scholar 

  16. Zech CJ, Schoenberg SO, Reiser M, Helmberger T (2004) Cross-sectional imaging of biliary tumors: current clinical status and future developments. Eur Radiol 14:1174–1187

    Article  PubMed  Google Scholar 

  17. Vuillemin-Bodaghi V, Zins M, Vullierme MP et al (1997) Imaging of atypical cystic lesions of the liver. Review of 26 surgical cases. Gastroenterol Clin Biol 21:394–399

    CAS  PubMed  Google Scholar 

Download references

Author information

Affiliations

Authors

Corresponding author

Correspondence to Maïté Lewin.

Rights and permissions

Reprints and Permissions

About this article

Cite this article

Lewin, M., Mourra, N., Honigman, I. et al. Assessment of MRI and MRCP in diagnosis of biliary cystadenoma and cystadenocarcinoma. Eur Radiol 16, 407–413 (2006). https://doi.org/10.1007/s00330-005-2822-x

Download citation

  • Received:

  • Revised:

  • Accepted:

  • Published:

  • Issue Date:

  • DOI: https://doi.org/10.1007/s00330-005-2822-x

Keywords

  • Bile ducts
  • Neoplasms
  • Liver neoplasms
  • Magnetic resonance
  • Liver neoplasms