Skip to main content

Pathologies of the uterine endometrial cavity: usual and unusual manifestations and pitfalls on magnetic resonance imaging

Abstract

The endometrial cavity may demonstrate various imaging manifestations such as normal, reactive, inflammatory, and benign and malignant neoplasms. We evaluated usual and unusual magnetic resonance imaging (MRI) findings of the uterine endometrial cavity, and described the diagnostic clues to differential diagnoses. Surgically proven pathologies of the uterine endometrial cavity were evaluated retrospectively with pathologic correlation. The pathologies included benign endometrial neoplasms such as endometrial hyperplasia and polyp, malignant endometrial neoplasms such as endometrial carcinoma and carcinosarcoma, endometrial–myometrial neoplasm such as endometrial stromal sarcoma, pregnancy-related lesions in the endometrial cavity such as gestational trophoblastic diseases (hydatidiform mole, invasive mole and choriocarcinoma) and placental polyp, myometrial lesions simulating endometrial lesions such as submucosal leiomyoma and some adenomyosis, endometrial neoplasms simulating myometrial lesions such as adenomyomatous polyp and endometrial lesions arising in the hemicavity of a septate/bicornate uterus, and fluid collections in the uterine cavity (hydro/hemato/pyometra). It is important to recognize various imaging findings in these diseases, in order to make a correct preoperative diagnosis.

This is a preview of subscription content, access via your institution.

Fig. 1
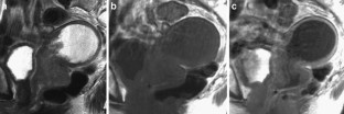
Fig. 2
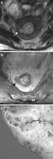
Fig. 3
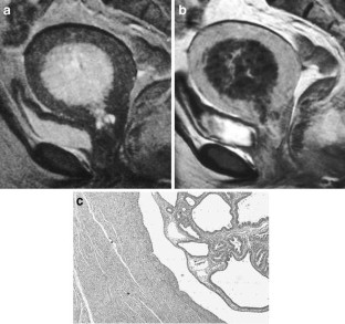
Fig. 4
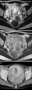
Fig. 5
Fig. 6
Fig. 7
Fig. 8
Fig. 9
Fig. 10
Fig. 11
Fig. 12
Fig. 13
Fig. 14
Fig. 15
Fig. 16
Fig. 17

Abbreviations

MRI:

magnetic resonance imaging

T2-WI:

T2-weighted image

T1-WI:

T1-weighted image

SEE:

subendometrial enhancement

LGSS:

low-grade stromal sarcoma

HGSS :

high-grade stromal sarcoma

GTD:

gestational trophoblastic diseases

hCG:

human chorionic gonadotropin

References

  1. Kurman RJ, Mazur MT (1994) Benign diseases of the endometrium. In: Kurman RJ (ed) Blaustein’s pathology of the female genital tract, 4th edn. Springer, Berlin Heidelberg New York, pp 367–409

    Google Scholar 

  2. Grasel RP, Outwater EK, Siegelman ES, Capuzzi D, Parker L, Hussain SM (2000) Endometrial polyps: MR imaging features and distinction from endometrial carcinoma. Radiology 214:47–52

    CAS  PubMed  Google Scholar 

  3. Kurman RJ, Norris HJ (1994) Endometrial hyperplasia and related cellular changes. In: Kurman RJ (ed) Blaustein’s pathology of the female genital tract, 4th edn. Springer, Berlin Heidelberg New York, pp 411–437

    Google Scholar 

  4. Ascher SM, Imaoka I, Lage JM (2000) Tamoxifen-induced uterine abnormalities: the role of imaging. Radiology 214:29–38

    CAS  PubMed  Google Scholar 

  5. Sironi S, Colombo E, Villa G, Taccagni G, Belloni C, Garancini P, DelMaschio A (1992) Myometrial invasion by endometrial carcinoma: assessment with plain and gadolinium-enhanced MR imaging. Radiology 185:207–212

    CAS  PubMed  Google Scholar 

  6. Kurman RJ, Zaino RJ, Norris HJ (1994) Endometrial carcinoma. In: Kurman RJ (ed) Blaustein’s pathology of the female genital tract, 4th edn. Springer, Berlin Heidelberg New York, pp 439–486

    Google Scholar 

  7. Lien HH, Blomlie V, Trope C, Kaern J, Abeler VM (1991) Cancer of the endometrium: value of MR imaging in determining depth of invasion into the myometrium. Am J Roentgenol 157:1221–1223

    CAS  Google Scholar 

  8. Imaoka I, Sugimura K, Masui T, Takehara Y, Ichijo K, Naito M (1999) Abnormal uterine cavity: differential diagnosis with MR imaging. Magn Reson Imaging 17:1445–1455

    Article  CAS  PubMed  Google Scholar 

  9. Yamashita Y, Harada M, Sawada T, Takahashi M, Miyazaki K, Okamura H (1993) Normal uterus and FIGO stage I endometrial carcinoma: dynamic gadolinium-enhanced MR imaging. Radiology 186:495–501

    CAS  PubMed  Google Scholar 

  10. Joja I, Asakawa M, Asakawa T, Nakagawa T, Kanazawa S, Kuroda M, Togami I, Hiraki Y, Akamatsu N, Kudo T (1996) Endometrial carcinoma: dynamic MRI with turbo-FLASH technique. J Comput Assist Tomogr 20:878–887

    Article  CAS  PubMed  Google Scholar 

  11. Tanaka YO, Nishida M, Tsunoda H, Ichikawa Y, Saida Y, Itai Y (2003) A thickened or indistinct junctional zone on T2-weighted MR images in patients with endometrial carcinoma: pathologic consideration based on microcirculation. Eur Radiol 13:2038–2045

    Article  PubMed  Google Scholar 

  12. Zaloudek C, Norris HJ (1994) Mesenchymal tumors of the uterus. In: Kurman RJ (ed) Blaustein’s pathology of the female genital tract, 4th edn. Springer, Berlin Heidelberg New York, pp 487–528

    Google Scholar 

  13. Sahdev A, Sohaib SA, Jacobs I, Shepherd JH, Oram DH, Reznek RH (2001) MR imaging of uterine sarcomas. Am J Roentgenol 177:1307–1311

    CAS  Google Scholar 

  14. Shapeero LG, Hricak H (1989) Mixed mullerian sarcoma of the uterus: MR imaging findings. Am J Roentgenol 153:317–319

    CAS  Google Scholar 

  15. Gandolfo N, Gandolfo NG, Serafini G, Martinoli C (2000) Endometrial stromal sarcoma of the uterus: MR and US findings. Eur Radiol 10:776–779

    Article  CAS  PubMed  Google Scholar 

  16. Koyama T, Togashi K, Konishi I, Kobayashi H, Ueda H, Kataoka ML, Kobayashi H, Itoh T, Higuchi T, Fujii S, Konishi J (1999) MR imaging of endometrial stromal sarcoma: correlation with pathologic findings. Am J Roentgenol 173:767–772

    CAS  Google Scholar 

  17. Ueda M, Otsuka M, Hatakenaka M, Sakai S, Ono M, Yoshimitsu K, Honda H, Torii Y (2001) MR imaging findings of uterine endometrial stromal sarcoma: differentiation from endometrial carcinoma. Eur Radiol 11:28–33

    Article  CAS  PubMed  Google Scholar 

  18. Barton JW, McCarthy SM, Kohorn EI, Scoutt LM, Lange RC (1993) Pelvic MR imaging findings in gestational trophoblastic disease, incomplete abortion, and ectopic pregnancy: are they specific? Radiology 186:163–168

    CAS  PubMed  Google Scholar 

  19. Preidler KW, Luschin G, Tamussino K, Szolar DM, Stiskal M, Ebner F (1996) Magnetic resonance imaging in patients with gestational trophoblastic disease. Invest Radiol 31:492–496

    Article  CAS  PubMed  Google Scholar 

  20. Green CL, Angtuaco TL, Shah HR, Parmley TH (1996) Gestational trophoblastic disease: a spectrum of radiologic diagnosis. Radiographics 16:1371–1384

    CAS  PubMed  Google Scholar 

  21. Wagner BJ, Woodward PJ, Dickey GE (1996) From the archives of the AFIP. Gestational trophoblastic disease: radiologic-pathologic correlation. Radiographics 16:131–148

    CAS  PubMed  Google Scholar 

  22. Mazur MT, Kurman RJ (1994) Gestational trophoblastic disease and related lesions In: Kurman RJ (ed) Blaustein’s pathology of the female genital tract, 4th edn. Springer, Berlin Heidelberg New York, pp 1049–1093

    Google Scholar 

  23. Kurachi H, Maeda T, Murakami T, Tsuda K, Sakata M, Nakamura H, Miyake A (1995) MRI of placental polyps. J Comput Assist Tomogr 19:444–448

    CAS  PubMed  Google Scholar 

  24. Tanaka YO, Shigemitsu S, Ichikawa Y, Sohda S, Yoshikawa H, Itai Y (2004) Postpartum MR diagnosis of retained placenta accreta. Eur Radiol 14:945–952

    Article  PubMed  Google Scholar 

  25. Ueda H, Togashi K, Konishi I, Kataoka ML, Koyama T, Fujiwara T, Kobayashi H, Fujii S, Konishi J (1999) Unusual appearances of uterine leiomyomas: MR imaging findings and their histopathologic backgrounds. Radiographics 19(Spec No):S131–S145

    PubMed  Google Scholar 

  26. Reinhold C, Tafazoli F, Mehio A, Wang L, Atri M, Siegelman ES, Rohoman L (1999) Uterine adenomyosis: endovaginal US and MR imaging features with histopathologic correlation. Radiographics 19 (Spec No):S147–160

    PubMed  Google Scholar 

  27. Yamashita Y, Torashima M, Hatanaka Y, Takahashi M, Fukumatsu K, Tanaka N, Miyazaki K, Okamura H (1995) MR imaging of atypical polypoid adenomyoma. Comput Med Imaging Graph 19:351–355

    Article  CAS  PubMed  Google Scholar 

Download references

Author information

Affiliations

Authors

Corresponding author

Correspondence to Mayumi Takeuchi.

Additional information

This paper was presented at ECR 2004 (C-407) and awarded Magna Cum Laude

Rights and permissions

Reprints and Permissions

About this article

Cite this article

Takeuchi, M., Matsuzaki, K., Uehara, H. et al. Pathologies of the uterine endometrial cavity: usual and unusual manifestations and pitfalls on magnetic resonance imaging. Eur Radiol 15, 2244–2255 (2005). https://doi.org/10.1007/s00330-005-2814-x

Download citation

  • Received:

  • Revised:

  • Accepted:

  • Published:

  • Issue Date:

  • DOI: https://doi.org/10.1007/s00330-005-2814-x

Keywords

  • Uterus
  • Neoplasm
  • MRI