Skip to main content

Radiological imaging of inflammatory lesions in the nasal cavity and paranasal sinuses

Abstract

Paranasal sinus development and pneumatisation variants are described, and rhinosinusitis and different patterns of inflammatory sinonasal diseases are reviewed. Other inflammatory sinonasal diseases, e.g., fungal sinusitis, mucocele, pyocele and sinonasal manifestations in systemic diseases, are briefly described. Computed tomography (CT) is the primary modality in diagnosing and mapping suspected inflammatory sinonasal disease. Magnetic resonance (MR) imaging is complementary to CT if fungal sinusitis, pyocele or malignancy are suspected.

This is a preview of subscription content, access via your institution.

Fig. 1
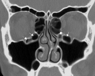
Fig. 2
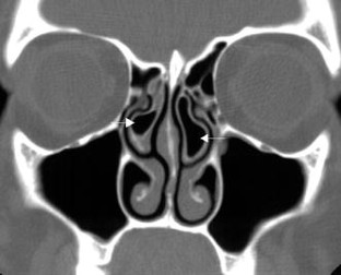
Fig. 3
Fig. 4
Fig. 5
Fig. 6
Fig. 7
Fig. 8
Fig. 9
Fig. 10
Fig. 11
Fig. 12
Fig. 13
Fig. 14
Fig. 15
Fig. 16
Fig. 17

References

  1. Mosher H (1929) The symposium of the ethmoid - a surgical anatomy of the ethmoidal labyrinth. Trans Am Acad Ophtalmol Otolaryngol 34:376–410

    Google Scholar 

  2. Anderhuber W, Weiglein A, Wolf G (1992) Nasal cavities and paranasal sinuses in newborns and children. Acta Anat (Basel) 144:120–126

    CAS  Google Scholar 

  3. Fujioka M, Young LW (1978) The sphenoidal sinuses: radiographic patterns of normal development and abnormal findings in infants and children. Radiology 129:133

    PubMed  CAS  Google Scholar 

  4. Wolf G, Anderhuber W, Kuhn F (1993) Development of the paranasal sinuses in children: implications for paranasal sinus surgery. Ann Otol Rhinol Laryngol 102:705–711

    PubMed  CAS  Google Scholar 

  5. Earwaker J (1993) Anatomic variants in sinonasal CT. Radiographics 13:381–415

    PubMed  CAS  Google Scholar 

  6. Szolar D, Preidler K, Ranner G, Braun H, Kugler C, Wolf G, Stammberger H, Ebner F (1994) The sphenoid sinus during childhood: establishment of normal developmental standards by MRI. Surg Radiol Anat 16:193–198

    Article  PubMed  CAS  Google Scholar 

  7. Libersa C, Laude M, Libersa J-C (1981) The pneumatization of the accessory cavities of the nasal fossae during growth. Anat Clin 2:265–273

    Article  Google Scholar 

  8. Kim HJ, Friedman EM, Sulek M, Duncan NO, McCluggage C (1997) Paranasal sinus development in chronic sinusitis, cystic fibrosis, and normal comparison population: a computerized tomography correlation study. Am J Rhin 11:275–281

    Article  CAS  Google Scholar 

  9. Wasson WW (1933) Changes in the nasal accessory sinuses after birth. Arch Otolaryngol 17:197–211

    Google Scholar 

  10. Milczuk HA, Dalley RW, Wessbacher FW, Richardson MA (1993) Nasal and paranasal sinus anomalies in children with chronic sinusitis. Laryngoscope 103:247–252

    Article  PubMed  CAS  Google Scholar 

  11. Aoki S, Dillon WP, Barkovich AJ, Norman D (1989) Marrow conversion before pneumatization of the sphenoid sinus: assessment with MR imaging. Radiology 172:373–375

    PubMed  CAS  Google Scholar 

  12. Szolar D, Preidler K, Ranner G, Braun H, Kern R, Wolf G, Stammberger H, Ebner F (1994) Magnetic resonance assessment of age-related development of the sphenoid sinus. Br J Radiol 67:431–435

    PubMed  CAS  Google Scholar 

  13. Giacchi RJ, Lebowitz RA, Yee HT, Light JP, Jacobs JB (2001) Histopathologic evaluation of the ethmoid bone in chronic sinusitis. Am J Rhin 15:193–197

    Article  CAS  Google Scholar 

  14. Mair EA, Bolger WE, Breisch EA (1995) Sinus and facial growth after pediatric endoscopic sinus surgery. Arch Otolaryngol Head Neck Surg 121:547–552

    PubMed  CAS  Google Scholar 

  15. Kosko JR, Hall BE, Tunkel DE (1996) Acquired maxillary sinus hypoplasia: a consequence of endoscopic sinus surgery? Laryngoscope 106:1210–1213

    Article  PubMed  CAS  Google Scholar 

  16. Eggesbø HB, Søvik S, Dølvik S, Eiklid K, Kolmannskog F (2001) CT characterization of developmental variations of the paranasal sinuses in cystic fibrosis. Acta Radiol 42:482–493

    Article  PubMed  Google Scholar 

  17. Kosling S, Wagner F, Schulz HG, Heywang-Kobrunner S (1993) Osseous variations in the coronary CT of the paranasal sinuses. Rofo Fortschr Geb Rontgenstr Neuen Bildgeb Verfahr 159:506–510

    PubMed  CAS  Google Scholar 

  18. Kaliner MA, Osguthorpe JD, Fireman P, Anon J, Georgitis J, Davis ML, Naclerio R, Kennedy D (1997) Sinusitis: bench to bedside. Current findings, future directions. Otolaryngol Head Neck Surg 116:S1–S20

    Article  PubMed  CAS  Google Scholar 

  19. Eggesbo HB, Ringertz S, Haanaes OC, Dolvik S, Erichsen A, Stiris M, Kolmannskog F (1999) CT and MR imaging of the paranasal sinuses in cystic fibrosis. Correlation with microbiological and histopathological results. Acta Radiol 40:154–162

    PubMed  CAS  Google Scholar 

  20. Rao VM, el-Noueam KI (1998) Sinonasal imaging. Anatomy and pathology. Radiol Clin North Am 36:921–939, vi

    Article  PubMed  CAS  Google Scholar 

  21. Rak KM, Newell JDd, Yakes WF, Damiano MA, Luethke JM (1991) Paranasal sinuses on MR images of the brain: significance of mucosal thickening. Am J Roentgenol 156:381–384

    CAS  Google Scholar 

  22. Zinreich SJ, Kennedy DW, Kumar AJ, Rosenbaum AE, Arrington JA, Johns ME (1988) MR imaging of normal nasal cycle: comparison with sinus pathology. J Comput Assist Tomogr 12:1014–1019

    PubMed  CAS  Google Scholar 

  23. Zinreich SJ (1992) Imaging of the nasal cavity and paranasal sinuses. Curr Opin Radiol 4:112–116

    PubMed  CAS  Google Scholar 

  24. Ramadan HH, Sanclement JA, Thomas JG (2005) Chronic rhinosinusitis and biofilms. Otolaryngol Head Neck Surg 132:414–417

    Article  PubMed  Google Scholar 

  25. Hilding AC (1966) Perspective and history of investigation of cilia in human disease. Am Rev Respir Dis 93(Suppl):178–181

    PubMed  Google Scholar 

  26. Stammberger HR, Kennedy DW (1995) Paranasal sinuses:anatomic terminology and nomenclature. The Anatomic Terminology Group. Ann Otol Rhinol Laryngol Suppl 167:7–16

    PubMed  CAS  Google Scholar 

  27. Scribano E, Ascenti G, Loria G, Cascio F, Gaeta M (1997) The role of the ostiomeatal unit anatomic variations in inflammatory disease of the maxillary sinuses. Eur J Radiol 24:172–174

    Article  PubMed  CAS  Google Scholar 

  28. Yousem DM (1993) Imaging of sinonasal inflammatory disease. Radiology 188:303–314

    PubMed  CAS  Google Scholar 

  29. Zeifer B (1998) Update on sinonasal imaging: anatomy and inflammatory disease. Neuroimaging Clin N Am 8:607–630

    PubMed  CAS  Google Scholar 

  30. Unlu HH, Akyar S, Caylan R, Nalca Y (1994) Concha bullosa. J Otolaryngol 23:23–27

    PubMed  CAS  Google Scholar 

  31. Brunner E, Jacobs JB, Shpizner BA, Lebowitz RA, Holliday RA (1996) Role of the agger nasi cell in chronic frontal sinusitis. Ann Otol Rhinol Laryngol 105:694–700

    PubMed  CAS  Google Scholar 

  32. Ferrie JC, Vandermarq P, Azais O, Klossek JM, Drouineau J (1993) High-resolution CT: preoperative assessment of chronic and recurrent rhinosinusitis. Eur Radiol 3:150–155

    Article  Google Scholar 

  33. Eggesbo HB, Sovik S, Dolvik S, Kolmannskog F (2002) CT characterization of inflammatory paranasal sinus disease in cystic fibrosis. Acta Radiol 43:21–28

    Article  PubMed  Google Scholar 

  34. Mantoni M, Larsen P, Hansen H, Tos M, Berner B, Orntoft S (1996) Coronal CT of the paranasal sinuses before and after functional endoscopic sinus surgery. Eur Radiol 6:920–924

    Article  PubMed  CAS  Google Scholar 

  35. Bachert C (1986) [Experimental studies of the effect of nasal respiratory obstruction on ventilation of the maxillary sinus]. Laryngol Rhinol Otol (Stuttg) 65:250–255

    CAS  Google Scholar 

  36. Messerklinger W (1994) Background and evolution of endoscopic sinus surgery. Ear Nose Throat J 73:449–450

    PubMed  CAS  Google Scholar 

  37. Rudack C, Stoll W, Bachert C (1998) Cytokines in nasal polyposis, acute and chronic sinusitis. Am J Rhinol 12:383–388

    Article  PubMed  CAS  Google Scholar 

  38. Lefevere L, Willems T, Lindberg S, Jorissen M (2000) Nasal nitric oxide. Acta Otorhinolaryngol Belg 54:271–280

    PubMed  CAS  Google Scholar 

  39. Lundberg JO, Farkas-Szallasi T, Weitzberg E, Rinder J, Lidholm J, Anggaard A, Hokfelt T, Lundberg JM, Alving K (1995) High nitric oxide production in human paranasal sinuses. Nat Med 1:370–373

    Article  PubMed  CAS  Google Scholar 

  40. Mancinelli RL, McKay CP (1983) Effects of nitric oxide and nitrogen dioxide on bacterial growth. Appl Environ Microbiol 46:198–202

    PubMed  CAS  Google Scholar 

  41. Lundberg JO (1996) Airborne nitric oxide: inflammatory marker and aerocrine messenger in man. Acta Physiol Scand Suppl 633:1–27

    PubMed  CAS  Google Scholar 

  42. Jain B, Rubinstein I, Robbins RA, Leise KL, Sisson JH (1993) Modulation of airway epithelial cell ciliary beat frequency by nitric oxide. Biochem Biophys Res Commun 191:83–88

    Article  PubMed  CAS  Google Scholar 

  43. Kim JW, Min YG, Rhee CS, Lee CH, Koh YY, Rhyoo C, Kwon TY, Park SW (2001) Regulation of mucociliary motility by nitric oxide and expression of nitric oxide synthase in the human sinus epithelial cells. Laryngoscope 111:246–250

    Article  PubMed  CAS  Google Scholar 

  44. Djupesland PG, Chatkin JM, Qian W, Haight JS (2001) Nitric oxide in the nasal airway: a new dimension in otorhinolaryngology. Am J Otolaryngol 22:19–32

    Article  PubMed  CAS  Google Scholar 

  45. Lundberg JO, Weitzberg E (1999) Nasal nitric oxide in man. Thorax 54:947–952

    PubMed  CAS  Article  Google Scholar 

  46. Benninger MS, Ferguson BJ, Hadley JA, Hamilos DL, Jacobs M, Kennedy DW, Lanza DC, Marple BF, Osguthorpe JD, Stankiewicz JA, Anon J, Denneny J, Emanuel I, Levine H (2003) Adult chronic rhinosinusitis: definitions, diagnosis, epidemiology, and pathophysiology. Otolaryngol Head Neck Surg 129:S1–S32

    Article  PubMed  Google Scholar 

  47. Lanza DC, Kennedy DW (1997) Adult rhinosinusitis defined. Otolaryngol Head Neck Surg 117:S1–S7

    Article  PubMed  CAS  Google Scholar 

  48. Gwaltney JM Jr, Phillips CD, Miller RD, Riker DK (1994) Computed tomographic study of the common cold. N Engl J Med 330:25–30

    Article  PubMed  Google Scholar 

  49. (1997) Report of the Rhinosinusitis Task Force Committee Meeting. Alexandria, Virginia, August 17, 1996. Otolaryngol Head Neck Surg 117:S1–S68

  50. Stewart MG, Johnson RF (2004) Chronic sinusitis: symptoms versus CT scan findings. Curr Opin Otolaryngol Head Neck Surg 12:27–29

    Article  PubMed  Google Scholar 

  51. Hwang PH, Irwin SB, Griest SE, Caro JE, Nesbit GM (2003) Radiologic correlates of symptom-based diagnostic criteria for chronic rhinosinusitis. Otolaryngol Head Neck Surg 128:489–496

    Article  PubMed  Google Scholar 

  52. Pruna X (2003) Morpho-functional evaluation of osteomeatal complex in chronic sinusitis by coronal CT. Eur Radiol 13:1461–1468

    PubMed  Google Scholar 

  53. Bhattacharyya N, Fried MP (2003) The accuracy of computed tomography in the diagnosis of chronic rhinosinusitis. Laryngoscope 113:125–129

    Article  PubMed  Google Scholar 

  54. Orlandi RR, Terrell JE (2002) Analysis of the adult chronic rhinosinusitis working definition. Am J Rhinol 16:7–10

    PubMed  Google Scholar 

  55. Cryer J, Schipor I, Perloff JR, Palmer JN (2004) Evidence of bacterial biofilms in human chronic sinusitis. ORL J Otorhinolaryngol Relat Spec 66:155–158

    PubMed  Google Scholar 

  56. Post JC, Stoodley P, Hall-Stoodley L, Ehrlich GD (2004) The role of biofilms in otolaryngologic infections. Curr Opin Otolaryngol Head Neck Surg 12:185–190

    Article  PubMed  Google Scholar 

  57. Som PM, Dillon WP, Fullerton GD, Zimmerman RA, Rajagopalan B, Marom Z (1989) Chronically obstructed sinonasal secretions: observations on T1 and T2 shortening. Radiology 172:515–520

    PubMed  CAS  Google Scholar 

  58. Fellows DW, King VD, Conturo T, Bryan RN, Merz WG, Zinreich SJ (1994) In vitro evaluation of MR hypointensity in Aspergillus colonies. AJNR Am J Neuroradiol 15:1139–1144

    PubMed  CAS  Google Scholar 

  59. Zinreich SJ, Kennedy DW, Malat J, Curtin HD, Epstein JI, Huff LC, Kumar AJ, Johns ME, Rosenbaum AE (1988) Fungal sinusitis: diagnosis with CT and MR imaging. Radiology 169:439–444

    PubMed  CAS  Google Scholar 

  60. Shankar L, Evans K, Hawke M, Stammberger H (1994) An atlas of imaging of the paranasal sinuses. Martin Dunitz Ltd, London

  61. Blackshaw G, Thomson N (1990) Pott’s puffy tumour reviewed. J Laryngol Otol 104:574–577

    PubMed  CAS  Article  Google Scholar 

  62. Bilaniuk LT, Zimmerman RA (1980) Computer-assisted tomography: sinus lesions with orbital involvement. Head Neck Surg 2:293–301

    Article  PubMed  CAS  Google Scholar 

  63. Rothstein J, Maisel RH, Berlinger NT, Wirtschafter JD (1984) Relationship of optic neuritis to disease of the paranasal sinuses. Laryngoscope 94:1501–1508

    PubMed  CAS  Google Scholar 

  64. Clayman GL, Adams GL, Paugh DR, Koopmann CF, Jr (1991) Intracranial complications of paranasal sinusitis: a combined institutional review. Laryngoscope 101:234–239

    Article  PubMed  CAS  Google Scholar 

  65. Kaufman DM, Litman N, Miller MH (1983) Sinusitis: induced subdural empyema. Neurology 33:123–132

    PubMed  CAS  Google Scholar 

  66. Carter BL, Bankoff MS, Fisk JD (1983) Computed tomographic detection of sinusitis responsible for intracranial and extracranial infections. Radiology 147:739–742

    PubMed  CAS  Google Scholar 

  67. Eustis HS, Mafee MF, Walton C, Mondonca J (1998) MR imaging and CT of orbital infections and complications in acute rhinosinusitis. Radiol Clin North Am 36:1165–1183, xi

    Article  PubMed  CAS  Google Scholar 

  68. Hahnel S, Ertl-Wagner B, Tasman AJ, Forsting M, Jansen O (1999) Relative value of MR imaging as compared with CT in the diagnosis of inflammatory paranasal sinus disease. Radiology 210:171–176

    PubMed  CAS  Google Scholar 

  69. Som PM, Dillon WP, Curtin HD, Fullerton GD, Lidov M (1990) Hypointense paranasal sinus foci: differential diagnosis with MR imaging and relation to CT findings. Radiology 176:777–781

    PubMed  CAS  Google Scholar 

  70. Harnsberger HR, Babbel RW, Davis WL (1991) The major obstructive inflammatory patterns of the sinonasal region seen on screening sinus computed tomography. Semin Ultrasound CT MR 12:541–560

    PubMed  CAS  Google Scholar 

  71. Mafee MF, Chow JM, Meyers R (1993) Functional endoscopic sinus surgery: anatomy, CT screening, indications, and complications. AJR 160:735–744

    PubMed  CAS  Google Scholar 

  72. Zinreich SJ (1990) Paranasal sinus imaging. Otolaryngol Head Neck Surg 103:863–868; discussion 868–869

    PubMed  CAS  Google Scholar 

  73. Duvoisin B, Landry M, Chapuis L, Krayenbuhl M, Schnyder P (1991) Low-dose CT and inflammatory disease of the paranasal sinuses. Neuroradiology 33:403–406

    Article  PubMed  CAS  Google Scholar 

  74. Marmolya G, Wiesen EJ, Yagan R, Haria CD, Shah AC (1991) Paranasal sinuses: low-dose CT. Radiology 181:689–691

    PubMed  CAS  Google Scholar 

  75. Zammit-Maempel I (1996) Radiation dose to the lens from coronal CT scanning of the sinuses [see comments.]. Clin Radiol 51:151

    Article  PubMed  CAS  Google Scholar 

  76. Hein E, Rogalla P, Klingebiel R, Hamm B (2002) Low-dose CT of the paranasal sinuses with eye lens protection: effect on image quality and radiation dose. Eur Radiol 12:1693–1696

    Article  PubMed  Google Scholar 

  77. Czechowski J, Janeczek J, Kelly G, Johansen J (2001) Radiation dose to the lens in sequential and spiral CT of the facial bones and sinuses. Eur Radiol 11:711–713

    Article  PubMed  CAS  Google Scholar 

  78. Sohaib SA, Peppercorn PD, Horrocks JA, Keene MH, Kenyon GS, Reznek RH (2001) The effect of decreasing mAs on image quality and patient dose in sinus CT. Br J Radiol 74:157–161

    PubMed  CAS  Google Scholar 

  79. Hagtvedt T, Aalokken TM, Notthellen J, Kolbenstvedt A (2003) A new low-dose CT examination compared with standard-dose CT in the diagnosis of acute sinusitis. Eur Radiol 13:976–980

    PubMed  CAS  Google Scholar 

  80. Mulkens TH, Broers C, Fieuws S, Termote JL, Bellnick P (2005) Comparison of effective doses for low-dose MDCT and radiographic examination of sinuses in children. AJR Am J Roentgenol 184:1611–1618

    PubMed  CAS  Google Scholar 

  81. Som P, Curtin H (2002) Head and neck imaging, 4th edn. Mosby, St Louis

  82. Babbel R, Harnsberger HR, Nelson B, Sonkens J, Hunt S (1991) Optimization of techniques in screening CT of the sinuses. AJNR Am J Neuroradiol 12:849–854

    PubMed  CAS  Google Scholar 

  83. Ide C, Trigaux JP, Eloy P (1997) Chronic sinusitis: the role of imaging. Acta Otorhinolaryngol Belg 51:247–258

    PubMed  CAS  Google Scholar 

  84. Kantarci M, Karasen RM, Alper F, Onbas O, Okur A, Karaman A (2004) Remarkable anatomic variations in paranasal sinus region and their clinical importance. Eur J Radiol 50:296–302

    Article  PubMed  Google Scholar 

  85. Chong VF, Fan YF (1998) Comparison of CT and MRI features in sinusitis. Eur J Radiol 29:47–54

    Article  PubMed  CAS  Google Scholar 

  86. Eggesbo HB, Dolvik S, Stiris M, Sovik S, Storrosten OT, Kolmannskog F (2001) Complementary role of MR imaging of ethmomaxillary sinus disease depicted at CT in cystic fibrosis. Acta Radiol 42:144–150

    Article  PubMed  CAS  Google Scholar 

  87. Som PM, Shapiro MD, Biller HF, Sasaki C, Lawson W (1988) Sinonasal tumors and inflammatory tissues: differentiation with MR imaging. Radiology 167:803–808

    PubMed  CAS  Google Scholar 

  88. Savranlar A, Uzun L, Ugur MB, Mahmutyazicioglu K, Ozer T, Gundogdu S (2005) How does nose blowing effect the computed tomography of paranasal sinuses in chronic sinusitis? Eur J Radiol 53:182–188

    Article  PubMed  Google Scholar 

  89. Lloyd G, Lund VJ, Howard D, Savy L (2000) Optimum imaging for sinonasal malignancy. J Laryngol Otol 114:557–562

    Article  PubMed  CAS  Google Scholar 

  90. Fatterpekar G, Mukherji S, Arbealez A, Maheshwari S, Castillo M (1999) Fungal diseases of the paranasal sinuses. Semin Ultrasound CT MR 20:391–401

    Article  PubMed  CAS  Google Scholar 

  91. Zinreich SJ (1998) Functional anatomy and computed tomography imaging of the paranasal sinuses. Am J Med Sci 316:2–12

    Article  PubMed  CAS  Google Scholar 

  92. Som PM, Sacher M, Lawson W, Biller HF (1987) CT appearance distinguishing benign nasal polyps from malignancies. J Comput Assist Tomogr 11:129–133

    PubMed  CAS  Google Scholar 

  93. Zimmerman RA, Bilaniuk LT, Hackney DB, Goldberg HI, Grossman RI (1987) Paranasal sinus hemorrhage: evaluation with MR imaging. Radiology 162:499–503

    PubMed  CAS  Google Scholar 

  94. Lusk RP, Lazar RH, Muntz HR (1989) The diagnosis and treatment of recurrent and chronic sinusitis in children. Pediatr Clin North Am 36:1411–1421

    PubMed  CAS  Google Scholar 

  95. Karantanas AH, Sandris V (1997) Maxillary sinus inflammatory disease: ultrasound compared to computed tomography. Comput Med Imaging Graph 21:233–241

    Article  PubMed  CAS  Google Scholar 

  96. Benninger MS, Sedory Holzer SE, Lau J (2000) Diagnosis and treatment of uncomplicated acute bacterial rhinosinusitis: summary of the Agency for Health Care Policy and Research evidence-based report. Otolaryngol Head Neck Surg 122:1–7

    Article  PubMed  CAS  Google Scholar 

  97. Pruna X, Inaraja L, Gallardo E, Serra J, Casamitjana F, Serrano A (2000) Value of sonography in the assessment of space-occupying lesions of the anterior nasal fossa. J Clin Ultrasound 28:14–19

    Article  PubMed  CAS  Google Scholar 

  98. Oluwole M, Russell N, Tan L, Gardiner Q, White P (1996) A comparison of computerized tomographic staging systems in chronic sinusitis. Clin Otolaryngol 21:91–95

    Article  PubMed  CAS  Google Scholar 

  99. Metson R, Gliklich RE, Stankiewicz JA, Kennedy DW, Duncavage JA, Hoffman SR, Ohnishi T, Terrell JE, White PS (1997) Comparison of sinus computed tomography staging systems. Otolaryngol Head Neck Surg 117:372–379

    Article  PubMed  CAS  Google Scholar 

  100. Lund VJ, Mackay IS (1993) Staging in rhinosinusitis. Rhinology 31:183–184

    PubMed  CAS  Google Scholar 

  101. Zinreich SJ (2004) Imaging for staging of rhinosinusitis. Ann Otol Rhinol Laryngol Suppl 193:19–23

    PubMed  Google Scholar 

  102. Sonkens JW, Harnsberger HR, Blanch GM, Babbel RW, Hunt S (1991) The impact of screening sinus CT on the planning of functional endoscopic sinus surgery. Otolaryngol Head Neck Surg 105:802–813

    PubMed  CAS  Google Scholar 

  103. Drutman J, Babbel RW, Harnsberger HR, Sonkens JW, Braby D (1991) Sinonasal polyposis. Semin Ultrasound CT MR 12:561–574

    PubMed  CAS  Google Scholar 

  104. Babbel RW, Harnsberger HR, Sonkens J, Hunt S (1992) Recurring patterns of inflammatory sinonasal disease demonstrated on screening sinus CT. AJNR 13:903–912

    PubMed  CAS  Google Scholar 

  105. Hasso AN, Lambert D (1994) Magnetic resonance imaging of the paranasal sinuses and nasal cavities. Top Magn Reson Imaging 6:209–223

    PubMed  CAS  Google Scholar 

  106. Rogers JH, Fredrickson JM, Noyek AM (1976) Management of cysts, benign tumors, and bony dysplasia of the maxillary sinus. Otolaryngol Clin North Am 9:233–247

    PubMed  CAS  Google Scholar 

  107. Jacobs M, Som PM (1982) The ethmoidal “polypoid mucocele”. J Comput Assist Tomogr 6:721–724

    Article  PubMed  CAS  Google Scholar 

  108. Fascenelli FW (1969) Maxillary sinus abnormalities. Radiographic evidence in an asymptomatic population. Arch Otolaryngol 90:190–193

    PubMed  CAS  Google Scholar 

  109. Som PM, Curtin HD (2003) Inflammatory diseases. In: Som PM, Brandwein MS (eds) Head and neck imaging. Mosby, St Louis, pp 193–260

    Google Scholar 

  110. Busaba NY, Kieff D (2002) Endoscopic sinus surgery for inflammatory maxillary sinus disease. Laryngoscope 112:1378–1383

    Article  PubMed  Google Scholar 

  111. Gardner DG (1984) Pseudocysts and retention cysts of the maxillary sinus. Oral Surg Oral Med Oral Pathol 58:561–567

    Article  PubMed  CAS  Google Scholar 

  112. Larsen PL, Tos M (2004) Origin of nasal polyps: an endoscopic autopsy study. Laryngoscope 114:710–719

    Article  PubMed  Google Scholar 

  113. Batsakis JG, Sneige N (1992) Choanal and angiomatous polyps of the sinonasal tract. Ann Otol Rhinol Laryngol 101:623–625

    PubMed  CAS  Google Scholar 

  114. Pruna X, Ibanez JM, Serres X, Garriga V, Barber I, Vera J (2000) Antrochoanal polyps in children: CT findings and differential diagnosis. Eur Radiol 10:849–851

    Article  PubMed  CAS  Google Scholar 

  115. Min YG, Chung JW, Shin JS, Chi JG (1995) Histologic structure of antrochoanal polyps. Acta Otolaryngol 115:543–547

    PubMed  CAS  Article  Google Scholar 

  116. Chung SK, Chang BC, Dhong HJ (2002) Surgical, radiologic, and histologic findings of the antrochoanal polyp. Am J Rhinol 16:71–76

    PubMed  Google Scholar 

  117. Berg O, Carenfelt C, Silfversward C, Sobin A (1988) Origin of the choanal polyp. Arch Otolaryngol Head Neck Surg 114:1270–1271

    PubMed  CAS  Google Scholar 

  118. Ozcan M, Ozlugedik S, Ikinciogullari A (2005) Simultaneous antrochoanal and sphenochoanal polyps: a rare clinical entity. J Laryngol Otol 119:152–154

    Article  PubMed  Google Scholar 

  119. Lopatin A, Bykova V, Piskunov G (1997) Choanal polyps: one entity, one surgical approach? Rhinology 35:79–83

    PubMed  CAS  Google Scholar 

  120. Moore EJ, Kern EB (2001) Atrophic rhinitis: a review of 242 cases. Am J Rhinol 15:355–361

    PubMed  CAS  Google Scholar 

  121. Sayed RH, Abou-Elhamd KE, Abdel-Kader M, Saleem TH (2000) Study of surfactant level in cases of primary atrophic rhinitis. J Laryngol Otol 114:254–259

    Article  PubMed  CAS  Google Scholar 

  122. Sibert JR, Barton RP (1980) Dominant inheritance in a family with primary atrophic rhinitis. J Med Genet 17:39–40

    PubMed  CAS  Article  Google Scholar 

  123. Soparkar CN, Patrinely JR, Cuaycong MJ, Dailey RA, Kersten RC, Rubin PA, Linberg JV, Howard GR, Donovan DT, Matoba AY et al (1994) The silent sinus syndrome. A cause of spontaneous enophthalmos. Ophthalmology 101:772–778

    PubMed  CAS  Google Scholar 

  124. Buono LM (2004) The silent sinus syndrome: maxillary sinus atelectasis with enophthalmos and hypoglobus. Curr Opin Ophthalmol 15:486–489

    Article  PubMed  Google Scholar 

  125. deShazo RD (1998) Fungal sinusitis. Am J Med Sci 316:39–45

    Article  PubMed  CAS  Google Scholar 

  126. Silverman CS, Mancuso AA (1998) Periantral soft-tissue infiltration and its relevance to the early detection of invasive fungal sinusitis: CT and MR findings. AJNR Am J Neuroradiol 19:321–325

    PubMed  CAS  Google Scholar 

  127. deShazo RD, O’Brien M, Chapin K, Soto-Aguilar M, Swain R, Lyons M, Bryars WC, Jr, Alsip S (1997) Criteria for the diagnosis of sinus mycetoma. J Allergy Clin Immunol 99:475–485

    Article  PubMed  CAS  Google Scholar 

  128. deShazo RD, Swain RE (1995) Diagnostic criteria for allergic fungal sinusitis. J Allergy Clin Immunol 96:24–35

    Article  PubMed  CAS  Google Scholar 

  129. Manning SC, Merkel M, Kriesel K, Vuitch F, Marple B (1997) Computed tomography and magnetic resonance diagnosis of allergic fungal sinusitis. Laryngoscope 107:170–176

    Article  PubMed  CAS  Google Scholar 

  130. Mukherji SK, Figueroa RE, Ginsberg LE, Zeifer BA, Marple BF, Alley JG, Cooper LL, Nemzek WR, Yousem DM, Jones KR, Kupferberg SB, Castillo M (1998) Allergic fungal sinusitis: CT findings. Radiology 207:417–422

    PubMed  CAS  Google Scholar 

  131. deShazo RD, O’Brien M, Chapin K, Soto-Aguilar M, Gardner L, Swain R (1997) A new classification and diagnostic criteria for invasive fungal sinusitis. Arch Otolaryngol Head Neck Surg 123:1181–1188

    PubMed  CAS  Google Scholar 

  132. Howells RC, Ramadan HH (2001) Usefulness of computed tomography and magnetic resonance in fulminant invasive fungal rhinosinusitis. Am J Rhinol 15:255–261

    PubMed  CAS  Google Scholar 

  133. Allphin AL, Strauss M, Abdul-Karim FW (1991) Allergic fungal sinusitis: problems in diagnosis and treatment. Laryngoscope 101:815–820

    Article  PubMed  CAS  Google Scholar 

  134. Ponikau JU, Sherris DA, Kern EB, Homburger HA, Frigas E, Gaffey TA, Roberts GD (1999) The diagnosis and incidence of allergic fungal sinusitis. Mayo Clin Proc 74:877–884

    PubMed  CAS  Google Scholar 

  135. Lanza DC (2004) Diagnosis of chronic rhinosinusitis. Ann Otol Rhinol Laryngol Suppl 193:10–14

    PubMed  Google Scholar 

  136. Braun H, Buzina W, Freudenschuss K, Beham A, Stammberger H (2003) ‘Eosinophilic fungal rhinosinusitis’: a common disorder in Europe? Laryngoscope 113:264–269

    Article  PubMed  Google Scholar 

  137. Alobid I, Guilemany JM, Mullol J (2004) Nasal manifestations of systemic illnesses. Curr Allergy Asthma Rep 4:208–216

    Article  PubMed  Google Scholar 

  138. Gubbels SP, Barkhuizen A, Hwang PH (2003) Head and neck manifestations of Wegener’s granulomatosis. Otolaryngol Clin North Am 36:685–705

    Article  PubMed  Google Scholar 

  139. Muhle C, Reinhold-Keller E, Richter C, Duncker G, Beigel A, Brinkmann G, Gross WL, Heller M (1997) MRI of the nasal cavity, the paranasal sinuses and orbits in Wegener’s granulomatosis. Eur Radiol 7:566–570

    Article  PubMed  CAS  Google Scholar 

  140. Lloyd G, Lund VJ, Beale T, Howard D (2002) Rhinologic changes in Wegener’s granulomatosis. J Laryngol Otol 116:565–569

    Article  PubMed  Google Scholar 

  141. Yang C, Talbot JM, Hwang PH (2001) Bony abnormalities of the paranasal sinuses in patients with Wegener’s granulomatosis. Am J Rhinol 15:121–125

    Article  PubMed  CAS  Google Scholar 

  142. Borges A, Fink J, Villablanca P, Eversole R, Lufkin R (2000) Midline destructive lesions of the sinonasal tract: simplified terminology based on histopathologic criteria. AJNR Am J Neuroradiol 21:331–336

    PubMed  CAS  Google Scholar 

  143. Cleary KR, Batsakis JG (1994) Sinonasal lymphomas. Ann Otol Rhinol Laryngol 103:911–914

    PubMed  CAS  Google Scholar 

  144. Zeitlin JF, Tami TA, Baughman R, Winget D (2000) Nasal and sinus manifestations of sarcoidosis. Am J Rhinol 14:157–161

    Article  PubMed  CAS  Google Scholar 

  145. Braun JJ, Gentine A, Pauli G (2004) Sinonasal sarcoidosis: review and report of fifteen cases. Laryngoscope 114:1960–1963

    Article  PubMed  Google Scholar 

  146. deShazo RD, O’Brien MM, Justice WK, Pitcock J (1999) Diagnostic criteria for sarcoidosis of the sinuses. J Allergy Clin Immunol 103:789–795

    Article  PubMed  CAS  Google Scholar 

  147. Smith JC, Kacker A, Anand VK (2002) Midline nasal and hard palate destruction in cocaine abusers and cocaine’s role in rhinologic practice. Ear Nose Throat J 81:172–177

    PubMed  Google Scholar 

  148. The Cystic Fibrosis Genetic Analysis Consortium (CFGAC) (2000) http://www.genet.sickkids.on.ca/cftr

  149. Riordan JR, Rommens JM, Kerem B, Alon N, Rozmahel R, Grzelczak Z, Zielenski J, Lok S, Plavsic N, Chou JL et al (1989) Identification of the cystic fibrosis gene: cloning and characterization of complementary DNA. Science 245:1066–1073

    Article  PubMed  ADS  CAS  Google Scholar 

  150. Parsons DS (1992) Sinusitis and cystic fibrosis. In: Lusk RP (ed) Pediatric sinusitis. Raven Press, New York, pp 65–70

    Google Scholar 

  151. Smith JJ, Karp PH, Welsh MJ (1994) Defective fluid transport by cystic fibrosis airway epithelia. J Clin Invest 93:1307–1311

    PubMed  CAS  Article  Google Scholar 

  152. Carson JL, Collier AM, Fernald GW, Hu SC (1994) Microtubular discontinuities as acquired ciliary defects in airway epithelium of patients with chronic respiratory diseases. Ultrastruct Path 18:327–332

    CAS  Article  Google Scholar 

  153. Rutland J, Cole PJ (1981) Nasal mucociliary clearance and ciliary beat frequency in cystic fibrosis compared with sinusitis and bronchiectasis. Thorax 36:654–658

    PubMed  CAS  Google Scholar 

  154. Eggesbø HB, Søvik S, Dølvik S, Eiklid K, Kolmannskog F (2003) Proposal of a CT scoring system of the paranasal sinuses in diagnosing cystic fibrosis. Eur Radiol

  155. Eggesbø HB, Eken T, Eiklid K, Kolmannskog F (1999) Hypoplasia of the sphenoid sinuses as a diagnostic tool in cystic fibrosis. Acta Radiol 40:479–485

    PubMed  Article  Google Scholar 

  156. April MM, Zinreich SJ, Baroody FM, Naclerio RM (1993) Coronal CT scan abnormalities in children with chronic sinusitis. Laryngoscope 103:985–990

    Article  PubMed  CAS  Google Scholar 

  157. Mackay IS, Djazaeri B (1994) Chronic sinusitis in cystic fibrosis. J R Soc Med 87:17–19

    PubMed  Google Scholar 

  158. Brihaye P, Clement PA, Dab I, Desprechin B (1994) Pathological changes of the lateral nasal wall in patients with cystic fibrosis (mucoviscidosis). Int J Pediatr Otorhinolaryngol 28:141–147

    Article  PubMed  CAS  Google Scholar 

  159. Coste A, Gilain L, Roger G, Sebbagh G, Lenoir G, Manach Y, Peynegre R (1995) Endoscopic and CT-scan evaluation of rhinosinusitis in cystic fibrosis. Rhinology 33:152–156

    PubMed  CAS  Google Scholar 

  160. Raman V, Clary R, Siegrist KL, Zehnbauer B, Chatila TA (2002) Increased prevalence of mutations in the cystic fibrosis transmembrane conductance regulator in children with chronic rhinosinusitis. Pediatrics 109:E13

    Article  PubMed  Google Scholar 

  161. Wang X, Kim J, McWilliams R, Cutting GR (2005) Increased prevalence of chronic rhinosinusitis in carriers of a cystic fibrosis mutation. Arch Otolaryngol Head Neck Surg 131:237–240

    Article  PubMed  Google Scholar 

  162. Hytonen M, Patjas M, Vento SI, Kauppi P, Malmberg H, Ylikoski J, Kere J (2001) Cystic fibrosis gene mutations deltaF508 and 394delTT in patients with chronic sinusitis in Finland. Acta Otolaryngol 121:945–947

    Article  PubMed  CAS  Google Scholar 

  163. Irving RM, McMahon R, Clark R, Jones NS (1997) Cystic fibrosis transmembrane conductance regulator gene mutations in severe nasal polyposis. Clin Otolaryngol 22:519–521

    Article  PubMed  CAS  Google Scholar 

  164. Berdon WE, Willi U (2004) Situs inversus, bronchiectasis, and sinusitis and its relation to immotile cilia: history of the diseases and their discoverers-Manes Kartagener and Bjorn Afzelius. Pediatr Radiol 34:38–42

    Article  PubMed  Google Scholar 

  165. Mygind N, Pedersen M (1983) Nose-, sinus- and ear-symptoms in 27 patients with primary ciliary dyskinesia. Eur J Respir Dis Suppl 127:96-101

    PubMed  CAS  Google Scholar 

  166. Greenstone M, Rutman A, Dewar A, Mackay I, Cole PJ (1988) Primary ciliary dyskinesia: cytological and clinical features. Q J Med 67:405–423

    PubMed  CAS  Google Scholar 

  167. Ramadan HH, Fornelli R, Ortiz AO, Rodman S (1999) Correlation of allergy and severity of sinus disease. Am J Rhinol 13:345–347

    Article  PubMed  CAS  Google Scholar 

  168. Shapiro GG (1985) Role of allergy in sinusitis. Pediatr Infect Dis 4:S55–59

    PubMed  CAS  Article  Google Scholar 

  169. Phillips CD, Platts-Mills TA (1995) Chronic sinusitis: relationship between CT findings and clinical history of asthma, allergy, eosinophilia, and infection. AJR Am J Roentgenol 164:185–187

    PubMed  CAS  Google Scholar 

Download references

Author information

Affiliations

Authors

Corresponding author

Correspondence to H. B. Eggesbø.

Rights and permissions

Reprints and Permissions

About this article

Cite this article

Eggesbø, H.B. Radiological imaging of inflammatory lesions in the nasal cavity and paranasal sinuses. Eur Radiol 16, 872–888 (2006). https://doi.org/10.1007/s00330-005-0068-2

Download citation

  • Received:

  • Revised:

  • Accepted:

  • Published:

  • Issue Date:

  • DOI: https://doi.org/10.1007/s00330-005-0068-2

Keywords

  • Rhinosinusitis
  • Inflammatory patterns
  • CT
  • MR