Skip to main content

3.0-T high-field magnetic resonance imaging of the female pelvis: preliminary experiences

Abstract

The purpose of this study was to evaluate if 3.0 T allows for clinically useful pelvic magnetic resonance imaging, i.e. if familiar image quality and tissue contrast can be achieved at 3.0 T as compared with at 1.5 T. Adapting a 1.5-T protocol to the 3.0-T environment is subject to a variety of factors. In order to reduce the number of potential variables, we chose two cornerstones: the 3.0-T sequence should have similar spatial resolution and acquisition time; furthermore, the contrast parameters repetition time (TR) and echo time (TE) were kept identical. Based on this modified 3.0-T T2-weighted turbo spin-echo sequence (TR/TE 2,705/80 ms; 0.7×1.04×4 mm measured voxel size; field of view 360 mm; 4.03-min scan time) we performed an intraindividual study on 19 patients with the 1.5-T sequence as the standard of reference. Two radiologists analyzed the examinations in consensus with regard to tissue contrast (visualization of zonal anatomy of the uterus and/or delineation of pathologic findings) rated on a three-point scale (3 is 3.0 T better; 2 is 3.0 T equal; 1 is 3.0 T worse than 1.5 T). In addition, the signal difference between muscle and bone marrow was measured as a marker for tissue contrast. The analysis of the image quality comprised the level of the artifacts (rated on a five-point scale: 1 is no artifacts; 5 is nondiagnostic study), the visual signal-to-noise ratio (rated on a three-point scale) and detail delineation. Only minor artifacts were observed at both 1.5 and 3.0 T; the difference was not statistically significant. The visual signal-to-noise ratio and the delineation of image details were rated equal for 1.5 and 3.0 T. With regard to image contrast, both qualitative analysis as well as quantitative analysis revealed comparable image contrast for the 1.5- and 3.0-T protocols. Pathological findings were seen equally well with both field strengths. Clinically diagnostic pelvic studies of high image quality can be obtained using a 3.0-T scanner with our modified examination protocol. To fully exploit the capability of the high-field technique, and to point out potential advantages, further intraindividual studies are needed, with the adjustment of other imaging parameters to the high-field environment.

This is a preview of subscription content, access via your institution.

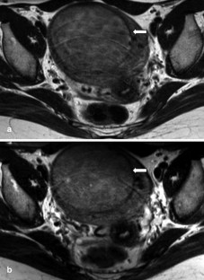
Fig. 1
Fig. 2
Fig. 3
Fig. 4

References

  1. Willinek WA, Born M, Simon B, Tschampa HJ, Krautmacher C, Gieseke J, Urbach H, Textor HJ, Schild HH (2003) Time-of-flight MR angiography: comparison of 3.0 T imaging and 1.5 T imaging—initial experience. Radiology 229(3):913–920

    PubMed  Google Scholar 

  2. Nakada T (2003) Clinical experience on 3.0 T systems in Niigata 1996 to 2002. Invest Radiol 38:377–384

    Article  Google Scholar 

  3. Briellmann RS, Pell GS, Wellard RM, Mitchell LA, Abbott DF, Jack GD (2003) MR imaging of epilepsy: state of the art at 1.5 T and potential of 3 T. Epileptic Disord 5:3–20

    Google Scholar 

  4. Al Kwifi O, Emery DJ, Wilman AH (2002) Vessel contrast at three Tesla in time-of-flight magnetic resonance angiography of the intracranial and carotid arteries. Magn Reson Imaging 20:181–187

    Article  PubMed  Google Scholar 

  5. Thomas SD, Al Kwifi O, Emery DJ, Wilman AH (2002) Application of magnetization transfer at 3.0 T in three-dimensional time-of-flight magnetic resonance angiography of the intracranial arteries. J Magn Reson Imaging 15:479–483

    Article  Google Scholar 

  6. Nobauer-Humann IM, Ba-Ssalamah A, Mlynarik V et al (2002) Magnetic resonance imaging contrast enhancement of brain tumors at 3 Tesla versus 1.5 Tesla. Invest Radiol 37:114–119

    Article  Google Scholar 

  7. Gillard JH, Papadakis NG, Martin K et al (2001) MR diffusion tensor imaging of white matter tract disruption in stroke at 3T. Br J Radiol 74:642–647

    Google Scholar 

  8. Yoneka Y, Kwee IL, Fujii Y, Nakada T (2002) Criteria for normal cavities observed within the adult hippocampus: high resolution magnetic resonance imaging study on a 3.0 T-system. J Neuroimaging 12:231–235

    Article  Google Scholar 

  9. Nakai T, Matsuo K, Kato C, Okada T et al (2001) BOLD contrast on a 3.0 T magnet: detectability of the motor areas. J Comput Assist Tomogr 25:436–445

    Article  Google Scholar 

  10. Greenman RL, Shirosky JE, Mulkern RV, Rofsky NM (2003) Double inversion black blood fast spin–echo imaging of the human heart: a comparison between 1.5 T and 3.0 T. J Magn Reson Imaging 17:648–655

    Article  Google Scholar 

  11. Stuber M, Botnar RF, Fischer SE, Lamerichs R, Smink J, Harvey P, Manning WJ (2002) Preliminary report on in vivo coronary MRA at 3.0 T in humans. Magn Reson Med 48:425–429

    Article  Google Scholar 

  12. Peterson DM, Carruthers CE, Wolverton BL et al (1999) Application of a bird-cage coil at 3 Tesla to imaging of the human knee using MRI. Magn Reson Med 42:215–221

    Article  Google Scholar 

  13. Schmitt F, Grosu D, Mohr C, Purdy D, Salem K, Scott KT, Stoeckel B (2004) 3 Tesla MRI: successful results with higher field strengths. Radiologe 44(1):31–47

    CAS  PubMed  Google Scholar 

  14. Lutterbey G, Gieseke J, von Falkenhausen M, Morakkabati N, Schild H (2004) Lung MRI at 3.0 Tesla: a comparison of helical CT and high field MRI in the detection of lund disease. Eur Radiol DOI 10.1007/s00330-004-2548-1

  15. Edelstein WA, Glover GH, Hardy CJ, Redington RW (1986) The intrinsic signal-to-noise ratio in NMR imaging. Magn Reson Med 3:604–618

    CAS  PubMed  Google Scholar 

  16. Femlee JP, Bernstein MA, Huston J (2002) Analysis of RF heating at 3.0 T. ISMRM p.2002

  17. Lin C, Bernstein M, Huston J, Fain S (2001) In-vivo and in-vitro measurements of T1 relaxation at 3.0 T. In: Proc 9th Meeting ISMRM, p 1391

  18. Wansapura JP, Holland SK, Dunn RS, Ball WS Jr (1999) NMR relaxation times in human brain at 3.0 T. J Magn Reson Imaging 9:531–538

    Article  Google Scholar 

  19. Kuhl CK, Gieseke J, von Falkenhausen M, Textor J, Gernert S, Sonntag C, Schild HH Sensitivity Encoding (SENSE) for Diffusion Imaging at 3.0 T: an intra-individual comparative study. Radiology, in press

  20. Hennig J, Scheffler K (2001) Hyperechoes. Magn Reson Med 46:6–12

    Article  Google Scholar 

Download references

Author information

Affiliations

Authors

Corresponding author

Correspondence to N. Morakkabati-Spitz.

Rights and permissions

Reprints and Permissions

About this article

Cite this article

Morakkabati-Spitz, N., Gieseke, J., Kuhl, C. et al. 3.0-T high-field magnetic resonance imaging of the female pelvis: preliminary experiences. Eur Radiol 15, 639–644 (2005). https://doi.org/10.1007/s00330-004-2589-5

Download citation

  • Received:

  • Revised:

  • Accepted:

  • Published:

  • Issue Date:

  • DOI: https://doi.org/10.1007/s00330-004-2589-5

Keywords

  • Pelvis
  • High-field magnetic resonance imaging
  • 3.0 T