Skip to main content

Truncus arteriosus communis in a midtrimester fetus: comparison of prenatal ultrasound and MRI with postmortem MRI and autopsy

Abstract

Different techniques are used in fetal cardiology, and their accuracy has been demonstrated on several occasions. Color Doppler US has proved to be a reliable and valuable tool in the diagnosis of fetal cardiac abnormalities. Magnetic resonance imaging (MRI) of the fetal heart has, so far, played no role in prenatal diagnostics. We report on a truncus arteriosus communis diagnosed prenatally during a screening ultrasound at 22 weeks of gestation. In addition to real-time ultrasound and color Doppler echocardiography, fetal MRI was performed. Fetal echocardiography arose suspicion of a type I common trunk. Fetal MR showed solely a widened vessel coursing retrocardially and additionally an inhomogeneous fluid distribution of the lung not shown on prenatal US. After termination of pregnancy at 23 weeks of gestation, MR fetography and autopsy were performed, and both found a type II common trunk. MR autopsy of the heart was very reliable in this case and could be an alternative when fetal pathology is not available for different reasons. Postmortem MRI was also able to demonstrate the inhomogeneous fluid distribution in the lung, which was confirmed by autopsy. Fetal and postmortem MR was reliable in the detection of an inhomogeneous fluid distribution in the lung not shown on prenatal US, providing a relevant additional finding to US. Therefore, MRI should be used more often in fetal cardiology, although it still must be further developed.

This is a preview of subscription content, access via your institution.

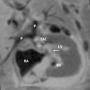
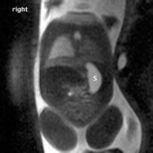
Fig. 1
Fig. 2
Fig. 3
Fig. 4
Fig. 5
Fig. 6
Fig. 7
Fig. 8

References

  1. Girard N (2002) Fetal MR imaging. Eur Radiol 12:1869–1871

    PubMed  Google Scholar 

  2. Ertl-Wagner B, Lienemann A, Strauss A, Reiser MF (2002) Fetal magnetic resonance imaging: indications, technique, anatomical considerations and a review of fetal abnormalities. Eur Radiol 12:1931–1940

    PubMed  Google Scholar 

  3. Carvalho G, Silva AA, Bestetti RB, Leme-Neto AC (2002) Long-term survival in truncus arteriosus communis type A1 associated with Ehlers–Danlos syndrome—a case report. Angiology 53:363–365

    PubMed  Google Scholar 

  4. Malec E, Werynski P, Mroczek T, Mikuta M, Kolcz J, Januszewska K, Pajak J (2000) Results of surgical treatment of congenital heart defects in infants below 2,500 grams. Przegl Lek 57:187–190

    CAS  PubMed  Google Scholar 

  5. Malec E, Mroczek T, Pajak J, Kordon Z (2000) Operative treatment of truncus arteriosus communis coexisting with tricuspid atresia. Ann Thorac Surg 69:278–280

    Article  CAS  PubMed  Google Scholar 

  6. Hartyanszky I, Kadar K, Prodan Z, Szekely A, Tamas C (1999) Primary reconstruction of the common truncus arteriosus in infants, using modified pulmonary homograft. Orv Hetil 140:1361–1363

    CAS  PubMed  Google Scholar 

  7. Sadler TW (1998) Herz und Gefäße. In: Sadler TW (ed) Medizinische Embryologie. Georg Thieme, Stuttgart, pp 189–218

    Google Scholar 

  8. Böhm N (1984) Herz und Gefäße. In: Böhm N (ed) Kinderpathologie. Schattauer, Stuttgart, pp 146–175

    Google Scholar 

  9. Pauliks LB, Bharati S, Magid MS, Friedman DM (2000) A cross between truncus arteriosus communis and aortopulmonary septal defect: a hitherto undescribed entity. Pediatr Cardiol 21:477–479

    Article  CAS  PubMed  Google Scholar 

  10. Murdison KA, McLean DA, Carpenter B, Duncan WJ (1996) Truncus arteriosus communis associated with mitral valve and left ventricular hypoplasia without ventricular septal defect: unique combination. Pediatr Cardiol 17:322–326

    Article  CAS  PubMed  Google Scholar 

  11. Oren H, Ozkan H, Oren B, Kupelioglu A, Cevik N (1994) A case of common truncus arteriosus with rare cardiac abnormalities. Turk J Pediatr 36:171–174

    CAS  PubMed  Google Scholar 

  12. Calder L, Van Praagh R, Van Praagh S, Sears WP, Corwin R, Levy A, Keith JD, Paul MH (1976) Truncus arteriosus communis. Clinical, angiocardiographic, and pathologic findings in 100 patients. Am Heart J 92:23–38

    CAS  PubMed  Google Scholar 

  13. Rosenquist GC, Bharati S, McAllister HA, Lev M (1976) Truncus arteriosus communis: truncal valve anomalies associated with small conal or truncal septal defects. Am J Cardiol 37:410–412

    Article  CAS  PubMed  Google Scholar 

  14. Mas C, Delatycki MB, Weintraub RG (1999) Persistent truncus arteriosus in monozygotic twins: case report and literature review. Am J Med Genet 82:146–148

    Article  CAS  PubMed  Google Scholar 

  15. Machlitt A, Tennstedt C, Korner H, Bommer C, Chaoui R (2002) Prenatal diagnosis of 22q11 microdeletion in an early second-trimester fetus with conotruncal anomaly presenting with increased nuchal translucency and bilateral intracardiac echogenic foci. Ultrasound Obstet Gynecol 19:510–513

    Article  CAS  PubMed  Google Scholar 

  16. Momma K, Ando M, Matsuoka R (1997) Truncus arteriosus communis associated with chromosome 22q11 deletion. J Am Coll Cardiol 30:1067–1071

    Article  CAS  PubMed  Google Scholar 

  17. Tennstedt C, Chaoui R, Korner H, Dietel M (1999) Spectrum of congenital heart defects and extracardiac malformations associated with chromosomal abnormalities: results of a seven year necropsy study. Heart 82:34–39

    CAS  PubMed  Google Scholar 

  18. Mehraein Y, Wippermann CF, Michel-Behnke I, Nhan Ngo TK, Hillig U, Giersberg M, Aulepp U, Barth H, Fritz B, Rehder H (1997) Microdeletion 22q11 in complex cardiovascular malformations. Hum Genet 99:433–442

    Article  CAS  PubMed  Google Scholar 

  19. Trost D, Engels H, Bauriedel G, Wiebe W, Schwanitz G (1999) Congenital cardiovascular malformations and chromosome microdeletions in 22q11.2. Dtsch Med Wochenschr 124:3–7

    CAS  PubMed  Google Scholar 

  20. McElhinney DB, Reddy VM, Feuerstein BG, Marx GR, Hanley FL (1997) Intraoperative discovery of neuroblastoma in an infant with pulmonary atresia. Ann Thorac Surg 64:1827–1829

    Article  CAS  PubMed  Google Scholar 

  21. Nouet N, Doz F, Dessemme P, Lacaille F, Bonnet D (2002) Pepper syndrome, truncus arteriosus communis and abnormal pulmonary venous return: an unusual association. Eur J Pediatr 161:114–115

    Article  PubMed  Google Scholar 

  22. Michel SC, Rake A, Keller TM, Huch R, Konig V, Seifert B, Marincek B, Kubik-Huch RA (2003) Original report. Fetal cardiographic monitoring during 1.5-T MR imaging. Am J Roentgenol 180:1159–1164

    Google Scholar 

  23. Levine D, Barnewolt CE, Mehta TS, Trop I, Estroff J, Wong G (2003) Fetal thoracic abnormalities: MR imaging. Radiology 228:379–388

    PubMed  Google Scholar 

  24. Kivelitz DE, Muhler M, Rake A, Scheer I, Chaoui R (2003) MRI of cardiac rhabdomyoma in the fetus. Eur Radiol 14:1513–1516

    PubMed  Google Scholar 

  25. Kurihara N, Tokieda K, Ikeda K, Mori K, Hokuto I, Nishimura O, Ishimoto H, Yuasa Y (2001) Prenatal MR findings in a case of aneurysm of the vein of Galen. Pediatr Radiol 31:160–162

    Article  CAS  PubMed  Google Scholar 

  26. Moore KL (1990) Das Respirationssystem. In: Moore KL (ed) Grundlagen der Medizinischen Embryologie. Ferdinand Enke, Stuttgart, pp 88–96

    Google Scholar 

  27. Rake A, Mühler M, Schwabe M, Tennstedt C, Kivelitz D, Chaoui R (2002) Comparison of postmortem MRI with antenatal ultrasound findings and clinical autopsy in fetal malformations. Ultrasound Obstet Gynecol 20:S1–S76

    Google Scholar 

  28. Breysem L, Bosmans H, Dymarkowski S, Schoubroeck DV, Witters I, Deprest J, Demaerel P, Vanbeckevoort D, Vanhole C, Casaer P et al (2003) The value of fast MR imaging as an adjunct to ultrasound in prenatal diagnosis. Eur Radiol 13:1538–1548

    Article  CAS  PubMed  Google Scholar 

  29. Huisman TA, Wisser J, Stallmach T, Krestin GP, Huch R, Kubik-Huch RA (2002) MR autopsy in fetuses. Fetal Diagn Ther 17:58–64

    Article  PubMed  Google Scholar 

Download references

Author information

Affiliations

Authors

Corresponding author

Correspondence to Matthias R. Mühler.

Rights and permissions

Reprints and Permissions

About this article

Cite this article

Mühler, M.R., Rake, A., Schwabe, M. et al. Truncus arteriosus communis in a midtrimester fetus: comparison of prenatal ultrasound and MRI with postmortem MRI and autopsy. Eur Radiol 14, 2120–2124 (2004). https://doi.org/10.1007/s00330-004-2419-9

Download citation

  • Received:

  • Revised:

  • Accepted:

  • Published:

  • Issue Date:

  • DOI: https://doi.org/10.1007/s00330-004-2419-9

Keywords

  • Truncus arteriosus communis
  • Fetal ultrasound
  • Fetal MRI
  • MR fetography
  • Cardiac malformation
  • Autopsy