Skip to main content

Fetal trauma: brain imaging in four neonates

Abstract

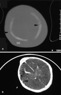
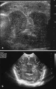
The purpose of this paper is to describe brain pathology in neonates after major traffic trauma in utero during the third trimester. Our patient cohort consisted of four neonates born by emergency cesarean section after car accident in the third trimester of pregnancy. The median gestational age (n=4) was 36 weeks (range: 30–38). Immediate post-natal and follow-up brain imaging consisted of cranial ultrasound (n=4), computed tomography (CT) (n=1) and post-mortem magnetic resonance imaging (MRI) (n=1). Pathology findings were correlated with the imaging findings (n=3). Cranial ultrasound demonstrated a huge subarachnoidal hemorrhage (n=1), subdural hematoma (n=1), brain edema with inversion of the diastolic flow (n=1) and severe ischemic changes (n=1). In one case, CT demonstrated the presence and extension of the subarachnoidal hemorrhage, a parietal fracture and a limited intraventricular hemorrhage. Cerebellar hemorrhage and a small cerebral frontal contusion were seen on post-mortem MRI in a child with a major subarachnoidal hemorrhage on ultrasound. None of these four children survived (three children died within 2 days and one child died after 1 month). Blunt abdominal trauma during pregnancy can cause fetal cranial injury. In our cases, skull fracture, intracranial hemorrhage and hypoxic-ischemic encephalopathy were encountered.

This is a preview of subscription content, access via your institution.

Fig. 1
Fig. 2
Fig. 3
Fig. 4
Fig. 5
Fig. 6
Fig. 7

References

  1. Goldman SM (2000) Overview of emergency radiological management of the pregnant patient, especially the traumatized pregnant patient. Emerg Radiol 7:198–205

    Google Scholar 

  2. Corsi PR, Rasslan S, de Oliveira LB, Kronfly FS, Marinho VP (1999) Trauma in pregnant women: analysis of maternal and fetal mortality. Injury 30:239–243

    Article  CAS  PubMed  Google Scholar 

  3. Schiff MA, Holt VL, Daling JR (2002) Maternal and infant outcomes after injury during pregnancy in Washington state from 1989 to 1997. J Trauma 53:939–945

    PubMed  Google Scholar 

  4. Ali J, Yeo A, Gana TJ, McLellan BA (1997) Predictors of fetal mortality in pregnant trauma patients. J Trauma 42:782–785

    CAS  PubMed  Google Scholar 

  5. Goldman SM, Wagner LK (1999) Radiologic ABCs of maternal and fetal survival after trauma: when minutes may count. Radiographics 19:1349–1357

    CAS  PubMed  Google Scholar 

  6. Shah KH, Simons RK, Holbrook T, Fortlage D, Winchell RJ, Hoyt DB (1998) Trauma in pregnancy: maternal and fetal outcomes. J Trauma 45:83–86

    CAS  PubMed  Google Scholar 

  7. Henderson SO, Mallon WK (1998) Trauma in pregnancy. Emerg Med Clin N Am 16:209–228

    CAS  Google Scholar 

  8. Connolly AM, Katz VL, Bash KL, McMahon MJ, Hansen WF (1997) Trauma and pregnancy. Am J Perinatol 14:331–336

    CAS  PubMed  Google Scholar 

  9. Siebenga J, Van Der Schoot JTM, Keeman JN (1999) Trauma tijdens de zwangerschap. Ned Tijdschr Geneeskd 143:1144–1148

    CAS  PubMed  Google Scholar 

  10. Alley JR, Yahagi Y, Moncure MM, Strickler JC (2003) A case of in utero fetal brain trauma after motor vehicle collision. J Trauma 55:782–785

    PubMed  Google Scholar 

  11. Shah AJ, Kilcline BA (2003) Trauma in pregnancy. Emerg Med Clin N Am 21:615–629

    Google Scholar 

  12. Esposito TJ (1994) Trauma during pregnancy. Emerg Med Clin N Am 12:167–199

    Article  CAS  Google Scholar 

  13. Morris JA, Rosenbower TJ, Jurkovich GJ, Hoyt DB, Harviel D, Knudson M, Miller RS, Burch JM, Meredith JW, Ross SE, Jenkins JM, Bass JG (1996) Infant survival after cesarean section for trauma. Ann Surg 223:481–491

    Article  PubMed  Google Scholar 

  14. van Bel F (1997) Cerebral blood flow velocity waveform characteristics (Doppler ultrasound). In: Govaert P, de Vries LS (eds) An atlas of neonatal brain sonography. McKeith, London, pp 341–359

  15. Matthews G, Hammersley B (1997) A case of maternal pelvic trauma following a road traffic accident, associated with fetal intracranial haemorrhage. J Accid Emerg Med 14:115–117

    CAS  PubMed  Google Scholar 

  16. Demaerel P, Casteels I, Wilms G (2002) Cranial imaging in child abuse. Eur Radiol 12:849–857

    Article  CAS  PubMed  Google Scholar 

  17. Carty H (1997) Non-accidental injury: a review of the radiology. Eur Radiol 7:1365–1376

    CAS  PubMed  Google Scholar 

Download references

Author information

Affiliations

Authors

Corresponding author

Correspondence to Luc Breysem.

Rights and permissions

Reprints and Permissions

About this article

Cite this article

Breysem, L., Cossey, V., Mussen, E. et al. Fetal trauma: brain imaging in four neonates. Eur Radiol 14, 1609–1614 (2004). https://doi.org/10.1007/s00330-004-2357-6

Download citation

  • Received:

  • Revised:

  • Accepted:

  • Published:

  • Issue Date:

  • DOI: https://doi.org/10.1007/s00330-004-2357-6

Keywords

  • Hypoxic-ischemic encephalopathy
  • Brain injury
  • Pregnancy
  • Ultrasonography
  • Trauma
  • Hemorrhage