Skip to main content

3D pulmonary perfusion MRI and MR angiography of pulmonary embolism in pigs after a single injection of a blood pool MR contrast agent

Abstract

The purpose of this study was to assess the feasibility of contrast-enhanced 3D perfusion MRI and MR angiography (MRA) of pulmonary embolism (PE) in pigs using a single injection of the blood pool contrast Gadomer. PE was induced in five domestic pigs by injection of autologous blood thrombi. Contrast-enhanced first-pass 3D perfusion MRI (TE/TR/FA: 1.0 ms/2.2 ms/40°; voxel size: 1.3×2.5×4.0 mm3; TA: 1.8 s per data set) and high-resolution 3D MRA (TE/TR/FA: 1.4 ms/3.4 ms/40°; voxel size: 0.8×1.0×1.6 mm3) was performed during and after a single injection of 0.1 mmol/kg body weight of Gadomer. Image data were compared to pre-embolism Gd-DTPA-enhanced MRI and post-embolism thin-section multislice CT (n=2). SNR measurements were performed in the pulmonary arteries and lung. One animal died after induction of PE. In all other animals, perfusion MRI and MRA could be acquired after a single injection of Gadomer. At perfusion MRI, PE could be detected by typical wedge-shaped perfusion defects. While the visualization of central PE at MRA correlated well with the CT, peripheral PE were only visualized by CT. Gadomer achieved a higher peak SNR of the lungs compared to Gd-DTPA (21±8 vs. 13±3). Contrast-enhanced 3D perfusion MRI and MRA of PE can be combined using a single injection of the blood pool contrast agent Gadomer.

This is a preview of subscription content, access via your institution.

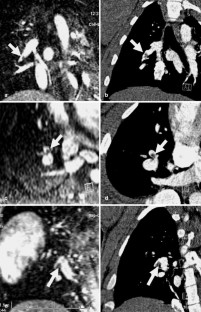
Fig. 1
Fig. 2
Fig. 3
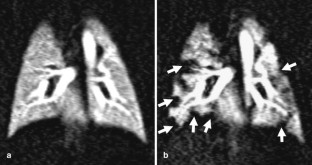
Fig. 4

References

  1. van Strijen MJ, de Monye W, Schiereck J, Kieft GJ, Prins MH, Huisman MV, Pattynama PM (2003) Single-detector helical computed tomography as the primary diagnostic test in suspected pulmonary embolism: a multicenter clinical management study of 510 patients. Ann Int Med 138:307–314

    PubMed  Google Scholar 

  2. Enzweiler CN, Lembcke AE, Wiese TH, Grohmann A, Rogalla P, Bollow M, Kopka L, Hamm B (2002) Häufigkeit und Verteilungsmuster pulmonaler Sattelembolien: Diagnostik mittels Elektronenstrahl-Computertomographie (EBT). Rofo Fortschr Geb Rontgenstr Neuen Bildgeb Verfahr 174:862–866

    Article  CAS  PubMed  Google Scholar 

  3. van Strijen MJ, de Monye W, Kieft GJ, Pattynama PM, Huisman MV, Smith SJ, Bloem JL (2003) Diagnosis of pulmonary embolism with spiral CT as a second procedure following scintigraphy. Eur Radiol 13:1501–1507

    Article  PubMed  Google Scholar 

  4. Oudkerk M, van Beek EJ, Wielopolski P, van Ooijen PM, Brouwers-Kuyper EM, Bongaerts AH, Berghout A (2002) Comparison of contrast-enhanced magnetic resonance angiography and conventional pulmonary angiography for the diagnosis of pulmonary embolism: a prospective study. Lancet 359:1643–1647

    Article  PubMed  Google Scholar 

  5. Meaney JF, Weg JG, Chenevert TL, Stafford-Johnson D, Hamilton BH, Prince MR (1997) Diagnosis of pulmonary embolism with magnetic resonance angiography. N Engl J Med 336:1422–1427

    Google Scholar 

  6. Hatabu H, Gaa J, Kim D, Li W, Prasad PV, Edelman RR (1996) Pulmonary perfusion: qualitative assessment with dynamic contrast-enhanced MRI using ultra-short TE and inversion recovery turbo FLASH. Magn Reson Med 36:503–508

    CAS  PubMed  Google Scholar 

  7. Howarth NR, Beziat C, Berthezene Y (1999) Evolution of pulmonary perfusion defects demonstrated with contrast-enhanced dynamic MR perfusion imaging. Eur Radiol 9:1574–1576

    Article  CAS  PubMed  Google Scholar 

  8. Fink C, Bock M, Puderbach M, Schmahl A, Delorme S (2003) Partially parallel three-dimensional magnetic resonance imaging for the assessment of lung perfusion—initial results. Invest Radiol 38:482–488

    Article  PubMed  Google Scholar 

  9. Berthezene Y, Croisille P, Wiart M, Howarth N, Houzard C, Faure O, Douek P, Amiel M, Revel D (1999) Prospective comparison of MR lung perfusion and lung scintigraphy. J Magn Reson Imaging 9:61–68

    Article  CAS  PubMed  Google Scholar 

  10. Amundsen T, Torheim G, Kvistad KA, Waage A, Bjermer L, Nordlid KK, Johnsen H, Asberg A, Haraldseth O (2002) Perfusion abnormalities in pulmonary embolism studied with perfusion MRI and ventilation-perfusion scintigraphy: an intra-modality and inter-modality agreement study. J Magn Reson Imaging 15:386–394

    Article  PubMed  Google Scholar 

  11. Schnorr J, Wagner S, Ebert W, Heyer C, Laub G, Kivelitz D, Abramjuk C, Hamm B, Taupitz M (2003) MR-Angiographie der Koronararterien: Vergleich des Blutpoolkontrastmittels Gadomer mit Gd-DTPA am Schwein. Rofo Fortschr Geb Rontgenstr Neuen Bildgeb Verfahr 175:822–829

    Article  CAS  PubMed  Google Scholar 

  12. Abolmaali ND, Hietschold V, Appold S, Ebert W, Vogl TJ (2002) Gadomer-17-enhanced 3D navigator-echo MR angiography of the pulmonary arteries in pigs. Eur Radiol 12:692–697

    PubMed  Google Scholar 

  13. Stanford W, Reiners TJ, Thompson BH, Landas SK, Galvin JR (1994) Contrast-enhanced thin slice ultrafast computed tomography for the detection of small pulmonary emboli. Studies using autologous emboli in the pig. Invest Radiol 29:184–187

    CAS  PubMed  Google Scholar 

  14. Misselwitz B, Schmitt-Willich H, Ebert W, Frenzel T, Weinmann HJ (2001) Pharmacokinetics of Gadomer-17, a new dendritic magnetic resonance contrast agent. MAGMA 12:128–134

    CAS  PubMed  Google Scholar 

  15. Griswold MA, Jakob PM, Heidemann RM, Nittka M, Jellus V, Wang J, Kiefer B, Haase A (2002) Generalized autocalibrating partially parallel acquisitions (GRAPPA). Magn Reson Med 47:1202–1210

    Article  PubMed  Google Scholar 

  16. Sodickson DK, Manning WJ (1997) Simultaneous acquisition of spatial harmonics (SMASH): fast imaging with radiofrequency coil arrays. Magn Reson Med 38:591–603

    CAS  PubMed  Google Scholar 

  17. Pruessmann KP, Weiger M, Scheidegger MB, Boesiger P (1999) SENSE: sensitivity encoding for fast MRI. Magn Reson Med 42:952–962

    Article  CAS  PubMed  Google Scholar 

  18. Hunold P, Maderwald S, Ladd ME et al (2002) Parallel acquisition techniques for cardiac cine MRA: comparison of image quality. Proc ISMRM 2002:1664

    Google Scholar 

  19. Berthezene Y, Vexler V, Price DC, Wisner-Dupon J, Moseley ME, Aicher KP, Brasch RC (1992) Magnetic resonance imaging detection of an experimental pulmonary perfusion deficit using a macromolecular contrast agent. Polylysine-gadolinium-DTPA40. Invest Radiol 27:346–351

    CAS  PubMed  Google Scholar 

  20. Zheng J, Carr J, Harris K, Saker MB, Cavagna FM, Maggioni F, Laub G, Li D, Finn JP (2001) Three-dimensional MR pulmonary perfusion imaging and angiography with an injection of a new blood pool contrast agent B-22956/1. J Magn Reson Imaging 14:425–432

    CAS  PubMed  Google Scholar 

  21. Kauczor HU, Hanke A, Van Beek EJ (2002) Assessment of lung ventilation by MR imaging: current status and future perspectives. Eur Radiol 12:1962–1970

    PubMed  Google Scholar 

Download references

Acknowledgements

The support of Wolfgang Ebert and Bernd Misselwitz of Schering AG, Germany, for providing Gadomer is acknowledged. The authors also would like to thank Roland Galmbacher, Barbara Dillenberger, Steffen Volz and Sven Zuehsdorff for their assistance with the animal experiments.

Author information

Affiliations

Authors

Corresponding author

Correspondence to Christian Fink.

Rights and permissions

Reprints and Permissions

About this article

Cite this article

Fink, C., Ley, S., Puderbach, M. et al. 3D pulmonary perfusion MRI and MR angiography of pulmonary embolism in pigs after a single injection of a blood pool MR contrast agent. Eur Radiol 14, 1291–1296 (2004). https://doi.org/10.1007/s00330-004-2282-8

Download citation

  • Received:

  • Revised:

  • Accepted:

  • Published:

  • Issue Date:

  • DOI: https://doi.org/10.1007/s00330-004-2282-8

Keywords

  • Lung
  • Magnetic resonance
  • Contrast media
  • Perfusion
  • Pulmonary embolism