Skip to main content

Adult onset Still’s disease flared with pericardial effusion

Abstract

Adult onset Still’s disease (AOSD) is characterized by spiking fevers, arthritis, rash, and involvement of multiple organs, and can be classified as self-limited, intermittent, and chronic disease groups. Cardiac manifestations include pericarditis and myocarditis. The case of this disease flared only with pericardial effusion is not reported. We describe a patient with adult onset Still’s disease who was flared with pericardial effusion without other AOSD-associated symptoms, and propose that pericardial effusion should be included as a feature of flare in the intermittent disease group of adult onset Still’s disease.

This is a preview of subscription content, access via your institution.

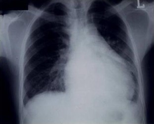
Fig. 1
Fig. 2

References

  1. Pouchot J, Sampalis JS, Beaudet F, Carette S, Decary F, Salusinsky-Sternbach M, Hill RO, Gutkowski A, Harth M, Myhal D et al (1991) Adult Still’s disease: manifestations, disease course, and outcome in 62 patients. Medicine (Baltimore) 70:118–136

    CAS  Google Scholar 

  2. Vukman RB, Fay GJ (1981) Juvenile rheumatoid arthritis with pericardial tamponade in an adult. Arch Intern Med 141:1078–1079

    PubMed  Article  CAS  Google Scholar 

  3. Jamieson TW (1983) Adult onset Still’s disease complicated by cardiac tamponade. JAMA 249:2065–2066

    PubMed  Article  CAS  Google Scholar 

  4. Moder KG, Miller TD, Allen GL (1995) Cardiac tamponade: an unusual feature of adult onset Still’s disease. J Rheumatol 22:180–182

    PubMed  CAS  Google Scholar 

  5. Cabane J, Michon A, Ziza JM, Bourgeois P, Bletry O, Godeau P, Kahn MF (1990) Comparison of long term evolution of adult onset and juvenile onset Still’s disease, both followed up for more than 10 years. Ann Rheum Dis 49:283–285

    PubMed  CAS  Article  Google Scholar 

  6. Cush JJ, Medsger TA Jr, Christy WC, Herbert DC, Cooperstein LA (1987) Adult-onset Still’s disease. Clinical course and outcome. Arthritis Rheum 30:186–194

    PubMed  Article  CAS  Google Scholar 

  7. Elkon KB, Hughes GR, Bywaters EG, Ryan PF, Inman RD, Bowley NB, James MP, Eady RA (1982) Adult-onset Still’s disease. Twenty-year followup and further studies of patients with active disease. Arthritis Rheum 25:647–654

    PubMed  Article  CAS  Google Scholar 

  8. Ohta A, Yamaguchi M, Kaneoka H, Nagayoshi T, Hiida M (1987) Adult Still’s disease: review of 228 cases from the literature. J Rheumatol 14:1139–1146

    PubMed  CAS  Google Scholar 

  9. Mok CC, Lau CS, Wong RW (1998) Clinical characteristics, treatment, and outcome of adult onset Still’s disease in southern Chinese. J Rheumatol 25:2345–2351

    PubMed  CAS  Google Scholar 

  10. Ohta A, Yamaguchi M, Tsunematsu T, Kasukawa R, Mizushima H, Kashiwagi H, Kashiwazaki S, Tanimoto K, Matsumoto Y, Akizuki M, et al (1990) Adult Still’s disease: a multicenter survey of Japanese patients. J Rheumatol 17:1058–1063

    PubMed  CAS  Google Scholar 

  11. Klippel JH, Dieppe PA (1998) Adult Still’s Disease. In: Rheumatology, Mosby, London, p 5.22.1

    Google Scholar 

  12. Yamaguchi M, Ohta A, Tsunematsu T, Kasukawa R, Mizushima Y, Kashiwagi H et al (1992) Preliminary criteria for classification of adult Still’s disease. J Rheumatol 19:424–430

    PubMed  CAS  Google Scholar 

  13. van de Putte L, Wouters J (1991) Adult onset Still’s disease. Clin Rheumatol 5:163–175

    Google Scholar 

Download references

Author information

Affiliations

Authors

Corresponding author

Correspondence to W. H. Yoo.

Rights and permissions

Reprints and Permissions

About this article

Cite this article

Yoo, W.H. Adult onset Still’s disease flared with pericardial effusion. Rheumatol Int 28, 285–287 (2008). https://doi.org/10.1007/s00296-007-0425-3

Download citation

  • Received:

  • Accepted:

  • Published:

  • Issue Date:

  • DOI: https://doi.org/10.1007/s00296-007-0425-3

Keywords

  • Adult onset Still’s disease
  • Flare
  • Pericardial effusion