Skip to main content

Die C-Zellen der Schilddrüse und ihre Pathologie

Teil 2: Medulläres Karzinom der Schilddrüse

Thyroid C cells and their pathology

Part 2: Medullary thyroid carcinoma

Zusammenfassung

Alle Tumoren der Schilddrüse mit C-Zell-Differenzierung werden als medulläre Karzinome (MTC) bezeichnet. MTC treten sporadisch (75−80 %) oder familiär im Rahmen multipler endokriner Neoplasien Typ 2 (MEN2, 20–25 %) auf; die familiären MTC beruhen auf einer autosomal-dominant vererbten Keimbahnmutation des RET-Protoonkogens, wobei in Abhängigkeit von der Mutationslokalisation äußerst unterschiedliche klinische Verläufe bestehen. Das familiäre MTC geht auch obligat aus einer „neoplastischen C-Zell-Hyperplasie“ hervor. Morphologisch ist das MTC äußerst heterogen, weshalb zur Diagnosesicherung der immunhistochemische Nachweis von Kalzitonin unumgänglich ist. Zur Früherkennung des MTC wird seit ca. 10 Jahren in Deutschland und Österreich bei Patienten mit Schilddrüsenknoten ein Kalzitoninscreening betrieben; ein erhöhter Serumkalzitoninspiegel kann allerdings auch durch eine sogenannte „nicht-MEN2-assoziierte C-Zell-Hyperplasie“ verursacht sein, die nach heutigem Kenntnisstand nicht die Vorläuferläsion des sporadischen MTC darstellt. Äußerst selten kommen in der Schilddrüse auch Tumoren mit einer gemischten C-Zell-Follikelzell-Differenzierung vor.

Abstract

All tumours with C cell differentiation are designated as medullary carcinomas (MTC). MTC occur sporadically (75–80 %) or hereditary (20–25 %), the latter being part of the multiple endocrine neoplasia type 2. Familial MTC, which is commonly preceded by “neoplastic” C cell hyperplasia, is caused by autosomal-dominant inherited germ line mutation of the RET-protooncogene; dependent on the codon affected by the mutation, patients show substantially different clinical courses. Due to its morphological heterogeneity, the immunohistochemical demonstration of calcitonin is mandatory for the diagnosis of MTC. For early diagnosis of MTC calcitonin screening has been introduced in Germany and Austria approx. 10 years ago in patients with thyroid nodules; however, an increased calcitonin serum level may also be caused by “non-MEN2-associated” C cell, which is not regarded as a precursor of sporadic MTC. Very rarely tumours may show a mixed C cell-follicular cell differentiation.

This is a preview of subscription content, access via your institution.

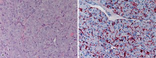
Abb. 1
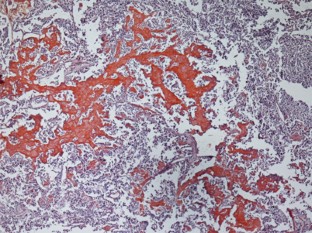
Abb. 2
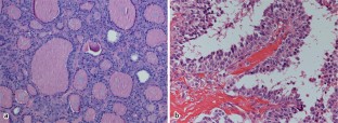
Abb. 3
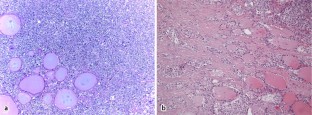
Abb. 4
Abb. 5

Literatur

  1. Adnan Z, Arad E, Dana J, Shendler Y, Baron E (2013) Simultaneous occurrence of medullary and papillary thyroid microcarcinomas: a case series and review of the literature. J Med Case Rep 7:26

    Article  PubMed Central  PubMed  Google Scholar 

  2. Agaimy A, Erlenbach-Wünsch K, Konukiewitz B et al (2013) ISL1 expression is not restricted to pancreatic well differentiated neuroendocrine neoplasms, but is also commonly found in well and poorly differentiated neuroendocrine neoplasms of extrahepatic origin. Mod Pathol 26:995–1003

    Article  CAS  PubMed  Google Scholar 

  3. Bockhorn M, Sheu SY, Frilling A, Molmenti E, Schmid KW, Broelsch CE (2005) Paraganglioma-like medullary thyroid carcinoma: a rare entity. Thyroid 15:1363–1367

    Article  PubMed  Google Scholar 

  4. Brauckhoff M, Machens A, Hess S et al (2008) Premonitory symptoms preceding metastatic medullary thyroid cancer in MEN 2B: an exploratory analysis. Surgery 144:1044–1050

    Article  PubMed  Google Scholar 

  5. Cooper DS, Doherty GM, Haugen BR et al (2009) Revised American Thyroid Association management guidelines for patients with thyroid nodules and differentiated thyroid cancer. Thyroid 19:1167–1214

    Article  PubMed  Google Scholar 

  6. DeLellis RA, Lloyd RV, Heitz PU, Eng C (2004) WHO histological classification of thyroid and parathyroid tumours. In: World Health Organization classification of tumours. Pathology & genetics. Tumours of endocrine organs. IARC Press, Lyon

    Google Scholar 

  7. Dralle H, Gimm O, Simon D et al (1998) Prophylactic thyroidectomy in 75 children and adolescents with hereditary medullary thyroid carcinoma: German and Austrian experience. World J Surg 22:744–750

    Article  CAS  PubMed  Google Scholar 

  8. Dralle H, Machens A, Lorenz K (2008) Hereditäre Schilddrüsenkarzinome. Chirurg 79:1017–1028

    Article  CAS  PubMed  Google Scholar 

  9. Elisei R, Cosci B, Romei C et al (2008) Prognostic significance of somatic RET oncogene mutations in sporadic medullary thyroid cancer: a 10-year follow-up study. J Clin Endocrinol Metab 93:682–687

    Article  CAS  PubMed  Google Scholar 

  10. Erovic BM, Kim D, Cassol C et al (2012) Prognostic and predictive markers in medullary thyroid carcinoma. Endocr Pathol 23:232–242

    Article  CAS  PubMed  Google Scholar 

  11. Ferri E, Manconi R, Armato E, Ianniello F (2009) Primary paraganglioma of thyroid gland: a clinicopathologic and immunohistochemical study with review of the literature. Acta Otorhinolaryngol Ital 29:97–102

    PubMed Central  CAS  PubMed  Google Scholar 

  12. Frank-Raue K, Machens A, Scheuba C, Niederle B, Dralle H, Raue F, German MEN2 Study Group (2008) Difference in development of medullary thyroid carcinoma among carriers of RET mutations in codons 790 and 791. Clin Endocrinol (Oxf) 69:259–263

    Article  CAS  Google Scholar 

  13. Frank-Raue K, Machens A, Leidig-Bruckner G et al (2013) Prevalence and clinical spectrum of nonsecretory medullary thyroid carcinoma in a series of 839 patients with sporadic medullary thyroid carcinoma. Thyroid 23:294–300

    Article  CAS  PubMed  Google Scholar 

  14. Harach HR (1997) Histogenesis of thyroid C-cell carcinoma. Curr Top Pathol 91:15–20

    CAS  PubMed  Google Scholar 

  15. Harach HR, Franssila KO, Wasenius VM (1985) Occult papillary carcinoma of the thyroid. A „normal“ finding in Finland. A systematic autopsy study. Cancer 56:531–538

    Article  CAS  PubMed  Google Scholar 

  16. Harach HR, Wilander E, Grimelius L, Bergholm U, Westermark P, Falkmer S (1992) Chromogranin A immunoreactivity compared with argyrophilia, calcitonin immunoreactivity, and amyloid as tumour markers in the histopathological diagnosis of medullary (C-cell) thyroid carcinoma. Pathol Res Pract 188:123–130

    Article  CAS  PubMed  Google Scholar 

  17. Hirsch MS, Faquin WC, Krane JF (2004) Thyroid transcription factor-1, but not p53, is helpful in distinguishing moderately differentiated neuroendocrine carcinoma of the larynx from medullary carcinoma of the thyroid. Mod Pathol 17:631–636

    Article  CAS  PubMed  Google Scholar 

  18. Insabato L, De Rosa G, Terracciano LM, Lupoli G, Montedoro D, Ravetto C (1993) A calcitonin-producing neuroendocrine tumor of the larynx: a case report. Tumori 79:227–230

    CAS  PubMed  Google Scholar 

  19. Karges W (2005) Klinische und molekulare Genetik des Schilddrüsenkarzinoms. Onkologe 11: 20–28

    Article  Google Scholar 

  20. Karges W (2010) Kalzitoninbestimmung zur Frühdiagnose des medullären Schilddrüsenkarzinoms. Chirurg 81:620–626

    Article  CAS  PubMed  Google Scholar 

  21. Kaserer K, Scheuba C, Neuhold N et al (2001) Sporadic versus familial medullary thyroid microcarcinoma: a histopathologic study of 50 consecutive patients. Am J Surg Pathol 25:1245–1251

    Article  CAS  PubMed  Google Scholar 

  22. Kim WG, Gong G, Kim EY et al (2010) Concurrent occurrence of medullary thyroid carcinoma and papillary thyroid carcinoma in the same thyroid should be considered as coincidental. Clin Endocrinol (Oxf) 72:256–263

    Article  Google Scholar 

  23. Komminoth P (1997) The RET proto-oncogene in medullary and papillary thyroid carcinoma. Molecular features, pathophysiology and clinical implications. Virchows Arch 431:1–9

    Article  CAS  PubMed  Google Scholar 

  24. Koperek O, Scheuba C, Puri C et al (2007) Molecular characterization of the desmoplastic tumor stroma in medullary thyroid carcinoma. Int J Oncol 31:59–67

    CAS  PubMed  Google Scholar 

  25. Koperek O, Scheuba C, Cherenko M et al (2008) Desmoplasia in medullary thyroid carcinoma: a reliable indicator of metastatic potential. Histopathology 52:623–630

    Article  CAS  PubMed  Google Scholar 

  26. Koperek O, Prinz A, Scheuba C, Niederle B, Kaserer K (2009) Tenascin C in medullary thyroid microcarcinoma and C-cell hyperplasia. Virchows Arch 455:43–48

    Article  CAS  PubMed  Google Scholar 

  27. Koperek O, Bergner O, Pichlhöfer B et al (2011) Expression of hypoxia-associated proteins in sporadic medullary thyroid cancer is associated with desmoplastic stroma reaction and lymph node metastasis and may indicate somatic mutations in the VHL gene. J Pathol 225:63–72

    Article  CAS  PubMed  Google Scholar 

  28. Krisch K, Krisch I, Horvat G, Neuhold N, Ulrich W (1985) The value of immunohistochemistry in medullary thyroid carcinoma: a systematic study of 30 cases. Histopathology 9:1077–1089

    Article  CAS  PubMed  Google Scholar 

  29. Machens A, Dralle H (2006) Multiple endocrine neoplasia type 2 and the RET protooncogene: from bedside to bench to bedside. Mol Cell Endocrinol 247:34–40

    Article  CAS  PubMed  Google Scholar 

  30. Matias-Guiu X, Machin P, Pons C, Lagarda E, De Leiva A, Prat J (1998) Sustentacular cells occur frequently in the familial form of medullary thyroid carcinoma. J Pathol 184:420–423

    Article  CAS  PubMed  Google Scholar 

  31. Nakazawa T, Cameselle-Teijeiro J, Vinagre J et al (2014) C-cell-derived calcitonin-free neuroendocrine carcinoma of the thyroid: the diagnostic importance of CGRP immunoreactivity. Int J Surg Pathol 22:530–535

    Article  CAS  PubMed  Google Scholar 

  32. Sadow PM, Hunt JL (2010) Mixed Medullary-follicular-derived carcinomas of the thyroid gland. Adv Anat Pathol 17:282–285

    Article  PubMed  Google Scholar 

  33. Scheuba C, Kaserer K, Kaczirek K, Asari R, Niederle B (2006) Desmoplastic stromal reaction in medullary thyroid cancer-an intraoperative „marker“ for lymph node metastases. World J Surg 30:853–859

    Article  PubMed  Google Scholar 

  34. Schmid KW, Böcker W (1993) Medulläres Schilddrüsenkarzinom. Immunhistochemische Marker in Histopathololgie und Forschung. Zentralbl Pathol 139:115–129

    CAS  PubMed  Google Scholar 

  35. Schmid KW, Ensinger C (1998) „Atypical“ medullary thyroid carcinoma with little or no calcitonin expression. Virchows Arch 433:209–215

    Article  CAS  PubMed  Google Scholar 

  36. Schmid KW, Fischer-Colbrie R, Hagn C, Jasani B, Williams ED, Winkler H (1987) Chromogranin A and B and secretogranin II in medullary carcinomas of the thyroid. Am J Surg Pathol 11:551–556

    Article  CAS  PubMed  Google Scholar 

  37. Schröder S, Klöppel G (1987) Carcinoembryonic antigen and nonspecific cross-reacting antigen in thyroid cancer. An immunocytochemical study using polyclonal and monoclonal antibodies. Am J Surg Pathol 11:100–108

    Article  PubMed  Google Scholar 

  38. Sheu SY, Schmid KW (2010) Multiple endocrine Neoplasien Typ 2. Pathologe 31:449–454. Erratum in: Pathologe (2011) 32:82

    Article  PubMed  Google Scholar 

  39. Smets G, Warson F, Dehou MF et al (1990) Metastasizing neuroendocrine carcinoma of the larynx with calcitonin and somatostatin secretion and CEA production, resembling medullary thyroid carcinoma. Virchows Arch A Pathol Anat Histopathol 416:539–543

    Article  CAS  PubMed  Google Scholar 

  40. Sweeney EC, McDonnell L, O’Brien C (1981) Medullary carcinoma of the thyroid presenting as tumours of the pharynx and larynx. Histopathology 5:263–275

    Article  CAS  PubMed  Google Scholar 

  41. Vantyghem MC, Pigny P, Leteurtre E et al (2004) Thyroid carcinomas involving follicular and parafollicular C cells: seventeen cases with characterization of RET oncogenic activation. Thyroid 14:842–847

    Article  CAS  PubMed  Google Scholar 

  42. Vierhapper H, Raber W, Bieglmayer C, Kaserer K, Weinhäusl A, Niederle B (1997) Routine measurement of plasma calcitonin in nodular thyroid diseases. J Clin Endocrinol Metab 82:1589–1593

    Article  CAS  PubMed  Google Scholar 

  43. Volante M, Papotti M, Roth J et al (1999) Mixed medullary-follicular thyroid carcinoma. Molecular evidence for a dual origin of tumor components. Am J Pathol 155:1499–1509

    Article  PubMed Central  CAS  PubMed  Google Scholar 

  44. Weinhaeusel A, Scheuba C, Lauss M et al (2008) The influence of gender, age, and RET polymorphisms on C-cell hyperplasia and medullary thyroid carcinoma. Thyroid 18:1269–1276

    Article  CAS  PubMed  Google Scholar 

  45. Wohllk N, Schweizer H, Erlic Z et al (2010) Multiple endocrine neoplasia type 2. Best Pract Res Clin Endocrinol Metab 24:371–387

    Article  CAS  PubMed  Google Scholar 

Download references

Author information

Affiliations

Authors

Corresponding author

Correspondence to K.W. Schmid.

Ethics declarations

Interessenkonflikt

Die Autoren geben an, dass kein Interessenkonflikt besteht.

Dieser Beitrag enthält keine Studien an Menschen oder Tieren.

Additional information

Schwerpunktherausgeber

W. Saeger, Hamburg

Rights and permissions

Reprints and Permissions

About this article

Verify currency and authenticity via CrossMark

Cite this article

Synoracki, S., Schmid, S., Ting, S. et al. Die C-Zellen der Schilddrüse und ihre Pathologie. Pathologe 36, 254–260 (2015). https://doi.org/10.1007/s00292-015-0017-z

Download citation

  • Published:

  • Issue Date:

  • DOI: https://doi.org/10.1007/s00292-015-0017-z

Schlüsselwörter

  • Medulläres Schilddrüsenkarzinom
  • C-Zell-Hyperplasie
  • Familiär
  • Sporadisch
  • Stromadesmoplasie

Keywords

  • Medullary thyroid carcinoma
  • C cell hyperplasia
  • Familial
  • Sporadic
  • Stromal desmoplasia