Skip to main content

HER2-ASCO-Guidelines

Der Weisheit letzter Schluss?

HER2 ASCO guidelines

The answer to everything?

Zusammenfassung

Die Oberflächen-Tyrosinkinase HER2 ist bei etwa 15–20% der Mammakarzinome amplifiziert und überexprimiert. Die Analyse des HER2-Status gehört routinemäßig zu jedem neu diagnostizierten Mammakarzinom. Dieser Artikel fokussiert sich auf einige wichtige Probleme im Rahmen der gegenwärtigen HER2-Testung, unter besonderer Berücksichtigung der kürzlich publizierten Richtlinien für die klinische HER2-Untersuchung der ASCO-CAP („American Society of Clinical Oncology/College of American Pathologists“). Obwohl es eine signifikante Korrelation zwischen der HER2-Status-Bestimmung mittels Fluoreszenz-in-situ-Hybridisierung (FISH) und Immunhistochemie (IHC) gibt, sprechen Kriterien wie Testgenauigkeit, Reproduzierbarkeit des Testresultates und die Datenlage der gegenwärtigen Literatur für die FISH als favorisierte Methode zur Bestimmung des HER2-Status. Biologische und technische Aspekte der HER2-Testung sind für die praktische Anwendung aber ebenso wichtig. Die HER2-Amplifikation beispielsweise ist direkt mit der Expression des korrespondierenden Proteins verknüpft, und dennoch findet sich keine konsistente Übereinstimmung der Proteinanalyse mittels IHC am formalinfixierten Gewebe, was in erster Linie auf variable Fixationszeiten/Fixationsmethoden und dem daraus resultierenden Einfluss auf die Antigeneigenschaften des HER2-Proteins zurückzuführen ist. Umgekehrt sind die FISH und die Genamplifikation gegenüber Fixationsartefakten bedeutend weniger anfällig. Demzufolge ist die FISH-Technik sowohl zwischen zentralen als auch peripheren Laboratorien besser reproduzierbar als die IHC, präziser in der HER2-Analyse und darüber hinaus stark mit dem Ansprechen auf eine Trastuzumab- und Lapatinib-Therapie korreliert. Solange andere Methoden nicht die gleiche Testgenauigkeit, Reproduzierbarkeit, Präzision und prädiktiven Nutzen erreichen, ist als primäre Methode der HER2-Testung bei Mammakarzinompatientinnen die FISH-Untersuchung zu empfehlen.

Abstract

The HER2 gene is amplified and overexpressed in about 15%–20% of breast cancers. For every newly diagnosed breast cancer HER2 testing is a standard routine procedure. This article focuses on a number of issues raised in the context of current HER2 testing in breast cancer. It particularly points out issues arising in the recently published ASCO-CAP (American Society of Clinical Oncology/College of American Pathologists) guideline recommendations for clinical testing of HER2. Despite the significant correlation between HER2 status determination by immunohistochemistry (IHC) and fluorescence in situ hybridization (FISH), standard considerations of laboratory testing, such as test accuracy, reproducibility and precision as well as current data, favor FISH methods over IHC assay methods for the determination of HER2 status. Biological and technical considerations of HER2 testing are also important in clinical practice. For example, HER2 gene amplification is directly linked to the protein expression level in breast cancer; however, the HER2 protein is not consistently analyzed on formalin fixed tissues due to variability in fixation methods/times and the impact of this fixation on HER2 protein antigenicity. FISH is significantly less dependent on tissue fixation artifacts. Hence, FISH is more reproducible between both central and peripheral laboratories than IHC and is more accurate for HER2 measurement, as well as being more strongly correlated with responsiveness to trastuzumab and lapatinib treatment. Until other methods are able to ensure similar test accuracy, reproducibility, precision and predictive value, FISH is recommended as the primary HER2 testing modality for women with breast cancer who are candidates for HER2-targeted therapies.

HER2 beim Mammakarzinom

Die Membran-Tyrosinkinase HER2 wird bei etwa 15–20% der Mammakarzinome überexprimiert, wobei deutliche geografische/ethnische Unterschiede bestehen [14]. Mammakarzinompatientinnen im arabischen Raum und in Korea beispielsweise haben eine deutlich höhere Rate an HER2-Positivität [1]. Ursache für die Überexpression ist in allen Fällen eine Vermehrung des HER2-Gens (HER2-Amplifikation; [4, 9]). Keine Studie, welche an unfixiertem, gut erhaltenem Material durchgeführt wurde und bei der Proteine, RNA und DNA untersucht wurden, hat eine HER2-Überexpression aus anderer Ursache gezeigt [12]. Bei unbehandelten Patientinnen ist eine HER2-Positivität mit einer ungünstigeren Prognose assoziiert [3, 8, 14, 15, 17]. Dementsprechend kommen HER2-positive Fälle ganz überwiegend bei wenig differenzierten Karzinomen vor, häufiger bei duktalen als bei lobulären [18].

Mehr als 7000 Publikationen haben HER2-Untersuchungen bei Mammakarzinomen zum Inhalt. Folglich ist die Literatur unübersichtlich und zu großen Teilen widersprüchlich. Diese Situation führt für diagnostisch tätige Pathologen zu Schwierigkeiten. Gibt es doch zahlreiche Studien, welche verschiedene Methoden für die HER2-Diagnostik miteinander vergleichen und zu unterschiedlichen Ergebnissen und Schlussfolgerungen kommen. Somit werden die Anwender der HER2-Diagnostik mit Argumenten Pro und Contra die eine oder die andere Methode überschüttet.

Prinzipielle Möglichkeiten der HER2-Testung

Der HER2-Status eines Tumors kann am besten durch Protein- oder DNA-Nachweis erfolgen. RNA-Untersuchungen besitzen keine praktische Relevanz. Versuche, den HER2-Status durch Quantifikation von HER2-Proteinfragmenten im Serum zu bestimmen, haben sich nicht bewährt [5, 21]. Die aktuelle Diskussion konzentriert sich im Wesentlichen auf die Frage Fluoreszenz-in-situ-Hybridisierung (FISH) oder Immunhistochemie (IHC) oder beides.

Die ersten nationalen Richtlinien zu HER2-Testungen hatten praktisch in allen Ländern eine initiale IHC-Testung vorgesehen und eine FISH-Nachtestung nur bei Grenzbefunden (IHC 2+). Eine 2007 von einer Gruppe amerikanischer Pathologen und Onkologen vorgeschlagene Richtlinie zur HER2-Testung stellte fest, dass FISH und IHC gleichermaßen für die initiale HER2-Testung geeignet sind [22, 23]. Diese Aussage ist allerdings auch innerhalb der Autorengruppe der ASCO-CAP- („American Society of Clinical Oncology/College of American Pathologists“-) Richtlinien umstritten [12, 23].

Die Autoren dieses Artikels sind der Meinung, dass die initiale FISH-Untersuchung gegenüber der initialen IHC-Testung massive Vorteile aufweist. Diese Auffassung ist darin begründet, dass es bei der FISH-Untersuchung wesentlich weniger und dabei beherrschbarere technische Probleme gibt als bei der IHC. Für die Anwender der HER2-Testung ist es von großer Bedeutung, die möglichen technischen Probleme der IHC- und der FISH-Technik zu kennen. Diese sollen nachfolgend dargestellt werden.

Schwierigkeiten bei der Immunhistochemie

An sich wäre das HER2-Protein ein optimales Ziel für eine IHC-Untersuchung. Das HER2-Protein wird in Normalgeweben nur sehr geringgradig exprimiert, ist aber bei HER2-amplifizierten Mammakarzinomen deutlich überexprimiert. Die für die HER2-Testung vorhandenen Reagenzien sind hervorragend und erlauben in vielen Fällen eine exzellente, saubere Darstellung von membrangebundenem HER2-Protein. Unglücklicherweise hängt die Qualität der IHC-Färbung für HER2 (und für viele andere, wenn nicht alle Proteine) aber wesentlich von der Qualität und der Fixierung des zu untersuchenden Gewebes ab [10].

Eine optimale Formalinfixierung mit entsprechendem „Crosslinking“ ist ideal für eine HER2-IHC, wobei die Fixationsdauer eine entscheidende Rolle spielt. Bei vielen Präparaten ist eine Fixationsdauer von 12 bis 24 Stunden optimal. Die Standardisierung einer solchen Fixierung ist allerdings schwer möglich, da die Gewebefixation nicht allein von der Fixationszeit und der Art des Formalins abhängt, sondern auch von der Größe des Präparates sowie des Fett- und Bindegewebsanteils. Die Verwendung von zu wenig Formalin beispielsweise (optimal ist 10-mal mehr Formalin als zu fixierende Gewebemenge) kann zur Verdünnung des Formalins durch austretende Gewebesäfte führen mit konsekutiver Insuffizienz der Fixierung. Auch kann eine zulange dauernde Fixierung zu einem zu starken Crosslinking führen, welches durch die gängigen „Antigen-Retrieval-Methoden“ nicht ausreichend aufgehoben werden kann.

Noch gravierender ist eine zu kurz dauernde Formalinfixierung. Hier kann es zum Verbleiben unfixierter oder ungenügend fixierter Stellen im Tumor kommen. Nichtfixierte Gewebeanteile werden bei der Verarbeitung des Materials (Dehydrierung, Rehydrierung in Alkoholreihen) sekundär alkoholfixiert, wobei es nicht zum Crosslinking von Proteinen, sondern zur Koagulationsfixierung mit daraus resultierender anderer Verfügbarkeit der Epitope für Antikörper kommt (Abb. 1).

Abb. 1
figure 1

Regionale Unterschiede der Gewebefixation bei zu kurzer Fixierungszeit

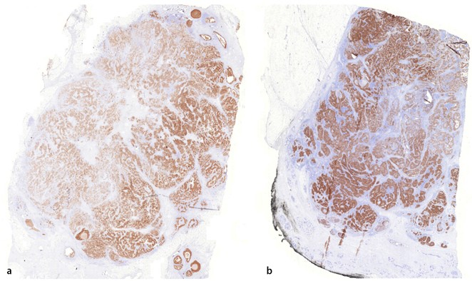
Die oben genannten Fixationsprobleme führen zu gravierenden Fehlermöglichkeiten im Rahmen der HER2-Diagnostik. Eine zu lange Formalinfixierung kann zu ungenügender Zugänglichkeit der HER2-Epitope nach Vorbehandlung für die HER2-IHC führen. Dementsprechend sind Präparate, die am Freitag in Pathologie-Instituten eintreffen und erst am Montag verarbeitet werden, bezüglich HER2 besonders häufig IHC-negativ, aber FISH-positiv. Ungenügend (zu kurz) formalinfixierte Gewebe mit sekundärer Alkoholfixation können zu falsch-positiven IHC-Befunden führen. In einer ein Jahr nach Einführung von Herceptin® publizierten Studie von Roche et al. [11] wurde an 2 konsekutiven Serien über HER2-Positivität in zuerst 70 von 117 Patienten (60%) und danach in 651 von 1142 Patienten (57%) berichtet. Eine Evaluation dieser damals als sehr beunruhigend empfundenen Publikation ergab eine teilweise Alkoholfixation der untersuchten Gewebe.

Ein Beispiel eines artifiziell HER2-positiv „gemachten“ Mammatumors ist in Abb. 2 a, b dargestellt. Dieses Gewebe wurde zu Demonstrationszwecken alkoholfixiert. Bei negativem FISH-Befund (Abb. 2 c) besteht teilweise eine deutliche immunhistochemische HER2-Positivität (3+).

Abb. 2
figure 2

Artifizielle HER2-Positivität in der IHC nach Alkoholfixation (ab). Der FISH-Befund bleibt klar negativ (c)

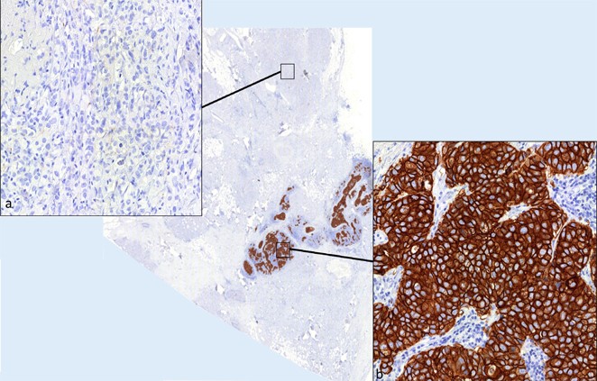
Weniger dramatische Fälle von „Fixationsproblemen“ führen häufig zu einer Pseudoheterogenität im Tumor mit Ausbildung eines Anfärbungsgradienten über das Präparat hinweg. Beispiele hierfür sind in Abb. 3 a, b gezeigt. Ähnliche Phänomene sind bekanntlich bei vielen Antikörpern zu sehen. Dieses Phänomen ist zu unterscheiden von echter Tumorheterogenität mit scharf begrenzten stark positiven und eindeutig negativen Arealen (kein gradueller Übergang). Ein Beispiel eines heterogenen HER2-Befundes ist in Abb. 4 a, b dargestellt.

Abb. 3
figure 3

ab Graduelle Unterschiede der HER2-Immunfärbung bei inhomogener Gewebefixation

Abb. 4
figure 4

„Echter“ heterogener HER2-Befund in einem Mammakarzinom. Scharfe Grenze zwischen klar negativen (a) und klar positiven (b) Arealen

Leider sind die genannten Fixationsprobleme nicht durch geeignete Kontrollen und Qualitätskontrollmaßnahmen zu vermeiden. Das mit jeder IHC-Färbung mitlaufende Zelllinienkontrollsystem kontrolliert lediglich die Qualität der technischen Durchführung der Färbung. Da die Zelllinien aber nicht gleich fixiert worden sind wie das parallel untersuchte Tumorgewebe, kann die Kontrolle leider nichts Wesentliches zur Zuverlässigkeit der Färberesultate aussagen.

Auch die von verschiedenen Gesellschaften angebotenen Ringversuche unter Verwendung von „Tissue-Microarrays“ (TMA) sind für die Qualitätssicherung der HER2-Färbung unzureichend. Ebenso wie Zelllinien können 0,6–2 mm große Tumorgewebestücke selbstverständlich in jedem Labor unter Verwendung von zertifizierten Test-Kits reproduzierbar angefärbt werden. Auch die Qualität des Auswerters kann an kleinen Gewebeproben nicht zuverlässig evaluiert werden. In einer eigenen Untersuchung an einem TMA mit mehr als 600 Mammakarzinomen fanden wir eine Übereinstimmung von 97,5% bei der Auswertung im Vergleich eines erfahrenen Pathologieprofessors und eines 10-jährigen Jungen bei seinem ersten Einsatz am Mikroskop.

Die Schwierigkeiten des Auswerters beginnen dann, wenn Präparate inhomogen gefärbt sind, wie in Abb. 3 a, b gezeigt. Interessanterweise wird die Schwierigkeit der Präanalytik für die HER2-IHC auch von den Mitgliedern der ASCO-CAP-Richtlinien registriert. In dem Manuskript wird in den Tabellen 5 und 7 daraufhingewiesen, dass immungefärbte Präparate mit deutlicher HER2-Anfärbung in normalen Drüsen und Lobuli nicht weiter beurteilt werden können [23]. Es ist aus unserer Sicht erstaunlich, dass dieses Problem in der Beurteilung der HER2-Diagnostik durch die ASCO-CAP-Gruppe keinen größeren Raum einnimmt. Die in Tabelle 5 und 7 genannten Punkte sind unserer Meinung nach eigentlich ein Ausschlusskriterium für die immunhistochemische HER2-Analyse. Wenn tatsächlich gelegentlich eine falsche HER2-Posivität in normalen Drüsen beobachtet wird, dann müssten zumindest Präparate ohne tumornahe normale Drüsen von einer immunhistochemischen HER2-Untersuchung ausgeschlossen werden. Das Gleiche gilt dann auch für Metastasen, da die offenbar wichtige interne Kontrolle naturgemäß fehlt. Aus unserer Sicht spricht allein dieser Befund imperativ für eine initiale FISH-Testung von HER2 bei Mammatumoren.

Schwierigkeiten bei der FISH-Technik

Es darf nicht darüber hinweg gesehen werden, dass es auch bei der FISH-Methode Schwierigkeiten gibt. Ein Hauptproblem ist, dass bei 2–3% der Tumoren keine FISH-Analyse durchführbar ist. Dies ist offenbar ebenfalls Resultat einer morphologisch nicht erkennbaren Gewebeschädigung, z. B. aufgrund einer überlangen Formalinfixation. Präparate, welche von weit her in Formalin geschickt werden, sind in der FISH-Untersuchung häufiger nicht auswertbar als Präparate aus dem eigenen Krankenhaus. Immerhin wird bei der FISH-Untersuchung sofort festgestellt, dass ein Fall nicht auswertbar ist. Im Gegensatz dazu führt ein Versagen der IHC zum falschen Eindruck eines falsch-negativen Befundes (Abb. 5).

Abb. 5
figure 5

Negative und fehlerhafte FISH-Tests lassen sich (im Gegensatz zur IHC) leicht unterscheiden

Gewebeproben, welche sich in der FISH-Analyse nicht hybridisieren lassen, sind immunhistochemisch seltener HER2-positiv als hybridisierbare Gewebe [16]. Dies ist ein weiteres Argument dafür, dass eine Gewebeschädigung Ursache für eine insuffiziente Gewebeanalyse (FISH und IHC) darstellt, wobei die Probleme bei der FISH-Untersuchung erkannt werden, bei der IHC aber meistens nicht. Aus den genannten Gründen verzichten wir bei Gewebeproben, welche mittels FISH nicht erfolgreich untersucht werden können, auf eine sekundäre IHC-Untersuchung. Auch bewerten wir dann andere immunhistochemische Resultate (Rezeptoren) bei nicht FISH-untersuchbaren Tumoren mit Vorsicht.

Das nächste Problem bei der FISH-Untersuchung ist die Einordnung von Grenzfällen. Zwar zeigen mehr als 90% aller HER2-FISH-Untersuchungen bei Mammakarzinomen einen auf Anhieb eindeutigen Befund, doch gibt es auch Fälle mit einer grenzwertigen Ratio HER2/Zentromer 17 bzw. Fälle mit einer niedrigen Ratio HER2/Zentromer 17 bei relativ hoher Anzahl von HER2-Signalen (Polysomie) bzw. Tumoren mit einer Ratio im Amplifikationsbereich, aber eher geringer Zahl von HER2-Signalen. Angesichts der unterdessen entfachten Diskussion, ob neben den Kategorien „positiv“ und „negativ“ eine Kategorie „Borderline“ (z. B. für Fälle mit einer Ratio von 1,8–2,2) eingeführt werden sollte, muss betont werden, dass klinische Daten, welche eine besondere Bedeutung des Grenzwertes 2,0 bei einer Ratio HER2/Zentromer 17 unterstützen, bisher völlig fehlen. Tatsächlich wurde der heute akzeptierte Grenzwert für die Definition einer HER2-Amplifikation bereits 1992 (6 Jahre vor der FDA-Zulassung von Herceptin®) durch eine Gruppe von Grundlagenforschern anhand einer Studie an 44 Tumoren mit „Southern Blot“ und FISH-Daten vorgeschlagen [6]. Dieser Grenzwert wurde anschließend von allen nachfolgenden Autoren von FISH-Studien übernommen und hat sich als De-facto-Grenzwert für die Definition einer Genamplifikation etabliert. Es wäre von hohem Interesse, wenn existierende Daten über das Therapieansprechen von Tumoren mit Grenzbefunden statistisch ausgewertet und publiziert werden könnten.

Einige seltene FISH-Befunde sind gelegentlich Gegenstand einer Fehlinterpretation von FISH-Daten und sollen hier Erwähnung finden. Gelegentlich kommt es zur Cluster-artigen Vermehrung von HER2-Genen bei gleichzeitig Cluster-artiger Vermehrung von Zentromer-17-Signalen. Solche Cluster können dann ohne weiteres 50 HER2-Gene und 50 Zentromer-17-Signale enthalten (Abb. 6 a). Rein rechnerisch würde hier eine Ratio von 1,0 vorliegen und der Tumor wäre somit nicht amplifiziert. Eine derartige Beurteilung kann bei 50 HER2-Genkopien aber kaum sinnvoll sein. Es wird angenommen, dass es sich bei dem genannten Phänomen um eine Koamplifikation von HER2-Genen und zumindest Teilen von Zentromer 17 handelt, wobei es offenbar zu einem interchromosomalen Rearrangement gekommen ist [7]. Derartige Tumoren weisen immer eine kräftige HER2-Expression auf und sollten immer als HER2-positiv klassifiziert werden.

Abb. 6
figure 6

Besondere FISH-Befunde. a Ein FISH-Befund mit dem Phänomen einer Koamplifikation von etwa 50 HER2-Genen (rot) und etwa 50 zumindest Teilen von Zentromer 17 (grün) (Ratio 1,0). b Ein FISH-Befund, in welchem der Tumor ein Zentromer-17- (grün) und 2 HER2-Signale (rot) pro Zelle aufweist (Ratio 2,0).

Am anderen Ende des Spektrums von Problemfällen liegen Tumoren mit einem Zentromer-17- und 2 HER2-Signalen. Hier liegt rein mathematisch eine Ratio von 2,0 und somit eine „Genamplifikation“ vor (Abb. 6 b). Auch hier scheint diese Beurteilung aber wenig sinnvoll zu sein, da die HER2-Gene ja nicht vermehrt sind, und die „Amplifikation“ lediglich durch einen Verlust von Zentromer 17 entstanden ist. Dementsprechend erstaunt es nicht, dass derartige Tumoren immunhistochemisch kaum eine nachweisbare HER2-Positivität aufweisen. Tumoren mit einem derartigen FISH-Befund sind als HER2-negativ zu klassifizieren.

Zusammengefasst lassen sich die FISH-Befunde rasch und unproblematisch in 4 Kategorien klassifizieren:

  1. 1.

    Amplifikation (typischerweise mit Cluster-Bildung),

  2. 2.

    Normalbefund,

  3. 3.

    Grenzbefund und

  4. 4.

    FISH nicht informativ.

Obwohl die Kategorie Grenzbefund diagnostisch ärgerlich ist, muss konstatiert werden, dass eine Unterscheidung von positiven und negativen Fällen in der Grenzbefundkategorie, bei völligem Fehlen von überzeugenden Daten, die zeigen, ob solche Tumoren auf eine Anti-HER2-Therapie ansprechen oder nicht, klinisch nicht sehr relevant ist.

Heterogene HER2-Positivität

HER2 ist ein optimales und maximal erfolgreiches Therapieziel [2, 19, 20]. Neben dem hohen Expressionslevel und der offenbar wichtigen Bedeutung dieser Tyrosinkinase ist einer der Gründe für die Eignung von HER2 als Therapieziel die hohe Homogenität des HER2-Befundes in den meisten Mammakarzinomen [13]. Heterogene Befunde mit eindeutig HER2-positiven und HER2-negativen Tumorpopulationen finden sich in unserem Untersuchungsgut in etwa 5% der Mammakarzinome. Aus unserer Sicht ist es von hoher Bedeutung, heterogene Befunde als solche zu erkennen und diesen Befund dem Kliniker mitzuteilen. Wir beschreiben im Falle eines heterogenen HER2-Befundes die Befundkonstellation beider Tumorzellpopulationen im Detail und versuchen, die negativen und positiven Populationen zu quantifizieren. In einem Kommentar wird darauf hingewiesen, dass ein heterogener HER2-positiver Tumor vorliegt und somit Teile des Tumors, aber möglicherweise nicht der ganze Tumor potenziell auf eine Herceptin®-Therapie ansprechen könnten. Zudem empfehlen wir im Falle einer späteren lymphogenen/hämatogenen Metastasierung eine wiederholte Materialgewinnung mit erneuter Analyse des HER2-Status.

Einige Pathologen halten sich bei Tumoren mit heterogenen HER2-Befunden lediglich an die von den Reagenzienherstellern vorgegebenen Definitionen für HER2-Positivität und würden somit einen Tumor HER2-negativ nennen, wenn die HER2-positive Population <10% bzw. <30% der Gesamtpopulation beträgt. Wenn der HER2-positive Tumorklon >10% bzw. >30% wäre, würde dieser Tumor dann als positiv klassifiziert werden. Allerdings wurden die genannten IHC-Definitionen mit Grenzwerten positiver Zellen nicht zur Klassifikation heterogener Tumoren angedacht, sondern vielmehr zur korrekten Interpretation von inhomogen gefärbten Tumoren (Abb. 3 a, b).

Fazit für die Praxis

Die FISH-Untersuchung ist die Methode der Wahl für die HER2-Analyse von Mammatumoren. Bei Anwendung der FISH-Technik gibt es zwar Grenzbefunde, aber keine fehlerhaften Resultate im Sinne eines falsch-positiven bzw. falsch-negativen Ergebnisses. Die Zahl der in den Tumorzellen vorliegenden Gene kann immer eindeutig bestimmt werden. Die Anwendung der IHC ist in diesem Kontext riskanter, da falsch-positive und falsch-negative Resultate vorkommen können und nicht als solche erkannt werden. Bei heterogenen Befunden (etwa 5% der Mammakarzinome) sollten die positive und negative Population separat beschrieben werden.

Literatur

  1. Al-Kuraya K, Schraml P, Sheikh S et al (2005) Predominance of high-grade pathway in breast cancer development of Middle East women. Mod Pathol 18:891–897

    Article  PubMed  Google Scholar 

  2. Baselga J, Tripathy D, Mendelsohn J et al (1999) Phase II study of weekly intravenous trastuzumab (Herceptin) in patients with HER2/neu-overexpressing metastatic breast cancer. Semin Oncol 26:78–83

    CAS  PubMed  Google Scholar 

  3. Clark GM, Mcguire WL (1991) Follow-up study of HER-2/neu amplification in primary breast cancer. Cancer Res 51:944–948

    CAS  PubMed  Google Scholar 

  4. Dowsett M, Cooke T, Ellis I et al (2000) Assessment of HER2 status in breast cancer: why, when and how? Eur J Cancer 36:170–176

    CAS  Article  PubMed  Google Scholar 

  5. Harris L, Fritsche H, Mennel R et al (2007) American Society of Clinical Oncology 2007 update of recommendations for the use of tumor markers in breast cancer. J Clin Oncol 25:5287–5312

    CAS  Article  PubMed  Google Scholar 

  6. Kallioniemi OP, Kallioniemi A, Kurisu W et al (1992) ERBB2 amplification in breast cancer analyzed by fluorescence in situ hybridization. Proc Natl Acad Sci U S A 89:5321–5325

    CAS  Article  PubMed  Google Scholar 

  7. Marchio C, Lambros MB, Gugliotta P et al (2009) Does chromosome 17 centromere copy number predict polysomy in breast cancer? A fluorescence in situ hybridization and microarray-based CGH analysis. J Pathol 219:16–24

    CAS  Article  PubMed  Google Scholar 

  8. Mccann AH, Dervan PA, O’regan M et al (1991) Prognostic significance of c-erbB-2 and estrogen receptor status in human breast cancer. Cancer Res 51:3296–3303

    CAS  PubMed  Google Scholar 

  9. Pauletti G, Godolphin W, Press MF et al (1996) Detection and quantitation of HER-2/neu gene amplification in human breast cancer archival material using fluorescence in situ hybridization. Oncogene 13:63–72

    CAS  PubMed  Google Scholar 

  10. Penault-Llorca F, Adelaide J, Houvenaeghel G et al (1994) Optimization of immunohistochemical detection of ERBB2 in human breast cancer: impact of fixation. J Pathol 173:65–75

    CAS  Article  PubMed  Google Scholar 

  11. Roche PC, Ingle JN (1999) Increased HER2 with U.S. Food and Drug Administration-approved antibody. J Clin Oncol 17:434

    CAS  PubMed  Google Scholar 

  12. Sauter G, Lee J, Bartlett JM et al (2009) Guidelines for human epidermal growth factor receptor 2 testing: biologic and methodologic considerations. J Clin Oncol 27:1323–1333

    CAS  Article  PubMed  Google Scholar 

  13. Simon R, Nocito A, Hubscher T et al (2001) Patterns of her-2/neu amplification and overexpression in primary and metastatic breast cancer. J Natl Cancer Inst 93:1141–1146

    CAS  Article  PubMed  Google Scholar 

  14. Slamon DJ, Clark GM, Wong SG et al (1987) Human breast cancer: correlation of relapse and survival with amplification of the HER-2/neu oncogene. Science 235:177–182

    CAS  Article  PubMed  Google Scholar 

  15. Stefano R, Agostara B, Calabro M et al (2004) Expression levels and clinical-pathological correlations of HER2/neu in primary and metastatic human breast cancer. Ann N Y Acad Sci 1028:463–472

    CAS  Article  PubMed  Google Scholar 

  16. Tapia C, Schraml P, Simon R et al (2004) HER2 analysis in breast cancer: reduced immunoreactivity in FISH non-informative cancer biopsies. Int J Oncol 25:1551–1557

    CAS  PubMed  Google Scholar 

  17. Todorovic-Rakovic N, Jovanovic D, Neskovic-Konstantinovic Z et al (2007) Prognostic value of HER2 gene amplification detected by chromogenic in situ hybridization (CISH) in metastatic breast cancer. Exp Mol Pathol 82:262–268

    CAS  Article  PubMed  Google Scholar 

  18. Toikkanen S, Helin H, Isola J et al (1992) Prognostic significance of HER-2 oncoprotein expression in breast cancer: a 30-year follow-up. J Clin Oncol 10:1044–1048

    CAS  PubMed  Google Scholar 

  19. Tripathy D, Slamon DJ, Cobleigh M et al (2004) Safety of treatment of metastatic breast cancer with trastuzumab beyond disease progression. J Clin Oncol 22:1063–1070

    CAS  Article  PubMed  Google Scholar 

  20. Tuma RS (2005) Trastuzumab trials steal show at ASCO meeting. J Natl Cancer Inst 97:870–871

    Article  PubMed  Google Scholar 

  21. Van De Vijver M (2002) Emerging technologies for HER2 testing. Oncology 63 (Suppl 1):33–38

    Article  Google Scholar 

  22. Wolff AC, Hammond ME, Schwartz JN et al (2007) American Society of Clinical Oncology/College of American Pathologists guideline recommendations for human epidermal growth factor receptor 2 testing in breast cancer. Arch Pathol Lab Med 131:18–43

    CAS  PubMed  Google Scholar 

  23. Wolff AC, Hammond ME, Schwartz JN et al (2007) American Society of Clinical Oncology/College of American Pathologists guideline recommendations for human epidermal growth factor receptor 2 testing in breast cancer. J Clin Oncol 25:118–145

    CAS  Article  PubMed  Google Scholar 

Download references

Interessenkonflikt

Der korrespondierende Autor weist auf die folgenden Beziehungen hin: Prof. Dr. Guido Sauter erhält Referentenhonorare von den Firmen Roche und Abbott. Dr. Eike Burandt ist als Referent für die Firma Abbott tätig.

Author information

Affiliations

Authors

Corresponding author

Correspondence to E. Burandt.

Rights and permissions

Reprints and Permissions

About this article

Cite this article

Burandt, E., Sauter, G. HER2-ASCO-Guidelines. Pathologe 31, 285–291 (2010). https://doi.org/10.1007/s00292-010-1348-4

Download citation

  • Published:

  • Issue Date:

  • DOI: https://doi.org/10.1007/s00292-010-1348-4

Schlüsselwörter

  • HER2
  • Fluorenszenz-in-situ-Hybridisierung
  • Immunhistochemie
  • ASCO-CAP
  • Methodische Probleme

Keywords

  • HER2
  • Fluorescence in situ hybridization
  • Immunohistochemistry
  • ASCO-CAP
  • Methodical issues