Skip to main content

Hypopigmentierte spindelzellige melanozytäre Tumoren

Eine Übersicht

Hypopigmented melanocytic tumors with spindle cells

A review

Zusammenfassung

Hypopigmentierte und achromatische spindelzellige melanozytäre Tumoren stellen eine diagnostische Herausforderung dar. Spindelzellige melanozytäre Nävi gleichen neuralen Tumoren. Desmoplastische melanozytäre Nävi imitieren Dermatofibrome. Hypopigmentierte und amelanotische blaue Nävi sind Varianten des einfachen und zellreichen blauen Nävus, deren Diagnosestellung durch das fehlende Pigment klinisch und histologisch erschwert ist. Alle genannten gutartigen melanozytären Tumoren mit Proliferationen hypopigmentierter Spindelzellen können mehr oder weniger Aspekte eines desmoplastischen malignen Melanoms zeigen. Die differenzialdiagnostische Abgrenzung dieser Entitäten erfordert eine Kombination klinischer und histologische Parameter sowie ein unterstützendes Panel immunhistologischer Färbungen. Auf der anderen Seite wird gerade das desmoplastische maligne Melanom häufig mit gutartigen spindelzelligen Proliferationen, Narben oder auch unspezifischen Entzündungen verwechselt. Da die histologischen Kriterien so trügerisch sein können, ist erhöhte Aufmerksamkeit für die korrekte Diagnosestellung erforderlich. Spindelzellige Proliferationen, Narben und unspezifische Entzündungsreaktionen an den klassischen Lokalisationen Gesicht, akraler Haut und Schleimhaut sollten immer Anlass zum Ausschluss eines desmoplastischen malignen Melanoms sein. Spindelzellige maligne Melanome müssen von anderen bösartigen spindelzelligen Neoplasien mit Beteiligung der Haut unterschieden werden. Für die Differenzialdiagnose dieser Tumoren sind immunhistologische Färbungen von entscheidender Bedeutung.

Abstract

Hypopigmented and achromatic melanocytic tumors with spindle cells represent a diagnostic challenge. Spindle cell nevi resemble neural tumors. Desmoplastic nevi imitate dermatofibromas. Hypopigmented and amelanotic blue nevi are variants of the common and cell-rich blue nevus with an enhanced difficulty to make a correct diagnosis due to the lack of pigment. All of the above benign melanocytic tumors with proliferations of hypopigmented spindle cells can more or less show aspects of desmoplastic melanoma. The differential diagnosis of these entities demands a combination of clinical and histological parameters as well as supporting immunostaining. Regarding desmoplastic melanoma, diagnoses frequently made are benign spindle cell neoplasms, scar or unspecific inflammatory condition. As the histological aspects can be so misleading, attention is necessary in order to make the correct diagnosis. Particular care must be taken to rule out desmoplastic melanoma in the case of spindle cell proliferations, a cicatricial or inflammatory process in the classical settings of face, volar skin, or mucous membranes. The spindle cell melanoma must be distinguished from other types of malignant spindle cell neoplasms, which can involve the skin. The differential diagnosis with such tumors is entrusted mainly to immunostaining.

This is a preview of subscription content, access via your institution.

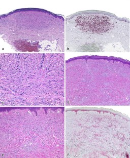
Abb. 1
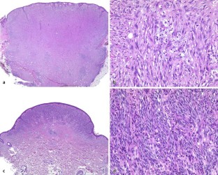
Abb. 2
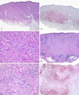
Abb. 3
Abb. 4
Abb. 5

Literatur

  1. Anstey A, McKee P, Jones EW (1993) Desmoplastic malignant melanoma: a clinicopathological study of 25 cases. Br J Dermatol 129: 359–371

    PubMed  Article  CAS  Google Scholar 

  2. Barr RJ, Morales V, Graham JH (1980) Desmoplastic nevus: a distinct variant of mixed spindle cell and epitheloid nevus. Cancer 46: 557–564

    PubMed  Article  CAS  Google Scholar 

  3. Bhawan J, Cao S (1999) Amelanotic blue nevus: A variant of blue nevus. Am J Dermatopathol 21: 225–228

    PubMed  Article  CAS  Google Scholar 

  4. Brandt TP (1996) Desmoplastic malignant melanoma. J Am Acad Dermatol 49: 950–951

    Google Scholar 

  5. Busam KJ, Mujumdar U, Hummer AJ et al. (2004) Cutaneous desmoplastic melanoma: a repraisal of morphologic heterogeneity and prognostic factors. Am J Surg Pathol 28: 1518–1525

    PubMed  Article  Google Scholar 

  6. Carr S, See J, Wilkinson B, Kossard S (1997) Hypopigmented common blue nevus. J Cutan Pathol 24: 494–498

    PubMed  Article  CAS  Google Scholar 

  7. Cochran AJ, Elashoff D, Morton DL, Elashoff R (2000) Individualized prognosis for melanoma patients. Hum Pathol 31: 327–331

    PubMed  Article  CAS  Google Scholar 

  8. Gray MH, Smoller BR, McNutt NS, Hsu A (1990) Neurofibromas and neurotized melanocytic nevi are immunohistochemically distinct neoplasms. Am J Dermatopathol 12: 234–241

    PubMed  CAS  Google Scholar 

  9. Harris GR, Shea CR, Horenstein MG et al. (1999) Desmoplastic (sclerotic) nevus: an underrecognized entity that resembles dermatofibroma and desmoplastic melanoma. Am J Surg Pathol 23: 786–794

    PubMed  Article  CAS  Google Scholar 

  10. Hoang MP, Selim MA, Bentley RC et al. (2001) CD34 expression in desmoplastic melanoma. J Cutan Pathol 28: 508–512

    PubMed  Article  CAS  Google Scholar 

  11. Iwamoto S, Burrows RC, Agoff SN et al. (2001) The p75 neurotrophin receptor, relative to other Schwann cell and melanoma markers, is abundantly expressed in spindled melanomas. Am J Dermatopathol 23: 288–294

    PubMed  Article  CAS  Google Scholar 

  12. Jaroszewski DE, Pockaj BA, DiCaudo DJ, Bite U (2001) The clinical behavior of desmoplastic melanoma. Am J Surg 182: 590–595

    PubMed  Article  CAS  Google Scholar 

  13. Kaneishi NK, Cockerell CJ (1998) Histologic differentiation of desmoplastic melanoma from cicatrices. Am J Dermatopathol 20: 128–134

    PubMed  Article  CAS  Google Scholar 

  14. Kanik AB, Yaar M, Bhawan J (1996) p75 nerve growth factor receptor staining helps identify desmoplastic and neurotropic melanoma. J Cutan Pathol 23: 205–210

    PubMed  Article  CAS  Google Scholar 

  15. Kucher C, Zhang PJ, Pasha T et al. (2004) Expression of Melan-A and Ki-67 in desmoplastic melanoma and desmoplastic nevi. Am J Dermatopathol 26: 452–457

    PubMed  Article  Google Scholar 

  16. Kroumpouzos G, Cohen LM (2002) Intradermal melanocytic nevus with prominent schwannian differentiation. Am J Dermatopathol 24: 39–42

    PubMed  Article  Google Scholar 

  17. Lens MB, Newton-Bishop JA, Boon AP (2005) Desmoplastic malignant melanoma: a systematic review. Br J Dermatol 152: 673–678

    PubMed  Article  CAS  Google Scholar 

  18. Livestro DP, Muzikansky A, Kaine EM et al. (2006) Biology of desmoplastic melanoma: a case-control comparison with other melanomas. J Clin Oncol 23: 6739–6746

    Article  Google Scholar 

  19. Mackie RM, Doherty VR (1992) The desmoplastic melanocytic nevus: a distinct entity. Histopathology 20: 207–211

    PubMed  Article  CAS  Google Scholar 

  20. Maize JC, Foster G (1979) Age-related changes in melanocytic nevi. Clin Exp Dermatol 4: 49–58

    PubMed  Article  CAS  Google Scholar 

  21. Mooi WJ, Krausz T (1992) Biopsy pathology of melanocytic disorders. Chapman & Hall Medical, London, pp 239–240

  22. Reed RJ, Ichinose H, Clark WH Jr, Mihm MC Jr (1975) Common and uncommon melanocytic nevi and borderline melanomas. Semin Oncol 2: 119–147

    PubMed  CAS  Google Scholar 

  23. Van Paesschen MA, Goovaerts G, Buyssens N (1990) A study of the so-called neurotization of nevi. Am J Dermatopathol 12: 242–248

    Article  Google Scholar 

Download references

Interessenkonflikt

Der korrespondierende Autor gibt an, dass kein Interessenkonflikt besteht.

Author information

Affiliations

Authors

Corresponding author

Correspondence to M. Hantschke.

Rights and permissions

Reprints and Permissions

About this article

Cite this article

Hantschke, M. Hypopigmentierte spindelzellige melanozytäre Tumoren. Pathologe 28, 403–410 (2007). https://doi.org/10.1007/s00292-007-0939-1

Download citation

  • Published:

  • Issue Date:

  • DOI: https://doi.org/10.1007/s00292-007-0939-1

Schlüsselwörter

  • Desmoplastisches malignes Melanom
  • Spindelzelliges malignes Melanom
  • Hypopigmentierter blauer Nävus
  • Desmoplastischer melanozytärer Naevus

Keywords

  • Desmoplastic melanoma
  • Melanoma with spindle cells
  • Hypopigmented blue nevus
  • Desmoplastic nevus