Skip to main content

123I-Methyljodbenzylguanidin- (MIBG-) Szintigraphie

Paradoxe Nuklidspeicherung eines onkozytären Nebennierenrindenkarzinoms

123I-Metaiodobenzylguanidine- (MIBG-) scintigraphy: paradoxical positivity in an oncocytic adrenocortical carcinoma

Zusammenfassung

Das mit Radiojod markierte Katecholaminanalogon Methyljodbenzylguanidin (MIBG) eignet sich aufgrund seiner selektiven Aufnahme in chromaffine Gewebe in hervorragender Weise für die bildgebende Diagnostik des Phäochromozytoms und besitzt hier nach Literaturangaben eine Sensitivität von etwa 90% und eine Spezifität von annähernd 100%. Die falsch-positive oder paradoxe MIBG-Speicherung einer adrenokortikalen Neoplasie stellt demgegenüber eine Rarität dar. Wir berichten über diese Situation am Beispiel eines metastasierten onkozytären Nebennierenrindenkarzinoms mit teilweise therapeutisch genutzter MIBG-Speicherung in verschiedenen Tumormanifestationen.

Abstract

123I-metaiodobenzylguanidine (MIBG), a radio-labeled catecholamine analogue, is used for the imaging of pheochromocytoma based on the selective uptake of MIBG by chromaffin tissues. MIBG scintigraphy displays high sensitivity (90%) and specificity (close to 100%). In contrast, the false-positive uptake of MIBG by adrenal cortical carcinoma is rare. Here, we report a metastatic oncocytic adrenal cortical carcinoma with MIBG uptake used for therapeutic purposes.

This is a preview of subscription content, access via your institution.

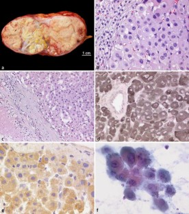
Abb. 1
Abb. 2

Literatur

  1. Alsabeh R, Mazoujian G, Goates J et al. (1995) Adrenal cortical tumors clinically mimicking pheochromocytoma. Am J Clin Pathol 104: 392–390

    Google Scholar 

  2. Bathmann J, Neumann H, Sibmund G, Moser E (1994) False-positive diagnosis of a pheochromocytoma with123I metaiodobenzylguanidine. Clin Nucl Med 19: 221–223

    PubMed  Article  CAS  Google Scholar 

  3. Burak N, Loesch J, Costa J (1959) Adrenocortical adenoma, clinically simulating pheochromocytoma. New York J Med 59: 18–51

    Google Scholar 

  4. El-Naggar AK, Evans DB, Mackay B (1991) Oncocytic adrenal cortical carcinoma. Ultrastruct Pathol 15: 549–556

    PubMed  CAS  Google Scholar 

  5. Hoang MP, Ayala AG, Albores-Saavedra J (2002) Oncocytic adrenocortical carcinoma: a morphologic, immunohistochemical and ultrastructural study of four cases. Mod Pathol 15: 973–978

    PubMed  Article  Google Scholar 

  6. Horne T, Glaser B, Krausz Y et al. (1991) Unusual causes of I-131 metaiodobenzylguanidine uptake in non-neural crest tissue. Clin Nucl Med 16: 239–242

    PubMed  Article  CAS  Google Scholar 

  7. Houghton A (1990) False-positive diagnosis of adrenal phaeochromocytoma on metaiodobenzylguanidine (MIBG) scan. Br J Clin Pract 44: 411–412

    PubMed  CAS  Google Scholar 

  8. Jakobs A, Lenoir P, Delree M et al. (1990) Unusual99mTc-MDP and 123I-MIBG images in focal pyelonephritis. Clin Nucl Med 15: 821–824

    Article  Google Scholar 

  9. Kekäläinen P, Alhava E, Vanninen E, Niskanen L (2003) A pitfall of metaiodobenzylguanidine scan: paraganglioma in close proximity to adrenocortical adenoma. Exp Clin Endocrinol Diabetes 111: 294–297

    Article  Google Scholar 

  10. Komminoth P, Roth J, Schröder S et al. (1995) Overlapping expression of immunohistochemical markers and synaptophysin mRNA in phaeochromocytomas and adrenal carcinomas. Implications for the differential diagnosis of adrenal gland tumors. Lab Invest 72: 424–431

    PubMed  CAS  Google Scholar 

  11. Krubsack AJ, Arnout MA, Hagen TC et al. (1988) Zona fasciculata cortical adenoma and adrenal medullary hyperplasia in MEN 2 patient: unique concurrent presentation.Clin Nucl Med 13: 730–733

    PubMed  Article  CAS  Google Scholar 

  12. Letizia C, De Toma G, Massa R et al. (1998) False-positive diagnosis of adrenal pheochromocytoma on iodine-123-MIBG scan. J Endocrinol Invest 21: 779–783

    PubMed  CAS  Google Scholar 

  13. Maurea S, Klain M, Caraco C et al. (2002) Diagnostic accuracy of radionuclide imaging using131I nor-cholesterol or meta-iodobenzylguanidine in patients with hypersecreting or non-hypersecreting adrenal tumors. Nucl Med Commun 23: 951–960

    PubMed  Article  CAS  Google Scholar 

  14. Miettinen M (1992) Neuroendocrine differentiation in adrenal cortical carcinoma. New immunhistochemical findings supported by electron microscopy. Lab Invest 66: 169–174

    PubMed  CAS  Google Scholar 

  15. Ong YY, Cohn D, Wijaya J, Roach P (2002) The importance of renal localization with MIBG scintigraphy. Clin Nucl Med 27: 479–482

    PubMed  Article  Google Scholar 

  16. Rainis T, Ben-Haim S, Dickstein G (2000) False positive metaiodobenzyguanidine scan in a patient with huge adrenocortical carcinoma. J Clin Endocrinol Metab 85: 5–7

    PubMed  Article  CAS  Google Scholar 

  17. Schröder S, Niendorf A, Achilles E et al. (1990) Immunocytochemical differential diagnosis of adrenocortical neoplasms using the monoclonal antibody D11. Vichows Arch [A] 417: 89–96

    Google Scholar 

  18. Schröder S, Padberg BC, Achilles E et al. (1992) Immunocytochemistry in adrenocortical tumours: a clinicomorphologic study of 72 neoplasms. Virchows Arch [A] 420: 65–70

    Google Scholar 

  19. Shapiro B, Copp J, Sisson J et al. (1985) Iodine-131 metaiodobenzylguanidine for locating of suspected pheochromocytoma: experience in 400 cases. J Nucl Med 26: 576–585

    PubMed  CAS  Google Scholar 

  20. Simon S, Tötsch M, Schmidlin F et al. (2003) Adrenal cortical phaeochromocytoma: a case report of a rare entity. Exp Clin Endocrinol Diabetes 111: 111–114

    PubMed  Article  CAS  Google Scholar 

  21. Sone H, Okuda Y, Nakamura Y et al. (1996) Radioiodinated metaiodobenzylguanidine scintigraphy for phaeochromocytoma. Horm Res 46: 138–142

    PubMed  CAS  Article  Google Scholar 

  22. Zagar I, Han R, Mitrovic S (1995) Meta-[131I]iodobenzylguanididine in the scintigraphic evaluation of neural crest tumors. Q J Nucl Med 39: 13–16

    PubMed  CAS  Google Scholar 

Download references

Danksagung.

Die Autoren danken Herrn Norbert Wey für die Anfertigung der Abbildungen.

Interessenkonflikt

Es besteht kein Interessenkonflikt. Der korrespondierende Autor versichert, dass keine Verbindungen mit einer Firma, deren Produkt in dem Artikel genannt ist, oder einer Firma, die ein Konkurrenzprodukt vertreibt, bestehen. Die Präsentation des Themas ist unabhängig und die Darstellung der Inhalte produktneutral.

Author information

Affiliations

Authors

Corresponding author

Correspondence to B.-C. Padberg.

Rights and permissions

Reprints and Permissions

About this article

Cite this article

Padberg, BC., Rordorf, T., Suter, S.L. et al. 123I-Methyljodbenzylguanidin- (MIBG-) Szintigraphie. Pathologe 28, 281–284 (2007). https://doi.org/10.1007/s00292-006-0832-3

Download citation

  • Published:

  • Issue Date:

  • DOI: https://doi.org/10.1007/s00292-006-0832-3

Schlüsselwörter

  • Nebenniere
  • Nebennierenrindenkarzinom
  • Phäochromozytom
  • Methyljodbenzylguanidinszintigraphie

Keywords

  • Adrenal gland
  • Adrenal cortical carcinoma
  • Pheochromocytoma
  • Histology
  • 123I-metaiodobenzylguanidine (MIBG)