Skip to main content

Lupusnephritis mit Kristallstrukturen in glomerulären Ablagerungen

Zusammenfassung

Die Lupusnephritis ist ein bekanntes Phänomen beim systemischen Lupus erythematodes (SLE). Wir untersuchten die Nierenbiopsie einer 30-jährigen Frau mit SLE. Die Anamnese zeigte einen klinisch typischen SLE mit generalisierten Symptomen mit positivem ANA- und Anti-ds-DNA-Titer ohne Nachweis von Lupuskoagulans, des Rheumafaktors, von Kryoglobulinen sowie ohne Antiphospholipid-Antikörper. Eine Paraproteinämie war weder für IgG noch für IgA oder IgM nachzuweisen. Mit Hilfe der Lichtmikroskopie, der Elektronenmikroskopie sowie der Immunelektronenmikroskopie wurden elektronendichte Ablagerungen in subepithelialer, subendothelialer und mesangialer Lokalisation nachgewiesen. Zusätzlich fanden wir sowohl in den elektronendichten Ablagerungen, als auch im angrenzenden Mesangium Kristalle eines elektronendichten Materials. Diese kristallinen Strukturen sind aus IgG und κ-Leichtketten zusammengesetzt, während IgM, IgA sowie λ-Leichtketten mittels Immunelektronenmikroskopie nicht nachzuweisen waren.

Unseres Wissens stellen wir den ersten Fall einer Patientin mit SLE und Lupusnephritis vor, bei der kristalline Strukturen innerhalb der elektronendichten Ablagerungen in verschiedenen glomerulären Kompartimenten nachzuweisen waren.

Abstract

Lupus nephritis is a common phenomenon in Systemic Lupus Erythematosus (SLE). We analyzed a renal biopsy of a 30-year-old woman with SLE. The clinical history showed a typical SLE with generalized symptoms without demonstrable lupus coagulant, positive for anti-nuclear antibodies and anti-ds-DNA antibodies but negative for rheumatoid factor, cryoglobulins and antiphospholipid antibodies. A paraproteinemia for IgA, IgG and IgM was not detectable. Using light, electron and immunoelectron microscopy electron-dense deposits were noted in subepithelial, subendothelial and mesangial position. Most remarkably, the electron-dense deposits and mesangial areas in the vicinity of deposits contained an electron-dense crystalline material. The crystalline structures were composed of IgG and kappa light chains, while they were negative for IgM, IgA and lambda light chains, as demonstrated by immunoelectron microscopy.

As far as we know, this is the first case of lupus nephritis with crystalline structures. Since we could not detect cryoglobulinemia or paraproteinemia, other mechanisms possibly favor organization of macromolecular structures.

This is a preview of subscription content, access via your institution.

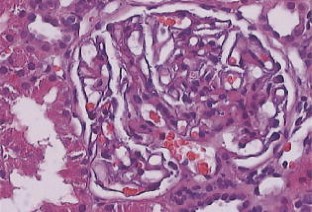
Abb. 1.
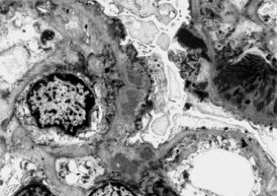
Abb. 2.
Abb. 3.
Abb. 4.
Abb. 5.
Abb. 6.

Literatur

  1. Abt AB, Wassner SJ, Moran JJ (1991) Familial lobular glomerulopathy. Hum Pathol 22:825–829

    CAS  PubMed  Google Scholar 

  2. Alpers CE, Hopper J Jr, Biava CG (1984) Light-chain glomerulopathy with amyloid-like deposits. Hum Pathol 15:444–448

    CAS  PubMed  Google Scholar 

  3. Alpers CE, Rennke HG, Hopper J Jr, Biava CG (1987) Fibrillary glomerulonephritis: an entity with unusual immunofluorescence features. Kidney Int 31:781–789

    CAS  Google Scholar 

  4. Armin AR, Rosenbaum L, Chapman-Winokur R, Hawkins ET (1993) Intravascular immunoglobulin crystalloids in monoclonal cryoglobulinemia-associated dermatitis: ultrastructural findings. J Cutan Pathol 20:74–78

    CAS  Google Scholar 

  5. Ben-Bassat M, Boner G, Rosenfeld J et al. (1983) The clinicopathologic features of cryglobulinemic nephropathy. Am J Surg Pathol 79:147–156

    CAS  Google Scholar 

  6. Boogars HA, Kalderon AE, Cummings FJ et al. (1973) Human IgG cryoglobulin with tubular crystal structure. Nature 245:117–118

    Google Scholar 

  7. Brorson SH (1997) Bovine serum albumin (BSA) as reagent against non-specific immunogold labelling on LR-white and epoxy resin. Micron 28:189–195

    Article  CAS  PubMed  Google Scholar 

  8. Brorson SH (1998) The combination of high-accelerator epoxy resin and antigen retrieval to obtain more intense immunolabelling on epoxy sections on LR-white sections for large proteins. Micron 29:89–95

    Article  CAS  PubMed  Google Scholar 

  9. Brouet JC, Clauvel JP, Danon F et al. (1974) Biologic and clinical significance of cryoglobulins. A report of 86 cases. Am J Med 57:775–788

    CAS  Google Scholar 

  10. Churg J, Sobin LH (1982) Classification and atlas of glomerular disease. In: Renal disease. p 450

  11. Cordonnier D, Martin H, Groslambert P et al. (1975) Mixed IgG-IgM cryoglobulinemia with glomerulonephritis. Am J Med 88:145–162

    Google Scholar 

  12. Dales S, Wallace AC (1985) Nuclear pore complexes deposited in the glomerular basement membrane are associated with autoantibodies in a case of membranous nephritis. J Immunol 134:1588–1593

    CAS  PubMed  Google Scholar 

  13. D’Amico G, Fornasieri A (1995) Cryoglobulinemic glomerulonephritis: a membranoproliferative glomerulonephritis induced by hepatitis C virus. Am J Kidney Dis 25:361–369

    CAS  Google Scholar 

  14. Duffy JL, Khurana E, Susin M et al. (1983) Fibrillary renal deposits and nephritis. Am J Pathol 113:279–290

    CAS  PubMed  Google Scholar 

  15. Feiner H, Gallo G (1977) Ultrastructure in glomerulonephritis associated with cryoglobulinemia. Am J Pathol 88:145–155

    CAS  PubMed  Google Scholar 

  16. Glenner GG (1980) Amyloid deposits and amyloidosis: the beta-fibrilloses (First of two parts). N Engl J Med 302:1283–1292

    CAS  PubMed  Google Scholar 

  17. Glenner GG (1980) Amyloid deposits and amyloidosis: The beta-fibrilloses (Second of two parts). N Engl J Med 302:1333–1343

    CAS  PubMed  Google Scholar 

  18. Gripenberg M, Teppo AM, Kurki P et al. (1988) Autoantibody activity of cryoglobulins and sera in systemic lupus erythematosus. Association of IgM class rheumatoid factors with Raynaud’s syndrome. Scand J Rheumatol 17:249–254

    CAS  Google Scholar 

  19. Grishman E, Porush JC, Rosen SM, Churg J (1967) Lupus nephritis with organized deposits in the kidneys. Lab Invest 16:717–725

    CAS  Google Scholar 

  20. Henderson DW, Stirling JW, Lipsett J et al. (1993) Paraproteinemic crystalloid keratopathy: an ultrastructural study of two cases, including immunoelectron microscopy. Ultrastruct Pathol 17:643–668

    CAS  PubMed  Google Scholar 

  21. Herrera GA (1999) The value of electron microscopy in the diagnosis and clinical management of lupus nephritis. Ultrastruct Pathol 23:63–77

    Article  CAS  PubMed  Google Scholar 

  22. Höhler T, Kriegsmann J, Laukhuf F et al. (1999) The lady with a history of blood transfusion who developed palpable purpura and microhaematuria. Nephrol Dial Transplant 14:2035–2037

    Article  PubMed  Google Scholar 

  23. Jacobsen S, Starklint H, Petersen J et al. (1999) Prognostic value of renal biopsy and clinical variables in patients with lupus nephritis and normal serum creatinine. Scand J Rheumatol 28:288–299

    Article  PubMed  Google Scholar 

  24. Kashgarian M (1994) Lupus nephritis: lessons from the Path Lab. Kidney Int 45:928–938

    CAS  PubMed  Google Scholar 

  25. Korbet SM, Schwartz MM, Lewis EJ (1994) The fibrillary glomerulopathies. Am J Kidney Dis 23:751–765

    CAS  PubMed  Google Scholar 

  26. Maldonado JE, Velosa JA, Kyle RA et al. (1975) Fanconi syndrome in adults. A manifestation of a latent form of myeloma. Am J Med 58:354–364

    CAS  PubMed  Google Scholar 

  27. Matsuyama N, Joh K, Yamaguchi Y et al. (1994) Crystalline inclusions in the glomerular podocytes in a patient with benign monoclonal gammopathy and focal segmental glomerulosclerosis. Am J Kidney Dis 23:859–865

    CAS  Google Scholar 

  28. McCluskey RT (1975) Lupus nephritis. In: Sommers SC (ed) Kidney pathology Decennial 1966–1975. p 435

  29. McIntosh RM, Gray HM (1976) Cryoglobulinemia. In: Mischer A, Müller-Eberhard HJ (eds) Textbook of immunopathology, 1st edn. p 619–631

  30. McPhaul JJJ (1978) Cryoglobulinaemia in patients with primary renal disease an systemic lupus erythematosus. I. IgG- and DNA-binding assessed by co-precipitation. Clin Exp Immunol 31:131–140

    CAS  PubMed  Google Scholar 

  31. Mihatsch MJ, Zollinger HU (1980) Kidney disease. Path Res Pract 167:88–117

    CAS  PubMed  Google Scholar 

  32. Monga G, Mazzucco G, Coppo R et al. (1976) Glomerular findings in mixed IgG-IgM cryoglobulinemia. Virchows Arch (B) 20:185–196

    Google Scholar 

  33. Morris RE, Ciraolo GM (1977) A universal post-embedding protocol for immunogold labelling of osmium-fixed, epoxy resin-embedded tissue. J Electron Microsc (Tokyo) 46:315–319

    Google Scholar 

  34. Newsom GD, Stanbaugh GH, Kurtzmann NA et al. (1988) Nephrotic syndrome and renal failure associated with a novel glycolipid storage disorder. Am J Nephrol 8:316–321

    CAS  PubMed  Google Scholar 

  35. Ogihara T, Saruta T, Saito I et al. (1979) Finger-print deposits of the kidney in pure monoclonal IgG kappa cryoglobulinemias. Clin Nephrol 12:186–190

    CAS  PubMed  Google Scholar 

  36. Rocca A, Khamlichi AA, Touchard G et al. (1995) Sequences of V kappa L subgroup light chains in Fanconi’s syndrome. Light chain V region gene usage restriction and peculiarities in myeloma-associated Fanconi’s syndrome. J Immunol 155:3245–3252

    CAS  Google Scholar 

  37. Rosenmann E, Eliakim M (1977) Nephrotic syndrome associated with amyloid-like glomerular deposits. Nephron 18:301–308

    CAS  PubMed  Google Scholar 

  38. Rossmann P, Hornych A, Englis M (1968) Histology and ultrastructure of crystalloid inclusions in the podocytes in a case of paraproteinemia. Virchows Arch (A) 344:151–158

    Google Scholar 

  39. Roussel A, Spinelli S, Deret S et al. (1999) The structure of an entire noncovalent immunoglobulin kappa light-chain dimer (Bence-Jones Protein) reveals a weak and unusual constant domains association. Eur J Biochem 260:192–199

    Article  CAS  PubMed  Google Scholar 

  40. Sikl H (1949) A case of diffuse plasmocytosis with deposition of protein crystals in the kidney. J Path Bact 61:149–163

    CAS  Google Scholar 

  41. Stoebner P, Renversez JC, Groulade J et al. (1979) Ultrastructural study of human IgG and IgG-IgM crystalcryoglobulins. Am J Clin Pathol 71:404–410

    CAS  Google Scholar 

  42. Strøm EH, Hurwitz N, Mayr AC et al. (1996) Immunotactoid-like glomerulopathy with massive fibrillary deposits in liver and bone marrow in monoclonal gammopathy. Am J Nephrol 16:523–528

    PubMed  Google Scholar 

  43. Tan EM, Cohen AS, Fries JF et al. (1982) The 1982 Revised criteria for the classification of systemic lupus erythematosus. Arthritis Rheum 25:1271–1277

    PubMed  Google Scholar 

  44. Tomiyoshi Y, Sakemi T, Yoshikawa Y et al. (1998) Fibrillar crystal structure in essential monoclonal IgM kappa cryoglobulinemia. Clin Nephrol 49:325–327

    CAS  PubMed  Google Scholar 

  45. Wallace DJ, Podell T, Weiner J et al. (1981) Systemic lupus erythematosus—survival patterns: experience with 609 patients. JAMA 245:934–938

    Google Scholar 

  46. Yamamoto T, Hishida A, Honda N et al. (1991) Crystal-storing histiocytes and cyrstalline tissue deposition in multiple myeloma. Arch Pathol Lab Med 115:351–354

    CAS  Google Scholar 

Download references

Author information

Affiliations

Authors

Corresponding author

Correspondence to M. Otto.

Rights and permissions

Reprints and Permissions

About this article

Cite this article

Otto, M., Hansen, T., Bertz, S. et al. Lupusnephritis mit Kristallstrukturen in glomerulären Ablagerungen. Pathologe 24, 433–438 (2003). https://doi.org/10.1007/s00292-003-0658-1

Download citation

  • Issue Date:

  • DOI: https://doi.org/10.1007/s00292-003-0658-1

Schlüsselwörter

  • Lupusnephritis
  • Systemischer Lupus erythematodes
  • Kristalline Strukturen
  • Elektronendichte Ablagerungen
  • Immunglobuline

Keywords

  • Lupus nephritis
  • Systemic lupus erythematodes
  • Crystal structures
  • Electron-dense deposits
  • Immuoglobulins