Abstract
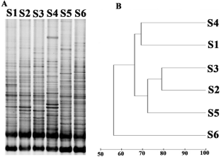
The present study aims to carefully delineate the bacterial community composition in marine sediments from different geographical coastal regions of Palk Bay and Gulf of Mannar that are known for human recreational activities. Bacterial richness in different marine sediments was assessed using 16S rRNA gene-based Denaturing Gradient Gel Electrophoresis (DGGE) which is a widely deployed fingerprinting technique. The DGGE profiles revealed that the bacterial community profiles of sediment from different coastal regions were complex and dynamic. The most dominant phylum present in the marine sediment samples were Proteobacteria followed by Cyanobacteria, Bacteriodetes, Firmicutes, Acidobacteria, and Actinobacteria. Cosmopolitan presence of Thioalkalivibrio sp. was observed in all the marine sediments. Sequencing of the abundant band reveals the presence of Vibrio spp. in all the marine sediments. Comparative illumina data analysis revealed the presence of 51 different Vibrio species in which Vibrio alginolyticus holds the highest abundance (67.2%) followed by V. harveyi (13.5%). This is the one of the very few reports that compared the complex microbial community composition of the marine sediments of different geographical regions of unexplored coastal region. Further in-depth analysis needs to be taken to understand the presence of complex microbial compositions and their functions through high-throughput whole metagenome sequencing and metaproteomic approaches.





Similar content being viewed by others
Explore related subjects
Discover the latest articles and news from researchers in related subjects, suggested using machine learning.References
Wang Y, Sheng H-F, He Y et al (2012) Comparison of the levels of bacterial diversity in freshwater, intertidal wetland, and marine sediments by using millions of illumina tags. Appl Environ Microbiol 78:8264–8271
Ladau J, Sharpton TJ, Finucane MM et al (2013) Global marine bacterial diversity peaks at high latitudes in winter. ISME J 7:1669–1677
Rusch DB, Halpern AL, Sutton G et al (2007) The sorcerer II global ocean sampling expedition: northwest Atlantic through eastern tropical Pacific. PLoS Biol 5:e77
Nithyanand P, Pandian SK (2009) Phylogenetic characterization of culturable bacterial diversity associated with the mucus and tissue of the coral Acropora digitifera from the Gulf of Mannar. FEMS Microbiol Ecol 69:384–394
Nithyanand P, Manju S, Karutha Pandian S (2011) Phylogenetic characterization of culturable actinomycetes associated with the mucus of the coral Acropora digitifera from Gulf of Mannar. FEMS Microbiol Lett 314:112–118
Nithya C, Pandian SK (2012) Evaluation of bacterial diversity in Palk Bay sediments using terminal-restriction fragment length polymorphisms (T-RFLP). Appl Biochem Biotechnol 167:1763–1777
Viszwapriya D, Aravindraja C, Pandian SK (2015) Comparative assessment of bacterial diversity associated with co-occurring eukaryotic hosts of Palk Bay origin. Indian J Exp Biol 53:417–423
Quaiser A, Zivanovic Y, Moreira D, López-García P (2011) Comparative metagenomics of bathypelagic plankton and bottom sediment from the Sea of Marmara. ISME J 5:285–304
Muyzer G (1998) Denaturing gradient gel electrophoresis (DGGE) in microbial ecology. Mol Microb Ecol Manual 34:4
Sheffield VC, Cox DR, Lerman LS, Myers RM (1989) Attachment of a 40-base-pair G+ C-rich sequence (GC-clamp) to genomic DNA fragments by the polymerase chain reaction results in improved detection of single-base changes. Proc Natl Acad Sci 86:232–236
Pang MF, Abdullah N, Lee CW, Ng CC (2008) Isolation of high molecular weight DNA from forest topsoil for metagenomic analysis. Asia Pacific J Mol Biol Biotechnol 16:35–41
Marchesi JR, Sato T, Weightman AJ et al (1998) Design and evaluation of useful bacterium-specific PCR primers that amplify genes coding for bacterial 16S rRNA. Appl Environ Microbiol 64:795–799
Andreoni V, Cavalca L, Rao MA et al (2004) Bacterial communities and enzyme activities of PAHs polluted soils. Chemosphere 57:401–412
Tamura K, Stecher G, Peterson D et al (2013) MEGA6: molecular evolutionary genetics analysis version 6.0. Mol Biol Evol 30:2725–2729
Zhang T, Fang HHP (2000) Digitization of DGGE (denaturing gradient gel electrophoresis) profile and cluster analysis of microbial communities. Biotechnol Lett 22:399–405
Aravindraja C, Viszwapriya D, Pandian SK (2013) Ultradeep 16S rRNA sequencing analysis of geographically similar but diverse unexplored marine samples reveal varied bacterial community composition. PLoS ONE 8:e76724
Salinero KK, Keller K, Feil WS et al (2009) Metabolic analysis of the soil microbe Dechloromonas aromatica str. RCB: indications of a surprisingly complex life-style and cryptic anaerobic pathways for aromatic degradation. BMC Genom 10:1–23
Zhang X, Lin H, Wang X, Austin B (2018) Significance of Vibrio species in the marine organic carbon cycle—a review. Sci China Earth Sci 61:1357–1368
Morris JG Jr, Acheson D (2003) Cholera and other types of vibriosis: a story of human pandemics and oysters on the half shell. Clin Infect Dis 37:272–280
Barbieri E, Falzano L, Fiorentini C et al (1999) Occurrence, diversity, and pathogenicity of HalophilicVibrio spp. and Non-O1 Vibrio cholerae from Estuarine waters along the Italian Adriatic Coast. Appl Environ Microbiol 65:2748–2753
Baker-Austin C, Stockley L, Rangdale R, Martinez-Urtaza J (2010) Environmental occurrence and clinical impact of Vibrio vulnificus and Vibrio parahaemolyticus: a European perspective. Environ Microbiol Rep 2:7–18
Dadheech PK, Krienitz L, Kotut K et al (2009) Molecular detection of uncultured cyanobacteria and aminotransferase domains for cyanotoxin production in sediments of different Kenyan lakes. FEMS Microbiol Ecol 68:340–350
Zwart G, Kamst-van Agterveld MP, Van Der Werff-Staverman I et al (2005) Molecular characterization of cyanobacterial diversity in a shallow eutrophic lake. Environ Microbiol 7:365–377
Liang R, Grizzle RS, Duncan KE et al (2014) Roles of thermophilic thiosulfate-reducing bacteria and methanogenic archaea in the biocorrosion of oil pipelines. Front Microbiol 5:89
Lee DW, Lee SD (2008) Tessaracoccus flavescens sp. nov., isolated from marine sediment. Int J Syst Evol Microbiol 58:785–789
Do Manh H, Matsuo Y, Katsuta A et al (2008) Robiginitalea myxolifaciens sp. nov., a novel myxol-producing bacterium isolated from marine sediment, and emended description of the genus Robiginitalea. Int J Syst Evol Microbiol 58:1660–1664
Stuart RK, Dupont CL, Johnson DA et al (2009) Coastal strains of marine Synechococcus species exhibit increased tolerance to copper shock and a distinctive transcriptional response relative to those of open-ocean strains. Appl Environ Microbiol 75:5047–5057
Li WKW (1994) Primary production of prochlorophytes, cyanobacteria, and eucaryotic ultraphytoplankton: measurements from flow cytometric sorting. Limnol Oceanogr 39:169–175
Gieg LM, Davidova IA, Duncan KE, Suflita JM (2010) Methanogenesis, sulfate reduction and crude oil biodegradation in hot Alaskan oilfields. Environ Microbiol 12:3074–3086
Nithya C, Aravindraja C, Pandian SK (2010) Bacillus pumilus of Palk Bay origin inhibits quorum-sensing-mediated virulence factors in gram-negative bacteria. Res Microbiol 161:293–304
Bakkiyaraj D, Karutha Pandian ST (2010) In vitro and in vivo antibiofilm activity of a coral associated actinomycete against drug resistant Staphylococcus aureus biofilms. Biofouling 26:711–717
Gowrishankar S, Poornima B, Pandian SK (2014) Inhibitory efficacy of cyclo (l-leucyl-l-prolyl) from mangrove rhizosphere bacterium–Bacillus amyloliquefaciens (MMS-50) toward cariogenic properties of Streptococcus mutans. Res Microbiol 165:278–289
Janssen PH (2006) Identifying the dominant soil bacterial taxa in libraries of 16S rRNA and 16S rRNA genes. Appl Environ Microbiol 72:1719–1728
Wu CH, Sercu B, Van De Werfhorst LC, Wong J, DeSantis TZ et al (2010) Characterization of coastal urban watershed bacterial communities leads to alternative community-based indicators. PLoS ONE 5:e11285
Cohen N, Ennaji H, Hassa M, Karib H (2006) The bacterial quality of red meat and offal in Casablanca (Morocco). Mol Nutr Food Res 50:557–562
Kokashvili T, Whitehouse CA, Tskhvediani A et al (2015) Occurrence and diversity of clinically important Vibrio species in the aquatic environment of Georgia. Front public Heal 3:232
Masini L, De Grandis G, Principi F et al (2007) Research and characterization of pathogenic vibrios from bathing water along the Conero Riviera (Central Italy). Water Res 41:4031–4040
Lafisca A, Pereira CS, Giaccone V, dos Prazeres Rodrigues D (2008) Enzymatic characterization of Vibrio alginolyticus strains isolated from bivalves harvested at Venice Lagoon (Italy) and Guanabara Bay (Brazil). Rev Inst Med Trop Sao Paulo 50:199–202
Acknowledgements
Financial support rendered to Mr. C. Aravindraja (File. No. 09/688(0027)/2014-EMR-I) in the form of Senior Research Fellowship by Council of Scientific & Industrial Research (CSIR), New Delhi is gratefully acknowledged. The authors sincerely acknowledge the computational and bioinformatics facility provided by the Alagappa University Bioinformatics Infrastructure Facility (funded by Department of Biotechnology (DBT), GOI; File No. BT/BI/25/012/2012, BIF). The authors thankfully acknowledge Department of Science & Technology (DST-FIST) (Grant No. SR-FST/LSI-087/2008), The University Grants Commission (UGC-SAP) (Grant No. F.3-28/2011 (SAP-II), and DST-PURSE [Grant No. SR/S9/Z-23/2010/42 (G)] for providing instrumentation facilities.
Funding
This study was supported by a Research grant from Department of Biotechnology (DBT), the Government of India (GOI) (Grant number BT/PR11994/NDB/52/134/2009).
Author information
Authors and Affiliations
Contributions
Conceived and designed the experiments: SKP, CA, & DV. Performed the experiments: CA & DV. Analyzed the data: CA, DV, & AV. Contributed reagents/materials/analysis tools: SKP. Wrote the paper: CA, DV, AV, & SKP.
Corresponding author
Ethics declarations
Conflict of interest
The authors declare that they have no conflict of interest.
Additional information
Publisher's Note
Springer Nature remains neutral with regard to jurisdictional claims in published maps and institutional affiliations.
Supplementary Information
Below is the link to the electronic supplementary material.
284_2021_2692_MOESM1_ESM.jpg
Fig. S1 Geographical map showing the location of samples collected. The small black boxes at the top image denote the three different geographical regions where the samples were collected. The enlarged view of the sample location along the coastal regions, namely, Karankadu and Thondi coastal region of Palk Bay and Keelakarai coastal region of Gulf of Mannar was represented in the bottom image. (JPG 2559 kb)
284_2021_2692_MOESM2_ESM.jpg
Fig. S2 Non-metric Multidimensional analysis of the bacterial diversity analysis of the marine sediments. The marine samples (S1 to S6) did not cluster together, which implied varied bacterial diversity in marine sediments. (JPG 90 kb)
284_2021_2692_MOESM3_ESM.jpg
Fig. S3 Heatmap analysis of the bacterial community at the Phylum level. Relative abundance at the phylum level were calculated and plotted based on the presence of eluted bands in the corresponding position in other samples. (TIFF 407 kb)
Rights and permissions
About this article
Cite this article
Aravindraja, C., Viszwapriya, D., Valliammai, A. et al. Community-Based 16S rDNA Fingerprinting Analysis of Geographically Distinct Marine Sediments of Unexplored Coastal Regions of Palk Bay and Gulf of Mannar. Curr Microbiol 79, 60 (2022). https://doi.org/10.1007/s00284-021-02692-6
Received:
Accepted:
Published:
DOI: https://doi.org/10.1007/s00284-021-02692-6


