Abstract
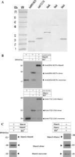
Magnetotactic bacteria are a group of prokaryotes capable of sensing and navigating along the earth’s magnetic field. The linear alignment of magnetosomes, which acts as a compass needle for orientation, is dependent on the proteins MamJ (amb0964) & MamK (amb0965). We constructed Magnetospirillum magneticum AMB-1 two-hybrid DNA libraries by fusing the random genomic fragments of AMB-1 to the N-terminal domain of the α-subunit of RNA polymerase in vector pTRG and used as preys. The genes mamJ & mamK were cloned in frame with the λ repressor protein (λ cI) in vector pBT and used as baits for screening the binding partners. After preliminary screening, we further confirmed the candidate interactions between selected protein pairs. The results showed that there were relatively strong interactions between MamK versus Amb3498 (flagella motor switch protein fliM), versus Amb0854 MCPs (signal domain of methyl-accepting chemotaxis protein) and versus Amb3568 (GGDEF domain-containing protein), respectively. MamJ versus Amb1722 (hypothetical protein), MamJ versus MamK, and MamK versus Amb1807 (cation transport ATPase) exhibited low level of interaction. Although the TPR repeat protein MamA (amb0971) showed no interaction with either MamJ or MamK, the TPR repeat protein Amb0024 with more motif sequences exhibited relatively strong interaction with MamK. Among the identified proteins, all categorized as signal transduction-related displayed interaction only with MamK and without MamJ, suggesting that magnetotaxis via MamK in Magnetospirillum magneticum AMB-1 might be somehow concerned with the widely accepted chemotaxis mechanism in bacteria.




Similar content being viewed by others
Explore related subjects
Discover the latest articles and news from researchers in related subjects, suggested using machine learning.References
Blakemore RP (1975) Magnetotactic bacteria. Science 190:377–379
Blakemore RP (1982) Magnetotactic bacteria. Annu Rev Microbiol 36:217–238
Jogler C, Schüler D (2009) Genomics, genetics, and cell biology of magnetosome formation. Annu Rev Microbiol 63:501–521
Komeili A (2007) Molecular mechanisms of magnetosome formation. Annu Rev Biochem 76:351–366
Schüler D (2008) Genetics and cell biology of magnetosome formation in magnetotactic bacteria. FEMS Microbiol Rev 32:654–672
Komeili A, Li Z, Newman DK et al (2006) Magnetosomes are cell membrane invaginations organized by the actin-like protein MamK. Science 311:242–245
Scheffel A, Gruska M, Faivre D et al (2006) An acidic protein aligns magnetosomes along a filamentous structure in magnetotactic bacteria. Nature 440:110–114
Katzmann E, Scheffel A, Gruska M et al (2010) Loss of the actin like protein MamK has pleiotropic effects on magnetosome formation and chain assembly in Magnetospirillum gryphiswaldense. Mol Microbiol 77:208–224
Taoka A, Asada R, Wu LF et al (2007) Polymerization of the actin-like protein MamK, which is associated with magnetosomes. J Bacteriol 189:8737–8740
Graumann PL (2004) Cytoskeletal elements in bacteria. Curr Opin Microbiol 7:565–571
Pradel N, Santini CL, Bernadac A et al (2006) Biogenesis of actin-like bacterial cytoskeletal filaments destined for positioning prokaryotic magnetic organelles. Proc Natl Acad Sci USA 103:17485–17489
Frankel RB, Bazylinski DA (2006) How magnetotactic bacteria make magnetosomes queue up. Trends Microbiol 14:329–331
Scheffel A, Schüler D (2007) The acidic repetitive domain of the Magnetospirillum gryphiswaldense MamJ protein displays hypervariability but is not required for magnetosome chain assembly. J Bacteriol 189:6437–6446
Yang CD, Takeyama H, Tanaka T et al (2001) Effects of growth medium composition, iron sources and atmospheric oxygen concentrations on production of luciferase-bacterial magnetic particle complex by a recombinant Magnetospirillum magneticum AMB-1. Enzyme Microb Technol 29:13–19
Zhao LZ, Wu D, Wu LF et al (2007) A simple and accurate method for quantification of magnetosomes in magnetotactic bacteria by common spectrophotometer. J Biochem Biophys Methods 70:377–383
Marmur J (1961) A procedure for the isolation of deoxyribonucleic acid from microorganisms. J Mol Biol 3:208–218
Romling U, Gomelsky M, Galperin MY (2005) C-di-GMP: the dawning of a novel bacterial signalling system. Mol Microbiol 57:629–639
Simm R, Morr M, Kader A et al (2004) GGDEF and EAL domains inversely regulate cyclic di-GMP levels and transition from sessility to motility. Mol Microbiol 53:1123–1134
Philippe N, Wu LF (2010) An MCP-like protein interacts with the MamK cytoskeleton and is involved in magnetotaxis in Magnetospirillum magneticum AMB-1. J Mol Biol 400:309–322
Berg H (2003) The rotary motor of bacterial flagella. Annu Rev Biochem 72:19–54
Matsunaga T, Okamura Y, Fukuda Y et al (2005) Complete genome sequence of the facultative anaerobic magnetotactic bacterium Magnetospirillum sp. strain AMB-1. DNA Res 12:157–166
Yamamoto D, Taoka A, Uchihashi T et al (2010) Visualization and structural analysis of the bacterial magnetic organelle magnetosome using atomic force microscopy. Proc Natl Acad Sci USA 107:9382–9387
Zeytuni N, Ozyamak E, Ben-Harush K et al (2011) Self-recognition mechanism of MamA, a magnetosome-associated TPR-containing protein, promotes complex assembly. Proc Natl Acad Sci USA 108:13369–13370
Murat D, Quinlan A, Vali H et al (2010) Comprehensive genetic dissection of the magnetosome gene island reveals the step-wise assembly of a prokaryotic organelle. Proc Natl Acad Sci USA 107:5593–5598
Quinlan A, Murat D, Vali H et al (2011) The HtrA/DegP family protease MamE is a bifunctional protein with roles in magnetosome protein localization and magnetite biomineralization. Mol Microbiol 80:1087–1705
Yang W, Li R, Peng T et al (2010) mamO and mamE genes are essential for magnetosome crystal biomineralization in Magnetospirillum gryphiswaldense MSR-1. Res Microbiol 161:701–705
Draper O, Byrne ME, Li Z et al (2011) MamK, a bacterial actin, forms dynamic filaments in vivo that are regulated by the acidic proteins MamJ and LimJ. Mol Microbiol 82:342–354
Katzmann E, Müller FD, Lang C et al (2011) Magnetosome chains are recruited to cellular division sites and split by asymmetric septation. Mol Microbiol 82:1316–1329
Acknowledgment
This study was supported by research grants (No. 30670508 and No. 31070755) from the National Natural Science Foundation of China to Weidong Pan.
Author information
Authors and Affiliations
Corresponding author
Additional information
Weidong Pan and Chunlan Xie share equal first authorship.
Electronic Supplementary Material
Below is the link to the electronic supplementary material.
Rights and permissions
About this article
Cite this article
Pan, W., Xie, C. & Lv, J. Screening for the Interacting Partners of the Proteins MamK & MamJ by Two-Hybrid Genomic DNA Library of Magnetospirillum magneticum AMB-1. Curr Microbiol 64, 515–523 (2012). https://doi.org/10.1007/s00284-012-0099-2
Received:
Accepted:
Published:
Issue Date:
DOI: https://doi.org/10.1007/s00284-012-0099-2


