Abstract
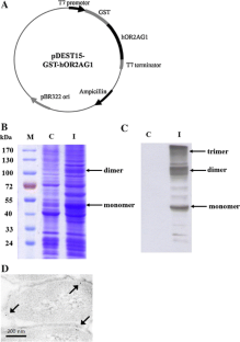
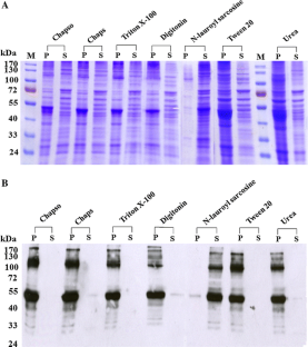
Olfactory receptors pertaining to G protein-coupled receptor (GPCR) are integral membrane proteins composed of seven transmembrane spanning domains. It has been reported that these receptor proteins are difficult to overexpress, solubilize, and purify because of their complicated structures and strong hydrophobicity. In this study, full-length human olfactory receptor (hOR) 2AG1 was overexpressed in E. coli as a fusion protein with a glutathione S-transferase (GST) tag mainly as an inclusion body without any mutations or deletions in the gene. This protein was difficult to solubilize with detergents and chaotropic agents, and only N-lauroyl sarcosine was found to be suitable for solubilizing it. In contrast, Trition X-100 was found to solubilize most of the impurity proteins from the insoluble fraction in E. coli. Based on this observation, we applied a simple and efficient column-free method using these two detergents for the purification of the olfactory receptor protein. In this method, the insoluble fraction of the cell lysate was first treated with Triton X-100 to remove impurity proteins. The remaining insoluble fraction was then further treated with N-lauroyl sarcosine to solubilize the olfactory receptor protein. Milligram quantity of the human olfactory receptor was produced. This is the first report to produce full-length of the olfactory receptor from E. coli.



Similar content being viewed by others
Explore related subjects
Discover the latest articles and news from researchers in related subjects, suggested using machine learning.References
Bane SE, Velasquez JE, Robinson AS (2007) Expression and purification of milligram levels of inactive G-protein coupled receptors in E. coli. Protein Expre Purif 52:348–355
Bockaert J, Pin JP (1999) Molecular tinkering of G protein-coupled receptors: an evolutionary success. EMBO J 18:1723–1729
Buck L, Axel R (1991) A novel multigene family may encode odorant receptors: a molecular basis for odor recognition. Cell 65:175–187
Drew D, Froderberg L, Baars L, de Gier J-WL (2003) Assembly and overexpression of membrane proteins in Escherichia coli. BBA-Biomembranes 1610:3–10
Fang Y, Lahiri J, Picard L (2003) G protein-coupled receptor microarrays for drug discovery. Drug Discov Today 8:755–761
Grisshammer R, Tate C (1995) Overexpression of integral membrane proteins for structural studies. Q Rev Biophys 28:315–422
Kang DG, Li L, Ha JH, Choi SS, Cha HJ (2008) Efficient cell surface display of organophosphorous hydrolase using N-terminal domain of ice nucleation protein in Escherichia coli. Korean J Chem Eng 25:804–807
Kiefer H, Krieger Jr, Olszewski JD, Heijne Gv, Prestwich GD, Breerl H (1996) Expression of an olfactory receptor in Escherichia coli: purification, reconstitution, and ligand binding. Biochemistry 35:16077–16084
Kim H, Kim S-Y, Han NS, Tao BY (2007) Solublization conditions for hydrophovic membrane protein, oleosin, in soybeans. Biotechnol Bioprocess Eng 12:542–547
Kim TH, Lee SH, Lee J, Song HS, Oh EH, Park TH, Hong S (2009) Single-carbon-atomic-resolution detection of odorant molecules using a human olfactory receptor-based bioelectronic nose. Adv Mater 21:91–94
Mashukova A, Spehr M, Hatt H, Neuhaus EM (2006) beta-Arrestin2-mediated internalization of mammalian odorant receptors. J Neurosci 26:9902–9912
Miroux B, Walker JE (1996) Over-production of proteins in Escherichia coli: mutant hosts that allow synthesis of some membrane proteins and globular proteins at high levels. J Mol Biol 260:289–298
Nekrasova E, Sosinskaya A, Natochin M, Lancet D, Gat U (1996) Overexpression, solubilization and purification of rat and human olfactory receptors. Eur J Biochem 238:28–37
Neuhaus EM, Mashukova A, Zhang W, Barbour J, Hatt H (2006) A specific heat shock protein enhances the expression of mammalian olfactory receptor proteins. Chem Senses 31:445–452
Nilsson I, Heijne Gv (1990) Fine-tuning the topology of a polytopic membrane protein: role of positively and negatively charged amino acids. Cell 62:1135–1141
Salahpour A, Bonin H, Bhalla S, Petäjä-Repo U, Bouvier M (2003) Biochemical characterization of beta-2-adrenergic receptor dimers and oligomers. Biol Chem 384:117–123
Sarramegna V, Muller I, Milon A, Talmont F (2006) Recombinant G protein-coupled receptors from expression to renaturation: a challenge towards structure. Cell Mol Life Sci 63:1149–1164
Sarramegna V, Talmont F, Demange P, Milon A (2003) Heterologous expression of G-protein-coupled receptors: comparison of expression systems from the standpoint of large-scale production and purification. Cell Mol Life Sci 60:1529–1546
Sung JH, Ko HJ, Park TH (2006) Piezoelectric biosensor using olfactory receptor protein expressed in Escherichia coli. Biosens Bioelectron 21:1981–1986
Yoon H, Lee SH, Kwon OS, Song HS, Oh EH, Park TH, Jang J (2009) Polypyrrole nanotubes conjugated with human olfactory receptors: high-performance transducers for FET-type bioelectronic noses. Angew Chem Int Edit 48:2755–2758
Acknowledgments
This work was supported by the Korea Science and Engineering Foundation (KOSEF) grant funded by the Korea government (MEST) (No. 2009-0080242). This work was also partially supported by the System 2010 program of the Ministry of Knowledge Economy.
Author information
Authors and Affiliations
Corresponding author
Rights and permissions
About this article
Cite this article
Song, H.S., Lee, S.H., Oh, E.H. et al. Expression, Solubilization and Purification of a Human Olfactory Receptor from Escherichia coli . Curr Microbiol 59, 309–314 (2009). https://doi.org/10.1007/s00284-009-9435-6
Received:
Revised:
Accepted:
Published:
Issue Date:
DOI: https://doi.org/10.1007/s00284-009-9435-6

