Skip to main content

Regulation of chemosensitivity and migration by clusterin in non-small cell lung cancer cells

Abstract

Purpose

In terms of drug resistance, cancer cells usually benefit from high clusterin (CLU) expression on chemotherapy. In contrast, CLU expression has been found to be a favorable prognostic factor in lung cancer patients. The aims of this study are to determine the association between CLU expression and chemotherapeutic sensitivity and the potential role of CLU in migration in human non-small-cell lung cancer (NSCLC) cell lines.

Methods

The levels of clusterin in NSCLC cell lines were altered by short hairpin RNA interference (shRNAi) and overexpression on chemosensitivity assay. Migratory ability of these cell lines was also investigated.

Results

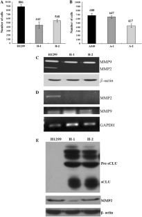
H1355 cells with the highest level of CLU demonstrated the lowest sensitivities to Adriamycin (ADR), docetaxel (DOC), and gemcitabine (GEM) treatment. Inhibition of CLU expression in H1355 cells resulted in higher chemosensitivities. When CLU was stably overexpressed in A549 and H1299 cells, only the chemosensitivity to ADR was reduced. The migratory ability of CLU-overexpressing cells significantly decreased. Moreover, MMP2 transcription was inhibited in CLU-overexpressing H1299 cells. These results indicated lower metastatic potential for cancer cells with high CLU level.

Conclusion

Lung cancer cells with high level of CLU have reduced chemosensitivity. High level of CLU may result in migratory inhibition and thus favorable prognosis in lung cancer.

This is a preview of subscription content, access via your institution.

Fig. 1
Fig. 2
Fig. 3
Fig. 4
Fig. 5
Fig. 6

References

  1. Albert JM, Gonzalez A, Massion PP, Chen H, Olson SJ, Shyr Y, Diaz R, Lambright ES, Sandler A, Carbone DP, Putnam JB Jr, Johnson DH, Lu B (2007) Cytoplasmic clusterin expression is associated with longer survival in patients with resected non small cell lung cancer. Cancer Epidemiol Biomarkers Prev 16:1845–1851

    PubMed  Article  CAS  Google Scholar 

  2. Blaschuk O, Burdzy K, Fritz IB (1983) Purification and characterization of a cell-aggregating factor (clusterin), the major glycoprotein in ram rete testis fluid. J Biol Chem 258:7714–7720

    PubMed  CAS  Google Scholar 

  3. Caccamo AE, Scaltriti M, Caporali A, D’Arca D, Corti A, Corvetta D, Sala A, Bettuzzi S (2005) Ca2 + depletion induces nuclear clusterin, a novel effector of apoptosis in immortalized human prostate cells. Cell Death Differ 12:101–104

    PubMed  Article  CAS  Google Scholar 

  4. Cao C, Shinohara ET, Li H, Niermann KJ, Kim KW, Sekhar KR, Gleave M, Freeman M, Lu B (2005) Clusterin as a therapeutic target for radiation sensitization in a lung cancer model. Int J Radiat Oncol Biol Phys 63:1228–1236

    PubMed  Article  CAS  Google Scholar 

  5. Chang JT, Chang GC, Ko JL, Liao HY, Liu HJ, Chen CC, Su JM, Lee H, Sheu GT (2006) Induction of tubulin by docetaxel is associated with p53 status in human non small cell lung cancer cell lines. Int J Cancer 118:317–325

    PubMed  Article  CAS  Google Scholar 

  6. Choi-Miura NH, Takahashi Y, Nakano Y, Tobe T, Tomita M (1992) Identification of the disulfide bonds in human plasma protein SP-40, 40 (apolipoprotein-J). J Biochem 112:557–561

    PubMed  CAS  Google Scholar 

  7. Chou TY, Chen WC, Lee AC, Hung SM, Shih NY, Chen MY (2009) Clusterin silencing in human lung adenocarcinoma cells induces a mesenchymal-to-epithelial transition through modulating the ERK/Slug pathway. Cell Signal 21:704–711

    PubMed  Article  CAS  Google Scholar 

  8. de Silva HV, Harmony JA, Stuart WD, Gil CM, Robbins J (1990) Apolipoprotein J: structure and tissue distribution. Biochemistry 29:5380–5389

    PubMed  Article  Google Scholar 

  9. Djeu JY, Wei S (2009) Clusterin and chemoresistance. Adv Cancer Res 105:77–92

    PubMed  Article  CAS  Google Scholar 

  10. Hazzaa SM, Elashry OM, Afifi IK (2010) Clusterin as a diagnostic and prognostic marker for transitional cell carcinoma of the bladder. Pathol Oncol Res 16:101–109

    PubMed  Article  CAS  Google Scholar 

  11. Jemal A, Siegel R, Ward E, Hao Y, Xu J, Thun MJ (2009) Cancer statistics, 2009. CA Cancer J Clin 59:225–249

    PubMed  Article  Google Scholar 

  12. July LV, Beraldi E, So A, Fazli L, Evans K, English JC, Gleave ME (2004) Nucleotide-based therapies targeting clusterin chemosensitize human lung adenocarcinoma cells both in vitro and in vivo. Mol Cancer Ther 3:223–232

    PubMed  Article  CAS  Google Scholar 

  13. Leskov KS, Klokov DY, Li J, Kinsella TJ, Boothman DA (2003) Synthesis and functional analyses of nuclear clusterin, a cell death protein. J Biol Chem 278:11590–11600

    PubMed  Article  CAS  Google Scholar 

  14. Lourda M, Trougakos IP, Gonos ES (2007) Development of resistance to chemotherapeutic drugs in human osteosarcoma cell lines largely depends on up-regulation of Clusterin/Apolipoprotein J. Int J Cancer 120:611–622

    PubMed  Article  CAS  Google Scholar 

  15. Miyake H, Hara I, Fujisawa M, Gleave ME (2006) The potential of clusterin inhibiting antisense oligodeoxynucleotide therapy for prostate cancer. Expert Opin Investig Drugs 15:507–517

    PubMed  Article  CAS  Google Scholar 

  16. Miyake H, Hara S, Arakawa S, Kamidono S, Hara I (2002) Over expression of clusterin is an independent prognostic factor for nonpapillary renal cell carcinoma. J Urol 167:703–706

    PubMed  Article  CAS  Google Scholar 

  17. Panico F, Rizzi F, Fabbri LM, Bettuzzi S, Luppi F (2009) Clusterin (CLU) and lung cancer. Adv Cancer Res 105:63–76

    PubMed  Article  CAS  Google Scholar 

  18. Qian Q, Wang Q, Zhan P, Peng L, Wei SZ, Shi Y, Song Y (2010) The role of matrix metalloproteinase 2 on the survival of patients with non-small cell lung cancer: a systematic review with meta-analysis. Cancer Invest 28:661–669

    PubMed  Article  Google Scholar 

  19. Reddy KB, Jin G, Karode MC, Harmony JA, Howe PH (1996) Transforming growth factor beta (TGF beta)-induced nuclear localization of apolipoprotein J/clusterin in epithelial cells. Biochemistry 35:6157–6163

    PubMed  Article  CAS  Google Scholar 

  20. Sakai I, Miyake H, Takenaka A, Fujisawa M (2009) Expression of potential molecular markers in renal cell carcinoma: impact on clinicopathological outcomes in patients undergoing radical nephrectomy. BJU Int 104:942–946

    PubMed  Article  CAS  Google Scholar 

  21. Scaltriti M, Bettuzzi S, Sharrard RM, Caporali A, Caccamo AE, Maitland NJ (2004) Clusterin overexpression in both malignant and nonmalignant prostate epithelial cells induces cell cycle arrest and apoptosis. Br J Cancer 91:1842–1850

    PubMed  Article  CAS  Google Scholar 

  22. Watari H, Kanuma T, Ohta Y, Hassan MK, Mitamura T, Hosaka M, Minegishi T, Sakuragi N (2010) Clusterin expression inversely correlates with chemosensitivity and predicts poor survival in patients with locally advanced cervical cancer treated with cisplatin-based neoadjuvant chemotherapy and radical hysterectomy. Pathol Oncol Res 16:345–352

    PubMed  Article  CAS  Google Scholar 

  23. Wong P, Taillefer D, Lakins J, Pineault J, Chader G, Tenniswood M (1994) Molecular characterization of human TRPM-2/clusterin, a gene associated with sperm maturation, apoptosis and neurodegeneration. Eur J Biochem 221:917–925

    PubMed  Article  CAS  Google Scholar 

  24. Zoubeidi A, Chi K, Gleave M (2010) Targeting the cytoprotective chaperone, clusterin, for treatment of advanced cancer. Clin Cancer Res 16:1088–1093

    PubMed  Article  CAS  Google Scholar 

Download references

Acknowledgments

This work was supported by grants (NSC-96-2314-B-040-017-MY3 and 98-CCH-CSMU-02) to G-T Sheu. We would also like to thank the staff of the Instrument Center of Chung Shan Medical University for their technical support. This center is partly supported by the National Science Council, Ministry of Education and Chung Shan Medical University.

Conflict of interest

The authors declare that there are no potential conflicts of interest.

Author information

Affiliations

Authors

Corresponding author

Correspondence to Gwo-Tarng Sheu.

Rights and permissions

Reprints and Permissions

About this article

Cite this article

Cheng, CY., Cherng, SH., Wu, WJ. et al. Regulation of chemosensitivity and migration by clusterin in non-small cell lung cancer cells. Cancer Chemother Pharmacol 69, 145–154 (2012). https://doi.org/10.1007/s00280-011-1682-0

Download citation

  • Received:

  • Accepted:

  • Published:

  • Issue Date:

  • DOI: https://doi.org/10.1007/s00280-011-1682-0

Keywords

  • Lung cancer
  • Clusterin
  • Chemosensitivity
  • Migration