Skip to main content

Trichosanthin down-regulated p210Bcr-Abl and enhanced imatinib-induced growth arrest in chronic myelogenous leukemia cell line K562

Abstract

Purpose

Trichosanthin (TCS), an active component extracted from the root tubers of traditional Chinese medical herb Tian-Hua-Fen of the Cucurbitaceae family, has long been used for medical purpose in China; there is increasing interest in developing TCS as cancer therapeutic agents. The present study was to investigate the growth arrest of K562 cells and its molecular mechanisms, which the drugs induced by TCS and the possible functional interaction of TCS with imatinib (STI571) to K562 cells.

Methods

Trypan blue exclusive staining was used to access the cell growth inhibition; western blot was used to evaluate the p210Bcr-Abl, phosphorylated tyrosine kinase (PTK), and some signaling molecules involving in cell proliferation and apoptosis in K562 cells.

Results

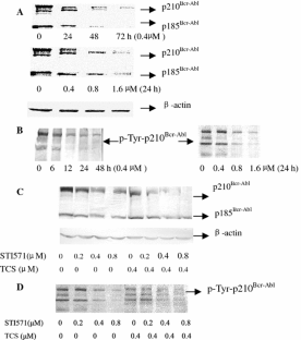
TCS and imatinib inhibited K562 cells at a time- and dose-dependent manners, respectively; TCS down-regulated p210Bcr-Abl at a time- and dose-dependent manners; TCS synergistically enhanced imatinib-induced K562 cell growth arrest and down-regulation of p210Bcr-Abl, PTK activities, procaspase-3, Hsp90,NF-κB and PKC.

Conclusion

The results suggest that TCS not only by itself involves but also synergizes activities of imatinib to induce K562 cell growth arrest, down-regulation of p210Bcr-Abl and its downstream signals and to stimulate the effect of the tyrosine kinase inhibition.

This is a preview of subscription content, access via your institution.

Fig. 1
Fig. 2
Fig. 3
Fig. 4
Fig. 5

References

  1. Collins EJ, Robertus JD, Lopresti M, Stone KL, Williams KR, Wu P, Hwang K, Piatak M (1990) Primary amino acid sequence of alpha-trichosanthin and molecular models for abrin α-chain and alpha-trichosanthin. J Bio Chem 265:8665–8669

    CAS  Google Scholar 

  2. Lui G, Lui F, Li Y (1985) Advances in Chinese medicinal materials research. World Scientific Publishing, Singapore

    Google Scholar 

  3. Jin YC (1985) Advances in Chinese medicinal materials research. World Scientific Publishing, Singapore

    Google Scholar 

  4. Huang YL (1987) A clinical study on treatment of malignant trophoblastic neoplasia with trichosanthin (in Chinese). Zhongxiyi jiehe zazhi 7:154–155

    Google Scholar 

  5. Gao B, Ma XQ, Wang YP, Chen SZ, Wu S, DonG YC (1994) Water structure in trichosanthin crystal at 1.73 A resolution. Sci China Ser B Chem Life Sci Earth Sci 37:1222–1233

    CAS  Google Scholar 

  6. Zhou K, Fu Z, Chen M, Lin Y, Pan K (1994) Structure of trichosanthin at 1.88 A resolution. Protein 19:4–13

    Article  Google Scholar 

  7. Xiong JP, Xia ZX, Wang Y (1994) Crystal structure of trichosanthin-NADPH complex at 1.7 A resolution reveals activesite architecture. Nat Struct Biol 1:695–700

    PubMed  Article  CAS  Google Scholar 

  8. Byers VS, Levin AS, Malvino A, Waites L, Robins RA, Baldwin RW (1994) A phase II study of effect of addition of trichosanthin to zidovudine in patients with HIV disease and failing antiretroviral agents. AIDS Res Hum Retroviruses 10:413–420

    PubMed  CAS  Article  Google Scholar 

  9. Mayer RA, Sergios PA, Coonan K, O’Brien L (1992) Trichosanthin treatment of HIV-induced immune dysregulation. Eur J Clin Invest 22:113–122

    PubMed  CAS  Article  Google Scholar 

  10. Leung KN, Yeung HW, Leung SO (1986) The immunomodulatory and antitumor activities of trichosanthin-an abortifacient protein isolated from tian-hua-fen (Trichosanthes kirilowii). Asian Pac J Allergy Immunol 4:111–120

    PubMed  CAS  Google Scholar 

  11. Kong M, Ke YB, Zhou MY, Ke XY, Lu B, Nie HL (1998) Study on Trichosanthin induced apoptosis of leukemia K562 cells. Shi Yan Sheng Wu Xue Bao 31:233–243

    PubMed  CAS  Google Scholar 

  12. Hu MJ, Zhang S, Wu YX, Wu YL, Qiao MM, Zhang YP, Fu H (2002) Apoptosis in gastric cancer induced by trichosanthin and relationship of this apoptosis with expression of c-myc. J Shanghai Second Med Univ 14:43–46

    CAS  Google Scholar 

  13. Huang YL, Huang LM, Shi XL, Zhang ZX, Xing XS (2005) The effect of trichosanthin on Hela cell’s proliferation and apoptosis. Chin Pharmacol Bull 21:253–254

    CAS  Google Scholar 

  14. Nowell P, Hungerford D (1960) A minute chromosome in human chronic granulocytic leukemia. Science 132:1497–1499

    Google Scholar 

  15. Deininger MW, Goldman JM, Melo JV (2000) The molecular biology of chronic myeloid leukemia. Blood 96:3343–3356

    PubMed  CAS  Google Scholar 

  16. Druker BJ, Tamura S, Buchdunger E, Ohno S, Segal GM, Fanning S, Zimmermann J, Lydon B (1996) Effects of a selective inbibitor of the Abl tyrosine kinase on the growth of Bcr-Abl positive cells. Nat Med 2:561–566

    PubMed  Article  CAS  Google Scholar 

  17. Deininger MW, Goldman JM, Lydon N, Melo JV (1997) The tyrosine kinase inhibitor CGP57148B selectively inhibits the growth of BCR-ABL positive cells. Blood 90:3691–3698

    PubMed  CAS  Google Scholar 

  18. Litzow MR (2006) Imatinib resistance: obstacles and opportunities. Arch Pathol Lab Med 130:669–679

    PubMed  CAS  Google Scholar 

  19. Haltz MS, Slovak ML, Zhang SF, Sawyers CL, Forman SJ, Bhatia R (2002) Imatinib mesylate (imatinib) inhibits growth of primitive malignant progenitors in chronic myelogenous leukemia through reversal of abnormally increased proliferation. Blood 99:3792–3800

    Article  Google Scholar 

  20. Bhatia R, Holtzl M, Niu N, Gray R, Snyder DS, Sawyers CL, Arber DA, Slovak ML, Forman SJ (2003) Persistence of malignant hematopoietic progenitors in chronic myelogenous leukemia patients in complete cytogenetic remission following imatinib mesylate treatment. Blood 101:4701–4707

    PubMed  Article  CAS  Google Scholar 

  21. Graham SM, Jorgensen HG, Allan E, Pearson C, Alcom MJ, Richmond L, Holyoake TL (2002) Primitive, quiescent, philadelphia-positive stem cells from patients with chronic myeloid leukemia are insensitive to imatinib in vitro. Blood 99:319–325

    PubMed  Article  CAS  Google Scholar 

  22. Hochhaus A, Kreil S, Corbin AS, La Rosee P, Muller MC, Lahaye T, Hanfstein B, Schoch C, Cross NC, Berger U (2002) Molecular and chromosomal mechanisms of resisitence to imatinib (imatinib) therapy. Leukemia 16:2190–2196

    PubMed  Article  CAS  Google Scholar 

  23. Heim D (2006) Tyrosin kinase inhibitors for the treatment of CML. Ther Umsch 63:249–254

    PubMed  Article  CAS  Google Scholar 

  24. Cortes J (2006) Overcoming drug resistance in chronic myeloid leukemia. Curr Opin Hematol 13:79–86

    PubMed  Article  CAS  Google Scholar 

  25. Jin ZJ (1980) Addition in drug combination. Acta Pharmacol Sin 1:70–76

    CAS  Google Scholar 

  26. Jahagirdar BN, Miller JS, Shet A, Verfaillie CM (2001) Novel therapies for chronic myelogenous leukemia. Exp Hematol 29:543–556

    PubMed  Article  CAS  Google Scholar 

  27. Nicolas E, Goodyer ID, Taraschi TF (1997) An additional mechanism of ribosome-inactivating protein cytotoxicity: degradation of extrachromosomal DNA. Biochem J 327:413–417

    PubMed  CAS  Google Scholar 

  28. Shaw PC, Wong KB, Chan DS, Williams RL (2003) Structural basis for the interaction of [E160A-E189A]-trichosanthin with adenine. Toxicon 41:575–581

    PubMed  Article  CAS  Google Scholar 

  29. Shaw PC, Lee KM, Wong KB (2005) Recent advances in trichosanthin, a ribosome-inactivating protein with multiple pharmacological progerties. Toxicon 45:683–689

    PubMed  Article  CAS  Google Scholar 

  30. Schindler T, Bornmann W, Pellicena P, Miller WT, Charkson B, Kuriyan J (2000) Structural mechanism for STI-571 inhibition of Abelson tyrosine kinase. Science 289:1938–1943

    PubMed  Article  CAS  Google Scholar 

  31. Weisberg E, Griffin JD (2000) Mechanism of resistance to the ABL tyrosine kinase inhibitor STI 571 in BCR/ABL-transformed hematopoietic cell lines. Blood 95:3498–3505

    PubMed  CAS  Google Scholar 

  32. Chopra R, Pu QQ, Elefanty AG (1999) Biology of BCR-ABL. Blood 13:211–229

    Article  CAS  Google Scholar 

  33. Skorski T, Nieborowska-Skorska M, Wlodarski P, Perrotti D, Hoser G, Kawiak J, Majewski M, Christensen L, Iozzo RV, Calabretta B (1997) Treatment of philadelphia leukemia in severe combined immunodeficient mice by combination of cyclophosphamide and Bcr-Abl antisense oligodeoxynucleotides. J Natl Cancer Inst 89:124–133

    PubMed  Article  CAS  Google Scholar 

  34. Cobaleda C, Sanchez-Garcia I (2000) In vivo inhibition by a site-specific catalytic RNA subunit of RNase P designed against the BCR-ABL oncogenic products: a novel approach for cancer treatment. Blood 95:731–737

    PubMed  CAS  Google Scholar 

  35. Svingen PA, Tefferi A, Kottke TJ, Kaur G, Narayanan VL, Sausville EA, Kaufmann SH (2000) Effects of the Bcr-Abl kinase inhibitors AG957 and NSC 680410 on chronic myelogenous leukemia cells in vitro. Clin Cancer Res 6:237–249

    PubMed  CAS  Google Scholar 

  36. Tanabe T, Kuwabara T, Warashina M, Tani K, Taira K, Asano S (2000) Oncogene inactivation in a mouse model. Nature 406:473–474

    PubMed  Article  CAS  Google Scholar 

  37. Xue JM, Xu YJ, Zhang ZX (2000) Investigation of the roles played by protein kinase C signal pathway on lymphocyte proliferation and interleukin 5 gene expression in sensitized rats. Chin J Tuberc Respir Dis 23:434–435

    Google Scholar 

  38. Xiong WN, Xu YJ, Zhang ZX, Wang XY (2004) An experimental study on the role of nuclear factor-КB in the signal conduction of protein kinase C regulating the proliferation and apoptosis of T lymphocytes in asthma. J Microbiol Immunol 2:35–39

    Google Scholar 

  39. An WG, Schulte TW, Neekers LM (2000) The heat shock protein 90 antagonist geldanamycin alters chaperone association with p210Bcr-Abl and v-src proteins before their degradation by the proteasome. J Cell Growth Differ 11:355–360

    CAS  Google Scholar 

  40. Fang G, Kim CN, Perkins CL, Ramadevi N, Winton E, Wittman S, Bhalla KN (2000) CGP57148B (STI-571) induces differentiation and apoptosis and sensitizes Bcr-Abl-positive human leukemia cells to apoptosis due to antileukemic drugs. Blood 96:2246–2253

    PubMed  CAS  Google Scholar 

  41. Thiesing JT, Ohno-jones S, Kolibaba KS, Druker BJ (2000) Efficacy of STI571, an Abl tyrosine kinase inhibitor, in conjunction with other antileukemia agents against Bcr-Abl-positive cells. Blood 96:3195–3199

    PubMed  CAS  Google Scholar 

  42. Topaly J, Zeller WJ, Fruehauf S (2001) Synergistic activity of the new ABL-specific tyrosine kinase inhibitor STI571 and chemotherapeutic drugs on BCR-ABL-positive chronic myelogenous leukemia cells. Leukemia 15:342–347

    PubMed  Article  CAS  Google Scholar 

  43. Blagosklonny MV, Fojo T, Bhalla KN, Kim JS, Trepel JB, Figg WD, Rivera Y, Neckers LM (2001) The Hsp90 inhibitor geldanamycin selectively sensitizes Bcr-Abl-expressing leukemia cells to cytotoxic chemotherapy. Leukemia 15:1537–1543

    PubMed  Article  CAS  Google Scholar 

Download references

Acknowledgments

We thank Dr. Zhang Qunhao from Harvard Medical School and Dr. Yang Xiaoyi for their kind discussions. This work was supported by Chinese National Natural Science Foundation (No 30171158, 30472187).

Author information

Affiliations

Authors

Corresponding author

Correspondence to Jianhua Xu.

Rights and permissions

Reprints and Permissions

About this article

Cite this article

Zhang, K., Xu, J., Huang, X. et al. Trichosanthin down-regulated p210Bcr-Abl and enhanced imatinib-induced growth arrest in chronic myelogenous leukemia cell line K562. Cancer Chemother Pharmacol 60, 581–587 (2007). https://doi.org/10.1007/s00280-007-0457-0

Download citation

  • Received:

  • Accepted:

  • Published:

  • Issue Date:

  • DOI: https://doi.org/10.1007/s00280-007-0457-0

Keywords

  • Combination drug therapy
  • Trichosanthin
  • Imatinib
  • Cell growth
  • p210Bcr-Abl
  • Chronic myelogenous leukemia
  • K562 cell line